Diabetic tractional retinal detachments (TRDs) are notoriously delicate and difficult surgeries to perform. While extramacular and nasal TRDs can be observed closely, macula- and specifically fovea-involving TRDs warrant prompt treatment. In such cases, a methodical approach to the surgery is imperative. Surgical planning should take into account the patient’s systemic diabetes control, lens status, ischemic burden, traction at the macular area, and status of the fellow eye.1
Intraoperatively, a stepwise approach is needed to adequately relieve retinal traction while minimizing risks for complications such as iatrogenic retinal breaks in thin, ischemic retinas. The three fundamental principles underlying these surgical cases include truncation, segmentation, and delamination of the posterior hyaloid from the retina.
- Truncation relieves anterior-posterior traction by separating the anterior vitreous cortex from the posterior pole.
- Segmentation relieves tangential traction by separating individual neovascular complexes.
- Delamination relieves residual anterior-posterior traction between preretinal membranes and the underlying retina.2
Preoperative planning should consider exactly how these surgical objectives will be met. The use of wide-field fundus photographs, OCT, and ultrasound helps surgeons understand the vitreoretinal relationship and predict intraoperative challenges. Innumerable instruments, including small-gauge vitreous cutters, blunt and sharp forceps, blades, scissors, and dissection cannulas, are available, and a bimanual surgical approach may be considered. Facility with such instruments and techniques gives surgeons an advantage during these particularly challenging cases.3
Case Report
A 40-year-old woman with a history of hypertension and diabetes presented to the retina service because she was experiencing a decline in vision without pain in both eyes. Her VA was 20/200 in the right eye and 20/150 in the left eye.
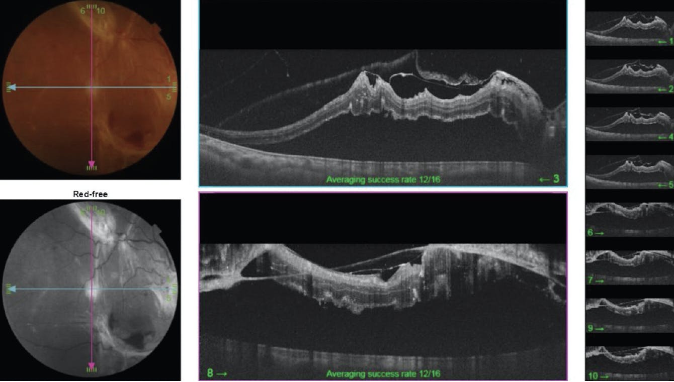
Anterior segment evaluation of both eyes was notable for phakic lenses. Posterior segment examination of the right eye revealed a dense epiretinal membrane (ERM) and a macula-involving TRD in a table-top configuration with attached peripheral retina (Figure 1). Posterior-segment examination of the left eye revealed untreated proliferative diabetic retinopathy with an ERM overlying the macula, but with an attached retina. OCT of the right eye (Figure 2) was notable for incomplete vitreous separation, thick ERM with cystic intraretinal fluid, numerous intraretinal exudates, and neurosensory retinal detachment involving the foveal area. The patient consented to pars plana vitrectomy (PPV), repair of TRD, and silicone oil placement.
Figure 1. Preoperative fundus photograph demonstrating preretinal hemorrhage and TRD overlying the macula.
Figure 2. Preoperative OCT demonstrating incomplete posterior vitreous separation, thickened posterior hyaloid, ERM, and neurosensory detachment involving fovea.
A 23-gauge core PPV was performed on the right eye. A 25-gauge chandelier allowed for bimanual surgery. Truncation of the anterior vitreous was performed to alleviate anterior-posterior traction. The surgeon then addressed the tractional macular detachment. The vitreous cutter was used to perform segmentation and isolate individual neovascular complexes. The hyaloid and preretinal membranes remained tightly adherent along the superior arcade. Bleeding from neovascular complexes was encountered, and hemostasis was achieved by increasing the infusion pressure as needed. The 23-gauge forceps were used in each hand to find a plane of opening along the posterior hyaloid. One forceps was used to place the membrane on gentle traction, while the other was used to dissect and delaminate the preretinal membranes en bloc from the underlying thin ischemic retina. The hyaloid was lifted to the equator, and a drainage retinotomy was created. Fluid-air exchange was performed. An endolaser probe was introduced, and panretinal photocoagulation was performed. Air was then exchanged for 1000-cST silicone oil. The sclerotomies were determined to be watertight, and IOP was physiologic.

A second surgery was performed 3 months later to remove silicone oil from the right eye. Upon completion, the retina remained flat (Figure 3). Follow-up OCT (Figure 4) demonstrated interval improvement in the foveal contour with residual outer retinal atrophy. Central VA remained 20/200 with interval progression of cataract. The retina remained attached throughout. Scan the QR code to watch a video of this case.
Figure 3. Postoperative fundus photograph demonstrating silicone oil in situ and interval repair of TRD with peripheral panretinal photocoagulation.
Discussion
Some of the key components of diabetic vitrectomy include the release of anterior-posterior traction by performing a complete 360º truncation and assuring no anterior-posterior adhesion remains before starting the membrane peeling.
One of the key steps during membrane peeling is finding the exact plane between the retina and the deepest layer of vitreoschisis, which is common in diabetic eyes. Identification of pegs or focal adhesions helps to find this plane. Once the plane is identified, releasing the adhesions, carefully separating the membranes, making small segments, and avoiding traction on the thin, ischemic retina, helps to prevent break formation and complete removal of ERMs. A bimanual procedure using scissors/forceps or 27-gauge vitrectors helps to achieve membrane peeling with a shorter surgery time.
Fluid-air exchange plays an important role, as the subretinal fluid is thick in such tractional detachments, therefore preventing complete reattachment after fluid-air exchange. Careful peripheral examination at the end of surgery to rule out any retinal breaks is crucial.
Conclusion
Diabetic TRD surgery poses several challenges. Adequate surgical planning is needed to achieve a successful anatomic outcome. Postoperatively, close follow-up of these patients is required to evaluate for sustained retinal reattachment and to monitor for possible neovascular complications.
Watch Related Case Videos on Eyetube
1. Eliott D, Hemeida T. Diabetic traction retinal detachment. Int Ophthalmol Clin. 2009;49(2):153-165.
2. Meleth AD, Carvounis PE. Outcomes of vitrectomy for tractional retinal detachment in diabetic retinopathy. Int Ophthalmol Clin. 2014;54(2):127-139.
3. Iyer SSR, Regan KA, Burnham JM, Chen CJ. Surgical management of diabetic tractional retinal detachments. Surv Ophthalmol. 2019;64(6):780-809.