Although OCT has become an integral part of clinical practice, other noninvasive imaging modalities have also become staples, such as widefield (WF) imaging, ultra-widefield multiwavelength (UWF-MW) fundus imaging, and color fundus photography (CFP). Many imaging techniques require multi-capture frames, or they can be invasive and require dye, such as fluorescein angiography (FA) and ICG angiography (ICGA).

While somewhat uncomfortable and invasive, these tests are, in many cases, essential. In addition, many modalities complement each other, and the findings of an ICGA test may confirm the FA results, or anatomic anomalies missed on OCT may be picked up on UWF-MW imaging.

Innovation has led to multimodal platforms that allow simultaneous capture of several modalities in one imaging session, streamlining the process and improving clinic flow.

MY EXPERIENCE

I have used multimodal imaging in my practice, The Retina Clinic London, for years. The platforms in my clinic include, but are not limited to, the Silverstone (Optos), the Spectralis (Heidelberg), and the Triton (Topcon). The Silverstone provides UWF-MW imaging with central and navigated peripheral swept-source OCT (SS-OCT), UWF FA, ICGA, green-light fundus autofluorescence (FAF), and multiwavelength modalities (up to 200°). The Spectralis includes OCT, OCT angiography (OCTA), and WF and UWF fundus photography (up to 150° with use of a Staurenghi contact lens). The Triton offers CFP, FAF, OCT, OCTA, and FA.

Recently, my team and I investigated the utility of simultaneous capture of multiple modalities and found that multimodal imaging allows more precise characterization of retinal diseases in some patients, helping the retina specialist provide treatment tailored to specific anatomic findings, diagnose and treat conditions earlier, and monitor patients more precisely and accurately over time.1

Here, I share our findings with respect to the utility of multimodal imaging in certain retinal pathologies.

AMD

OCT imaging is essential for the diagnosis and accurate and objective monitoring of both wet and dry AMD. However, to characterize a patient’s specific type of neovascularization, OCTA and FA/ICGA may be necessary. As our understanding of peripheral findings (eg, drusen) in AMD evolves, UWF images will help us better classify the disease. We routinely image AMD patients using UWF technology.

Now that there are two approved drugs for the treatment of geographic atrophy (GA), we must determine the most relevant imaging platform for the diagnosis and longitudinal tracking of GA. Multimodal imaging will allow providers to more effectively track GA progression and response to therapy on multiple validated modalities. The clinical utility of platform- and wavelength-specific modalities will more clearly emerge as real-world applications are published.

Proliferative Diabetic Retinopathy

Navigated midperipheral and peripheral SS-OCT is a useful tool for assessing proliferative diabetic retinopathy (PDR). UWF FA is necessary to rule out peripheral retinopathy. In patients with DR, risk of progression is higher with concomitant peripheral lesions, and the early and accurate detection of these lesions can better inform treatment.2

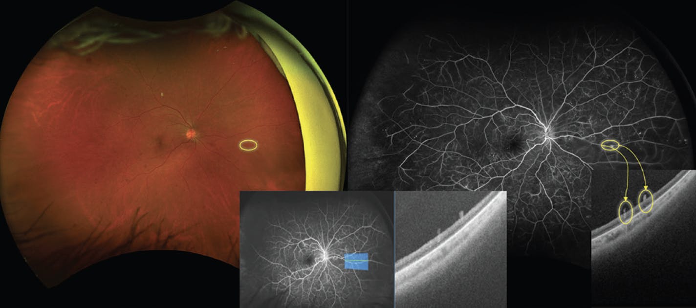
In our study, we found that UWF FA alone sufficiently depicted ischemia and neovascularization to diagnose active PDR.1 Further, the use of navigated peripheral SS-OCT over the FA image detected previously unseen neovascularization and provided complementary anatomical information of the neovascularization (Figure 1). We often determine whether and how to use targeted retinal photocoagulation based on peripheral retinal findings on UWF-MW fundus imaging, FA, and navigated OCT. By combining all three modalities, we can examine patients thoroughly, diagnose earlier, personalize treatment, and monitor objectively, all while reducing the likelihood that pathology goes undetected.

<p>Figure 1. Navigated midperipheral SS-OCT over FA imaging shows two buds of incipient neovascularization elsewhere, providing complementary anatomical information of the neovascularization.</p>

Click to view larger

Figure 1. Navigated midperipheral SS-OCT over FA imaging shows two buds of incipient neovascularization elsewhere, providing complementary anatomical information of the neovascularization.

When using FA in patients with diabetes, an UWF perspective allows providers to capture the entirety of a particular phase of the angiogram. Thus, rather than taking several snapshots and montaging them to describe a particular phase of FA, technicians capturing UWF FA images can capture the widest possible image depicting a singular moment in any given phase without registration errors.

Sickle Cell Disease

Patients with sickle cell disease (SCD) may be asymptomatic but still present with peripheral retinal changes that are easy to miss during routine examinations.3 In patients with suspected or diagnosed SCD, multimodal imaging of the retinal anatomy may reveal undetected retinal abnormalities.

In our study, we concluded that examination of patients with SCD using both UWF-MW imaging and navigated peripheral SS-OCT reduced the likelihood of misdiagnosis.1 We also found that the combination of UWF FA and navigated peripheral SS-OCT highlighted vitreoretinal traction, retinal schitic changes, and intraretinal fluid secondary to SCD with ischemia and neovascularization (Figure 2). Further study is needed to elucidate these findings.

<p>Figure 2. Simultaneous UWF FA and navigated SS-OCT show vitreoretinal traction, epiretinal fibrosis, retinal schitic changes, intraretinal fluid adjacent to peripheral retinal ischemia, and sea fan-shaped neovascularization secondary to SCD.</p>

Click to view larger

Figure 2. Simultaneous UWF FA and navigated SS-OCT show vitreoretinal traction, epiretinal fibrosis, retinal schitic changes, intraretinal fluid adjacent to peripheral retinal ischemia, and sea fan-shaped neovascularization secondary to SCD.

Vogt-Koyanagi-Harada Disease

In Vogt-Koyanagi-Harada (VKH) disease, UWF FA, UWF ICGA, and central and navigated peripheral SS-OCT are essential tests, and all patients with VKH disease who present to our clinic are imaged with these modalities so that we can characterize baseline retinal and choroidal changes. Navigated peripheral SS-OCT also assists in objectively and accurately assessing response to treatment over time.

In our report, we described the case of a 55-year-old patient who was diagnosed with VKH disease by simultaneous navigated peripheral SS-OCT over UWF FA/ICGA imaging. Findings revealed multiple areas of serous retinal detachment outside the macula.1 Navigated peripheral SS-OCT also found evidence of vasculitis, characterized by intraretinal perivascular high reflectivity.

CHALLENGES OF MULTIMODAL IMAGING

Multimodal imaging does have its challenges. For one, a standardized lexicon has not been adopted by all stakeholders. Reliance on manufacturer-specific terms leads to confusion when discussing inter-platform findings, impeding research to better understand these innovations. The International Widefield Imaging Study Group is working to reconcile nomenclature (see Standardization of the Nomenclature). In addition, patient compliance with a technician’s instructions can be a barrier to capturing high-quality images. The invasive nature of some imaging modalities remains a significant challenge in our clinics. Finally, the capital expense to acquire new equipment must also be considered.

STANDARDIZATION OF THE NOMENCLATURE

Although researchers generally understand the terms widefield and ultra-widefield, no strict definition had been established prior to a 2019 consensus meeting. That meeting, organized by the International Widefield Imaging Study Group, proposed clarification on these terms.1 After determining that no uniform terminology existed in the literature and that device-specific terminology leads to potential confusion, the consensus group suggested the following definitions:

Widefield images include “images depicting retinal anatomic features beyond the posterior pole, but posterior to the vortex vein ampulla, in all four quadrants.”1

Ultra-widefield images depict “retinal anatomic features anterior to the vortex vein ampullae in all four quadrants.”1

1. Choudhry N, Duker JS, Freund KB, et al. Classification and guidelines for widefield imaging: recommendations from the international widefield imaging study group. Ophthalmol Retina. 2019;3(10):843-849.

THE WAY OF THE FUTURE

The benefits of using multimodal imaging in retina care outweigh the potential challenges. Cutting-edge clinics aiming to maximize the potential and efficiency of their imaging suite should assess whether multimodal platforms are a good fit and can be integrated into their workflow.

In a wider sense, the adoption of multimodal imaging could improve access to earlier care for patients through telemedicine and lead our field to the more objective and precise patient-tailored medicine we strive to practice.4 Multimodal imaging is here to stay—it’s just a matter of how you will embrace it.

1. Valentin Bravo FJ, Ayliffe W, Stanga SFE, et al. New imaging technology for simultaneous multiwavelength-UWF fundus fluorescein angiography and indocyanine green angiography with navigated central and peripheral SS-OCT. Ophthalmic Surg Lasers Imaging Retina. 2023;54(7):401-410.

2. Silva PS, Cavallerano JD, Haddad NMN, et al. Peripheral lesions identified on ultrawide field imaging predict increased risk of diabetic retinopathy progression over 4 years. Ophthalmology. 2015;122(5):949-956.

3. Nithianandan H, Sridhar J. Surgical and medical perioperative management of sickle cell retinopathy: a literature review. Int Ophthamol Clin. 2020;60(4):77-87.

4. Aiello LP, Jacoba CMP, Ashraf M, et al. Integrating macular optical coherence tomography with ultrawide-field imaging in a diabetic retinopathy telemedicine program using a single device. Retina. 2023;43(11):1928-1935.