At a Glance
• Choroidal nevus is a benign, typically asymptomatic condition that requires only observation.
• Factors that predict nevus progression to melanoma are related to thickness, subretinal fluid, symptoms, overlying orange pigment, tumor margin near the optic disc, ultrasonographic hollowness, absence of halo around the tumor, and absence of drusen over the tumor.
• Lesions with three or more of these risk factors are much more likely to transform into malignant melanoma.
Choroidal nevus is a benign melanocytic lesion of the eye. Prevalence of this tumor is reported to be 4% to 7% in white populations and approximately 1% in black and Chinese populations in the United States.1,2 Choroidal nevus can produce symptoms of visual loss or floaters related to subfoveal location, overlying retinal edema or photoreceptor loss, choroidal neovascularization (CNV), and related subretinal fluid. This article provides background on choroidal nevus and reviews the use of photodynamic therapy (PDT) in a patient with a known stable lesion.
THE ROLE OF SUBRETINAL FLUID
In an analysis of 2514 eyes with choroidal nevus, eight clinical features (including subretinal fluid) were found to predict risk for transformation into melanoma.3 By univariable analysis, the presence of subretinal fluid imparted a relative risk for nevus transformation of 4.5 if trace, 7.2 if moderate, and 12.8 if severe, compared with a nevus that did not have subretinal fluid.3 For example, in that series, of the 266 nevi with clinical evidence of subretinal fluid, 71 (27%) showed growth into melanoma and 195 (73%) showed no growth.3 That study was conducted prior to the universal use of optical coherence tomography (OCT), and the presence of subretinal fluid was judged based on clinical features; thus, there were likely some patients with a minor amount of subretinal fluid who were overlooked due to subtle clinical findings. However, that study’s findings indicate that the presence of subretinal fluid can be a feature of choroidal nevus and does not necessarily signify evolution to melanoma.
There are cases in which subretinal fluid overlying a bland subfoveal or perifoveal nevus leads to visual loss and requires medical intervention. Treatment options in such cases, particularly those in which the nevus shows a lack of other risk factors for melanoma, include laser photocoagulation, transpupillary thermotherapy, PDT, and anti-VEGF therapy. If the leak is in the macular area, and specifically in the foveal region, then laser and thermotherapy should be avoided because of the potential for further visual compromise. Anti-VEGF therapy or PDT are first-line therapies. In a small series of 17 cases, one to three sessions of PDT were successful in treatment of subretinal fluid secondary to choroidal nevus; mean visual acuity improved from 20/80 to 20/60 following treatment.4
Herein, we describe a patient with choroidal nevus and subretinal fluid necessitating PDT.
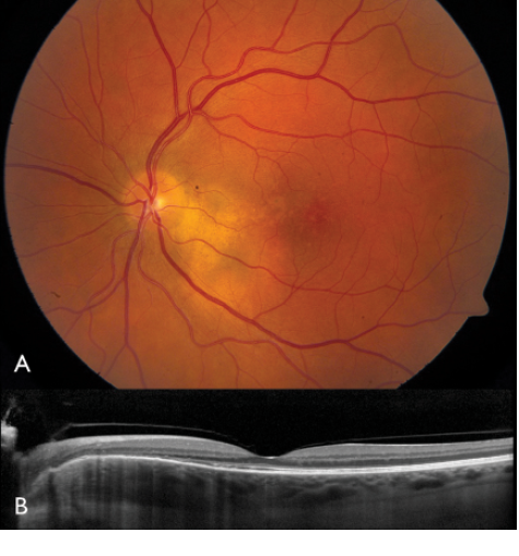
Figure 1. Suspicious choroidal nevus in the left eye of a 55-year-old woman whose fundus photography showed a subtle juxtapapillary amelanotic choroidal nevus (A). Subretinal fluid was clinically detected in the macular region and confirmed as fresh subretinal fluid with shaggy photoreceptors on enhanced-depth imaging optical coherence tomography (EDI-OCT) (B).
Figure 2. Two months following treatment with PDT, the patient’s fundus photography showed involution of the tumor and resolution of the subretinal fluid, leaving RPE alterations (A). EDI-OCT documented the subretinal fluid resolution, which left an abnormality in the ellipsoid layer and photoreceptor tips overlying the thin choroidal mass (B).
CASE REPORT
A 55-year-old white woman with known stable choroidal nevus in the left eye for 13 years developed mild visual acuity loss in 2013. At that time, examination revealed visual acuity of 20/20 in the right eye and 20/30 in the left eye. The anterior segment was normal in both eyes, as was fundus evaluation of the right eye. In the patient’s left eye, a lightly pigmented choroidal nevus was seen, measuring 5 mm x 3 mm in basal diameter and located inferotemporal to the optic disc. Overlying subretinal fluid extending into the subfoveal region was detected clinically and confirmed on OCT (Figure 1).
On OCT, the overlying retinal pigment epithelium (RPE) showed slight irregularity, and the foveal photoreceptors appeared thickened and shaggy, implying relatively fresh subretinal fluid. Fluorescein angiography demonstrated focal pinpoint hyperfluorescence overlying the nevus at the RPE level. There was no choroidal neovascular membrane. On ultrasound, the nevus measured 2.2 mm in thickness and appeared hollow internally.
Despite the 13-year photographically documented stable course of this juxtapapillary nevus, our concern for low-grade melanoma was high. However, the
lack of documented enlargement caused us to be conservative despite the risk factors for its possible transformation into melanoma. To control the subretinal fluid, intravitreal anti-VEGF therapy or PDT was advised. The patient elected PDT in hopes of more rapid resolution and return of vision.
With informed consent, one session of PDT was performed over the entire surface of the choroidal nevus with a 6 mg/m2 dose of verteporfin (Visudyne, Novartis) using standard diode laser parameters of 50 J/cm2 and intensity of 600 mW/cm2 over 83 seconds. Within 4 months, the subretinal fluid had resolved. Visual acuity dropped to 20/40, then improved to 20/20 (Figure 2). The nevus remained stable and without subretinal fluid at 17-month follow-up.
DISCUSSION
Although choroidal nevus is a benign condition that is usually asymptomatic and requires no treatment,5 certain situations exist in which therapeutic intervention is useful to the symptomatic patient, especially those with nevi that show subretinal fluid, CNV, or macular edema. Gonder et al analyzed 206 patients and found that, in 22 patients (11%), choroidal nevi were visually symptomatic for various reasons, including the presence of subretinal fluid in the foveal region.6 In an evaluation of 3422 eyes with choroidal nevus, Shields et al found that visual acuity was reduced by at least 3 logMAR lines at 15 years in 26% of eyes with subfoveal nevus location.7 The reasons for vision loss included subfoveolar nevus location (relative risk [RR], 15.52), juxtapapillary nevus location (RR, 4.52), initial visual acuity of 20/50 or worse (RR, 15.40), overlying RPE detachment
(RR, 22.16), and foveal edema (RR, 9.02).7
Management of symptomatic choroidal nevi was studied by Garcia-Arumi et al in 17 patients.4 Treatment was considered for these patients because they all manifested a symptomatic tumor with vision loss from subfoveal fluid. In this multicenter series, PDT (mean 1.41 sessions) with standard parameters (690-nm diode laser, intensity of 600 mW/cm2 over 83 seconds per application) led to complete resolution of subretinal fluid in nine (53%) cases.4 Eight patients had partial response and residual subretinal fluid that was further resolved with additional transpupillary thermotherapy.
Rundle and Rennie reported the use of PDT for treatment of symptomatic serous detachment associated with choroidal nevus in seven cases.8 After a mean two sessions of PDT over a 2-year period, they found that all seven cases (100%) showed reduction in amount of serous detachment and improvement in symptoms. In that series, visual acuity was improved in five (71%) cases over a mean 15-month follow-up period.
CONCLUSION
Our patient, who has a symptomatic, suspicious, but stable choroidal nevus with overlying subretinal fluid, responded to one session of PDT with fluid resolution and return of visual acuity. Despite the 15-year lack of nevus growth in this case, we remain suspicious of its features, as several risk factors for transformation to melanoma are present. In an analysis of 2514 eyes with choroidal nevus, Shields et al found transformation from nevus to melanoma in 2% at 1 year, 9% at 5 years, and 13% at 10-year follow-up.3 Long-term monitoring is clearly important in these cases. Factors predicting growth of nevus to melanoma include the following:
• Thickness greater than 2 mm
• Subretinal Fluid
• Symptoms related to the tumor
• Overlying Orange pigment
• Tumor Margin within 3 mm of the optic disc
• Ultrasonographic Hollowness
• Absence of Halo around the tumor
• Absence of Drusen.
These can be remembered with the mnemonic “To Find Small Ocular Melanoma Use Helpful Hints Daily” (TFSOM-UHHD). Lesions with three or more of these risk factors carry a more than 50% likelihood of transformation into malignant melanoma.3 n

Tzvi Grossman, BA, is a medical student at the Lewis Katz School of Medicine at Temple University in Philadelphia, Pa.
Jarin Saktanasate, MD, is an ocular oncologist in the Department of Ophthalmology, Faculty of Medicine, Siriraj Hospital, Mahidol University, Bangkok, Thailand. He completed his ocular oncology fellowship training at Wills Eye Hospital, Thomas Jefferson University, Philadelphia, Pa.
Carol L. Shields, MD, is the co-director of the Ocular Oncology Service, Wills Eye Hospital, and Thomas Jefferson University, in Philadelphia, Pa. She is a member of the Retina Today Editorial Board. Dr. Shields may be reached at carolshields@gmail.com.
No conflicting relationship exists for any author.
Support provided by Eye Tumor Research Foundation, Philadelphia, Pa (CLS). The funders had no role in the design and conduct of the study, in the collection, analysis and interpretation of the data, and in the preparation, review or approval of the manuscript. Carol L. Shields, MD, has had full access to all the data in the study and takes responsibility for the integrity of the data and the accuracy of the data analysis.
1. Greenstein MB, Myers CE, Meuer SM, et al. Prevalence and characteristics of choroidal nevi: the multi-ethnic study of atherosclerosis. Ophthalmology. 2011;118(12):2468-2473.
2. Sumich P, Mitchell P, Wang JJ. Choroidal nevi in a white population: the Blue Mountains Eye Study. Arch Ophthalmol. 1998;116(5):645-650.
3. Shields CL, Furuta M, Berman E, et al. Choroidal nevus transformation into melanoma: analysis of 2514 consecutive cases. Arch Ophthalmol. 2009;127(8):981-987.
4. Garcia-Arumi J, Amselem L, Gunduz K, et al. Photodynamic therapy for symptomatic subretinal fluid related to choroidal nevus. Retina. 2012;32(5):936-941.
5. Amselem L, Gunduz K, Adan A, et al. Photodynamic therapy of symptomatic choroidal nevi. Middle East Afr J Ophthalmol. 2011;18(4):309-313.
6. Gonder JR, Augsburger JJ, McCarthy EF, Shields JA. Visual loss associated with choroidal nevi. Ophthalmology. 1982;89(8):961-965.
7. Shields CL, Furuta M, Mashayekhi A, et al. Visual acuity in 3422 consecutive eyes with choroidal nevus. Arch Ophthalmol. 2007;125(11):1501-1507.
8. Rundle P, Rennie I. Management of symptomatic choroidal naevi with photodynamic therapy. Eye (Lond). 2007(21):1531-1533.