Automated insulin delivery (AID) devices integrate a continuous glucose monitor that automatically adjusts insulin delivery based on the readings. The goal is to maintain measurements within a target range, thus managing glucose levels more effectively in patients with diabetes.

AID systems are primarily used to treat patients with type 1 diabetes, especially for those who experience significant glycemic variability, frequent hypoglycemia, or difficulty with manual insulin dosing. Most systems are hybrid closed-loop systems, in which users manually input carbohydrate intake and bolus for meals, while the system adjusts background (basal) insulin delivery automatically.

AID systems have been shown to improve glycemic control, reduce hemoglobin A1c levels, minimize hypoglycemia, and improve quality of life for patients with diabetes.1

However, cost remains a major barrier, limiting access for many patients. AID technology also requires users to wear multiple devices, which may be uncomfortable and requires adaptation.

While the use of AID technology is beneficial for diabetes control, concern has been raised over rapid improvements in glucose control potentially leading to early worsening of diabetic retinopathy (EWDR; Figure). EWDR is a phenomenon in which tighter glucose control causes a temporary deterioration in DR,2 underscoring the importance of close monitoring. Our team conducted a study to assess the progression of DR in patients commencing use of AID devices, and our results indicated that this technology is safe from a DR perspective.3

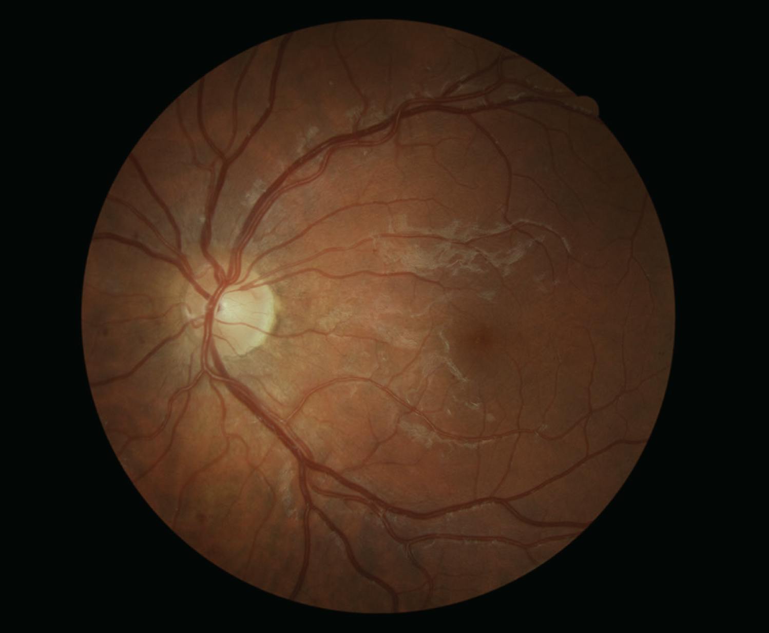
<p>Figure. Patients with DR, such as this one, who start using an AID device can rest assured that their risk of EWDR is minimal (only 3% of patients developed clinically significant EWDR in our current study).</p>

Click to view larger

Figure. Patients with DR, such as this one, who start using an AID device can rest assured that their risk of EWDR is minimal (only 3% of patients developed clinically significant EWDR in our current study).

A LOOK AT THE DATA

Our retrospective observational study involved 165 pediatric patients older than 13 years of age with type 1 diabetes who had been using an AID device for at least 6 months. These criteria were chosen to align with the 6- to 12-month timeframe in which EWDR is most likely to occur.2 DR was assessed using retinal photographs and recording a DR grading at baseline and following AID device initiation.

Demographic information was collected, including date of birth, date of diabetes diagnosis, sex, smoking status, body mass index, and hemoglobin A1c values. Data regarding other diabetes complications were also obtained, including presence of nephropathy, dyslipidemia, and formal diagnosis and/or treatment of hypertension.

The results showed that DR grading improved in 19% of individuals and remained stable in 60%, supporting the safety of AID technology in patients with type 1 diabetes; of the 21% whose DR worsened, only 3% developed clinically significant EWDR. Of these five patients, four experienced worsening from a nonproliferative stage to a proliferative stage, and one patient had new proliferation after previously being treated for proliferative disease.

Of note, being older than 18 years of age at AID initiation was the only statistically significant risk factor identified for EWDR on logistic regression. Risk factors in patients who required laser therapy included previous DR, diabetes diagnosis for more than 10 years, and coexistence of one or more diabetes complications.

No clinically important DR worsening occurred in patients with a diabetes diagnosis of less than 10 years and without preexisting DR, which suggests greater long-term benefits may be achieved by starting AID therapy immediately after a diabetes diagnosis.

CONSIDERATIONS WITH AID DEVICES

Our findings indicate that the risk of EWDR should not prevent AID use; still, for those at a higher risk of EWDR (ie, those with a longer history of diabetes and with associated complications), a closer follow-up and monitoring schedule may be warranted with the main goal of early detection of proliferative DR. The benefits of an AID device for patients with diabetes are clear, as improving glycemic levels reduces risk of diabetes complications, including DR (specifically, a 76% reduction in the risk for DR progression after 6.5 years of follow-up).2

There is no evidence that managing the magnitude of hemoglobin A1c change will lower the risk of DR progression in patients with diabetes. Our study showed no higher risk of worsening in DR grade between those with or without rapid improvement in their hemoglobin A1c. Given that those with severe diabetes may have the most to gain from using an AID device, this finding provides significant safety reassurance.

In addition, the fact that AID initiation in patients older than 18 years of age was the only statistically significant risk factor, and no clinically significant DR progression occurred in those with a diabetes diagnosis of less than 10 years and without preexisting DR, suggests children and adolescents with type 1 diabetes may generally experience low risk of EWDR following AID device initiation.

The progression of DR to proliferative disease in a small proportion of the participants (3%) is similar to previously published rates of natural history of DR progression (with or without changes in therapy). For example, the Diabetes Control and Complications Trial identified EWDR after conventional treatment in 7.6% of patients within the first 6 to 12 months.2

THE BENEFITS OUTWEIGH THE RISK

AID devices have proven to be safe and effective, as DR grades are mainly stable or improved with their use. Nevertheless, in a small minority of patients, DR progression may occur, and while most only progressed to minimal or mild grades, proliferative changes requiring laser treatment are possible in approximately 3% of cases. Clinicians should monitor for DR progression, particularly in patients with prior DR, a diabetes diagnosis for more than 10 years, and other known diabetes complications. Our data support that the benefits of AID technology on glycemia outweigh the potential short-term risk of DR progression.

1. Gilbert TR, Noar A, Blalock O, Polonsky WH. Change in hemoglobin A1c and quality of life with real-time continuous glucose monitoring use by people with insulin-treated diabetes in the Landmark Study. Diabetes Technol Ther. 2021;23(S1):S35-S39.

2. No authors listed. Early worsening of diabetic retinopathy in the Diabetes Control and Complications Trial. Arch Ophthalmol. 1998;116(7):874-886.

3. Johansson MME, March de Ribot F, Sime MJ, et al. Short-term diabetic retinopathy status in people with type 1 diabetes commencing automated insulin delivery. Diabetes Technol Ther. 2025;27(5):386-394.