We’ve been excited about hosting a roundtable for the diabetic eye disease cover focus in this issue of Retina Today for nearly a year. This roundtable started as an idea in January at the Atlantic Coast Retina Club meeting in Boston. After a presentation by J. Fernando Arevalo, MD, PhD, in which he discussed case reports of several complex diabetic patients, we had the idea to conduct a mega-roundtable as the centerpiece for this diabetic eye disease issue.

We assembled three surgeons with varying perspectives on the best approaches to treating advanced diabetic eye disease. Randomized controlled surgical clinical trials are challenging to execute and are often inherently confounded by surgeon variability; thus, we share here the collective, deep, and broad experience of these surgeons managing patients with severe diabetic eye disease. We hope that this roundtable serves as a source you can return to from time to time as you broaden your understanding about surgical management in these challenging cases.

—Allen C. Ho, MD; and Robert L. Avery, MD


MEDICAL CONTROL
Education

Robert L. Avery, MD: We’re all surgeons. We like to think about surgical solutions. However, first of all, I’m curious how you discuss medical control of diabetes with your patients with diabetic eye disease.

J. Fernando Arevalo, MD, PhD: It’s important to discuss disease control with our diabetic patients. Data from studies as far back as the Diabetes Control and Complications Trial1 and the UK Prospective Diabetes Study2 show that glycemic control and blood pressure control can prevent or delay the progression of diabetic retinopathy (DR). I tell all of my patients that they should have good control of glycemia, cholesterol, and blood pressure. I make sure that they are seeing a primary care physician or an endocrinologist to keep glycemia and HbA1C under control. That’s the limit to what I do.

Tien P. Wong, MD: I typically do what Dr. Arevalo does. I tell patients they need to see their internist and I ask them about their A1C. If they don’t know, I tell them what they should aim for. That’s about the extent of it.

While a patient is seeing you, he or she is actively going blind. I find that reminding patients of this is encouragement enough. I tell them that, if they can’t control their sugar and their diet, that they may wind up in a situation where we can’t reverse their vision loss.

Dr. Avery: Dr. Berrocal, you have a lot of patients with advanced diabetes in your practice in San Juan, Puerto Rico. What tactics do you use to encourage compliance in these patients?

María H. Berrocal, MD: My diabetic patients often don’t understand much about the disease. Many of them think all they need to do is inject insulin and take their pills and that’s it. Some patients know their A1C levels and other don’t. For those who don’t, I send a note to their primary care doctors to ask for laboratory reports.

I always ask my patients what they ate that day or the day before because many of them have misconceptions about diet. They drink juices. They think that whole wheat bread is okay. Many of them eat rice on a daily basis.

I made a diet chart in English and in Spanish for my patients, and I always hand diabetic patients a copy of the chart. The chart has a yes and a no column, and I list the snacks they can have in the yes column. I want to give them an easy reference.

Allen C. Ho, MD: I love the idea of Dr. Berrocal’s diet chart. I discuss A1C with patients and frame it as a 3-month report card on blood sugar control. Patients are often confused about the concept of A1C levels. I tell them, “It’s not A-B-C, it’s A1C. Ask your doctor what your levels are. If it’s 6 or 7, then you’re good. If you’re above 7, then you’re in trouble.”

I suggest showing patients their fundus photographs. When they see hemorrhages in the eye, even though the patient may be visually asymptomatic, he or she may be motivated to change diet, compliance behavior, and medical regimen.

Dr. Arevalo: I also show patients their photographs, and I show them their angiography results. Even though patients don’t understand how to read these imaging reports, they understand (after I explain it to them) that the white dots are microaneurysms. OCT readouts, which I also share, are more intuitive to understand.

Setting Expectations

Dr. Avery: Sometimes our tactics to encourage disease control work, and a patient who was under loose control is suddenly under tight control. Some of these patients then present with worsening DR.

How frank are you with these patients? What do you tell that patient who asks, “Why is my retinopathy so much worse? I’m doing so much better now.” How detailed are you in your explanation? For instance, do you tell them that tight control could be making the retinopathy worse?

Dr. Berrocal: That happens to my patients who, by the time they reach my clinic, have advanced disease. I tell these patients that their body is used to running with really high sugar levels and that, until they adapt to the new normal, their disease may continue to progress. I stress that the long-term benefits of control are the most important thing to focus on.

I tell these patients that, if they don’t control their sugar, diabetes will affect every part of the body. I tell them that toes, legs, hair, and even hands can be lost to diabetes, and that they could end up in a wheelchair, blind, and on dialysis. I tell them that it will be bad for a while, but that we’re focused on the long term.

Dr. Wong: That’s what I tell them. I tell patients, “You’re starving your retina for a little while. It’s like going on a diet. In 18 months, you’re going to be better off.”

SEVERE DIABETES
Laser and Anti-VEGF Therapy in Proliferative and Nonproliferative Disease

Dr. Ho: We all have patients with severe nonproliferative DR (NPDR) or active proliferative DR (PDR) who struggle with compliance. With the data we have from the DRCR Retina Network Protocol S trial, how do you use anti-VEGF agents and laser in patients who may not be compliant?

Dr. Wong: I use anti-VEGF in almost all of my patients. I rarely use laser in the management of active DR. I think that the best way of counteracting VEGF is anti-VEGF, not necessarily laser.

Dr. Avery: I use anti-VEGF for extremely severe NPDR because those cases, I think, are worse than early PDR cases. I tend to start with anti-VEGF therapy in the hope of reversing the disease process. Eventually, I often apply some very peripheral laser when the eye has quieted down, especially in the PDR cases.

Widefield angiograms are particularly helpful in cases in which there is nonperfusion in the periphery. After anti-VEGF therapy has induced resolution of any diabetic macular edema (DME), I then typically apply very peripheral pattern laser with particular attention to the areas of nonperfusion. I don’t treat posteriorly at all, in an effort to avoid affecting the visual field too much. To me, laser application serves as an insurance policy of sorts for patients who do not return for follow-up due to noncompliance or other medical issues.

Dr. Arevalo: Assessing compliance in patients with advanced disease is difficult but important. If a patient’s history shows missed visits, I factor that into my assessment.

Data from the Pan-American Collaborative Retina Study (PACORES) Group sheds some light on these situations.3 Researchers found that, at 2 years, treatment-naïve patients treated with anti-VEGF therapy alone needed panretinal photocoagulation (PRP) or vitrectomy in about 60% of cases.

Dr. Ho: Drs. Avery and Arevalo both say, “Don’t throw out your laser.” Dr. Wong, what is your stance on laser therapy?

Dr. Wong: I’m not sure how effective laser is in lowering VEGF levels. I apply PRP in conjunction with vitrectomy and after PDR is burned out, generally to prevent neovascular glaucoma (NVG).

I participated in an investigator-sponsored trial (IST) that examined patients who received targeted PRP to the ischemic retina.4 We found that PRP application did not reduce the number of anti-VEGF treatments needed to control macular edema. Interestingly, in our small series, the only patients who developed NVG were the nonlaser group. None of the patients who underwent scatter PRP developed NVG. Maybe a little bit of laser does prevent NVG, which is the only thing I’m afraid of in these patients.

Dr. Berrocal: Patients who present with advanced diabetic eye disease undergo widefield angiography in my practice. If a high level of ischemia is observed, then I laser these patients. I don’t really worry about the visual field because that area is ischemic anyway.

If the patient presents with DME, I treat with anti-VEGF therapy. If the patient has macular edema and NPDR, then I may use anti-VEGF agents only. Of course, I have performed angiography in such patients. I emphasize to them the importance of not getting lost to follow-up.

If they have PDR and DME, I treat with anti-VEGF. I may even apply photocoagulation at the time of the first injection if I’m worried about compliance or if they’re uninsured or covered by Medicaid. I practice in San Juan, Puerto Rico, and I have many really sick patients who are poor and who may be underinsured. Some of my patients come from the offshore islands or the Caribbean, so I know I’m not going to be seeing them on a monthly basis.

I use laser at a higher frequency than others at this table, especially in patients with proliferative disease. In patients with proliferation and vitreous hemorrhage or areas of traction, I perform vitrectomy. It helps to stabilize the eye, particularly in younger patients.

Dr. Ho: The point about losing patients to follow-up is a good one. In Dr. Berrocal’s setting, these are island-hopping patients. In many other retina practice settings, however, we have a similar problem with lack of follow-up. Often, we are caring for working adults who cannot take time off of work, who may have high-deductible insurance coverage, or who may be more concerned with an urgent comorbidity or complication. We have to remember this when we deal with this demographic of patients.5

Dr. Wong, how useful is PRP in treating extreme diabetic eye disease?

Dr. Wong: Many of us think of PRP as a one-and-done deal. But the reality is that people who have received PRP can also go blind. The Diabetic Retinopathy Study showed that PRP reduces the risk of severe vision loss by 50%. It is not necessarily a curative procedure.

PRP has burned me a few times, even when I treated in the extreme periphery. A recent case involved a woman who presented with vitreous hemorrhage. I performed vitrectomy and PRP in the far periphery. The patient lost some peripheral vision, and she was so upset that she decided to forgo further treatment in the contralateral eye. In our IST, targeted PRP to the ischemic, supposedly dead retina resulted in reduced peripheral vision.

Dr. Berrocal: I have found that removal of the hyaloid during vitrectomy is a curative treatment.

Dr. Avery: I agree. I think that in the majority of patients, vitrectomy with hyaloid removal followed by PRP is somewhat curative.

What Stops Surgeons From Operating?

Dr. Ho: So why don’t we perform more vitrectomies with hyaloid removal and PRP application? There’s potential value. There’s potential efficiency. It is certainly less expensive than multiple anti-VEGF injections, and there is no risk of losing a patient to follow-up. We need to consider a randomized surgical trial; in the meantime, panelists, please share your wisdom.

Dr. Wong: I think one factor is that, when we did 20-gauge vitrectomies all those years ago, we didn’t have good laser technology, and we didn’t laser all the way out to the far periphery. Back then it would have been considered a high-risk surgery. I don’t think that it is today. I agree with Dr. Berrocal that vitrectomy should be done much earlier. We do vitrectomy for floaters. We do vitrectomy when a patient has 20/40 VA and an epiretinal membrane. Why are we so hesitant to vitrectomize the eyes of diabetic patients?

Dr. Berrocal: I think it’s because we don’t have any study data to back up this claim. Some doctors will reference the Diabetic Retinopathy Vitrectomy Study,6 but that is weak. That study was published in the 1980s, and there was no endolaser back then.

I follow my patients forever. They really are married to me. Looking back at some patient files, I found that stabilization was seen in many vitrectomized eyes in patients who were less than 50 years old at the time of vitrectomy. We’re talking about, in some cases, 10 years of follow-up.

Patients who were treated with laser ended up needing multiple laser applications and then vitrectomy. Many of those patients were eventually inoperable due to damaged foveal tissue or tractional retinal detachments (TRDs) that converted to combined tractional-rhegmatogenous retinal detachments (TRRDs).

Dr. Arevalo: Dr. Berrocal’s observation is true, we need a study comparing early surgical intervention for DR with the standard of care.

Dr. Avery: A barrier to early intervention for me is cataract formation. After I tell patients that a vitrectomy might result in cataract development, some are hesitant.

María H. Berrocal, MD

Here I share two cases of young patients who presented with insulin-dependent diabetes mellitus (IDDM) and very poor vision. The second case in particular underscores the severity of some occurrences of ischemia, the utility of wide-angle fluorescein angiography, and the potential rapidity of neovascularization and progression of TRD.

<p>Figure 1. A 43-year-old patient with type 1 IDDM presented with a tractional and rhegmatogenous retinal detachment (A). Preoperative VA was hand motion. After 27-gauge vitrectomy with a gas tamponade, the retina reattached, and the patient achieved VA 20/80 by month 6 (B).</p>

Click to view larger

Figure 1. A 43-year-old patient with type 1 IDDM presented with a tractional and rhegmatogenous retinal detachment (A). Preoperative VA was hand motion. After 27-gauge vitrectomy with a gas tamponade, the retina reattached, and the patient achieved VA 20/80 by month 6 (B).

<p>Figure 2. A 35-year-old patient with type 1 IDDM. Fluorescein angiography OD showed evidence of extreme ischemia (A), and fundus photography revealed a tractional retinal detachment and florid neovascularization (B). A small area of neovascularization of the disc OS was observed (C,D). Preoperative VA OU was counting fingers. The patient underwent 25-gauge vitrectomy OD. After 2 months, the retina was reattached OD and rapid progression of neovascularization OS was observed (E). The patient underwent vitrectomy OS. Final VA was 20/40 OU.</p>

Click to view larger

Figure 2. A 35-year-old patient with type 1 IDDM. Fluorescein angiography OD showed evidence of extreme ischemia (A), and fundus photography revealed a tractional retinal detachment and florid neovascularization (B). A small area of neovascularization of the disc OS was observed (C,D). Preoperative VA OU was counting fingers. The patient underwent 25-gauge vitrectomy OD. After 2 months, the retina was reattached OD and rapid progression of neovascularization OS was observed (E). The patient underwent vitrectomy OS. Final VA was 20/40 OU.

Tien P. Wong, MD

A crunch rate of 3% in patients with high-risk proliferative diabetic retinopathy (PDR) is not very high, in my opinion, and I don’t see any increase in the frequency of retinal detachment after anti-VEGF therapy compared with panretinal photocoagulation (PRP). I still see a lot of retinal detachments (RDs) following PRP because many retinal specialists avoid anti-VEGF injections when there is a lot of proliferative membranes for fear of crunch. I think that we are forgetting that retinas detached in diabetic patients when all we had was PRP. I never blamed PRP for the development of RDs and loss of vision but rather attributed it to progression of disease. However, many patients did blame the laser. Patients often said something like “I was fine until you started treating me with laser.”

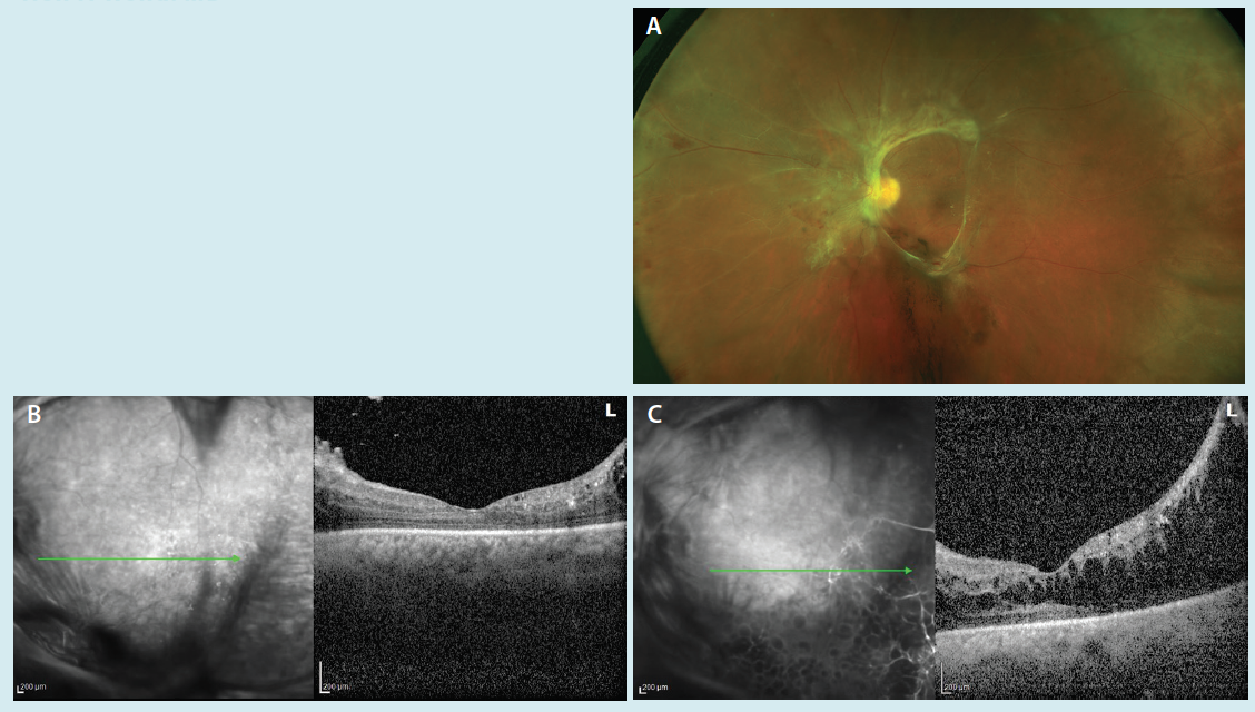
<p>Figure 3. A patient presented with light perception OD with an inoperable RD and vitreous hemorrhage with membranes OS (A). The patient was treated with PRP rather than anti-VEGF therapy so as to avoid the risk of crunch. VA OS before PRP application was 20/40. The patient was imaged on OCT before PRP application (B). When the patient returned 1 month later, VA was 20/200, and OCT demonstrated disease progression (C). One week later, there was complete retinal detachment, all from PRP.</p>

Click to view larger

Figure 3. A patient presented with light perception OD with an inoperable RD and vitreous hemorrhage with membranes OS (A). The patient was treated with PRP rather than anti-VEGF therapy so as to avoid the risk of crunch. VA OS before PRP application was 20/40. The patient was imaged on OCT before PRP application (B). When the patient returned 1 month later, VA was 20/200, and OCT demonstrated disease progression (C). One week later, there was complete retinal detachment, all from PRP.


I treat patients with anti-VEGF injection therapy if they present with RD or nonclearing vitreous hemorrhage (VH). A sudden decrease in VEGF levels may transiently worsen traction as neovascularization regresses, but it may be better in the long term. In my experience, surgery on a patient who has had multiple anti-VEGF injections is easier and more likely to succeed than surgery on someone with an injection 4 days before surgery. I have also found that patients who receive PRP have more visual complaints than those who undergo long-term anti-VEGF therapy.

<p>Figure 4. A patient presented to our practice with VH (A,B). VA was hand motions. At 1 month, after some of the VH had cleared, PRP was performed (C). The patient was lost to follow-up for 4 months after PRP was administered. Upon re-presentation, the patient showed increased neovascularization and subretinal hemorrhage (D). Following vitrectomy, the patient had no recovery of vision.</p>

Click to view larger

Figure 4. A patient presented to our practice with VH (A,B). VA was hand motions. At 1 month, after some of the VH had cleared, PRP was performed (C). The patient was lost to follow-up for 4 months after PRP was administered. Upon re-presentation, the patient showed increased neovascularization and subretinal hemorrhage (D). Following vitrectomy, the patient had no recovery of vision.

Crunch Effect

Dr. Ho: Does the crunch effect—the worsening of retinal traction after anti-VEGF injection—exist?

Dr. Berrocal: It definitely does. I have seen it many times.

Dr. Wong: I think crunch can occur if the hyaloid is attached.

Dr. Arevalo: My colleagues and I have looked at more than 1,200 patients who were injected with bevacizumab (Avastin, Genentech) for severe PDR.7-9 We saw crunch in about 3% of patients.

It is key to perform vitrectomy within 4 days of anti-VEGF injection. After that, the chance of experiencing a retinal detachment or the progression of an existing one increases.

Dr. Wong: A 3% crunch rate is, in the grand scheme of things, not high.

Dr. Avery: What’s happening during crunch?

Dr. Berrocal: In crunch, we’re seeing a lot of fibrovascular tissue that has contracted. Crunch occurs either because there is a little bit of tissue along the arcade that contracts with the hyaloid or because there is a large circular area of fibrovascular tissue attached to the hyaloid.

Dr. Arevalo: Unfortunately, we cannot tell based on configuration which patients are likely to experience crunch.

SURGERY
Anticoagulants

Dr. Ho: We cannot discuss surgery without considering practice patterns regarding anticoagulant use before surgery.

Dr. Wong: I try to stop the use of anticoagulants in my patients before surgery, but this can prove difficult, especially in patients whose dialysis mandates the use of heparin. It’s helpful if they stop anticoagulants, but if they can’t do so, I proceed with surgery regardless.

Dr. Avery: I tend not to stop them in general. This patient population in question is already at risk for stroke. I’ve never lost an eye because of excessive bleeding, but I have seen stroke occur in patients in the perioperative period. The only time I stop anticoagulant use is if a patient who is using it doesn’t really need it.

Dr. Berrocal: I’m not too concerned about it. We control bleeding so well. In the Dark Ages, before small-gauge vitrectomy, patients bled and then you had to stop the operation and complete the case on another day. It was a bigger concern back then than it is today.

Dr. Ho: I try to challenge anticoagulant use during surgical clearance, but I tend to operate through it for the reasons already given. Intraocular complications are generally controllable, and there is real risk of potential systemic consequences from stopping the anticoagulant.

But I do something different for anesthesia in these patients. For patients on oral anticoagulants, rather than use a peribulbar or retrobulbar needle for injection, I perform a transconjunctival cut-down peribulbar block with a blunt cannula because I can’t control periocular hemorrhage from a sharp needle.

Dr. Arevalo: I follow a similar protocol to avoid a retrobulbar hemorrhage or other complications. A few studies have indicated similar rates of postoperative hemorrhage in patients who do and don’t stop anticoagulants before vitreoretinal surgery, but there aren’t many studies on this.

Diabetic Vitreous Hemorrhage With or Without Tractional Components

Dr. Avery: What is your approach to a patient who presents for the first time to your clinic with diabetic vitreous hemorrhage in an eye that has not received any laser? Let’s assume ultrasound shows no posterior vitreous detachment and no sign of a TRD.

Dr. Berrocal: It really depends on the patient. In a very elderly patient who sees well in the other eye, I have him or her sleep elevated and I see them again in 2 weeks. If the view is clearer, then I likely treat with laser or anti-VEGF.

In a monocular patient or a young patient, surgery will stabilize them permanently. So I always offer surgery to younger patients, and I always remove the hyaloid.

Dr. Avery: You offer surgery right away in a fresh hemorrhage? You don’t wait to see if it clears first?

Dr. Berrocal: If it’s a mild case, then I tell the patient that surgery will stabilize the eye, and if they don’t want surgery we can try something else, injections or PRP. But if I cannot see into the eye, I’m not going to inject blindly. In such a case, if the patient really doesn’t want surgery, I might wait a week or so to see if the hemorrhage clears. Then I offer the patient all the possible treatments options and I let him or her decide.

Dr. Wong: This is where I differ from most of my colleagues. If I see somebody with a vitreous hemorrhage, I want to halt the neovascular process as quickly as possible. I inject anti-VEGF and tell the patient that if it doesn’t clear within a couple of weeks I’m going to do a vitrectomy.

Sometimes the eye clears and I can see the vascular structure. But often it’s hard to apply adequate laser. I inject early—as soon as I can get insurance approval—and tell my patients that they need to get medical clearance for surgery in case it is needed in a few weeks.

Dr. Arevalo: I tend to plan for surgery, too. If I don’t see any clearing on the next follow-up visit, then we go to surgery. I prefer to do a vitrectomy with laser during the early stages of PDR rather than late. I don’t wait long—maybe a month.

In cases of mild vitreous hemorrhage, I give an anti-VEGF injection if I think that the eye will clear enough that I can follow up with PRP and avoid vitrectomy.

Dr. Avery: Would ultrasound results ever prevent you from injecting a few weeks before surgery? I’m thinking of this in the context of our discussion of crunch.

Dr. Arevalo: If I see traction on the ultrasound, I think it’s a surgical case. I will inject that eye, but I know I’ll be performing vitrectomy in less than 4 days.

Dr. Wong: I have found that waiting at least a week results in an easier surgical case. The longer I can wait, the easier the surgery. If I inject and operate within a few days, the surgery usually involves more bleeding.

Dr. Arevalo: I worry that waiting too long will lead to a TRD. In our studies, in more than 80% of cases that progressed to TRD, the TRD occurred at 5 or more days after injection.8

Dr. Ho: That’s a lot of information. Just to recap, who is and who is not using anti-VEGF prior to a tough diabetic TRD surgical case? I typically administer an anti-VEGF injection 5 to 7 days before a challenging diabetic TRD surgery for better intraoperative hemostasis and to help mature fibrovascular tissue create better tissue planes in diabetic segmentation or delamination techniques.

Dr. Berrocal: I don’t use anti-VEGF in every case. In very vascular cases, I’ll inject. Otherwise, I don’t think it makes much difference. I use 27-gauge instrumentation with valved cannulas, and that helps me control intraoperative bleeding.

Dr. Arevalo: I use it in all the cases. In a recent study published by the PACORES Group, researchers found that presurgical use of bevacizumab was associated with reduced intraoperative bleeding, improved surgical field visualization, and reduced intraoperative and postoperative complications.9

Dr. Wong: I, too, inject in all cases.

Dr. Avery: I do it in most cases because I think it reduces bleeding. The exception is in cases with chronic, regressed fibrovascular tissue where the vessels are so sclerotic that they are fairly inactive.

Pearls for Diabetic TRDs

Dr. Ho: What are some of your pearls and preferred techniques for approaching diabetic TRDs?

Dr. Arevalo: Dr. Berrocal taught me a technique that I love. It uses only a 27-gauge cutter for membranes that are not that adherent to the retina. The 27-gauge cutter works well, even in a tight space.

However, for most cases, I stick to the classic bimanual technique (view on Eyetube at: bit.ly/Arevalo0919-1). I find that most membranes are very adherent to the retina and usually require a hybrid approach, such as that described by Mahmoud et al, in which the surgeon uses a 23- or 25-gauge system and a 27-gauge cutter to allow easy access to the periphery and the areas under membranes. I use chandelier illumination to perform bimanual techniques (view on Eyetube at: bit.ly/Arevalo0919-2).

Regarding instruments, I like to use an internal limiting membrane pick (Med One Surgical) as a spatula to separate membranes from the retina. A lighted ILM pick (Alcon) can be useful if I’m not using my usual chandelier system (Alcon or Dutch Ophthalmic).

Dr. Wong: I use a lot of hybrid gauges, but I use a 25-gauge system with 23-gauge trocars. That’s because I use the lighted pick from Peregrine Surgical, which is sharp and can act like a knife. I also use a 27-gauge cutter when the membranes are thin enough, but many diabetic patients have really thick membranes and it’s hard to cut through them even with a 25-gauge cutter on dense tissue cut mode. If a membrane is very adherent to the retinal surface, I use horizontal scissors to try to elevate the membrane.

Dr. Avery: Our instrumentation advances are remarkable. I trained during the age of membrane peeler-cutter scissors and tissue manipulators, and it’s so much nicer now to have something that can remove blood while cutting the membrane. We can now isolate the membrane with the cutter itself in most cases.

Dr. Berrocal: I forgo chandelier lighting for most diabetic TRDs. I will use it, however, if there is a TRRD that is very bullous or if the proliferation is toward the equator or more anterior.

If I don’t have an entry point toward the periphery, I start detaching the fibrovascular tissue over the posterior pole. There’s always a potential space between the nerve and the arcade that is open. I usually image these patients on OCT beforehand so that I have a good idea of the anatomy in the posterior pole. I may take forceps and detach fibrovascular tissue over the optic nerve, raise the IOP, and then start cutting and peeling from the inside out.

This technique essentially makes the 27-gauge probe a viscodissector. I get under the tissue, lift it, and then switch between suction and cutting. I put it in suction mode, using the probe as forceps and lifting it up a little bit, when I see an area of traction or resistance, I segment at the epicenter with the probe and repeat the process in other areas.

The beauty of using a 27-gauge vitrector for suction is that, when peeling epiretinal membranes or ILMs, if there are areas of traction, the tissue will fall back. It’s almost impossible to inadvertently cut or tear by pulling too much when using the vitrector, which is not the case when using forceps. This technique is safe and efficient, and I complete cases quickly when I use it.

INNOVATIONS IN IMAGING AND VISUALIZATION

Dr. Ho: Who here uses the 3D Ngenuity Visualization System (Alcon)?

Dr. Berrocal: I use it all the time.

Dr. Arevalo: I don’t use it routinely. Sometimes we have it in the OR, but not all the time.

Dr. Wong: I stick to the standard microscope visualization system.

Dr. Avery: I’m mixed. We have it, but sometimes I use the standard microscope and other times the heads-up 3D system.

Dr. Ho: Does anyone here think that, at some point, we’re going to get better intraoperative imaging of the tissue planes for cases such as diabetic TRDs? That could help us to understand the anatomy in real time.

Dr. Berrocal: I think enhanced visualization is the future, and it’s coming very quickly. Still, cost is a major factor in enhanced visualization. It may be the main impediment to adoption in many settings.

Dr. Arevalo: Quality is also an impediment. Intraoperative OCT, for example, still struggles to provide adequate resolution. It’s not quite useful for me yet, but I trust that it’s improving and that it will be useful soon.

Dr. Wong: I agree. Intraoperative OCT at the moment slows me down and is distracting. I don’t use it. But in the future, when a live display sits next to my big screen, I’ll find that very useful.

Dr. Ho: That is where we’re going—digital—and we will therefore have much better information for the surgeon. We’ll have a digital surgical cockpit in which we have a traditional surgical view of diabetic TRD along with better resolved real-time OCT imaging of cross-sectional anatomy, but it’s not quite here yet.

MINIMIZING RISK OF RETURN

Dr. Avery: Even if everything goes great in the OR, there’s still a chance that the patient returns with a complication. What strategies you do you use to minimize risk of postoperative hemorrhage and progression of detachment?

Dr. Berrocal: If an eye bled a fair amount during surgery, I may inject anti-VEGF at the end. I think it helps prevent postoperative bleeding.

When an eye starts bleeding intraoperatively, I don’t use diathermy, I just raise the pressure. I may raise it to 40 mm Hg or, if it doesn’t stop bleeding, 60 or even 80 mm Hg. I also ask what the blood pressure is. I also apply pressure directly with a cutter right on the vessel. When the bleeding stops, I lower the pressure to make sure that I catch all the bleeders before ending the case. If bleeding persists at this point, I may use continuous laser as diathermy.

If bleeding recurs in the postoperative period, I perform an air-fluid exchange in the office. This avoids having the patient return to the OR.

Dr. Arevalo: There are two reasons patients may return: bleeding and TRD.

As I mentioned earlier, data show that preoperative bevacizumab prevents intraoperative bleeding. Similarly, postoperative bevacizumab decreases postoperative bleeding. During surgery, I prefer light diathermy application to control active bleeding. I tell patients to avoid strenuous exercise, and I like to use gas as a tamponade as opposed to anything else.

To avoid recurrent TRD or a retinal detachment, I think the key is to have a sound and thorough surgical technique the first time around. Eliminate all the traction, and apply a good PRP. Hopefully the patient will not need to come back.

Dr. Wong: I have a small adjustment that I think has a big impact: I always suture the sclerotomies in diabetic TRD cases.

The main key to avoiding recurrence is making sure the hyaloid is completely lifted, even in cases in which it is hard to reach. If you don’t get the hyaloid off, small breaks can become large stretch holes in a month or so.

Dr. Ho: It is important to realize that often during a vitrectomy in a diabetic patient, vitreoschisis masquerades as a posterior vitreous detachment. If a layer of cortical gel remains in the back of an active diabetic eye, it can contract and bring the patient back to the OR for bleeding or TRD. I always make sure that the cortical gel is removed. That’s how I reduce the chance of repeat TRD.

For intraoperative diabetic bleeding, consider continuous mode thermal laser for hemostasis—a process similar to Dr. Beroccal’s. It is atraumatic. With this type of laser application, you’re not touching anything. It’s a technique I recommend for challenging intraoperative bleeding. To reduce postoperative bleeding in diabetic patients, I, too, suture sclerotomies and consider an anti-VEGF injection.

1. Aiello LP. Diabetic retinopathy and other ocular findings in the Diabetes Control and Complications Trial/Epidemiology of Diabetes Interventions and Complications Study. Diabetes Care. 2014;37(1):17-23.

2. King P, Peacock I, Donnelly R. The UK Prospective Diabetes Study (UKPDS): clinical and therapeutic implications for type 2 diabetes. Br J Clin Pharmacol. 1999;48(5):643-648.

3. Arevalo JF, Lasave AF, Wu L,et al; Pan-American Collaborative Retina Study Group (PACORES). Intravitreal bevacizumab for proliferative diabetic retinopathy: results from the Pan-American Collaborative Retina Study Group (PACORES) at 24 months of follow-up. Retina. 2017;37(2):334-343.

4. Brown DM, Ou WC, Wong T, et al; DAVE Study Group. Targeted retinal photocoagulation for diabetic macular edema with peripheral retinal nonperfusion: three-year randomized DAVE trial. Ophthalmology. 2018;125(5):683-690.

5. Obeid A, Gao X, Ali FS, et al. Loss to follow-up in patients with proliferative diabetic retinopathy after panretinal photocoagulation or intravitreal anti-VEGF injections. Ophthalmology. 2018;125(9):1386-1392.

6. [No authors listed.] Early vitrectomy for severe vitreous hemorrhage in diabetic retinopathy. Two-year results of a randomized trial. Diabetic Retinopathy Vitrectomy Study report 2. The Diabetic Retinopathy Vitrectomy Study Research Group. Arch Ophthalmol. 1985;103(11):1644-1652.

7. Arevalo JF, Maia M, Flynn HW Jr, et al. Tractional retinal detachment following intravitreal bevacizumab (Avastin) in patients with severe proliferative diabetic retinopathy. Br J Ophthalmol. 2008;92(2):213-216.

8. Arevalo JF, Sanchez JG, Saldarriaga L, et al; Pan American Collaborative Retina Study Group. Retinal detachment after bevacizumab. Ophthalmology. 2011;118(11):2304.e3-7.

9. Arevalo JF, Lasave AF, Kozak I, et al; Pan-American Collaborative Retina Study (PACORES) Group. Preoperative intravitreal bevacizumab for tractional retinal detachment secondary to proliferative diabetic retinopathy: prospective randomized clinical trial of the Pan-American Collaborative Retina Study (PACORES) Group [published online ahead of print, May 13, 2019]. Am J Ophthalmol.