The peripheral retina is commonly involved in retinal pathologies such as diabetic retinopathy, vein occlusions, retinal detachments, and uveitis. Ultra-widefield imaging is becoming an essential part of retinal assessment, as it facilitates screening and documentation of the retinal periphery.1 Devices that perform widefield imaging can capture images in a number of modalities, including color photography, fluorescein angiography (FA), ICG angiography (ICGA), and OCT. Our experience with one such device, the scanning laser ophthalmoscope (SLO) Mirante (Nidek), is detailed in this article.

AT A GLANCE

  • The peripheral retina is usually involved in numerous frequent retinal pathologies.
  • Ultra-widefield imaging facilitates screening and documentation of the retinal periphery.
  • The Mirante SLO uses four lasers to capture images in a variety of modalities.

FOUR LASERS, ONE DEVICE

The SLO-based Mirante provides multiple imaging modalities in one device: high-definition OCT and confocal SLO (cSLO), both with widefield capabilities; OCT angiography (OCTA); fundus photography, FA and ICGA; green and blue fundus autofluorescence; and retro modes. An optional advanced widefield (163° measured from the center of the eye) lens attachment is available for this device.

According to Nidek, the Mirante is the only device that includes four separate lasers, each of which penetrates to different depths: blue (480 nm, which is reflected by the nerve fiber layer), green (532 nm, reflected by the ganglion cell layer), red (670 nm, penetrates through the retina), and infrared (790 nm, penetrates through the choroidal layer). Each of the lasers can scan the retina through a confocal optical setup with a small coaxially placed pinhole that lets in only light coming from the focal planes, while blocking backscattered and out-of-focus light. The multiple lasers allow the Mirante to reproduce pseudocolor images that almost mimic the natural colors of the fundus.

The Mirante’s spectral-domain OCT (SD-OCT) captures 85,000 A-scans per second. It can obtain macula maps that include a 16.5-mm by 12-mm area, facilitating detailed assessment of a wide field from the vitreous to the choroid in a single shot. This is a wider OCT imaging field than is possible on other devices at 16.5 mm.

The capabilities of the Mirante make it useful in a number of scenarios. Here we present case examples in which we used one or more modalities for widefield imaging on the device.

CASE NO. 1. SILICONE OIL–FILLED BUCKLED EYE

A 36-year-old man presented for routine postoperative follow-up 3 months after pars plana vitrectomy with scleral buckle for a total retinal detachment. He had undergone encirclage with 25-gauge pars plana vitrectomy and silicone oil injection in the left eye (OS). His BCVA was 6/18 OS. Widefield fundus color photo montage showed a 360° buckle effect and a silicone oil reflex. The retina was well settled. Laser marks around the retinotomy site can be seen at 10 o’clock (Figure 1).

<p>Figure 1. Widefield color fundus photo montage OS of a buckled eye with silicone oil reflex. The retina is well settled, and laser marks can be seen nasally.</p>

Click to view larger

Figure 1. Widefield color fundus photo montage OS of a buckled eye with silicone oil reflex. The retina is well settled, and laser marks can be seen nasally.

CASE NO. 2. REDETACHMENT IN A BUCKLED EYE

A 24-year-old man presented with decreased visual acuity OS that had persisted for 1.5 years. His ocular history included scleral buckling performed 2 years ago. Widefield fundus color photo montage showed a subtotal retinal redetachment involving the macula OS in a buckled eye with only the superonasal portion attached (Figure 2).

<p>Figure 2. Widefield color fundus photo montage OS shows a subtotal retinal redetachment with superonasal portion attached.</p>

Click to view larger

Figure 2. Widefield color fundus photo montage OS shows a subtotal retinal redetachment with superonasal portion attached.

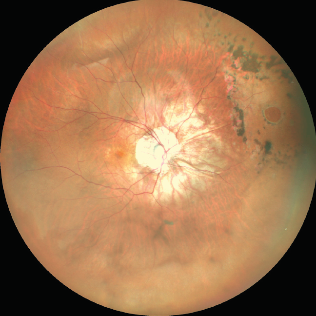
CASE NO. 3. LASERED RETINOBLASTOMA

A 13-year-old girl presented for a routine follow-up. She had undergone chemotherapy plus laser ablation and cryotherapy for retinoblastoma 10 years ago. Widefield color fundus montage OS showed sclerosed vessels extending nasally from the disc (Figure 3). An elevated mass was seen in the nasal periphery with laser and cryo marks. The rest of the retina was normal with a good foveal reflex. No new lesions were seen.

<p>Figure 3. Widefield color fundus photo montage OS shows an elevated retinoblastoma lesion nasally with cryo and laser marks. Sclerosed vessels are seen extending from the disc to the lesion nasally.</p>

Click to view larger

Figure 3. Widefield color fundus photo montage OS shows an elevated retinoblastoma lesion nasally with cryo and laser marks. Sclerosed vessels are seen extending from the disc to the lesion nasally.

CASE NO. 4. LASERED HORSESHOE TEAR

A 46-year-old man presented for a routine follow-up. BCVA in the right eye (OD) was 6/6. The patient was myopic and had used correction since childhood. He had undergone prophylactic laser barrage OD 5 years ago. Widefield fundus photograph showed a myopic fundus with tessellated background (Figure 4). A large disc with peripapillary atrophy was noted, along with pigmentary alterations at the macula. A well-barraged horseshoe tear can be seen at 2:30 o’clock.

<p>Figure 4. Widefield color fundus photo OD shows a myopic fundus with tessellated background. A well-lasered horseshoe tear can be seen at 2:30 o’clock.</p>

Click to view larger

Figure 4. Widefield color fundus photo OD shows a myopic fundus with tessellated background. A well-lasered horseshoe tear can be seen at 2:30 o’clock.

CASE NO. 5. CENTRAL RETINAL VEIN OCCLUSION

A 52-year-old man with hypertension presented with decreased vision OD lasting 2 months. His BCVA was 6/12 with early cataractous changes. Fundus examination revealed multiple hemorrhages in all quadrants and cotton wool spots with macular edema (Figure 5A). FA widefield montage showed multiple hyperfluorescent dots with diffuse leakage at the macula (Figure 5B). Retro mode infrared illumination showed petaloid elevation at the macula suggestive of edema (Figure 5C). A 16-mm horizontal line scan on SD-OCT showed an altered foveal contour with cystoid spaces (Figure 5D).

<p>Figure 5. Fundus photo shows multiple hemorrhages, cotton wool spots with macular edema (A). FA widefield montage shows multiple hyperfluorescent dots with diffuse leakage at the macula (B). Retro mode infrared illumination shows multiple tiny elevations at the macula suggestive of edema (C). SD-OCT shows an altered foveal contour with cystoid spaces (D).</p>

Click to view larger

Figure 5. Fundus photo shows multiple hemorrhages, cotton wool spots with macular edema (A). FA widefield montage shows multiple hyperfluorescent dots with diffuse leakage at the macula (B). Retro mode infrared illumination shows multiple tiny elevations at the macula suggestive of edema (C). SD-OCT shows an altered foveal contour with cystoid spaces (D).

CASE NO. 6. LASERED DIABETIC RETINOPATHY

A 52-year-old man with diabetes presented with decreased visual acuity OS lasting 6 months. BCVA OS was 6/24. A 163° widefield fundus image showed a few hemorrhages in the posterior pole and 360° laser marks (Figure 6A). Widefield FA revealed an altered foveal avascular zone (FAZ) and 360° staining from laser marks (Figure 6B).

<p>Figure 6. Fundus photo shows multiple hemorrhages along the posterior pole and superior arcade with 360° laser marks (A). Widefield FA shows altered FAZ and 360° laser staining marks (B).</p>

Click to view larger

Figure 6. Fundus photo shows multiple hemorrhages along the posterior pole and superior arcade with 360° laser marks (A). Widefield FA shows altered FAZ and 360° laser staining marks (B).

CASE NO. 7. MULTIFOCAL CHOROIDITIS

A 60-year-old hypertensive woman presented with complaints of floaters and decreased vision OS for the past 10 days. Her BCVA OS was 6/12. Fundus examination revealed disc edema with vitritis and scattered multiple hypopigmented subretinal lesions (Figure 7A). On widefield ICGA, multiple hypofluorescent lesions in the posterior pole corresponded to the clinical picture (Figure 7B). These spots remained hypofluorescent thorough the mid and late phases (Figure 7C, D), indicating active lesions.

<p>Figure 7. Widefield color photo shows multiple hypopigmented patches in all quadrants with vitritis and disc edema (A). Widefield ICGA in early phase shows multiple hypofluorescent lesions in all quadrants, suggestive of choroiditis (B). Hypofluorescence remained in mid (C) and late phase (D) ICGA, suggesting that the lesions were active.</p>

Click to view larger

Figure 7. Widefield color photo shows multiple hypopigmented patches in all quadrants with vitritis and disc edema (A). Widefield ICGA in early phase shows multiple hypofluorescent lesions in all quadrants, suggestive of choroiditis (B). Hypofluorescence remained in mid (C) and late phase (D) ICGA, suggesting that the lesions were active.

Case NO. 8: VOGT-KOYANAGI-HARADA DISEASE

A 32-year-old man had decreased vision in both eyes for the past 7 days. His BCVA was 6/36 in both eyes. Fundus examination showed vitritis OD and disc edema with subretinal fluid pockets in all quadrants (Figure 8A). Widefield FA montage revealed an altered FAZ with a hot disc along with extensive peripheral leakage visible in late phase. Multifocal areas of pinpoint leakage are seen (Figure 8B).

<p>Figure 8. Widefield color photo montage OD shows vitritis and disc edema with subretinal fluid pockets in all quadrants (A). Widefield FA montage reveals altered FAZ with multifocal areas of pinpoint leakage, with leakage over disc with extensive peripheral leakage visible in late phase (B).</p>

Click to view larger

Figure 8. Widefield color photo montage OD shows vitritis and disc edema with subretinal fluid pockets in all quadrants (A). Widefield FA montage reveals altered FAZ with multifocal areas of pinpoint leakage, with leakage over disc with extensive peripheral leakage visible in late phase (B).

Peripheral leakage is a finding often missed during routine imaging when treating patients with Vogt-Koyanagi-Harada disease. It can be used to measure treatment success and may inform the decision to taper a patient off of steroids.

CONCLUSION

Ultra-widefield imaging helps us to document peripheral pathologies such as horseshoe tears and lattice degenerations as well as tumors such as retinoblastoma. In cases with vascular involvement (eg, diabetic retinopathy and retinal vein occlusions), ultra-widefield imaging helps capture areas of neovascularization and capillary dropout in the extreme periphery. Often, these observations would have been missed during routine imaging of central fields.

In multifocal choroiditis, lesions in the periphery are better picked up on ultra-widefield imaging. This imaging also aids in monitoring disease activity and progression. In Vogt-Koyanagi-Harada disease, ultra-widefield imaging helps identify areas of peripheral leakage.

Ultra-widefield multimodal imaging is an important clinical and research tool. By combining images from different modalities, clinicians can develop a detailed understanding of functional and morphologic aspects of various retinal diseases.

1. Staurenghi G, Sadda SR, Cozzi M, Corradetti G. Multimodal imaging: implications for clinical practice. Retina Today. September 2019;[insert]:1-4.