Valsalva retinopathy is a rare condition first described in 1972 as a preretinal hemorrhage with a clinical presentation of mild to severe unilateral visual loss.1 It typically occurs in otherwise healthy individuals after an event that raises intrathoracic or intraabdominal pressure, such as coughing, vomiting, weightlifting, straining for bowel movement, sexual intercourse, or childbirth.

There is no known sex, race, or age predilection described in the literature. It results from forcible expiration against a closed glottis, causing a rise in venous blood pressure. In individuals with incompetent valves in the venous systems of the head and neck, this pressure can trigger a spontaneous rupture of perifoveal superficial retinal blood vessels with consequent hemorrhagic detachment of the internal limiting membrane or onto the subhyaloid space.2

CASE REPORT 

A 26-year-old man with no relevant history presented to our emergency department with sudden visual acuity loss in his left eye accompanied by a reddish hue in his vision after intense vomiting due to acute gastroenteritis. His BCVA was hand motion at 3 feet OS. The slit-lamp examination and his IOP measurements were unremarkable. Fundoscopic examination of the left eye revealed a large, round premacular hemorrhage approximately 6 disc areas in size containing bright red preretinal blood with a convex surface toward the vitreous with some movement (Figure 1).

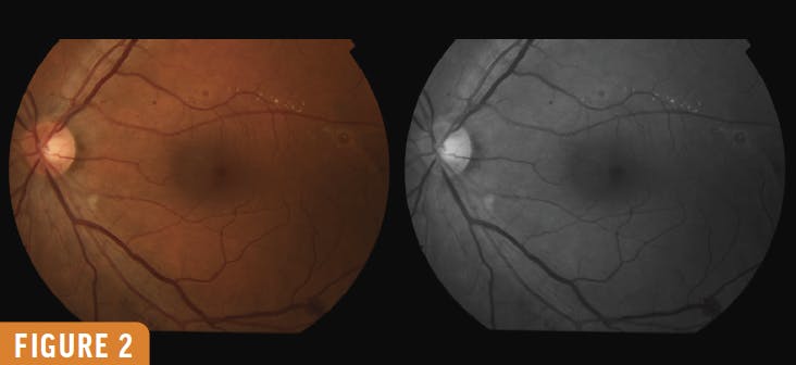
We initially performed a Nd:YAG laser hyaloidectomy to release the blood into the inferior vitreous cavity for a faster recovery, but the treatment was unsuccessful, likely due to blood coagulation. After 1 week, the patient underwent pars plana vitrectomy with restoration of his BCVA to 20/20 OS (Figure 2).

1. Duane TD. Valsalva hemorrhagic retinopathy. Trans Am Ophthalmol Soc. 1972;70:298-313.

2. Celik Dulger S, Ozdal PC, Teke MY. Valsalva retinopathy: Long-term results and management strategies. Eur J Ophthalmol. 2021;31(4):1953-1960.