At a Glance
• The patient’s symptomatology and a complete clinical exam in conjunction with ancillary imaging should allow the clinician to differentiate among retinoschisis and other similar clinical entities.
• Ancillary imaging modalities may include B-scan ultrasonography, widefield imaging, and OCT.
• OCT of the posterior edge of the schisis together with OCT of the outer retinal break can provide valuable diagnostic information.
Early work in the field of retinoschisis was based on clinical observation and histopathologic studies. Several clinical studies followed patients long term and assessed disease progression. These observations laid the groundwork for how we diagnose and treat patients with retinoschisis.1-5
Modern imaging technologies provide additional information that can contribute significantly to establishing a correct diagnosis in challenging presentations. This then allows clinicians to initiate appropriate treatment that, depending on the diagnosis, may range from observation to surgical intervention.
In a patient with suspected retinoschisis, the clinician must differentiate among several distinct clinical entities, including isolated retinoschisis, chronic rhegmatogenous retinal detachment (RRD), retinoschisis associated with RRD, and schisis detachment. Imaging modalities such as B-scan ultrasonography, widefield fundus photography, perimetry, and optical coherence tomography (OCT) play increasingly important roles in the differential diagnosis and long-term management of these entities.
DISTINGUISHING RETINOSCHISIS FROM CHRONIC RRD
Clinically, retinoschisis is commonly located inferotemporally and tends to be bilateral but asymmetric (Figure 1A). It is dome-shaped with uniform convexity and without the corrugations often seen in RRD. The corrugations are not always appreciated in chronic RRD (Figure 2A). The inner layer has a “beaten metal” or pitted appearance, and minute, glistening, yellow-white surface dots can be seen. There are no retinal tears, vitreous pigment cells, or demarcation lines as might be seen in RRD.1-3
Because of the splitting in the outer plexiform layer, retinoschisis results in absolute scotoma, which can be appreciated both on visual field testing and with indirect ophthalmoscope perimetry. The latter is performed by holding a scleral depressor on the observer’s side of the condensing lens and documenting whether or not the patient can see the depressor’s shadow.6
Because the inner layer of the retinoschisis is in apposition with the retinal pigment epithelium (RPE), laser can be used to differentiate between RRD and schisis. In retinoschisis, blanching can be seen after laser application. On B-scan ultrasonography or clinical exam, retinoschisis should not re-appose with scleral depression, as there is no break to force subretinal fluid into the vitreous cavity.1-3
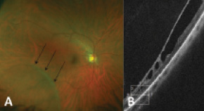
With the advent of OCT of the retinal periphery, it has become even easier to differentiate retinoschisis from RRD. In the latter, OCT of the posterior extent of the cavity shows a complete separation of the retina from the RPE (Figure 2B). In retinoschisis, on the other hand, a split in the neurosensory retina is observed, with inner and outer leaf formation (Figure 1B).7 The outer leaf of the retinoschisis cavity is seen as a distinct separate layer lying in apposition to the hyperreflective band of the RPE.
Figure 1. Widefield fundus photo (Optos) of retinoschisis (arrows; A). SD-OCT (Carl Zeiss Meditec) of posterior edge of retinoschisis cavity demonstrating split in neurosensory retina with formation of inner and outer leaves (B).
Figure 2. Widefield fundus photo of chronic retinal detachment with demarcation line marked by arrows (A). SD-OCT of the posterior edge of the retinoschisis cavity demonstrating complete separation of the retina from the RPE (B).
Figure 3. Widefield fundus photo of retinoschisis associated with frank RRD. Large outer retinal hole is marked by black arrows, and inner retinal break is marked by red arrow. Image courtesy of Rishi Singh, MD
The isolated retinoschisis is usually asymptomatic and is found on thorough clinical exam. It can be observed and rarely progresses. Chronic symptomatic RRD should be treated surgically.
When OCT imaging of the posterior edge of the schisis cavity demonstrates complete detachment of the neurosensory retina from the RPE, it represents a diagnostic dilemma, as this finding adds retinoschisis associated with RRD and schisis detachment to the differential diagnosis.
RETINOSCHISIS ASSOCIATED WITH RRD
When retinoschisis is associated with frank RRD, there is always either a full thickness retinal break or an inner retinal break with the presence of an outer retinal break (Figure 3). This is a rare complication of retinoschisis, occurring in about 0.05% of cases, or one in 2000 patients.3 The patient is usually symptomatic. In this uncommon presentation, OCT of the posterior edge shows complete separation of the retina from the RPE, and on widefield photography the outer and inner retinal breaks are seen, along with corrugated retina. Retinoschisis associated with RRD is treated surgically.
SCHISIS DETACHMENT
Schisis detachment is seen only in cases of retinoschisis and is always associated with an outer retinal break (Figure 4A). The outer retinal hole is a discontinuity in the outer layer of the split neurosensory retina and is usually attached to the RPE in isolated retinoschisis. However, in schisis detachment, fluid gains access to the subretinal space through an outer retinal break. Thus, because there is subretinal fluid present, the OCT of the posterior edge will show complete separation of the neurosensory retina from the RPE (Figure 4B). Unlike retinoschisis associated with frank RRD, there is no obvious break in the inner layer of retinoschisis in schisis detachment.
The exact etiology of subretinal fluid in schisis detachment is unclear. One hypothesis is that it is the same as the intracystic fluid in retinoschisis, which migrates beneath the outer retinal layer via a break in the outer layer, thus creating an area of retinal detachment.3 Others argue that liquefied vitreous is the source of the subretinal fluid. On histopathology, schisis detachment has been found to be associated with minute holes in the inner wall through which fluid might migrate into the retinoschisis cavity and then subretinally through an outer retinal break.5
On clinical examination of schisis detachment, an outer layer retinal break is seen. The schisis cavity may not appear uniform, with one part more elevated than another, or the texture and transparency of the schisis may appear different in one part compared with another. There may be a yellowish line deep in the inner layer that is usually in contact with an outer layer break, and a pigmentation line may be seen.3
In contrast to chronic RRD, schisis detachment will have an outer retinal break. Usually an outer retinal hole is clearly seen, along with an intact inner retina with retinal vessels overlying it. On examination, however, the outer break can sometimes be hard to identify or differentiate from an atrophic hole with a bridging vessel, as is sometimes seen in chronic RRD.
Figure 4. Widefield fundus photo shows extent of schisis detachment marked by green arrow and outer retinal hole marked by red arrow (A). SD-OCT of posterior edge of the schisis-detachment cavity and outer retinal break (B). The posterior edge demonstrates a complete separation of retina from RPE (green arrow) at edge of cavity and elevation of one of the edges of the outer retinal break (red arrow) while other edge is attached to the RPE (white arrow).
We have reported on imaging the outer retinal break with OCT, which is often able to capture both edges of the outer retinal hole. In schisis detachment, the outer retinal hole will have one or both edges elevated from the RPE.8 This is due to subretinal fluid migrating through the outer retinal hole. Additionally, OCT of the outer retinal holes can be used to confirm the diagnosis of the isolated retinoschisis when both edges of the outer retinal hole are attached to the RPE and no subretinal fluid is seen at the edge of the outer retinal hole.
Patients with schisis detachment are usually asymptomatic unless subretinal fluid extends beyond the edge of the retinoschisis cavity. In most cases, it is recommended to observe schisis detachment unless progression is documented and the patient becomes symptomatic.3 Widefield imaging is well suited for monitoring for progression in these cases.
In eyes requiring surgery, a variety of surgical approaches have been suggested, ranging from photocoagulation to pneumatic retinopexy to scleral buckle with vitrectomy and silicone oil, depending on the location of the outer retinal break, foveal involvement, and presence of proliferative vitreoretinopathy.
CONCLUSION
A patient’s symptomatology and complete clinical exam in conjunction with ancillary imaging should allow the clinician to differentiate among chronic RRD, retinoschisis with or without outer retinal hole, retinoschisis associated with frank RRD, and schisis detachment. The ancillary imaging modalities may include B-scan ultrasonography, widefield imaging, and OCT. In particular, OCT of the posterior edge of the schisis, together with OCT of the outer retinal break, can provide especially valuable diagnostic information.
Treatment approaches to these entities vary significantly, ranging from observation to surgical intervention. Long-term follow-up is sometimes required, and widefield retinal photography provides an excellent monitoring tool, as it allows identification of subtle changes and good continuity of care for patients who might be under the care of more than one physician. n

Aleksandra V. Rachitskaya, MD, is a vitreoretinal physician at the Cole Eye Institute, Cleveland Clinic Foundation in Ohio. She reports no relevant conflicts of interest. Dr. Rachitskaya may be reached at rachita@ccf.org.
1. Byer NE. Clinical study of senile retinoschisis. Arch Ophthalmol. 1968;79(1):36-44.
2. Byer NE. Long-term natural history study of senile retinoschisis with implications for management. Ophthalmology. 1986;93(9):1127-1137.
3. Byer NE. Perspectives on the management of the complications of senile retinoschisis. Eye (Lond). 2002;16(4):359-364.
4. Shea M, Schepens CL, Von Pirquet SR. Retionoschisis. I. senile type: a clinical report of one hundred seven cases. Arch Ophthalmol. 1960;63:1-9.
5. Zimmerman LE, Spencer WH. The pathologic anatomy of retinoschisis with a report of two cases diagnosed clinically as malignant melanoma. Arch Ophthalmol. 1960;63:10-19.
6. Kylstra JA, Holdren DN. Indirect ophthalmoscope perimetry in patients with retinal detachment or retinoschisis. Am J Ophthalmol. 1995;119(4):521-522.
7. Ip M, Garza-Karren C, Duker JS, et al. Differentiation of degenerative retinoschisis from retinal detachment using optical coherence tomography. Ophthalmology. 1999;106(3):600-605.
8. Rachitskaya AV, Pecen P, Schachat A, et al. Characterization of the retinoschisis outer retinal holes by optical coherence tomography. Paper presented at: American Society of Retina Specialists Annual Meeting; July 11-14, 2015; Vienna, Austria.