Retinoblastoma (RB) is the most common intraocular malignancy found in children, with an incidence of 1 in 15,000 live births.1 Of the children diagnosed with RB annually, 3% to 5% are anticipated to have related trilateral RB,2,3 which is characterized by the presence of bilateral RB with an ectopic midline intracranial tumor.3 This condition was first identified in three patients in 1971 by Jensen et al,4 and the term trilateral RB was first used by Bader et al in 1980.5 Paulino provided a literature review of 94 cases of trilateral RB in 1999, noting that the intracranial tumor was found in either the pineal region (n = 78, 83%) or the suprasellar region (n = 16, 17%).6

Herein we describe a child with bilateral RB who presented at the initial ophthalmic diagnosis with a suprasellar mass.

CASE REPORT

A 2-month-old White female infant was found by her pediatric ophthalmologist to have vertical nystagmus in both eyes and was referred to the emergency department, where a 3.6 x 3.6 cm suprasellar intracranial mass was seen on CT scan. Subsequent dilated fundus examination revealed retinal tumors in both eyes, and the patient was suspected to have RB with brain craniopharyngioma or pinealoblastoma. A brain MRI confirmed the presence of a normal pineal gland and documented the enhancing, noncystic 3.5 x 3.0 x 4.1 cm suprasellar mass, suspicious for neoplasm. Further MRI revealed lumbar spine metastases.

The combination of bilateral RB (Figures 1A and 1B) and a suprasellar malignant synchronous neuroblastic tumor (Figure 2A) led to the diagnosis of trilateral RB, or intraocular RB with pinealoblastoma. Genetic testing confirmed germline mutation.

<p>Figure 1. The patient’s dilated fundus examination under anesthesia on initial presentation to our clinic showed a 3 x 3 x 3 mm RB at the 3 clock position and a 2 x 2 x 2 mm RB at the inferior vascular arcade in the right eye (A). In the left eye, there was a 2 x 2 x 2 mm RB at the 2 clock position and a 6 x 6 x 6 mm RB at the 4 clock position (B). Five cycles of high-dose intravenous chemotherapy, cryotherapy, and thermotherapy led to regression of all RBs in the right (C) and left (D) eyes.</p>

Click to view larger

Figure 1. The patient’s dilated fundus examination under anesthesia on initial presentation to our clinic showed a 3 x 3 x 3 mm RB at the 3 clock position and a 2 x 2 x 2 mm RB at the inferior vascular arcade in the right eye (A). In the left eye, there was a 2 x 2 x 2 mm RB at the 2 clock position and a 6 x 6 x 6 mm RB at the 4 clock position (B). Five cycles of high-dose intravenous chemotherapy, cryotherapy, and thermotherapy led to regression of all RBs in the right (C) and left (D) eyes.

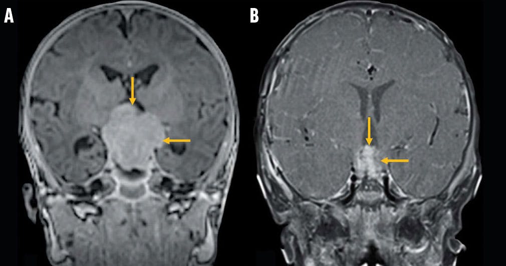
<p>Figure 2. Coronal view of a 3.5 x 3.0 x 4.1 cm solid, lobulated, noncystic, partially calcified, heterogeneously enhancing suprasellar mass (yellow arrows) was shown on T1-weighted brain MRI at presentation (A). After intravenous chemotherapy, the brain malignancy decreased in size to 1.4 x 1.8 x 1.9 cm with more heterogenous enhancement (yellow arrows; B).</p>

Click to view larger

Figure 2. Coronal view of a 3.5 x 3.0 x 4.1 cm solid, lobulated, noncystic, partially calcified, heterogeneously enhancing suprasellar mass (yellow arrows) was shown on T1-weighted brain MRI at presentation (A). After intravenous chemotherapy, the brain malignancy decreased in size to 1.4 x 1.8 x 1.9 cm with more heterogenous enhancement (yellow arrows; B).

To treat the brain malignancy, the patient was started on high-dose systemic chemotherapy using vincristine, etoposide, cisplatin, and cyclophosphamide with stem cell rescue. After the first cycle of chemotherapy, she developed panhypopituitarism, necessitating systemic hormone replacement treatment.

After 3 months of chemotherapy, endoscopic transventricular brain biopsy was performed by our institution’s neurosurgery department, and histopathology revealed a synchronous, partially calcified tumor with gliosis.

At the 4-month visit, the patient’s panhypopituitarism had resolved spontaneously, resulting in discontinuation of hormone treatment, excluding levothyroxine for hypothyroidism. At the 7-month visit, follow-up brain MRI revealed remarkable reduction in size of the suprasellar tumor (Figure 2B).

For the eye malignancies, the systemic chemotherapy led to prompt tumor control, which was consolidated with local cryotherapy and transpupillary thermotherapy. A total of five cycles of chemotherapy were provided (Figures 1C and 1D). At the last visit, 11 months after diagnosis, both the brain and eye malignancies were under control, and the child was demonstrating favorable progress.

DISCUSSION

Trilateral RB, characterized by intraocular RB associated with an intracranial neuroblastic tumor commonly located in the pineal or sellar regions, is rare.2,3 High-dose systemic chemotherapy has emerged as an important treatment modality for these patients, improving survival for those with both pineal and nonpineal trilateral RB.3,7,8

Germline mutations seen in children with RB increase the risk of developing trilateral RB.9 The patient discussed here had a nonsense germline mutation resulting from a single base change on exon 15 of chromosome 13q. Pathogenic mutations in patients with RB are commonly located on chromosome 13q, resulting in biallelic RB1 gene loss and inactivation, and can be somatic or germline.1,10 Thus, the patient’s germline mutation increased her chances of not only developing bilateral RB, but also trilateral RB.

The patient in this case had a suprasellar tumor. The pineal gland, or the ‘third eye,’ is postulated to be the more common location for an ectopic intracranial tumor due to its histologic similarity to the retina, as well as shared derivation from embryonic neuroectoderm tissues.5,11 In Paulino’s investigation, patients with unilateral RB were more likely to have brain malignancy in the suprasellar region than the pineal region (P = .015).6 Our patient had bilateral intraocular RB and an ectopic suprasellar tumor that likely developed because of her RB1 mutation in the suprasellar embryonic neuroectoderm. Evidence for the tumor being independent included the absence of choroidal or optic nerve invasion, the synchronicity, and the association with bilateral RB.12,13

TREATMENT

In 2010, Dunkel et al first described the potentially curative effects of high-dose chemotherapy and stem cell rescue in 13 patients with trilateral RB. They determined that the 5-year event-free survival for patients without spinal metastases was 57% (confidence interval 17% to 84%).7 Our patient was treated with systemic high-dose intravenous chemotherapy and autologous stem cell rescue—the recommended treatment option for patients with trilateral RB.3,7

Furthermore, high-dose chemotherapy with stem cell rescue has proven to be more effective than conventional chemotherapy.8 A systematic review of 211 patients with trilateral RB found that treatment with high-dose chemotherapy and stem cell rescue had a 5-year survival rate of 50% compared with 11% for those who received conventional chemotherapy.8

In the present case, the combination of high-dose chemotherapy and autologous stem cell rescue was effective. Following five treatment cycles, the suprasellar tumor shrunk to 1.4 x 1.8 x 1.9 cm in the now 14-month-old patient. Despite the low incidence of trilateral RB, and noting its serious prognostic implications, it is important to closely monitor children with bilateral and trilateral RB with MRI.

Support provided in part by the Eye Tumor Research Foundation, Philadelphia, PA (CLS). The funders had no role in the design and conduct of the study, in the collection, analysis and interpretation of the data, and in the preparation, review, or approval of the manuscript.

1. Shields JA, Shields CL. Chapter 15: Retinoblastoma: Introduction, genetics, clinical features, classification. In Pine JW, Jacobs A, eds. Intraocular tumors: an atlas and textbook. 3rd ed. Lippincott Williams & Wilkins;2016:311-312.

2. De Potter P, Shields CL, Shields JA. Clinical variations of trilateral retinoblastoma: A report of 13 cases. J Pediatr Ophthalmol Strabismus. 1994;31(1):26-31.

3. De Jong MC, Kors WA, de Graaf P, et al. Trilateral retinoblastoma: A systematic review and meta-analysis. Lancet Oncol. 2014;15(10):1157-1167.

4. Jensen RD, Miller RW. Retinoblastoma: Epidemiologic characteristics. N Engl J Med. 1971;285(6):307-311.

5. Bader JL, Miller RW, Meadows AT, et al. Trilateral retinoblastoma. Lancet. 1980;2(8194):582-583.

6. Paulino AC. Trilateral retinoblastoma: Is the location of the intracranial tumor important? Cancer. 1999;86(1):135-141.

7. Dunkel IJ, Jubran RF, Gururangan S, et al. Trilateral retinoblastoma: Potentially curable with intensive chemotherapy. Pediatr Blood Cancer. 2010;54(3):384-387.

8. Yamanaka R, Hayano A, Takashima Y. Trilateral retinoblastoma: A systematic review of 211 cases. Neurosurg Rev. 2019;42(3):39-48.

9. Jakobiec FA, Tso MO, Zimmerman LE, et al. Retinoblastoma and intracranial malignancy. Cancer. 1977;39(5):2048-2058.

10. Knudson AG, Meadows AT, Nichols WW, et al. Chromosomal deletion and retinoblastoma. N Engl J Med. 1976; 295(20):1120-1123.

11. Wurtman RJ, Axelrod J. The pineal gland. Sci Am. 1965;213(1):50-63.

12. Shields CL, Shields JA. Recent developments in the management of retinoblastoma. J Pediatr Ophthalmol Strabismus. 1999;36(1):8-9.

13. Bagley LJ, Hurst RW, Zimmerman RA, et al. Imaging in the trilateral retinoblastoma syndrome. Neuroradiology. 1996;38(2):166-170.