
Case Presentation
A 77-year-old woman presented with gradually worsening blurry vision in both eyes. Her ocular history was notable for non exudative age-related macular degeneration (AMD) OU and mild nuclear sclerotic cataracts. She had no systemic comorbidities, no known geographic atrophy (GA) risk factors, and was not taking ocular or systemic medications. At baseline in June 2023:
- BCVA was 20/30-1 OD and 20/25-1 OS.
- Anterior segment examination revealed 1 to 2+ nuclear sclerosis OU, otherwise within normal limits.
- Fundus examination showed drusen, retinal pigment epithelium (RPE) changes, and patchy GA in both eyes.

Baseline Imaging and Assessment
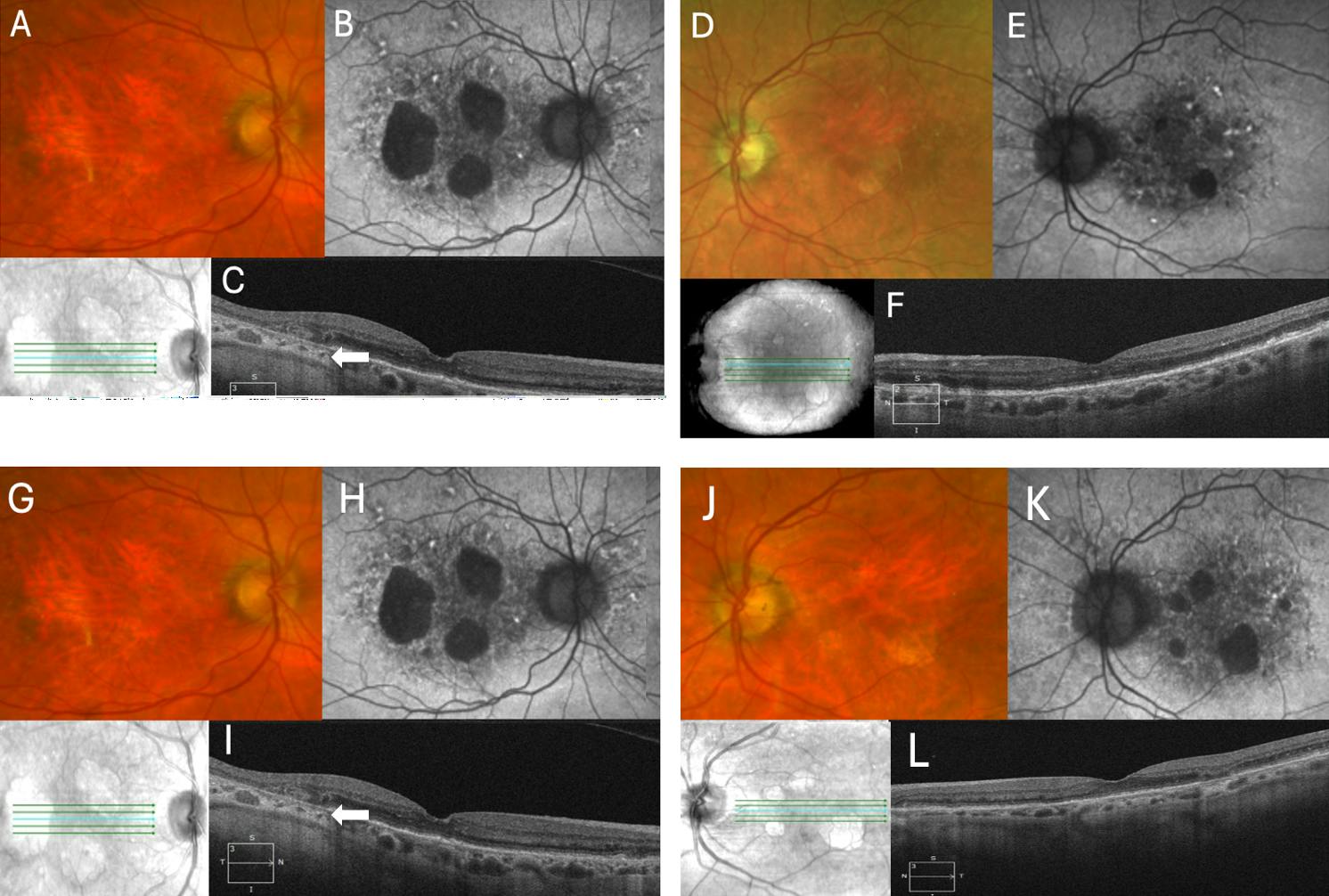
Multimodal imaging confirmed bilateral extrafoveal complete RPE and outer retinal atrophy (cRORA) with preserved central photoreceptors and active junctional zones, representing a classic therapeutic window phenotype in GA.
Color fundus photography demonstrated confluent macular drusen with areas of RPE attenuation and mottling, consistent with early-to-intermediate GA. The foveal centers remained relatively spared. Both eyes showed extensive peripheral drusen and pigmentary change, suggesting a diffuse AMD phenotype, which has been associated with greater lifetime disease burden and faster GA progression.
Fundus autofluorescence (FAF) revealed multifocal hypoautofluorescent macular lesions surrounded by heterogeneous hyperautofluorescent junctional zones, consistent with established GA with metabolically stressed bordering retina. The multifocal configuration, with high perimeter-to-area ratios, suggested increased potential for radial expansion. Central autofluorescence was preserved, but junctional hyperautofluorescence extended close to the fovea, threatening progression to foveal involvement. Patchy autofluorescence abnormalities extended into the mid-periphery, reinforcing the impression of diffuse AMD involvement.
Structural OCT demonstrated bilateral extrafoveal cRORA with preserved foveal architecture. OD showed intact foveal contour with continuous external limiting membrane (ELM) and ellipsoid zone (EZ) centrally, with parafoveal RPE attenuation and hypertransmission. OS showed a slightly greater contiguous atrophic burden with broader zones of RPE loss and junctional EZ attenuation. There was no intraretinal or subretinal fluid, subretinal hyperreflective material, or fibrovascular pigment epithelial detachments in either eye.

Management Decision
Given the extrafoveal location of GA, preserved foveal structure, and imaging evidence of an active atrophy margin, bilateral pegcetacoplan (Syfovre, Apellis) therapy was initiated on June 13, 2023.
The decision to treat early was guided by several considerations. GA is characterized by progressive, irreversible lesion enlargement, with functional decline driven largely by eventual foveal involvement. Bilateral treatment was selected to preserve the patient’s binocular visual function, avoid preventable inter-eye asymmetry, and address the high likelihood of bilateral progression. After discussion of treatment risks and benefits with the patient, an every-8-week dosing strategy was selected to balance therapeutic efficacy with potential treatment-related adverse events. The patient agreed to close OCT-based surveillance.

Longitudinal Outcomes at 2 Years
At follow-up, imaging and functional outcomes suggested attenuated GA progression relative to expected natural history, with preserved central structure over 2 years (Figure):
- The patient’s BCVA was 20/25-2 OD and 20/25-1 OS, representing functional stability over 2 years.
- Compared to baseline, color fundus photography demonstrated no dramatic centrifugal expansion of visible atrophy into the foveal center. The macular regions retained a preserved central appearance, and no hemorrhage or lipid suggestive of macular neovascularization was observed.
- FAF demonstrated largely stable hypoautofluorescent lesion configuration and proximity to the fovea. Junctional hyperautofluorescence persisted but appeared less irregular and less aggressively expanding than expected for untreated multifocal GA over a similar interval. No new satellite lesions or rapid lesion bridging were evident, and inter-eye asymmetry did not widen.
- OCT confirmed continued preservation of the foveal integrity, with intact central ELM and EZ in both eyes. Extrafoveal cRORA persisted with stable hypertransmission, but atrophic margins had not crossed into the foveal center.
Figure. Multimodal imaging at treatment initiation (June 2023; A-F) and 2-year follow-up after initiation of pegcetacoplan (June 2025; G–L).

Long-Term Management Plan
Given the patient’s tolerance of therapy, preserved foveal architecture, and absence of exudative conversion, the plan is to continue bilateral pegcetacoplan therapy with structured multimodal surveillance. Ongoing management will emphasize regular OCT monitoring for early detection of exudative conversion and periodic FAF imaging to objectively track lesion growth kinetics, with the goal of delaying foveal involvement for as long as possible.

Discussion and Teaching Points
Not only does this case demonstrate the importance of early intervention, it elicits various discussion and teaching points as well.
- Extrafoveal GA represents a critical therapeutic window. Once foveal involvement occurs, functional decline accelerates.
- FAF provides key prognostic information by identifying metabolically stressed RPE at the leading edge of atrophy.
- OCT anchors diagnosis and safety monitoring through confirmation of cRORA staging and surveillance for exudative conversion.
- Bilateral treatment supports binocular function and reduces inter-eye asymmetry in disease burden.
- Complement inhibition represents an evidence-based, disease-modifying strategy in GA.

Conclusion
This case demonstrates preservation of foveal architecture and visual acuity over 2 years following initiation of bilateral pegcetacoplan in a patient with extrafoveal GA. Multimodal imaging suggests constrained lesion expansion relative to expected natural history, consistent with the therapeutic objective of slowing GA progression and delaying foveal involvement.