AT A GLANCE

  • Aggressive prevention of recurrent vitreous hemorrhage is perhaps the most important prophylactic measure against diabetic tractional retinal detachment (TRD).
  • The bulk of TRD surgery consists of removal of fibrosis along the arcades, which frees the macula of traction.
  • Surgeons must remove vitreoschisis, as it serves as a nidus for proliferative vitreoretinopathy, leading to postoperative redetachment and epiretinal membrane.

The original purpose of vitrectomy was to clear vitreous hemorrhage, most often due to proliferative diabetic retinopathy (PDR). Over the past few decades, improvements in the medical and surgical management of PDR have yielded vastly improved outcomes. Peripheral scatter photocoagulation and anti-VEGF therapy are disease-modifying therapies that alter the course of PDR and avert severe vision-threatening complications. Commensurate with medical management, there has been a dramatic evolution in our surgical instruments and techniques, allowing us to treat hemorrhage and tractional retinal detachment (TRD) more efficiently. After 5 decades of advances in vitreoretinal surgery, TRD remains one of the most significant surgical challenges in our field today.

Fortunately, most diabetic TRDs share phenotypic similarities in their presentation, anatomic relationships, and pathways toward progression. This has allowed us to develop certain approaches when tackling these cases. This article reviews preoperative care and shares the various intraoperative techniques that can help with diabetic TRD repair.

CARE BEFORE AND AFTER

Timing of Surgery

Before entering the OR, preoperative management of an impending TRD is critical. Aggressive prevention of recurrent vitreous hemorrhage is perhaps the most important prophylactic measure. This can be achieved through panretinal photocoagulation (PRP) and anti-VEGF treatment for neovascularization.

It’s important to understand the pathogenesis. In the era of anti-VEGF therapy, our ability to regress vitreous hemorrhage has allowed eyes to advance to later stages of PDR without operation. Multiple episodes of recurring and resolving vitreous hemorrhage, a common phenotype in severe diabetic eyes, leads to incipient vitreoretinal traction that characteristically develops in the wake of regressed neovascularization and proliferates along the vascular arcades.

Loss to follow-up after anti-VEGF therapy without PRP can increase the risk of TRD.1 Patients often have comorbid conditions and are of working age, making a trip to the OR less desirable. Early vitrectomy yielded faster visual recovery and less recurrent hemorrhage in the Diabetic Retinopathy Clinical Research Retina Network’s Protocol AB,2 but this new data may not yet reflect widespread practice. Surgery for TRD carries significant risk, and many surgeons choose surgery only as a last resort. Taken together, PDR/TRD patients may arrive in the OR with advanced and widespread tractional membranes that significantly complicate surgery.

Preoperative Therapies

The benefit of preoperative anti-VEGF therapy for diabetic TRD surgery is well understood.3 It reduces the risk of intraoperative hemorrhage and begins to regress neovascularization within the first 24 hours after injection. However, I prefer to give an injection approximately 1 to 2 weeks in advance of surgery, which allows more time for complete regression of neovascularization and improves vitreous/preretinal hemorrhage. In eyes with severe or impending TRD, many physicians opt to avoid anti-VEGF injections due to the concern for the contracture of membranes that leads to macular detachment, the so-called “crunch” effect. However, the overall risk of crunch is low, and eyes with advanced proliferative disease may benefit more from anti-VEGF therapy than without. In most eyes, the risk of progression of the traction is low and the benefit of injections is high.

PRP is also very helpful to ensure successful TRD surgery. Peripheral laser therapy limits the extent of posterior pole detachment and removes the periphery from the equation when operating on these eyes. When there is no PRP, TRD can extend far into the periphery, where dissection of the hyaloid membrane from a detached retina is at highest risk for iatrogenic breaks. Also, PRP helps tack the retina down and serves as counter traction when peeling membranes.

SURGICAL TECHNIQUES

Vitreoretinal surgeons generally agree on the overall approach when it comes to the intraoperative management of TRDs, although individual preferences and techniques vary. The primary pathologic entity in PDR is the hyaloid. Neovascular blood vessels grow into and along the posterior surface of the hyaloid membrane, eventually maturing into fibrotic tractional membranes. Thus, removal of the hyaloid and associated membranes is necessary for any diabetic case. Most tractional membranes exist along the vascular arcades and encircle the macula.

The goal of TRD surgery is twofold: 1) relieve the encircling traction from the arcades to the macula, and 2) relieve the traction from the arcades to the ora serrata. The latter is typically done first with peripheral segmentation of the posterior hyaloid membrane and removal of the cortical vitreous gel. This frees the membranes of their anterior attachment. Although some diabetic eyes already have peripheral hyaloid separation, eyes that do not have separation pose significant challenges for peripheral dissection. Clinicians should be careful to remove the hyaloid in its entirety because any residual hyaloid may lead to persistent anterior traction, which can cause recurrent hemorrhages and induce retinal breaks at the edge of fibrovascular pegs. Prior PRP increases the chance for hyaloid separation because it keeps the peripheral retina attached while gently regressing neovascularization, resulting in contracture and elevation of the peripheral hyaloid.

The bulk of TRD surgery consists of removing fibrosis along the arcades, which frees the macula of traction. I prefer to start dissection at the optic nerve and work using an inside-out approach. At the optic nerve, fibrotic tissue can be engaged with forceps and peeled without concern for retinal traction. This elevates membranes along the natural plane along the arcades, opening additional avenues for dissection.

The endpoint of membrane dissection is typically sufficient relief of the traction to flatten the macula. Dissection techniques fall into two broad categories: segmentation and delamination. Segmentation, or sharp dissection, can be accomplished with the vitreous cutter or intraocular scissors and works best on dense, encircling fibrous membranes. Delamination, or blunt dissection, involves peeling to separate membranes from the retina and can be accomplished with forceps, membrane scrapers, picks, and similar tools. Typically, surgeons use delamination for thinner membranes and to elevate the peripheral hyaloid.

SURGICAL TIPS AND TRICKS

In complex diabetic TRD cases, I typically use a hybrid 25-/27-gauge vitrectomy system, starting with the 25-gauge vitrector and light source for efficient removal of the cortical vitreous and hyaloid. The 25-gauge light source affords wider illumination than its 27-gauge counterpart. Additionally, 25-gauge forceps and accessory instruments are stiffer and easier to work with.

I switch to a 27-gauge vitrector for membrane dissection. Modern 27-gauge cutters with optimized mouth-to-tip distance have tangibly improved diabetic TRD dissection, allowing safe and efficient membrane segmentation. In fact, I find that unimanual dissection with the cutter alone is sufficient for most diabetic cases, although bimanual surgery and chandelier illumination is required in some cases.

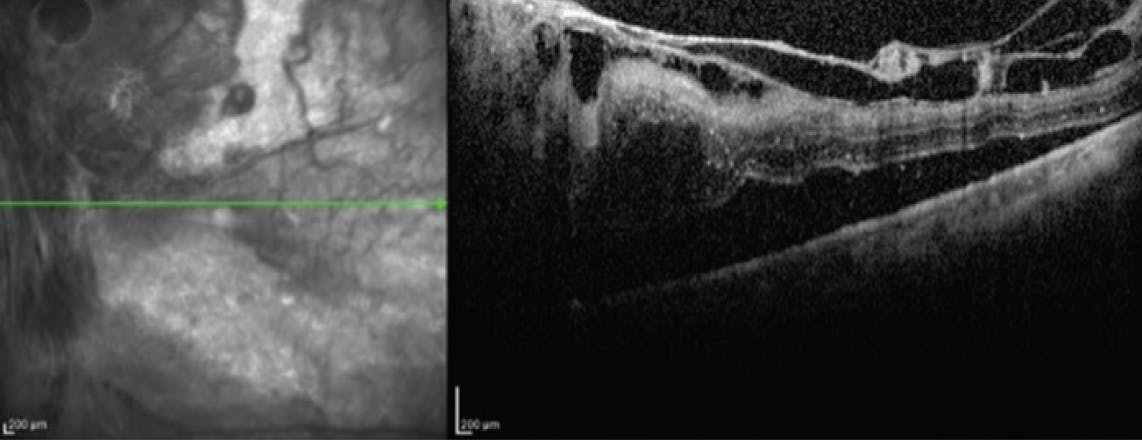
The plane of dissection is always the preretinal and sub-fibrous membrane space. Respecting this plane and selecting instruments to best achieve safe dissection is paramount to avoid iatrogenic breaks. Fortunately, most diabetic membranes are not tightly and contiguously attached to the retina. Instead, they have strong focal attachments with intervening clear areas (Figure 1). These areas can be identified and exploited to efficiently segment and remove even broad areas of fibrosis. Before segmentation, I like to use forceps to dynamically examine the membranes. By gently lifting and reflecting over the edges, I can examine the underside of membranes and identify accessible areas to advance the dissection (Figure 2).

<p>Figure 1. OCT reveals a preretinal fibrovascular membrane with focal attachments and intervening clear spaces. The clear spaces provide opportunities to propagate dissection.</p>

Click to view larger

Figure 1. OCT reveals a preretinal fibrovascular membrane with focal attachments and intervening clear spaces. The clear spaces provide opportunities to propagate dissection.

<p>Figure 2. Preretinal membranes can be gently retracted to inspect for the open area. Dynamic manipulation of membranes can be very helpful to interrogate unique vitreoretinal relationships unique to the TRD and allow safer dissection.</p>

Click to view larger

Figure 2. Preretinal membranes can be gently retracted to inspect for the open area. Dynamic manipulation of membranes can be very helpful to interrogate unique vitreoretinal relationships unique to the TRD and allow safer dissection.

Research shows that internal limiting membrane (ILM) peeling in TRD repair can be an effective approach to prevent epiretinal membrane (ERM) and restore retinal elasticity to aid in resolution of persistent submacular fluid.4,5 In rhegmatogenous retinal detachment (RRD) repair, ILM peeling yields better postoperative visual acuity due to the prevention of ERM.6,7 Likewise, ILM peeling is an integral part of macular hole repair, where removal of this inelastic layer relieves tangential traction and adds retinal elasticity, allowing for mobilization of perifoveal retinal tissue. In TRDs, I perform ILM peeling for preexisting ERM and severe retinal folds, and when preexisting retinal breaks are present, such as with combined TRD/RRD. Breaks complicating TRD/RRD are usually found in the near periphery underneath tractional membranes and can be associated with particularly thick epiretinal fibrous proliferation. I peel ILM in these cases with special emphasis on extending the peel to encompass the hole. I find this allows the retina to better settle in these regions, improving retinal pigment epithelium adhesion and allowing laser treatment to effectively seal breaks.

Vitreoschisis is present in more than 80% of diabetic eyes and manifests as remnant layers of hyaloid adherent to the retinal surface after complete vitrectomy.8 Often, surgeons mistake the presence of a posterior vitreous detachment with complete vitreous removal, but this is not true, as these eyes frequently harbor vitreoschisis. Surgeons must remove this layer, as it serves as a nidus for proliferative vitreoretinopathy, leading to postoperative redetachment and ERM. A distinguishing hallmark of vitreoschisis is its presence in both the macula and periphery. The layer can be visualized by triamcinolone staining. I assess for vitreoschisis in every diabetic case, generally instilling triamcinolone after membrane dissection. Vitreoschisis removal is generally straightforward. The membrane can be removed by elevating an edge using a Finesse Flex Loop (Alcon) and aspirating using the vitreous cutter.

FINAL THOUGHTS

Diabetic TRD surgery remains a significant challenge for vitreoretinal surgeons, but advances in techniques and instrumentation have turned the vast majority of cases into solvable problems. Surgical maneuvers should be driven by an understanding of the underlying pathophysiology of fibrovascular proliferation and its interaction with the posterior hyaloid. A wide array of techniques can help surgeons satisfactorily complete TRD repair based on their preference and the severity of the disease. Ultimately, it is up to the surgeon to decide how best to manage the unique nuances of each eye.

1. Obeid A, Gao X, Ali FS, et al. Loss to follow-up in patients with proliferative diabetic retinopathy after panretinal photocoagulation or intravitreal anti-VEGF injections. Ophthalmology. 2018;125(9):1386-1392.

2. Glassman AR, Beaulieu WT, Maguire MG, et al. Visual acuity, vitreous hemorrhage, and other ocular outcomes after vitrectomy vs aflibercept for vitreous hemorrhage due to diabetic retinopathy: a secondary analysis of a randomized clinical trial. JAMA Ophthalmol. 2021;139(7):725-733.

3. Simunovic MP, Maberley DAL. Anti-vascular endothelial growth factor therapy for proliferative diabetic retinopathy: a systematic review and meta-analysis. Retina. 2015;35(10):1931-1942.

4. Karahan E, Vural GS, Girgin Y, et al. Pars plana vitrectomy with and without ILM-peeling for diabetic patients with macula involved tractional retinal detachment. Preprint. Published online May 12, 2022. Retina.

5. Jung BJ, Jeon S, Lee K, et al. Internal limiting membrane peeling for persistent submacular fluid after successful repair of diabetic tractional retinal detachment. J Ophthalmol. 2019;2019:8074960.

6. Yannuzzi NA, Callaway NF, Sridhar J, Smiddy WE. Internal limiting membrane peeling during pars plana vitrectomy for rhegmatogenous retinal detachment: cost analysis, review of the literature, and meta-analysis. Retina. 2018;38(10):2081-2087.

7. Odrobina D, Bednarski M, Cisiecki S, et al. Internal limiting membrane peeling as prophylaxis of macular pucker formation in eyes undergoing retinectomy for severe proliferative vitreoretinopathy. Retina. 2012;32(2):226-231.

8. Schwatz SD, Alexander R, Hiscott P, Gregor ZJ. Recognition of vitreoschisis in proliferative diabetic retinopathy. A useful landmark in vitrectomy for diabetic traction retinal detachment. Ophthalmology. 1996;103(2):323-328.