INTROduction FROM THE MODERATOR
Innovations in surgical instrumentation have allowed retina surgeons to have a more robust response to treating symptomatic vitreous opacities (VOs). As our options in the OR expand, we must adjust our clinical tactics for identifying, documenting, and diagnosing symptomatic VOs so that safe and efficacious interventions can be leveraged to optimize patients’ quality of vision and provide a benefit that is maximally beneficial and minimally invasive.
I chaired a roundtable consisting of María H. Berrocal, MD; Allen C. Ho, MD; and Elizabeth Yeu, MD, to help address the growing questions regarding surgical management of symptomatic VOs. Many readers know Drs. Berrocal and Ho as mentors in retina surgery whose innovations touch both instrumentation and techniques. I invited Dr. Yeu, who is one of the premier anterior segment surgeons in the United States, to add her perspective on the management of VOs so that our conversation included both anterior and posterior considerations—a dynamic all too uncommon among the retina community, at least in the United States.
For a digest of some of the most important literature on symptomatic VOs, I suggest referring to the various sidebars prepared by Ruwan Silva, MD, MPhil, who briefed the roundtable on our field’s research before our discussion began. You can find a video of his presentation, as well as case presentation and conversational segments from our roundtable discussion, on eyetube.net/editorial-feature/vitreous-opacities
—Donald J. D’Amico, MD
DIAGNOSIS
Donald J. D’Amico, MD: Some surgeons may be reluctant to treat symptomatic VOs because they do not have a reliable method of diagnosing them. Dr. Ho, which modalities have you relied on for the diagnosis of symptomatic VOs?
Allen C. Ho, MD: Some imaging modalities that best depict VOs, such as video obtained via scanning laser ophthalmoscopy, are impractical in many clinical settings. As someone who works in a practice that conducts frequent OCT imaging, I have found that the infrared image located on the left side of an imaging report from the Spectralis OCT platform (Heidelberg Engineering) is useful in depicting the middle of the visual axis. The presence of shadowing could indicate the presence of VOs. It should be noted that such shadowing does not depict a VO itself, but in fact indicates a lack of reflectance of the macula from the stimulus energy. This imaging report can be easily understood by the patient, and showing it to them may validate their observation that a symptomatic VO is present.
Still, surgeons should not underestimate the value of an in-chair clinical examination, which is one of our most effective tools during diagnosis. Paying careful attention to anterior and mid vitreous during a slit-lamp examination with a macular lens and 45° angle narrow slit-lamp illumination can provide direct illumination and indirect illumination of VOs in some patients who present with symptomatic VOs. Use this information in combination with a 20 D indirect ophthalmoscopic view of the vitreous.

María H. Berrocal, MD: I agree that OCT imaging and slit-lamp examinations are helpful in visualizing VOs. I also use ultrawide-field imaging from Optos imaging platforms to see the configuration of a large floater. Like an OCT image, an ultrawide-field image can be a good tool in educating a patient about how their anatomy matches their symptoms (Figure).
Figure. Ultrawide-field photograph taken on the Optos platform depicting asteroid hyalosis in a patient presenting with symptomatic vitreous opacities.
Dr. D’Amico: Does ultrasound imaging play a role in your evaluation of VOs?
Dr. Berrocal: Ultrasound imaging is not part of my routine, as visualization via the aforementioned methods is almost always sufficient. I can think of a few instances in which it may be useful, however, such as in patients with dense cataracts or other significant opacities.
Dr. D’Amico: Some phakic patients with VOs present with excellent visual acuity but dissatisfaction with the quality of their vision. Dr. Yeu, how do you examine such patients from the perspective of an anterior segment surgeon?
Elizabeth Yeu, MD: Phakic patients who have poor functional vision in the presence of otherwise good visual acuity may be experiencing VOs, glare, or some other visual disturbance that reduces the quality of their vision. Examinations can be used to link subjective patient descriptions with objective clinical findings. Reports of difficulty driving at night, for example, may correlate with a cortical cataract. In such patients, routine cataract surgery may be sufficient.
Dr. D’Amico: Anterior segment surgeons and retina surgeons both face the challenge of determining the source of a visual disturbance in patients whose vision is considered good in terms of Snellen visual acuity. Dr. Ho, do you think we need a different metric to help guide us toward a correct diagnosis?
Dr. Ho: Patients who present with 20/20 VA but poor quality of vision make retina specialists balk, as it is counter to our instincts as retina surgeons to operate on a patient with 20/20 VA. Metrics such as reading speed and contrast sensitivity could be useful for evaluating quality of vision in patients with symptomatic VOs and may reveal the shortcomings of sticking strictly to Snellen visual acuity as a metric of visual function.
Any new metric or tool that would assist us in the diagnosis of VOs would have to be objective. Some tools such as the HD Analyzer (Keeler) may help, as they aim to quantify light scatter that some of our patients experience, but use is not widespread. Even with some of those tools in place, however, my decision to intervene surgically in patients with symptomatic VOs depends on how correlated a patient’s symptoms are with the results of their examination. And because floater symptoms typically lessen or resolve over time, my default position is observation. But for those whose symptoms do not resolve, it would be helpful to have better tools to measure the interference of optical clarity attributable to vitreous floaters.
THE FIRST LITERATURE ON VITREOUS OPACITIES (2000)
Schiff WM, Chang S, Mandava N, Barile Gr. Pars plana vitrectomy for persistent, visually significant vitreous opacities. Retina. 2000;20(6):591-596.
The first major publication describing outcomes following pars plana vitrectomy for vitreous opacities was a six-patient case series published more than 20 years ago. The series reported excellent visual acuity outcomes and no surgical complications. Patients in the study used the National Eye Institute’s 39-item Visual Function Questionnaire and reported dramatic and statistically significant improvements in numerous aspects of their vision, including near activities, distance activities, mental health, and peripheral vision.
Dr. D’Amico: It is my impression that some surgeons are more willing to choose surgery to address VOs than they have been in the past. What has moved opinion on this matter?
Dr. Ho: Innovations in surgical instrumentation have allowed retina specialists to consider surgery for patients with symptomatic VOs. Mindsets change with time and innovation. Use of pars plana vitrectomy (PPV) to address metamorphopsia in patients with macular pucker and 20/30 or better VA, for example, would have been considered rare only a few years ago, but today is quite common. If we can safely resolve symptomatic VOs in a patient with otherwise good vision, then we should consider it as a management option along with observation.
Dr. Berrocal: We have to keep in mind that floaters move, particularly in patients with more liquid vitreous. It can be difficult to understand how debilitating symptomatic VOs are, especially if we do not detect floaters in the visual axis at the exact time of a clinical examination. Listening to our patients is very important during an examination.
Dr. D’Amico: As ophthalmic surgeons, we are duty-bound to better understand what our patients’ needs are and to explore how our expertise can help patients who don’t fit neatly into surgical criteria. Relying on our judgement and experience will be key to knowing which patients we can help the most.

WATCH IT NOW
LITERATURE DEEP DIVE
Ruwan A. Silva, MD, a clinical associate professor of ophthalmology at the Stanford University Medical Center, prepared a thorough literature review that kicked off the roundtable summarized herein. To see Dr. Silva’s full presentation, visit bit.ly/literaturefloaters.
PRESURGICAL PERIOD
Dr. D’Amico: Phakic and pseudophakic patients who present with symptomatic VOs may require different approaches. Imagine two patients who both have a posterior vitreous detachment (PVD), but one is phakic and the other is pseudophakic. Dr. Berrocal, is there a distinguishable difference between these two hypothetical patients?
Dr. Berrocal: Yes. Defects in the crystalline lens in the phakic patient could be contributing to his or her visual disturbances. As Dr. Yeu pointed out, complications such as cortical spokes could exacerbate glare and other symptoms. In a phakic patient with evidence of both lens-based disruption and floaters, I would consider a combined procedure of cataract removal and PPV for floaters. In the pseudophakic patient posed in your scenario, I would include an assessment of the opacity of the posterior capsule in my clinical examination, and I may wish to know more about the specific techniques used during their cataract surgery.
Dr. Ho: I am generally reluctant to combine cataract surgery and PPV in a phakic patient, and I recognize that is simply local custom. I explain to patients that treating their VOs will require a two-step surgery. The patient has the understanding that only after both surgeries are complete can we evaluate their quality of vision. In a pseudophakic patient with a PVD, I am more likely to initiate PPV for symptomatic VOs.
Dr. D’Amico: Generally, surgeons in the United States reserve combined procedures for special circumstances, whereas many surgeons elsewhere in the world commonly combine the procedures. I’m curious to hear what our anterior segment colleague has to say on phacovitrectomy.
Dr. Yeu: The drawbacks of phacovitrectomy include reduced precision in lens calculations, and I understand why US surgeons are reluctant to perform the procedure. Each patient scenario is different, of course, and a phacovitrectomy might be useful in unique scenarios. Regarding phacovitrectomy to address VOs in phakic patients, no universal rule exists. Variables such as the degree and type of VOs observed in the patient, the density of the cataract, and the eye’s overall health should be used to determine if a combined procedure is appropriate.
RESERVATIONS REMAIN (2015)
Cohen MN, Rahimy E, Ho AC, Garg SJ. Management of symptomatic floaters: current attitudes, beliefs, and practices among vitreoretinal surgeons. Ophthalmic Surg Lasers Imaging Retina. 2015;46(8):859-865.
Fifteen years after Schiff et al reported no surgical complications and significant quality of life improvements following pars plana vitrectomy (PPV) for symptomatic vitreous opacities (VOs), a survey of 159 practicing vitreoretinal surgeons found that only 25% would perform PPV to address symptomatic VOs in otherwise healthy eyes—even though nearly 70% of survey respondents reported performing PPV for symptomatic VOs previously. Survey respondents cited surgical risk, unrealistic patient expectations, and possible ridicule from the local retina community as barriers to performing PPV for symptomatic VOs.
Dr. Berrocal: I have found that combined procedures in the presence of VOs work best in patients with diabetes who do not want to have a premium IOL placed. In these patients, significant cataracts are common at the time of surgery, and doing the combined procedure reduces the surgical burden placed on them. If I have a patient who is hoping to have astigmatism or presbyopia addressed with a premium IOL, then I recommend that they have a separate cataract surgery. But if they are satisfied with a monofocal IOL, then a combined procedure has a few benefits that should not be underestimated.
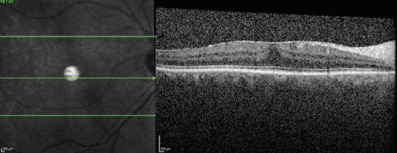
Vitreous Opacities With Progressive ERM—and 20/20 VA
Donald J. D’Amico, MD
A middle-aged phakic man presented to my clinic. He was a professional photographer who reported symptomatic vitreous opacities (VOs). Clinical examination including OCT (Figure 1) showed that he had 20/20 VA, no signs of cataract, bilateral posterior vitreous detachment (PVD), and average floaters. I advised that he wait 6 months before considering surgery.
The patient returned in 5 months reporting that his VOs had worsened and that neither eye was noticeably worse than the other. OCT imaging of the patient’s right eye (OD) showed the presence of an epiretinal membrane (ERM) and the loss of foveal contour (Figure 2); the left eye (OS) was unchanged. The patient continued to have 20/20 VA.
The patient reported that he was unable to perform his photography duties. The patient and I had a thorough conversation about the risks and benefits of surgery to address his visual disruption, and he was passionate about undergoing surgery OD.
Pars plana vitrectomy was performed OD. Per my usual methodology, I aimed to remove only the tissue easily reached (ie, what was detached and available). After removal of vitreous, I used forceps to initiate an ERM peel.
The patient remained 20/20 on postoperative day 1. By postoperative week 5, foveal contouring had begun to return OD (Figure 3). Like most patients who have had successful surgery for the removal of symptomatic VOs, he is eager to undergo surgery in the contralateral eye.
Dr. Ho: I would note that, if a surgeon decides that two surgeries is the preferred course, that sequencing cataract surgery before PPV allows retina surgeons to perform a full PPV without damaging the posterior capsule. Sequencing the surgeries this way allows the retina surgeon to remove the capsule and access the anterior cortical gel.
Dr. D’Amico: If a patient is referred for a cataract evaluation and has already undergone successful PPV for symptomatic VOs, they no longer have the type of vitreous posterior capsular support that a nonvitrectomized eye would have. Does that limit the types of IOLs a patient may be eligible to receive?
USING ULTRASOUND AS AN OBJECTIVE MEASURE OF VITREOUS OPACITIES (2015)
Mamou J, Wa CA, Yee KMP, et al. Ultrasound-based quantification of vitreous floaters correlates with contrast sensitivity and quality of life. Invest Ophthalmol Vis Sci. 2015;56(3):1611-1617.
Mamou et al investigated whether quantitative ultrasound of vitreous opacities correlated with contrast sensitivity (captured via Freiburg acuity contact testing) and quality of life scores (captured via the National Eye Institute’s 39-item Visual Function Questionnaire). They concluded that the correlation existed, “providing objective assessment of vitreous structure underlying the functional disturbances induced by floaters, useful to quantify vitreous disease severity and the response to therapy.”
Dr. Yeu: Although anterior segment surgeons weigh a number of factors when deciding which IOLs could be a right fit for a patient, innovations in surgical technology have reduced the emphasis that most surgeons place on vitrectomy status. The fluidics of modern surgical platforms maintain chamber stability so well that a lack of posterior capsular support is not such a big deal anymore, although surgeons are still mindful of it. In general, I would say that patients with healthy retinas and a history of PPV are eligible for any of the premium IOLs available today.
Dr. D’Amico: Knowing whether to perform PPV for symptomatic VOs is one thing; knowing when to perform it is another. Let’s turn again to a hypothetical patient. In this case, a patient presents 6 weeks after cataract surgery with new onset symptomatic VOs that are disrupting their quality of vision. How long should you wait before bringing a patient like this into surgery?
Dr. Ho: I’ve seen the patient you just described many times. Patients who present to our clinic with new onset floaters after cataract surgery usually had several weeks of undisturbed vision before VOs presented themselves.
My general rule is to ask the patient to wait 6 months. It is not a hard-and-fast rule, but rather a good baseline from which to move and allow for the possibility of spontaneous resolution. If the patient’s quality of vision is disrupted to the point that intervention is warranted, then I’ll consider PPV.

Dr. D’Amico: Some of my most memorable cases involve patients in whom I performed surgery before the 6-month waiting period was over (see sidebar Vitreous Opacities With Progressive ERM—and 20/20 VA). Do any particular patients come to mind who you operated on before that 6-month period?
Dr. Ho: A police officer presented to my clinic with symptomatic VOs. I asked him to return in approximately 3 months, at which point his symptoms had not resolved. While interviewing the patient, I asked him to describe the degree of his functional disability. He explained that he did not have confidence to draw his weapon while on the job because he felt that his VOs would interfere with his accuracy. Managing this patient with continuing observation would have posed an occupational and safety issue, so we performed successful PPV surgery for his VOs shortly after the initial 3-month waiting period.
That said, I think that waiting is advisable for most patients. In my experience, spontaneous resolution of symptomatic VOs occurs often enough that avoiding surgery makes sense, especially in phakic patients.
Dr. Yeu: That 6-month timeframe seems about right to me. The tincture of time does some marvelous things to resolve irritation, VOs, dysphotopsia, and other postsurgical phenomena. However, in special circumstances such as the one Dr. Ho described, waiting 6 months and hoping for spontaneous resolution is unacceptable, particularly if the findings of a clinical examination align with the patient’s reported symptoms.
We need to remember that symptomatic VOs can be highly disruptive. I’ve had patients see psychiatrists after experiencing postoperative floaters, as they fear they’re hallucinating. I’ve treated physicians whose postoperative floaters are so disruptive to their work that they haven’t been able to practice effectively. In these patients, observation and hoping for a spontaneous resolution is unwise.
HYALOID ELEVATION DURING SURGERY FOR VITREOUS OPACITIES
Allen C. Ho, MD, and Jason Hsu, MD
I am sharing a case done by my partner Jason Hsu, MD, at Wills Eye Hospital and Mid Atlantic Retina in Philadelphia. Small-incision 27-gauge surgery was initiated in a pseudophakic patient with symptomatic vitreous opacities (VOs). First, an anterior vitrectomy was performed to clear out any potential opacities behind the IOL (Figure 1). This was followed by a core vitrectomy.
Figure 1. Anterior vitrectomy is performed to decrease the likelihood of any remaining VOs interfering with visual function.
When the posterior hyaloid was elevated, the light pipe was slowly pulled back (Figure 2). This revealed shadows that indicated the location of the arcades to the equator. Care is required at this point to not elevate beyond the insertion of the posterior vitreous base, lest risk of tearing occurs.
Figure 2. Slowly pulling back the light pipe when the posterior hyaloid is encountered will reveal the location of the arcades.
The surgeons returned to double-check completion of the anterior vitrectomy, cognizant of the fact that any VOs can significantly disrupt vision in patients with diffractive IOLs. It should be noted that our practice often refers patients with possible posterior capsule opacification for YAG laser, as we have seen success with that procedure following cataract surgery.
VOs can significantly complicate the postoperative quality of vision in patients with diffractive IOLs, which rely on the quality of the entire visual system for optimized visual acuity and contrast sensitivity. A single floater could significantly interfere with this IOL’s performance. As surgical solutions for VOs are more widely embraced by my posterior segment colleagues, I hope that we address complications faced by patients whose premium IOLs are not living up to their potential simply due to one or more VOs.
Dr. D’Amico: For years, many surgeons didn’t operate on any patients with VOs. At that time, it seemed that surgeons only offered intervention for SVOs after waiting an extremely long time. Now, it’s 6 months—but even that time period could be eroding.
There was once a time when retina surgeons didn’t operate on a patient with an epiretinal membrane (ERM) unless the patient’s VA was 20/80 and cystoid macular edema was present. Now, as Dr. Ho pointed out earlier, we operate on patients with metamorphopsia and 20/25 VA. This change in mindset is in large part due to innovations in surgical instrumentation, which have broadened our perspective on which surgeries are safe and effective. It is also due to a more robust set of literature establishing a set of documented facts from which to understand the risks and benefits of surgery. I suspect that as we assimilate the latest research into our treatment algorithms and familiarize ourselves with the newest tools and their potential for minimally invasive surgery, more retina surgeons will be comfortable treating VOs with surgery.
VITREOUS OPACITY INTERFERENCE WITH PERFORMANCE OF PREMIUM IOL
Elizabeth Yeu, MD
A 62-year-old woman presented to our clinic with a cataract. She was a psychologist with unremarkable medical and ocular histories. The patient’s preoperative evaluation showed that she was eligible for nearly any IOL (Figure). The patient opted for a presbyopia-correcting IOL to eliminate the need for glasses, and she underwent sequential cataract surgery with placement of a trifocal lens (PanOptix, Alcon), which leverages light-splitting refractive technology.
Figure. The preoperative evaluation of this patient demonstrated that she was eligible for any IOL. She chose a trifocal IOL (PanOptix), which uses light-splitting refractive technology.
At postoperative month 1, the patient reported near satisfaction with the quality of her vision but complained of “fluctuating vision.” Unsure if this was due to a symptomatic VO or a complication with the ocular surface, I elected to treat the patient for ocular surface disease.
At postoperative month 2, the patient reported reduced fluctuation in vision, but reported decreased quality of vision at postoperative month 3. Examination showed that the patient had close to 20/20 VA in both eyes, but that her brightness acuity test results were dropping (Table). This is common in patients with multifocal IOLs, as even small amounts of capsular opacification can interfere with the brightness acuity test.
Given the patient’s personality and fixation on her visual disturbance, I elected to perform a Nd:YAG laser posterior capsulotomy in her left eye only. This was performed only in one eye due to the risk of developing a floater in the postoperative period. Sure enough, a floater developed, and the patient now observes, in her words, “a gray blob” and once again experiences “fluctuating vision.” Referral to a posterior segment surgeon may be warranted to resolve any potential floaters.
SPECIFICS OF SURGERY
Dr. D’Amico: Currently, 27-gauge surgery is gaining in popularity for some indications. Is 27-gauge instrumentation effective during surgery for symptomatic VOs?
Dr. Ho: Like most questions related to gauge options, much of this comes down to preference. Some of my colleagues who perform excellent surgery to address symptomatic VOs use 27-gauge, but I find that I prefer the efficiency of a 25- or 23-gauge platform. Also, my comfort with 25- and 23-gauge laser probes comes into play with my decision-making, as I am likely to apply laser to any small tears or any anatomy presenting with lattice-like patterns. I prefer—as we all do—to perform a single surgery, and I like to reduce the likelihood of a patient returning to the OR by making sure that anything that needs laser gets laser.
Dr. Berrocal: I agree that preference is key in selecting surgical gauge. As an enthusiast of 27-gauge surgery, I find that it works well in surgery for symptomatic VOs. Like Dr. Ho, I am inclined to apply laser to any anatomy that might require it. This is especially true in patients who have high myopia. I rely on the VEKTOR Articulating Illuminated Laser Probe (Alcon) for my laser needs when performing 27-gauge surgery, and I have been satisfied with its performance.
Dr. D’Amico: Dr. Berrocal, have you noticed a reduction in surgical efficiency when using 27-gauge instruments?
Dr. Berrocal: Barely. The 20,000 cuts per minute vitrectomy cutter in 27-gauge is nearly as efficient in vitreous gel removal as larger gauge instruments, and I find that the added safety in reduced retinal traction offered by higher cut rates trumps any reduction in efficiency.

Dr. D’Amico: During surgery for symptomatic VOs, detaching the posterior hyaloid if it is unattached is a question that many surgeons grapple with. I prefer to avoid inducing a PVD in these surgeries, as I want to keep the surgery as short as possible. Still, I know there are benefits to detaching the posterior hyaloid. Dr. Berrocal, do you induce a PVD in these cases?
Dr. Berrocal: I operate similarly to Dr. D’Amico: I do not detach the posterior hyaloid if it is attached. I aim chiefly to remove as many VOs as I can while keeping the posterior hyaloid intact.
Dr. Ho: I often detach the posterior hyaloid during surgery for symptomatic VOs, although some of my colleagues prefer not to detach posterior hyaloid (see sidebar Hyaloid Elevation During Surgery for Vitreous Opacities). Part of my goal is to avoid having the patient return for more surgery. I don’t want to encounter a case in which a patient’s naturally occurring PVD creates new floaters after hyaloid cortical gel is released. That said, one must do this very gently. I only elevate hyaloid to about the equator, as going anterior to the equator increases risk of retinal tear.
Dr. D’Amico: Is surgery for VOs as minimally invasive as possible? I believe we’re all using 3-port set-ups, but I wonder if 2-port or even 1-port surgery could be effective.
Dr. Ho: As tempting as a 1-port system might sound, I do not think a surgeon can adequately perform a peripheral examination from just a single port. Also, the lack of control would concern me.
Ensuring ERM Removal in Patients With Vitreous Opacities
María H. Berrocal, MD
A 59-year-old patient presented with 20/50 VA complaining of floaters. Initial OCT revealed an epiretinal membrane (ERM; Figure 1) and clinical examination confirmed the presence of vitreous opacities (VOs). Notably, the patient did not complain of metamorphopsia.
Using 27-gauge instruments, a 3-port approach, and the NGENUITY 3D Visualization System (Alcon), I initiated vitrectomy to address the VOs that were observed in the anterior vitreous (Figure 2). As with all of my cases, I performed a close inspection of the periphery for any remaining vitreous. This is easiest with a 3-port approach.
After clearing vitreous, I peeled the ERM (Figure 3). Similar to my attention to detail regarding remaining vitreous in the posterior segment, I am careful to remove all observable pieces of ERM. Remaining ERM tissue could create postoperative visual disturbances, which would negate the effectiveness of removing VOs in the first place.
Dr. D’Amico: You are right that a 1-port system would lack control, which is why it isn’t utilized. Still, a 2-port system that combined the probe with infusion or illumination could be effective. However, I have not tried such a system, even though I find the less-invasive nature of it appealing.
Dr. Berrocal: The 3-port system is still my approach of choice. It allows great maneuvering and lets me perform a thorough peripheral examination. Clearing out as much as possible from the vitreous is vital in these surgeries, but so, too, is removing any potential membranes that could interfere with visual quality in the postoperative period. Imagine how disappointing it would be to perform surgery for symptomatic VOs only to hear back from a patient that they still experience symptoms from time to time. In that instance, I would assume that a piece of a peeled ERM that I neglected to remove would still be present (see sidebar Ensuring ERM Removal in Patients With Vitreous Opacities).
Dr. D’Amico: I also focus on membranes at the end of surgery. I make a small pass over the macula very carefully. I once had a patient who had a very small membrane segment remaining at the end of surgery, which I removed before completing the case. Removing it was easy—and it could have been the difference between a satisfactory surgery and an ineffective one.
CONSIDERING CATARACTS AND IOLs
Dr. D’Amico: Dr. Yeu, patients may present to you early in the cataract postsurgical period complaining of VOs. How do you begin to manage those cases?
Dr. Yeu: Patients who present in the postsurgical period use different terminologies to describe visual disturbances. Part of our jobs as surgeons is to figure out how what they’re describing matches what we can observe. For example, a patient who presents ‘fluctuating vision’ might be experiencing a floater or might have ocular surface disease. And in some cases, a patient is experiencing both—and treating the ocular surface might actually make the floater more disruptive (see sidebar Vitreous Opacity Interference With Performance of Premium IOL).
Dr. Berrocal: This reminds me of patients who, after the removal of significant cataracts, report seeing floaters weeks after surgery.
Although it is difficult to tell if the surgery may have created a PVD that released a floater into the visual axis, I usually assume that the floater had been there for a while, but that the cataract was so significant that the patient was unable to notice it.
Dr. D’Amico: Could it be the case that, in postoperative cataract patients, the posterior capsule is causing the visual disturbance rather than something in the posterior segment?
Dr. Yeu: That could be true for some cases. It’s difficult to pin down the relationship between surgery and the development of symptomatic VOs. I’ve had some patients tell me that I cured their floaters after noncomplex cataract surgery, which indicates to me that a PVD was induced in the OR that released a floater from the visual axis. But the opposite could also be true—that surgery would release a floater into the visual axis if a PVD occurs.
Dr. D’Amico: Do you include the possibility of VOs as a complication when explaining to patients the risk of cataract surgery?
Dr. Yeu: Not generally. I focus on the risks of bleeding, endophthalmitis, and the need for reoperation. Because VOs are rare in my experience, it isn’t something I usually bring up.
Risk of Retinal Detachment and Endophthalmitis
The most serious risk associated with pars plana vitrectomy (PPV) for symptomatic vitreous opacities (VOs) is the development of retinal detachment (RD). Among 10 major studies that published case series on PPV for symptomatic VOs, the rate of RD ranged from 0% in several studies1-3 to 15.8% in a study by de Nie et al.4 It should be noted that the highest complication rates occurred in earlier studies with large-gauge instruments, and that a decrease in complication rates was observed in the more recent studies that utilized smaller-gauge platforms. Only one case of endophthalmitis was reported across these 10 studies,5 resulting in a cumulative rate of 0.006%.
1. Schiff WM, Chang S, Mandava N, Barile Gr. Pars plana vitrectomy for persistent, visually significant vitreous opacities. Retina. 2000;20(6):591-596.
2. Mason JO 3rd, Neimkin MG, Mason JO 4th, et al. Safety, efficacy, and quality of life following sutureless vitrectomy for symptomatic vitreous floaters. Retina. 2014;34(6):1055-1061.
3. Sebag J, Yee KMP, Wa CA, et al. Vitrectomy for floaters: prospective efficacy analyses and retrospective safety profile. Retina. 2014;34(6):1062-1068.
4. de Nie KF, Crama N, Tilanus M, et al. Pars plana vitrectomy for disturbing primary vitreous floaters: clinical outcome and patient satisfaction. Graefes Arch Clin Exp Ophthalmol. 2013;251(5):1373-1382.
5. Lin Z, Zhang R, Liang QH, et al. Surgical outcomes of 27-gauge pars plana vitrectomy for symptomatic vitreous floaters. J Ophthalmol. 2017;2017:5496298.
Dr. D’Amico: Dr. Yeu, you mentioned earlier that the light-splitting dynamics of various premium IOLs may amplify the effects of floaters. Can you provide a brief overview of some of the newer technologies?
Dr. Yeu: The light-splitting technology of several presbyopia-correcting IOLs—that is, multifocal IOLs, extended depth-of-focus IOLs, and trifocal IOLs—creates multiple points through which a VO could be disruptive to quality of vision. The benefits that these IOLs provide are many, including reduced glare, fewer halos, and an obviation of reading glasses. Still, surgeons need to be aware of the role that floaters could play in patients with these technologies. Patients who select premium IOLs expect top-quality vision, and sometimes floaters can be a limiting factor in the final visual quality.
UNIQUE SITUATIONS
Dr. D’Amico: Patients with asteroid hyalosis may require greater suction during PPV. The particles present in patients with asteroid hyalosis are diffusely spread throughout the vitreous, and they are often not visible unless they are closely concentrated. In my experience, patients with asteroid hyalosis who experience a PVD often present with very symptomatic VOs, but they were often just fine before the PVD. Dr. Yeu, how do you handle the case of a patient who comes to your clinic for a cataract consultation and presents with moderate to severe asteroid hyalosis?
Dr. Yeu: A lot of my response depends on patient personality and the type of lens they are choosing. In general, it is best to concentrate on the cataract surgery and wait to see what might happen in the posterior segment. Still, in my experience, patients with asteroid hyalosis are very sensitive to any kinds of syneretic vitreous. For patients who might be demanding or expecting a high-performance postoperative outcome, I might prepare them for the possibility of VOs. But for most patients, I do not highlight that potential, as visual disturbance may never occur.
Phacovitrectomy in a Patient With Asteroid Hyalosis
María H. Berrocal, MD
A 78-year-old man presented to my clinic with 20/200 VA. Significant cataract and asteroid hyalosis were observed during examination. His condition and age dictated reduced surgical burden. Given my comfort with combined procedures, I elected to perform a phacovitrectomy with 27-gauge instrumentation using a rate of 20,000 cuts per minute and the NGENUITY 3D Visualization System (Alcon).
Figure 1. Phacoemulsification was performed without incident during the first stage of phacovitrectomy.
Figure 2. Dense asteroid hyalosis was present at the beginning of the vitrectomy stage of the phacovitrectomy.
I removed the crystalline lens without incident and placed a monofocal IOL (Figure 1). Dense asteroid hyalosis was encountered at the outset of vitrectomy (Figure 2). It took approximately 11 minutes to clear most of the vitreous (Figure 3). The surgery was efficient due to my use of 20,000 cuts per minute on the 27-gauge instruments. A final inspection of the periphery to clear up any remaining tissue was performed (Figure 4). The patient’s final postoperative VA was 20/30.
Dr. Ho: This is one of the great puzzles in ophthalmology, and I understand why Dr. Yeu doesn’t always bring up the possibility of VOs occurring in patients with asteroid hyalosis. I have examined patients with very dense asteroid hyalosis who, when asked if they have symptoms of floaters, tell me that they don’t know what I’m talking about. In these patients, neuroadaptation creates a disconnect between symptomatology and our observations as clinicians.
Dr. Berrocal: I have experienced success in patients with asteroid hyalosis by using a 27-gauge platform, which allows me to get as close to the periphery as possible. Cleaning up the peripheral vitreous in this manner makes for a thorough surgery (see sidebar Phacovitrectomy in a Patient With Asteroid Hyalosis).
Dr. D’Amico: Dr. Yeu, what IOL recommendations do you make to monocular patients, knowing that a symptomatic VO may be amplified if they are implanted with a multifocal IOL?
Dr. Yeu: I do not advise multifocal IOLs for monocular patients, but my reasoning has little to do with the potential disruption of VOs. Monocular patients belong in glasses so that they can have a degree of protection. From a refractive error standpoint, I aim for patients to be -0.50 D or -0.75 D after implanting a monofocal IOL. That visual range is very functional, but also requires the patient to wear glasses, thus incentivizing that they wear them for functional and protective purposes.
Dr. D’Amico: What do you advise regarding high myopes?
Dr. Yeu: I treat patients with high myopia like any other patient with a healthy eye in terms of the lenses that I offer. That said, I will not offer a refractive lens exchange for these patients if they qualify for LASIK or PRK surgery. In these patients, I want to see evidence of a PVD. I also educate them about retina-related risks, as they are already predisposed to retinal pathology.
CLOSING COMMENTS
Dr. D’Amico: What advice might you all give to surgeons who are either trying to improve the surgery they use for symptomatic VOs or who are considering offering it more widely?
Dr. Berrocal: For a long time, the 6-month waiting period was dogma. Now, as I listen closely to my patients, I see why they are eager for surgery. We have to put ourselves in their shoes. If their functional vision is significantly disrupted, a 6-month waiting period could be difficult to live with.
Surgical innovation has made these surgeries safer, and we should embrace that safety to increase the quality of life we provide our patients.
Dr. Yeu: I agree with Dr. Berrocal’s point that listening to patients is key. I find that among patients with presbyopia-correcting IOLs who are experiencing amplified symptomatic VOs, 6 months is too long. As an anterior segment surgeon, I defer to my retina surgeon colleagues on matters of the timing for surgery. I urge them to keep in mind how the dynamics of the anterior segment might affect those of the posterior segment.

Dr. Ho: Discussions such as these will be key as our field figures out the best way to manage cases of symptomatic VOs. Because there is no established best practice, the variety of perspectives and methodologies offered by surgeons who have become experts in treating VOs with surgery will be needed to create consensus—or something resembling it—which can then be used as a starting point from which we can take collective action.
Dr. D’Amico: I agree—the more discussion we have, the better. And we should be sure to include our anterior segment colleagues in this, too. I’ve learned a lot from Dr. Yeu during this panel from an anterior segment perspective, and of course I’ve learned plenty from two retina giants, Drs. Berrocal and Ho.


