At a Glance
• The current outbreak of Ebola virus disease (EVD) in West Africa is the largest in history.
• Acute forms of the disease manifest as a hemorrhagic fever that can lead to multiorgan failure, hypovolemic shock, and, in many cases, death.
• EVD survivors present with a range of ocular manifestations that are most commonly secondary to uveitis.
The first documented outbreak of Ebola virus disease (EVD) dates back to 1976, in the Democratic Republic of the Congo. Since then, there have been 23 documented outbreaks of EVD over a 38-year period in Africa. These occurrences have been limited, with 2345 total laboratory-confirmed cases and 1546 related deaths.1
The ongoing EVD outbreak in West Africa is the largest epidemic in history, with 27 929 reported, confirmed, probable, or suspected cases and with 11 283 total deaths.2 Now, more than 1 year since the World Health Organization (WHO) declared a “public health emergency of international concern” in West Africa, reports of new cases are finally decreasing in the countries with highest transmission: Sierra Leone, Guinea, and Liberia.
Acute EVD manifests as a hemorrhagic fever that can lead to multiorgan failure, hypovolemic shock, and eventually death in as many as 60% of cases. During convalescence, another entity has emerged: post-EVD syndrome. Survivors of the hemorrhagic fever experience many complications, including arthralgia, anorexia, psychosocial issues, and uveitis.3,4
CASE REPORT
In September 2014, a 43-year-old patient was evacuated from Kenema, Sierra Leone, to the Emory Serious Communicable Disease Unit at Emory University Hospital in Atlanta, Ga., where he underwent care for EVD. He spent 40 nights in the hospital, and his systemic illness required treatment with mechanical ventilation, renal replacement therapy, convalescent plasma, and an experimental antiviral agent (TKM-100802, Tekmira).5
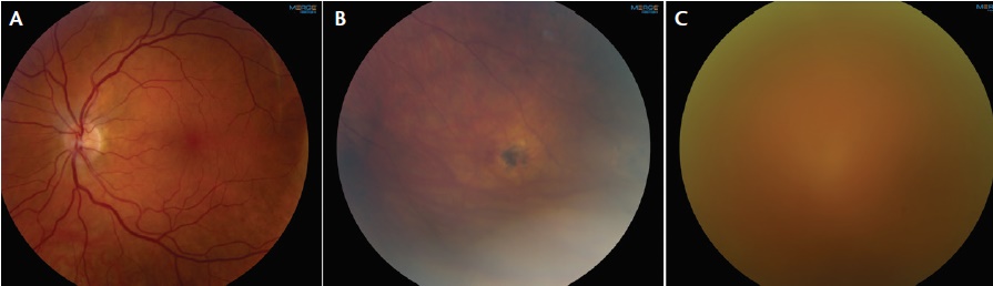
Three weeks after discharge, the patient developed nonspecific ocular complaints and was diagnosed with an inactive, bilateral chorioretinitis requiring no intervention with planned follow-up in 1 month. This diagnosis was based on bilateral peripheral chorioretinal scars with hypopigmented halos (Figure, A and B).
Nine weeks after the patient’s discharge and 14 weeks after the initial diagnosis of EVD, he developed acute, hypertensive anterior uveitis in his left eye. He was initially treated with topical and oral hypotensive agents as well as topical corticosteroids. Because of progressive disease despite therapy, the patient underwent an anterior chamber paracentesis that tested positive for Ebola virus by quantitative reverse transcriptase polymerase chain reaction (qRT-PCR) testing of the aqueous fluid. His cycling threshold was 18.7 (low). This measure is inversely related to the amount of viral nucleic acid present in the specimen. This reading suggested a high level of replicating viable virus, which was confirmed with a positive viral culture. The patient’s serum tested negative for Ebola virus RNA. Moreover, conjunctival and tear film samples that were taken before and after the anterior chamber paracentesis tested negative for Ebola virus by qRT-PCR, supporting the notion that there was no increased risk of Ebola virus transmission via casual contact (eg, ophthalmic examination).6
Therapies were eventually escalated with the use of systemic corticosteroids, but the disease continued to progress, and scleritis and panuveitis with hypotony also developed (Figure, C). Eventually, with a combination of intensive topical corticosteroids (prednisolone acetate, then difluprednate [Durezol, Alcon]), a periocular corticosteroid injection, and a 21-day course of the experimental antiviral agent favipiravir (Toyama Chemical), the patient’s vision improved.6
Figure. Fundus photograph of left eye at baseline shows clear media and physiologic nerve and blood vessels (A). Hyperpigmented chorioretinal scars with hypopigmented halos are visible in the retinal periphery (B). After the development of panuveitis, severe vitreous haze was noted, leading to obscuration of the optic nerve and blood vessels (C).
REVIEW OF THE LITERATURE
This report of Ebola virus persistence in aqueous humor demonstrated that EVD is directly implicated in uveitis during the post-Ebola setting. How Ebola virus was able to persist in the immune-privileged site of the eye is unclear. Ebola virus RNA has been shown to persist in other immune-privileged sites and bodily fluids (eg, seminal fluid) during convalescence.7 Marburg virus, a Filovirus related to Ebola virus, has demonstrated viral persistence in ocular fluid. Marburg viral culture positivity was documented in a nurse who also developed hypertensive anterior uveitis in Johannesburg, South Africa, in 1976. The anterior uveitis in this patient developed 3 months after full recovery from her acute illness and was treated successfully with topical atropine, corticosteroids, and oral acetazolamide.8
During an EVD outbreak within the Democratic Republic of the Congo in 1995, 20 survivors were followed during disease convalescence. Three of the 20 survivors (15%) developed varying degrees of uveitis ranging from anterior to posterior in location at 42 to 72 days after EVD onset. Treatment with topical 1% atropine and corticosteroids led to disease resolution in all survivors. The proposed pathogenesis was an immune reaction to viral antigens. No anterior chamber paracenteses were performed in these patients.9
More recently, a rhesus macaque was reported to develop left eyelid swelling with conjunctival chemosis 18 days after initial infection with Ebola virus. Serum was negative for Ebola virus RNA. Ebola virus antigen was present, as confirmed by immunohistochemical staining, in the conjunctiva, sclera, and around the optic nerve (scleritis and optic neuritis). No virus was present in the choroid or retina.10 In another study of the rhesus macaque, Ebola virus immunoreactivity was found in the cornea, retina, and tissue surrounding the optic nerve.11
NEXT STEPS IN WEST AFRICA
Given our experiences at Emory and the scant literature available on this topic, a number of questions arose for us regarding the current EVD outbreak in West Africa. For example, are other survivors experiencing these same ocular manifestations with potentially vision-threatening or even blinding consequences? Could lessons learned from the patient’s course at Emory be translated to EVD survivors in West Africa?
These questions prompted the Emory Eye Center team, in partnership with care providers from ELWA (Eternal Love Winning Africa) Hospital, SIM, and John E. Fankhauser, MD (lead clinician at ELWA Hospital Ebola Survivors Clinic), to travel to Monrovia, Liberia, to evaluate the burden of eye disease in EVD survivors. Moreover, in ongoing collaboration with WHO, Partners in Health (PIH), Medecins sans Frontieres (MSF), Ministry of Health and Sanitation (MOHS), and many other health organizations in Sierra Leone, efforts are being made to evaluate the anatomic phenotypes of uveitis and ophthalmic management considerations in the context of the post-EVD syndrome.
Recent WHO reports have described the development of ocular symptoms in approximately 50% of EVD survivors and eye disease in up to 25% of EVD survivors.12,13 Although precise incidences are unknown, efforts by PIH, WHO, MSF, MOHS, the US National Institutes of Health, and the Emory Eye Center team are under way in West Africa to evaluate the exact burden of disease and its appropriate treatment.
CONCLUSION
Ocular complications in EVD survivors have been observed, with a range of ocular manifestations most commonly secondary to uveitis. EVD persistence in aqueous humor has been identified in one patient, who had acute hypertensive anterior uveitis that progressed to panuveitis.
Strict infection control practices and protocols must be developed before invasive ophthalmic procedures are considered, given this recent description of EVD persistence in ocular fluid. Further studies are needed to define the clinical features of uveitis associated with EVD, mechanisms of persistence of Ebola virus in ocular and other immune-privileged tissues, and treatment algorithms for this emerging disease entity. These findings have public and global health implications for EVD survivors and for health care providers involved in their eye care in West Africa and elsewhere. n

Ian Crozier, MD, is an infectious disease physician at the Infectious Diseases Institute in Kampala, Uganda, and has served as a consultant to the World Health Organization.

Brent Hayek, MD, is an assistant professor of ophthalmology specializing in oculoplastic surgery at the Emory Eye Center in Atlanta, Ga.

Jessica G. Shantha, MD, is a medical retina fellow at the Retina Consultants of Hawaii. She recently completed ophthalmology residency at the Emory Eye Center in Atlanta, Ga.

Steven Yeh, MD, is an associate professor of ophthalmology specializing in uveitis and vitreoretinal surgery at the Emory Eye Center in Atlanta, Ga. Dr. Yeh may be reached at steven.yeh@emory.edu.
1. Weyer J, Grobbelaar A, Blumberg L. Ebola virus disease: history, epidemiology and outbreaks. Curr Infect Dis Rep. 2015;17(5):480.
2. World Health Organization. Ebola Situation Report. August 19, 2015. apps.who.int/ebola/current-situation/ebola-situation-report-19-august-2015. Accessed September 3, 2015.
3. Qureshi AI, Chughtai M, Loua TO, et al. Study of Ebola virus disease survivors in Guinea. [Published online ahead of print June 9, 2015]. Clin Infect Dis.
4. Goeijenbier M, van Kampen JJ, Reusken CB, et al. Ebola virus disease: a review on epidemiology, symptoms, treatment and pathogenesis. Neth J Med. 2014;72(9):442-448.
5. Kraft CS, Hewlett AL, Koepsell S, et al; Nebraska Biocontainment Unit and the Emory Serious Communicable Diseases Unit. The use of TKM-100802 and convalescent plasma in 2 patients with Ebola virus disease in the United States. Clin Infect Dis. 2015;61(4):496-502.
6. Varkey JB, Shantha JG, Crozier I, et al. Persistence of Ebola virus in ocular fluid during convalescence. N Engl J Med. 2015;372(25):2423-2427. Erratum in: N Engl J Med. 2015;372(25):2469.
7. Rogstad KE, Tunbridge A. Ebola virus as a sexually transmitted infection. Curr Opin Infect Dis. 2015;28(1):83-85.
8. Kuming BS, Kokoris N. Uveal involvement in Marburg virus disease. Br J Ophthalmol. 1977;61(4):265-266.
9. Kibadi K, Mupapa K, Kuvula K, et al. Late ophthalmologic manifestations in survivors of the 1995 Ebola virus epidemic in Kikwit, Democratic Republic of the Congo. J Infect Dis. 1999;179(suppl 1):S13-14.
10. Alves DA, Honko AN, Kortepeter MG, et al. Necrotizing scleritis, conjunctivitis, and other pathologic findings in the left eye and brain of an Ebola virus-infected Rhesus Macaque (macaca mulatta) with apparent recovery and a delayed time of death. [published online ahead of print July 7, 2015]. J Infect Dis.
11. Larsen T, Stevens EL, Davis KJ, et al. Pathologic findings associated with delayed death in nonhuman primates experimentally infected with Zaire Ebola virus. J Infect Dis. 2007;196(suppl 2):S323-328.
12. World Health Organization. Sierra Leone: helping the Ebola survivors turn the page. October 2014. www.who.int/features/2014/post-ebola-syndrome/en/. Accessed September 3, 2015.
13. World Health Organization. Virtual press briefings: Ebola outbreak. August 25, 2015. www.who.int/mediacentre/multimedia/ebola_briefing/en/. Accessed September 3, 2015.