From: karen@GlassHalfFullRetinaPlacement.biz

To: undisclosed physician recipients (with even the flimsiest of uveitis credentials)

Subject: Exciting Opportunity!

New position! Dominant and empire-minded retina group seeks uveitis specialist for their westernmost Texas outpost. This “lifestyle” practice is situated in a storied university city, famous for its recent triumphs in collegiate meat judging and pom. What it lacks in outward charm and urbane sophistication it more than abounds in vast swathes of featureless plains and numerous Taco Villa locations. The ideal candidate will have a true pioneer spirit, relishing the chance to battle novel treponemal retinitides and truck-battering tumbleweeds that promise to reinvigorate your stale morning commute. Fancy the great outdoors? Mother Nature’s fearsome prowess is on frequent display, as apocalyptic haboobs blanket our city in towering drifts of pestilential dust. World-class skiing only minutes (specifically, 300) away, and an “international” (in name only) airport, to boot! Shared call, no retinopathy of prematurity (until you show up), quasi-functional EHR, and smarmy, in-house IT that is only quietly disparaging of physicians—this practice is truly “new age.” You can be certain that this partnership-track position won’t last long (mostly because you read it on the internet and you’ll have to trust us)!

Physician recruitment emails have become as predictable and flat-out unbelievable as the canned narratives on real estate websites. Much as every tumbledown bedroom is framed as a “sumptuous master retreat,” so too are even the most humdrum, mid-tier American cities repackaged as “hip and vibrant” for the dubious benefit of retina job seekers. I maintain that our subspeciality would be well served by a little truth in advertising, and a general acknowledgment that some of us are destined (by choice or by need) to live in less-than-cool cities.

That’s me. For seven years now, I have happily called Lubbock home, a town of a quarter-million residents perched atop the high, windswept plains of the Texas panhandle. It’s a great family town, but not one abundant in top-shelf attractions. Buddy Holly was born here, a curiosity that still attracts a steady trickle of tourists. More recently, Patrick Mahomes II cut his quarterbacking teeth at our university, Texas Tech, before launching himself to stardom as a Super Bowl-winning QB with the Kansas City Chiefs. We’ve got cotton galore, wind farms aplenty, oil and shale just south, and more restaurants per capita than Dallas or Houston. But what we don’t have is a uveitis-trained retina specialist.

This predicament—if you can call it that—is certainly one shared by scores of Retina Today readers. Uveitis practitioners are a rare and hyperspecialized breed and, for a variety of reasons, tend to congregate in larger metropoli and the hallowed halls of academia. For the benefit of colleagues working in similar, smallish-city obscurity, I am sharing my minimalistic, patent-pending, quasi-algorithmic, “flyover country” approach to ocular inflammation.

AT A GLANCE

  • In many areas of the United States, patients must contend with long travel and wait times to see a uveitis specialist.
  • For retina specialists in rural areas, a more hands-on approach to uveitis is necessary, involving prompt initiation of treatment, detailed imaging and documentation, and virtual consultation with uveitis specialist colleagues.
  • Long-term, sustained-release therapies may be particularly beneficial for patients with uveitis who reside far from a specialist.

IS THE DIAGNOSIS EVIDENT?

When confronted by a “hot” eye, those of us aspiring to uveitic enlightenment would do well to first address the most fundamental question: “is the diagnosis evident?” If so, congratulations. A handful of reasonably obscure—or formerly obscure—conditions will likely achieve some degree of notoriety in your clinic, much of which is driven by local geography and demographics.

Syphilitic chorioretinitis, for instance, is on the rise in west Texas, so much so that urbandictionary.com has a Lubbock-specific entry (noun, Raider Rash) that might, in part, explain the alarming uptick of such cases. Another major uveitis player in my practice is Vogt-Koyanagi-Harada syndrome (VKH), seen almost exclusively in my growing population of young Hispanic patients. While I would struggle to recite from memory the criteria required for “complete” VKH disease (leave that to the big city uveitis savants), tinnitus plus retinal pigment epithelium undulations plus multifocal pinpoint angiographic leakage plus bilaterality is reliably VKH in an age- and race-appropriate patient. In cases with severe visual impairment, high-dose oral prednisone will prove a near-immediate tonic. Your expert initial management is certain to win plaudits from patients and physicians alike, thereby attracting further referrals to your growing “armchair” uveitis clinic.

IS COMANAGEMENT REQUIRED?

With the diagnosis in hand (congratulations), one is then advised to consider whether optimal management requires subspecialist collaboration. My general preference for chronic, noninfectious panuveitis (like VKH) is to initiate a referral to rheumatology. In advance of this appointment—with a possible transition to steroid-sparing immunosuppressives front of mind—I encourage patients to consider the risks of local versus systemic therapy. Some patients will recoil at the thought of an eye injection or risk of accelerated cataract growth, whereas others will vehemently make known their opposition to systemic agents of any kind, particularly those that come emblazoned with ominous black box warnings like “bone marrow suppression,” “cancer,” and even “death.”

A CASE IN POINT

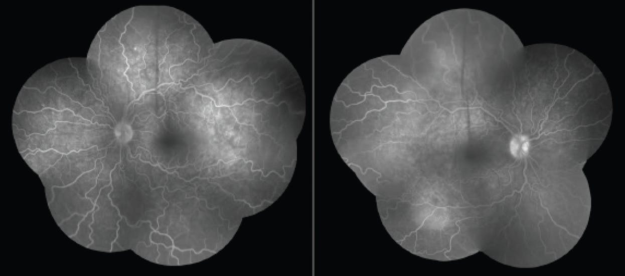
One example from my practice merits mention: An obese 20-year-old Hispanic woman presented some years ago in big-time visual distress with headaches, tinnitus, VA of counting fingers OU, diffuse choroidal melanocytosis, and walloping serous retinal detachments. This constellation of complaints and findings seemed a near lock for VKH, as did ancillary imaging that demonstrated retinal pigment epithelium undulations on OCT suggestive of acute disease (Figure 1).1 Fluorescein angiography provided further corroboration and was notable for clusters of pinpoint angiographic leaks (Figure 2).

<p>Figure 1. The patient’s OCT demonstrates retinal pigment epithelium undulations, suggesting acute VKH.</p>

Click to view larger

Figure 1. The patient’s OCT demonstrates retinal pigment epithelium undulations, suggesting acute VKH.

<p>Figure 2. Fluorescein angiography demonstrates clusters of pinpoint angiographic leaks in each eye.</p>

Click to view larger

Figure 2. Fluorescein angiography demonstrates clusters of pinpoint angiographic leaks in each eye.

Hoping to initiate rapid visual rehabilitation and swearing fealty to the rural retina “go big or go home” mantra, I injected the 0.7 mg dexamethasone intravitreal implant (Ozurdex, Allergan/AbbVie) unilaterally and doubled down by prescribing 60 mg of oral prednisone daily. As expected, the implant-treated eye convalesced quickly, with complete resorption of submacular fluid noted at the first follow-up approximately 10 days later. The fellow eye (not injected) showed similar, but more tentative, signs of improvement.

The patient fell ill around the time of her scheduled appointment with rheumatology a few weeks later and was briefly hospitalized with pneumococcal pneumonia. The use of oral steroids was felt to have played a deleterious role, and infectious disease (consulted in-house) strongly advised against further immunosuppression. Upon discharge, and shortly after discontinuing oral prednisone, a dexamethasone intravitreal implant was injected into the fellow eye; it, too, rapidly improved, and the patient was cheered by the speedy and seemingly miraculous restoration of highly functional sight of 20/40 OU.

During the next year, we observed what became rather predictable bouts of recurrent VKH every 3 to 4 months, taking care to snuff out these episodes with repeat dexamethasone injections. While this approach was successful, the patient—young, mobile, and gainfully employed—began to grow weary of this quarterly exercise in “pin cushion” visual preservation. Sensing her fatigue, I engaged the patient in a conversation about the 0.18 mg fluocinolone acetonide intravitreal implant (Yutiq, EyePoint Pharmaceuticals), a more durable sustained-release option approved to treat noninfectious posterior uveitis. This non-bioerodible implant is administered via intravitreal injection and has been demonstrated to significantly reduce uveitic flares over 3 years.2

Having been long impressed by the efficacy of a similar fluocinolone acetonide intravitreal implant (Iluvien, Alimera Sciences) for my patients struggling with chronic diabetic macular edema, I could speak with some fluency about the risks and benefits of long-acting intraocular fluocinolone use. Chief among these perils in a young, phakic patient is the near-certain development of a visually significant cataract in the early years after implantation. Less likely (especially after previous dexamethasone challenge) is the development of ocular hypertension requiring topical or, very rarely, incisional glaucoma management.1

My patient enthusiastically assented to the 0.18 mg fluocinolone acetonide implant in each eye, reckoning the burden of microincisional cataract surgery to be small when weighed against the expected rewards: preservation of sight, durable uveitis suppression, and far fewer clinic visits and injections in the years to come. She is now approaching post-implantation year 2 and is seen just twice annually (Figure 3). The patient has required no rescue interventions to date, and her much-anticipated cataract surgery resulted in further visual gains.

<p>Figure 3. Nearly 2 years after the 0.18 mg fluocinolone acetonide implant procedure, the patient’s OCT demonstrates continued disease control.</p>

Click to view larger

Figure 3. Nearly 2 years after the 0.18 mg fluocinolone acetonide implant procedure, the patient’s OCT demonstrates continued disease control.

In an era of patient-centric medicine (not to mention 4-minute phacoemulsification), intravitreal fluocinolone is still regarded with suspicion. Weighing the perceived burden of cataract surgery on behalf of a young patient (without their explicit input) or casually dismissing an FDA-approved injection out of hand does a great disservice to legions of patients with uveitis. Just as cancer patients have come to rightly expect an “any and all options” approach to oncologic therapy, so too do our patients deserve choice in uveitis care, even in the absence of a bona fide uveitis specialist.

It is worth noting, especially in light of my comments regarding ‘choice’ here, that while I have no personal experience with suprachoroidal triamcinolone, I am certainly “steroid curious” and remain much intrigued by Xipere, Bausch + Lomb’s recently approved and novel offering to combat noninfectious uveitic macular edema. Clinical studies intimate that the benefits in both visual acuity and central subfield thickness can endure some 9 months after injection, and I look forward to trialing the triamcinolone acetonide injectable suspension in the months ahead.2

A New Workhorse for Uveitis

By Steven Yeh, MD

We now have a new therapeutic option to consider for our patients with noninfectious uveitis—suprachoroidal triamcinolone acetonide injectable suspension (Xipere, Bausch + Lomb and Clearside Biomedical)—that may help address some of the treatment burden.

In the PEACHTREE and MAGNOLIA extension trials, 50% of patients who were treated with suprachoroidal triamcinolone acetonide were able to avoid additional therapies for approximately 9 months after their second injection.1,2 I provide care for many patients who travel a significant distance to see me, which is common for uveitis and retina providers, and being able control their disease for a longer period is particularly helpful. Nonetheless, it’s important to have another local eye care provider in the patient’s region in the event the patient experiences any side effects or any other considerations that may emerge during the follow-up period.

In addition, the PEACHTREE trial showed that nearly 50% of patients in the treatment arm experienced a 3-line gain in visual acuity compared with 16% in the sham group;1 we all know that visual acuity is what truly matters to patients and effects the quality of life the most.

Given the clinical trial data, I often consider this treatment approach when other therapies—including intravitreal local corticosteroid preparations—have not been as effective as I would like for certain patients.

The suprachoroidal delivery technique required for this new therapy is now an important skill to acquire, and the virtual training platform is a helpful tool for those looking to integrate suprachoroidal triamcinolone acetonide into clinical practice.

1. Yeh S, Khurana RN, Shah M, et al; PEACHTREE Study Investigators. Efficacy and safety of suprachoroidal CLS-TA for macular edema secondary to noninfectious uveitis: Phase 3 randomized trial. Ophthalmology. 2020;127(7):948-955.

2. Khurana RN, Merrill P, Yeh S, et al. Extension study of the safety and efficacy of CLS-TA for the treatment of macular edema associated with noninfectious uveitis (MAGNOLIA) [Preprint published online March 12, 2021. Br J Ophthalmol.

Steven Yeh, MD
Professor and Stanley Truhlsen Jr. Chair in Ophthalmology; Director, Retina and Uveitis, Truhlsen Eye Institute, University of Nebraska Medical Center, Omaha, Nebraska
syeh@unmc.edu
Financial disclosure: Consultant (Bausch + Lomb, Clearside Biomedical)

WIDEN THE VIEW

So: where to turn when the diagnosis isn’t apparent, and the nearest uveitis specialist is some 300 miles distant? If you have access to it, widefield angiography can prove to be a critical diagnostic tool. In mystery cases of uveitis, it serves two very important functions: 1) it helps you to assess the degree of immediate ocular/visual threat, and 2) it provides robust imaging that can be shared onward with uveitis-trained colleagues.

While this is something of a generalization, a “hot” nerve or “hot” vessels (especially in the presence of sectoral non-perfusion) is a cause for immediate alarm. If an infectious etiology can be reliably excluded, prompt initiation of steroids is typically advised to stave off catastrophic insults that might result in permanent vision loss. This is often a very useful and sight-saving delay tactic, offering time for targeted investigations (ie, serologic, radiologic, cardiovascular).

Better still, it typically affords a valuable reprieve during which de-identified patient images and histories can be electronically disseminated to select uveitis specialists, be it informally or through structured forums and/or telemedical consultation. Very little hoop-jumping is required on my part, as I am fortunate to be member of a large, collegial group that includes three such specialists. The depth of their knowledge astounds, and every week cases are offered up for their esteemed consideration. For those flying solo or without ready access to uveitis support, I might suggest referring a few of your toughest cases out (even when travel is required). Be certain to send thoughtful letters that demonstrate both a genuine interest in uveitis and your earnest attempts at management to date and/or a good bit of studious Googling; this will go a long way in cultivating a fledging relationship with your uveitis pundit of choice. “Showing work” is key here, as I have found that most uveitis specialists grade us rural retina folks on a gentle, “flyover country” curve. Almost everyone gets a trophy, but what you’re really after is some genuine bonhomie and—this is key!—a cell phone number providing 24/7 access to curbside uveitis enlightenment in perpetuity.

That said, when inflammation persists and even spirals—especially in the presence of declining vision—I am careful to note that there is currently no substitute for a face-to-face uveitis consultation, and I will urge travel for the patient unless absolutely impossible. I meticulously document these conversations, and I will frequently provide detailed letters summarizing the findings, recommendations, and investigations to date. If my concerns are great, I am liberal with my use of italicized and bolded text, noting clearly and in non-EHR language the grave risk of permanent vision loss.

LOOKING AHEAD

In the coming years, as our stockpile of actionable, uveitic data becomes more nuanced and grows, I foresee a future in which artificial intelligence might serve as a useful stopgap for those of us practicing retina in America’s less-fashionable corners. Until then, we will soldier on in relative obscurity, stock characters in that unrequited, middle America retina job posting, steeling ourselves for the coming battle against ocular inflammation with novel therapeutics, detail-rich imaging, and that occasional consult-from-afar.

1. Hashizume K, Imamura Y, Fujiwara T, Machida S, Ishida M, Kurosaka D. Retinal pigment epithelial undulations in acute stage of Vogt-Koyanagi-Harada disease: biomarker for functional outcomes after high-dose steroid therapy. Retina. 2016;36(2):415-421.

2. Testi I, Pavesio C. Preliminary evaluation of YUTIQ (fluocinolone acetonide intravitreal implant 0.18 mg) in posterior uveitis. Ther Deliv. 2019;10(10):621-625.

3. Khurana RN, Merrill P, Yeh S, et al. Extension study of the safety and efficacy of CLS-TA for treatment of macular oedema associated with non-infectious uveitis (MAGNOLIA). [Published online ahead of print March 12, 2021] Br J Ophthalmol.