The Clinical and Economic
Argument for MicroPulse® Laser in a Retinal Practice image
The Clinical and Economic
Argument for MicroPulse® Laser in a Retinal Practice image

Sponsored by Iridex

September 2022 Supplement | The Clinical and Economic Argument for MicroPulse® Laser in a Retinal Practice

The Clinical and Economic Argument for MicroPulse® Laser in a Retinal Practice

Retina specialists simultaneously balance their duty to provide high-quality patient care with the realities of running a business. These obligations are not mutually exclusive yet it can be challenging to do both.

Before making an investment in a new instrument, physician leaders and practice managers should evaluate the relevant income, expenses, and cashflow to determine if it is prudent. Responsible investment in a new technologic platform requires a review of recent data, consultation with peers about the technology in question, and a determination as to whether the practice will recoup the cost of purchase in a timely manner. Significantly, a clinician must decide if the addition of a new instrument will lead to improved patient care in the form of reduced treatment burden, more precise therapy, and increased likelihood of disease response. In this piece, we apply this framework to MicroPulse® Laser Therapy (Iridex) in the context of treating diabetic macular edema (DME) with encouraging results.

DEFINING THE ECONOMIC BURDEN

Kevin J Corcoran, COE, CPC, CPMA, FNAO

In the United States, an aging population1 and rising rates of diabetes mellitus2 have manifested two phenomena: rising rates of neovascular, or wet, age-related macular degeneration (wet AMD),1 as well as diabetic retinopathy (DR) and DME.3,4

Intravitreal anti-VEGF agents have been shown to be safe and effective at treating these conditions, and a number of anti-VEGF agents are used to treat these retinal diseases (Table 1).

The rate of annual intravitreal injections in the United States has grown significantly from 2004 to 2021 (Figure 1). Prior to 2003, there were a trivial number of intravitreal injections. From 2003 to 2016, the annual number of injections grew to 3.25 million among Medicare Part B beneficiaries; by 2021, 4.50 million intravitreal injections were administered each year in this population, resulting in a compound annual growth rate of 30% since 2003. Approximately 2.25 million intravitreal injections were linked Medicare Advantage plans in 2021, as were approximately 1-2 million injections for non-Medicare patients. We should note use of intravitreal injection for application of therapies other than anti-VEGF agents, such as administration of triamcinolone acetonide, contribute negligibly to the total number of injections per year and that a vast majority of injections are anti-VEGF.

<p>Figure 1. An estimated 4.50 million intravitreal injections were administered to Medicare Part B patients in 2021, nearly all of which were for the administration of anti-VEGF agents. The compound annual growth rate from 2003 to 2021 is approximately 30%.</p>

Click to view larger

Figure 1. An estimated 4.50 million intravitreal injections were administered to Medicare Part B patients in 2021, nearly all of which were for the administration of anti-VEGF agents. The compound annual growth rate from 2003 to 2021 is approximately 30%.

Among Medicare Part B patients in 2016, approximately $2.21 billion and $1.04 billion were expended on aflibercept and ranibizumab, respectively (Table 2). In 2020, an estimated $4.12 billion was spent on those two anti-VEGF agents alone.5 These two drugs represented an estimated 40% of all Medicare Part B payments to ophthalmologists in 2018, raising very serious questions of resource allocation and the long-term economic burden of high-volume anti-VEGF use in a public-private payer model such as Medicare.

At the same time that these dynamics raise questions about the long-term economic sustainability of a health care system with such high costs, practice-level concerns linked to high-volume anti-VEGF use arise when we zoom into day-to-day clinical environments.

Practices with high-volume anti-VEGF routines are tasked with costly and complicated inventory management. A typical mid-size practice may stock 4 to 6 different anti-VEGF agents in 30- to 60-day supplies, which could require tracking as many as 500 vials of biologic at a given time. Acquisition costs for vials themselves are a high and variable capital investment, ranging from approximately $50 per vial of bevacizumab to $1,850 per vial of aflibercept and brolucizumab, $2,000 per vial of ranibizumab, and $2,190 per vial of faricimab. Security and replacement of this inventory may be complex, and delays in reimbursement may magnify inventory-related costs. In short, these tiny vials are expensive and keeping track of them is complicated.

Third-party payers have taken notice of high therapy costs. In an effort to moderate the use of expensive anti-VEGF agents, payers have encouraged the use of bevacizumab therapy—which, at a cost of less than $100 per injection, is significantly lower than the $1,850 price of the next-cheapest options commonly employed by ophthalmologists—by implementing policies that leverage step therapy. In a step therapy protocol, a patient’s disease must demonstrate an inadequate response to the less expensive therapy (ie, bevacizumab) before “stepping up” to a more expensive therapy. Step therapy has not been received well for a number of reasons: delays in patient treatments have occurred, leading to increased burden of care for patients, and a dynamic in which physician judgement is overridden by third-party payer rules has led to questions regarding quality of care. This is to say nothing of the administrative burden associated with filing prior authorization requests and tracking which patients are eligible for a new therapy.

Among DME and DR patients in particular, an alternative to anti-VEGF therapy that prioritizes safety and efficacy, addresses high costs to the health care system, and reduces inventory-related snags to clinical workflow may be appealing to physicians seeking to streamline their clinical operations and reduce treatment burden on patients. One such therapy, MicroPulse laser treatment, is worth considering.

ASSOCIATED BURDENS

Jorge Calzada, MD

Treatment burdens associated with DME are significant. Among working-age patients with DME, 53% must take a day off of work for each treatment session6; among all DME patients, 71% require the assistance of a caretaker for appointments.6 Further, financial barriers contribute to the overall treatment burden for diabetic eye disease.7,8 This is to say nothing of the overall burden of care placed on patients, many of whom have comorbid conditions that require other appointments: Kiss et al have reported that working-age patients with DME experience a mean 29 health care visits per year, only 5 of which are ocular in nature.9

Phase 3 data have shown that repeated intravitreal anti-VEGF injections are more effective than laser therapy10,11; these data resulted in anti-VEGF therapy replacing laser as the standard of care. Patients require frequent anti-VEGF injections to resolve edema, and undergo maintenance therapy thereafter. Although patients have successfully undergone treat-and-extend therapeutic regimens,12 greater reductions of treatment burden using as-needed therapy have been found to be inferior to fixed anti-VEGF dosing.13

Losing patients to follow-up is a common real-world challenge for patients with diabetic eye disease, with lost to follow-up rates as high as 25%.14 Kiss et al found 24 non-ocular health care visits per year for diabetic patients, many on an emergent basis, that lead to postponement of eye care visits.9 The COVID-19 pandemic exacerbated challenges to follow-up, as many patients who otherwise received routine injections did not keep their scheduled appointments. In my clinic, I have observed that patients who do not undergo maintenance therapy experience disease recurrence. Returning patients to a routine after they are lost to follow-up has numerous challenges, and on-again/off-again maintenance regimens may result in long-term damage to ocular tissues.

For some patients, use of longer-term steroid-eluting agents such as the dexamethasone intravitreal implant 0.7 mg (Ozurdex, Allergan) and the fluocinolone acetonide intravitreal implant 0.19 mg (Iluvien, Alimera Sciences) are effective tools at managing DME. Although those agents may provide a clinical effect lasting 3-12 months, they are not a permanent solution to reducing treatment burden in DME patients. In fact, in patients whose disease is primarily VEGF-mediated, they may find that steroids have a ceiling effect and that they require observation and management of intraocular pressure.

Long-term maintenance is difficult to achieve with anti-VEGF therapy alone, necessitating the need for adjunctive therapy in some patients. Retina specialists tasked with ensuring minimal treatment burden for patients with diabetic eye disease should consider how leveraging multiple therapeutic approaches could reduce barriers to treatment without sacrificing quality of care. One such option is MicroPulse laser.

DME, MICROPULSE THERAPY, SCENARIOS

Jorge Calzada, MD

When a DME patient presents to my clinic, I (J.C.) characterize their edema based on location. Diffuse edema occurs when edema is present throughout the macula. Localized edema (also called focal edema) is present when specific portions of retinal tissue are edematous.

Patients who present with diffuse edema are excellent candidates for anti-VEGF therapy or steroid therapy, both of which are commonly effective at controlling inflammation. It should be noted that diffuse edema often involves the fovea, so any resolution to retinal anatomy will often include improvements to foveal anatomy. I consider MicroPulse therapy to be an effective treatment option for this patient population only when I observe an area of significantly more edema than its surrounding macula. For most patients, I stick to monthly anti-VEGF therapy until disease severity has been adequately reduced.

Patients with localized edema may present with or without foveal involvement. Those with foveal involvement undergo a similar treatment regimen to those with diffuse edema, with an emphasis on resolving fluid collection near the foveal center. Only after foveal involvement resolves do I consider use of MicroPulse laser. Among those with localized edema who present without foveal involvement, use of MicroPulse laser is appropriate and an effective tool to control disease recurrence in my practice.

Patients sometimes present with bilateral DME but different profiles. Consider a patient who presents with diffuse edema in the right eye but localized non-foveal edema in the contralateral eye. After initiating anti-VEGF therapy in the right eye, I would consider MicroPulse laser in the fellow eye with localized non-foveal edema.

Use of MicroPulse laser in this case guards against consequences of missing therapy; may prevent conversion from localized non-foveal edema to foveal involvement or diffuse edema; and allows me to remain confident that, even if this patient were to be lost to follow-up, at least one eye has received effective long-term therapy.

Importantly, I have not observed any cases of vision loss secondary to MicroPulse therapy in patients with DME. That may be salient for clinicians who are wary of laser following inadvertent tissue ablation or creation of neovascular membranes after employing larger amounts of laser energy.

To illustrate the real-world value of MicroPulse laser, consider the following two cases.

Case No. 1: Unilateral DME Unresponsive to Anti-VEGF Therapy

A 54-year-old woman presented to the clinic with unilateral DME. The patient received two monthly injections of bevacizumab (Avastin, Genentech). After the second injection, minimal changes to macular thickness were observed on OCT. The area of edema corresponded to the area of leakage on fluorescein angiography.

Because the patient’s edema was focal and spared the fovea, I proceeded with applying MicroPulse grid laser. For this patient, I titrated power to 650 mW with a 5% duty cycle and a 200 msec duration. I elected to use a spot size of 100 µm in a 3 x 3 rectangular grid with adjoining lasers spots on the patterns (ie, 0 µm separation between laser spots). In all, 160 laser spots were administered to the area of edema.

Three months after application of MicroPulse laser, complete resolution of macular edema was observed and visual acuity was measured at 20/20 (Figure 2). A comparison of baseline retinal thickness and retinal thickness at 3 months is detailed in the three images to the right of Figure 2.

<p>Figure 2. Imaging results from a 54-year-old woman with unilateral DME 3 months after receiving MicroPulse grid laser therapy. At 3 months, the patient demonstrated 20/20 VA and complete resolution of macular edema.</p>

Click to view larger

Figure 2. Imaging results from a 54-year-old woman with unilateral DME 3 months after receiving MicroPulse grid laser therapy. At 3 months, the patient demonstrated 20/20 VA and complete resolution of macular edema.

In this case, the patient was young (ie, 54 years) and still of working age. Because she experienced complete resolution of DME 3 months after undergoing laser treatment, this patient’s treatment burden—and the potential time off from work that a patient such as this would need to take in order to receive treatment—was significantly reduced.

Case No. 2: Unilateral Foveal-involving DME During the COVID-19 Pandemic

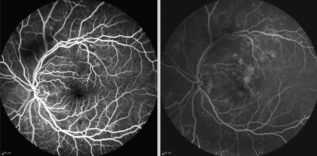
During the COVID-19 pandemic, a 62-year-old woman presented to the clinic with unilateral foveal-involving DME. During her evaluation, leaking microaneurysms in the superotemporal quadrant of the macula were observed on fluorescein angiography (Figure 3), and edema locations and severity were characterized on OCT (Figure 4)

<p>Figure 3. Fluorescein angiography was used to characterize leakage of microaneurysms in a 62-year-old woman who presented to the clinic with DME. After resolution of foveal edema, the patient received MicroPulse laser in the areas corresponding with leakage.</p>

Click to view larger

Figure 3. Fluorescein angiography was used to characterize leakage of microaneurysms in a 62-year-old woman who presented to the clinic with DME. After resolution of foveal edema, the patient received MicroPulse laser in the areas corresponding with leakage.

Because the disease involved the fovea, I declined to use MicroPulse laser and instead elected to administer a single injection of aflibercept (Eylea, Regeneron). Upon her return at 3 weeks, foveal involvement had resolved, and I determined that this patient was now a good candidate for MicroPulse laser. As I did with the patient profiled in Case No. 1, I titrated laser power to 650 mW with a 5% duty cycle and a 200 msec duration, and leveraged a 3 x 3 rectangular pattern grid with spots sized at 100 µm and 0 µm between spots. In all, 140 spots were administered, all of which were localized to the areas of leakage as observed on fluorescein angiography.

Fearing risk of exposure to COVID-19, the patient did not return for 12 months. During the follow-up examination, it was observed that macular edema had resolved in the central macular subfield and the fovea, and only minimal extrafoveal edema could be observed on OCT. I attribute this long response to therapy to the MicroPulse laser rather than the single injection of aflibercept.

This patient’s case illustrates the long-term potential of MicroPulse therapy in patients with DME. It also shows how some patients who present with foveal involvement (and who are therefore ineligible for MicroPulse laser) may benefit from MicroPulse laser after foveal edema responds to an alternative therapy.

<p>Figure 4. OCT imaging showed that the patient’s DME involved the fovea. Per my practice’s protocols, foveal involvement must be resolved before MicroPulse laser may be applied.</p>

Click to view larger

Figure 4. OCT imaging showed that the patient’s DME involved the fovea. Per my practice’s protocols, foveal involvement must be resolved before MicroPulse laser may be applied.

ECONOMICS OF MICROPULSE

Kevin J Corcoran, COE, CPC, CPMA, FNAO

Physicians considering adding a MicroPulse laser platform to their armamentarium should examine the economics of this investment. For some, after an initial capital investment, low operating costs and reasonable reimbursement rates mean that MicroPulse laser is economically viable.

The decision to purchase a laser platform must consider a number of factors, including initial cost, annual maintenance expenses, physical spacing budgets, frequency of use, and the payment rate of reimbursement. After calculating an annual gross margin (ie, revenue less expenses per year), physicians can determine whether their cashflow will allow a short pay-off period; a pay-off period of 24 months or less is optimal. If a practice is able to pay for the cost of a capital investment within that time period, it is generally accepted that the investment is financially sound.

Given that laser application would occur in lieu of intravitreal anti-VEGF injection for some patients with diabetic eye disease, it is worth comparing the reimbursement of both treatment options. Tables 3 and 4 detail specific Medicare national physician payment rates for these two procedures for clinics and ambulatory surgical centers (ASCs), as well as Medicare national ASC facility fee rates for each procedure.

Economics in a Fee-for-service Model

The payment rates in Tables 3 and 4 can be applied to a hypothetical practice to illustrate the potential cashflow associated with a laser platform in a fee-for-service model. Imagine a practice that uses laser about once per day, or 20 times per month. Annual reimbursement for that clinic would be approximately $125,000. Associated costs related to the laser—such as staff, space, supplies, maintenance, and physician compensation—amount to approximately $55,000. The annual difference between revenue and costs in this scenario is approximately $70,000, an amount that allows the practice to pay for the initial capital investment in less than 1 year. In this scenario, a clinic that uses the laser approximately 20 times per month would find that a new laser platform is a sound capital budgeting decision in a fee-for-service practice. Additionally, including a laser in the practice would lead to reduced pharmaceutical inventory, as some patients may have a lower injection burden following treatment with MicroPulse laser.

Economics in a Managed Care Model

MicroPulse laser economics are also attractive in a capitated practice model. In such models, providers are incentivized to reduce the cost of care without sacrificing safety and efficacy of treatment programs.

In this example, patients in such practices will be closely monitored for disease progression (as they should be in all practice models), and their provider will determine whether laser therapy or intravitreal anti-VEGF is best suited for them at the point of care.

In this example, the annual cost of delivering care for diabetic eye disease is reduced because a portion of patients occasionally receive laser rather than intravitreal anti-VEGF therapy. Therefore, use of laser as part of the treatment decision tree in a capitated practice helps the clinic achieve their mission of reducing the cost of care.

SUMMARY

Researchers such as Chen et al have observed that, among DME patients, laser therapy’s affordability is preferred to that of routine intravitreal anti-VEGF administration.14 Scholz et al concluded that laser therapy is a viable option for patients whose retinal disease has not responded sufficiently to anti-VEGF therapy or whose barriers to compliance (ie, high cost, frequency of treatment, inability to find transportation to the clinic) interfere with completing an ideal treatment regimen.15

Inclusion of MicroPulse laser therapy in an ophthalmic clinic’s armamentarium for the treatment of retinal disease prioritizes patient safety and treatment without jeopardizing the financial stability of a practice. Offering laser as an option for DME could contribute to the therapeutic profile of patients whose disease has not adequately responded to anti-VEGF therapy or steroid therapy, and could meaningfully reduce the treatment burden of patients who otherwise require frequent intravitreal injections and trips to the clinic.

Use of MicroPulse laser is only appropriate in patients whose disease characteristics and health profiles allow such therapy. Still, given that a wide swath of the patient population is eligible for laser therapy, clinicians concerned that the financial math would not work in their favor—those who might be saying to themselves, “I’m not sure that I would use MicroPulse laser often enough for it to be worth the investment”—can rest assured that, as shown in the example provided above, use of MicroPulse laser only 20 times per month is likely to offset the initial capital investment within a year.

1. Pennington KL, DeAngelis MM. Epidemiology of age-related macular degeneration (AMD): associations with cardiovascular disease phenotypes and lipid factors. Eye Vis (Lond). 2016;3:34.

2. US Centers for Disease Control and Prevention. National Diabetes Statistics Report. 2020. Accessed November 20, 2020. Available at: https://www.cdc.gov/diabetes/pdfs/data/statistics/national-diabetes-statistics-report.pdf

3. Varma R, Bressler NM, Doan QV, et al. Prevalence of and risk factors for diabetic macular edema in the United States. JAMA Ophthalmol. 2014;132(11):1334-1340.

4. Yau JWY, Rogers SL, Kawasaki R, et al; Meta-Analysis for Eye Disease (META-EYE) Study Group. Global prevalence and major risk factors of diabetic retinopathy. Diabetes Care. 2012;35(5):556-564.

5. Centers for Medicare and Medicaid Services. Medicare Part B Spending by Drug. Accessed June 13, 2022. Available at: https://data.cms.gov/summary-statistics-on-use-and-payments/medicare-medicaid-spending-by-drug/medicare-part-b-spending-by-drug/data.

6. Sivaprasad S, Oyetunde S. Impact of injection therapy on retinal patients with diabetic macular edema or retinal vein occlusion. Clin Ophthalmol. 2016;10:939-946.

7. Lee LJ, Yu AP, Cahill KE, et al. Direct and Indirect Costs among Employees with Diabetic Retinopathy in the United States. Curr Med Res Opin 2008;24:1549-59.

8. Chen E, Looman M, Laouri M, et al. Burden of Illness of Diabetic Macular Edema: Literature Review. Curr Med Res Opin 2010;26:1587-97.

9. Kiss S, Chandwani HS, Cole AL, et al. Comorbidity and health care visit burden in working-age commercially insured patients with diabetic macular edema. Clin Ophthalmol. 2016;10:2443-2453.

10. Brown DM, Schmidt-Erfurth U, Do DV, et al. Intravitreal aflibercept for diabetic macular edema: 100-week results from the VISTA and VIVID studies. >Ophthalmology. 2015;122:2044-2052.

11. Eylea (Aflibercept) Injection Receives FDA Approval for the Treatment of Diabetic Macular Edema (DME) [press release]. July 29, 2014; Regeneron; Tarrytown, NY.

12. Payne JF, Wykoff CC, Clark WL, et al; TREX-DME Study Group. Randomized trial of treat and extend ranibizumab with and without navigated laser versus monthly dosing for diabetic macular edema: TREX-DME 2-year outcomes. Am J Ophthalmol. 2019;202:91-99.

13. Muston D, Korobelnik J, Reason T, et al. An efficacy comparison of anti-vascular growth factor agents and laser photocoagulation in diabetic macular edema: a network meta-analysis incorporating individual patient-level data. BMC Ophthalmol. 2018;18:340

14. Chen G, Tzekov R, Li W, et al. Subthreshold micropulse diode laser versus conventional laser photocoagulation for diabetic macular edema: a meta-analysis of randomized controlled trials. Retina. 2016;36(11):2059–2065.

15. Scholz P, Altay L, Fauser S. A review of subthreshold micropulse laser for treatment of macular disorders. Adv Ther. 2017;34(7):1528-1555.

The MicroPulse P3 Probe indications include, but are not limited to, transscleral cyclophotocoagulation for the treatment of primary open-angle glaucoma, closed-angle glaucoma, and refractory glaucoma.

Iridex, the Iridex logo, MicroPulse, Cyclo G6, MicroPulse P3 and G-Probe are registered trademarks of Iridex Corporation. All other trademarks are the property of their respective owners.

Iridex | 1212 Terra Bella Avenue | Mountain View, CA 94043 | 800.388.4747 (U.S. Inquiries) info@iridex.com (U.S. & Int’l Inquiries) | www.iridex.com
LT0758 08.22

Jorge Calzada, MD

  • Founder and CEO, Deep Blue Retina Memphis, Tennessee

Kevin J Corcoran, COE, CPC, CPMA, FNAO

  • President, Corcoran Consulting Group San Bernardino, California