The world of intraocular imaging is exploding with new technology. For years, fundus photography, fluorescein angiography, and ocular ultrasonography prevailed, but now there are even more choices, including microimaging modalities such as optical coherence tomography (OCT), OCT angiography (OCTA), fundus autofluorescence (FAF), and indocyanine green angiography (ICGA). There are also the macroimaging technologies computed tomography (CT) and magnetic resonance imaging (MRI). Yet to be explored fully for use with intraocular tumors are multispectral imaging, dark adaptation, and adaptive optics. With all of these refined tools, how is a clinician to choose the appropriate one?

BEYOND SKILLED OPHTHALMOSCOPY
We still believe that the best tool for intraocular tumor assessment is indirect ophthalmoscopy in the hands of an experienced ocular oncologist. Numerous factors go into the equation of tumor diagnosis, such as lesion configuration, surface contour, associated tumor seeding, presence and extent of subretinal fluid, shades of tumor coloration, intrinsic vascularity, and others that hint at the diagnosis and direct our thoughts on management.1 For example, an orange-yellow mass deep to the retinal pigment epithelium (RPE) or in the choroid with surrounding hemorrhage and/or exudation would be suspicious for peripheral exudative hemorrhagic chorioretinopathy (versus choroidal metastasis from renal cell carcinoma or cutaneous melanoma). The combination of features leads to pattern recognition.
Despite the importance of skilled ophthalmoscopy, diagnostic testing provides support or evidence of features that can be useful. This article reviews the functional value of imaging modalities such as cross-sectional anatomic imaging, vascular imaging, and others.
AT A GLANCE
• Factors that play a part in the diagnosis of a tumor include surface contour, presence and extent of subretinal fluid, and lesion configuration.
• Indirect ophthalmoscopy by an experienced ocular oncologist is invaluable in the assessment of an intraocular tumor, but diagnostic testing can reveal features useful in aiding the diagnosis.
• Ultrasonography is key for detecting intraocular tumor, assessing tumor shape, and noting the presence of hidden extraocular tumor extension.
CROSS-SECTIONAL ANATOMIC IMAGING
The most common cross-sectional anatomic imaging modalities used in ocular oncology include the microimaging techniques of ultrasonography (A-scan and B-scan) and OCT, as well as macroimaging with MRI and CT.
Ultrasonography
Ultrasonography is the ace of spades for detecting intraocular tumor, for assessing tumor shape and intrinsic tumor calcification, and for noting the presence of hidden extraocular tumor extension. This is a key imaging modality that is paramount for all intraocular tumors, even those too small to be detected with standard ultrasonography. The lack of tumor detection still provides important information on the minutiae of size and lack of calcification. On the other end of the spectrum, ultrasonography is ideal for imaging small, medium, and large intraocular tumors, allowing judgment of thickness, surface contour, and related subretinal fluid, and providing reliable comparison for evaluation of tumor response following therapy. Choroidal melanoma tends to show echolucency, whereas metastasis, hemangioma, osteoma, lymphoma, and retinal tumors frequently exhibit echodensity. Mushroom configuration is most often associated with choroidal melanoma, but has been rarely observed with nonmelanoma lesions including retinoblastoma, hemangioma, metastasis, and others. All patients with intraocular tumors in our practice are imaged with ultrasonography at each examination.
Ultrasonography is particularly useful in an eye with opaque media, such as vitreous hemorrhage, where a mass is found with differential diagnosis of solid malignancy versus hematoma. On ultrasound, the presence of intrinsic pulsations can be key to the confirmation of a neoplastic process; however, in such cases, we additionally rely on transillumination of the globe, presence of sentinel blood vessels, and enhancement on MRI with gadolinium, all of which suggest a neoplasm rather than blood.
Ultrasound biomicroscopy is a special technique for imaging the anterior segment and ciliary body. Bianciotto et al explored this technique for solid and cystic anterior segment tumors and found superiority over anterior segment OCT for clarity in imaging pigmented solid anterior segment tumors and especially those located in the ciliary body.2
OCT
OCT is the ace of clubs for imaging small tumors, particularly those approximately 3 mm thick or less.3-5 Every tumor shows a signature feature on OCT.
Figure 1. Choroidal nevus shows overlying drusen (A), hypoautofluorescence (B), and location within the choroid, causing deep shadowing overlying tiny drusen, and no subretinal fluid on OCT (C).
Figure 2. Choroidal nevus shows overlying RPE changes (A),hypoautofluorescence of the pigmented portion, and isoautofluorescence of the amelanotic portion (B) with dome-shaped configuration, shallow cleft of overlying subretinal fluid, small detachments of the RPE, and coincidental vitreous asteroid hyalosis on OCT (C).
Figure 3. Small choroidal melanoma in papillomacular region (A) with hyper autofluorescence of orange-colored lipofuscin pigment (B) and with mild dome-shaped configuration, prominent overlying subretinal fluid, and shaggy photoreceptors on OCT (C).
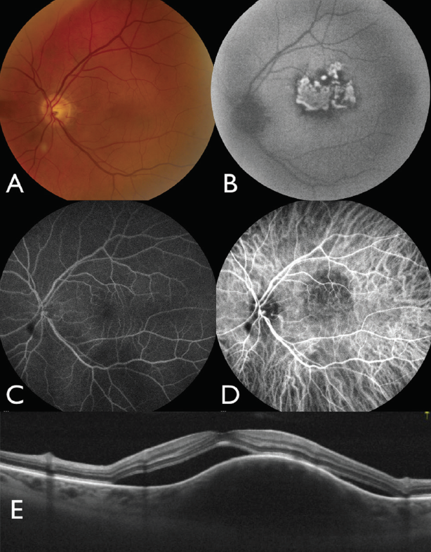
Figure 4. Medium choroidal melanoma in macular region (A) with hyperautofluorescence of orange-colored lipofuscin pigment (B), OCTA showing normal capillary density in the unaffected eye (C) and reduced density in affected eye (D), with dome-shaped configuration and shallow overlying subretinal fluid with shaggy photoreceptors on OCT (E).
Figure 5. Large choroidal melanoma imaged by Panoret (A), Heidelberg ultra-widefield scanning laser (B), FA showing edge (C), central fluorescence of the mass (D), and ultrasonography demonstrating acoustic hollowness (E).
Figure 6. Choroidal metastasis from thyroid cancer, minimally visualized superior to the fovea (A), seen better on autofluorescence (B), not found on fluorescein angiography (C), but seen as hypocyanescence on ICGA (D). OCT shows smooth choroidal mass with subretinal fluid and shaggy photoreceptors (E).
Figure 7. Choroidal metastasis from lung cancer seen in temporal portion of macula (A), hypofluorescent on FA (B), and with lumpy, bumpy surface on OCT (C).
Figure 8. Choroidal hemangioma inferior to the optic disc (A) with slight hyperfluorescence on fluorescein angiography (B) and moderate hypercyanescence on ICGA (C). On OCT the mass shows smooth surface and no subretinal fluid (D).
- Choroidal nevus shows a smooth, dome-shaped surface, often with overlying drusen, subretinal cleft with retinal thinning and photoreceptor retraction, outer retinal loss, and occasional retinal edema (Figures 1 and 2).
- Choroidal melanoma shows a smooth, dome-shaped surface, often with fresh subretinal fluid and shaggy photoreceptors, presumed macrophages on the posterior retinal surface (Figures 3-5).
- Choroidal metastasis tends to show a lumpy, bumpy surface, with fairly extensive subretinal fluid and shaggy photoreceptors (Figures 6 and 7).
- Choroidal hemangioma demonstrates a smooth, dome-shaped surface and shows unique, round expansion of the choriocapillaris and larger choroidal vessels, often with larger-than-normal caliber choroidal vessels only seen with high-resolution enhanced-depth imaging OCT (EDI-OCT). Subretinal fluid or retinal edema can be found (Figure 8).
- Choroidal osteoma shows an undulating smooth surface, and the thin bone lamella and even Haversian or Volkmann channels are sometimes demonstrated on high-resolution EDI-OCT. When decalcified, the surface becomes irregular, thickness is reduced, and overlying retina atrophies.
- Choroidal lymphoma can demonstrate a smooth (placid), rippled, or seasick undulating surface relative to tumor thickness. This dramatically resolves following treatment of the tumor.
MRI and CT
MRI plays a minor role in intraocular tumor diagnosis, as indicated above in cases of opaque media, and it can allow evaluation for extrascleral tumor extension. Most intraocular tumors show dark signal on T1-weighted images and bright signal on T2 images. The only exceptions are choroidal hemangioma, which feature bright signal on T1 and T2 imaging, and inflammatory scleritis, which demonstrates dark signal on T1 and T2 imaging. MRI is an especially important tool for differentiation of nonenhancing choroidal effusion or blood versus enhancing choroidal melanoma.
CT is seldom used to image intraocular tumors, with the rare exception of demonstrating calcification in retinoblastoma. MRI provides far greater resolution than CT for intraocular tumors. However, CT can be important for ruling out foreign body in the eye or orbit, and ocular oncologists should keep it on hand.
VASCULAR IMAGING MODALITIES
The classic royal flush of vascular imaging for intraocular tumors is intravenous fluorescein angiography (IVFA) for retinal flow and ICGA for choroidal flow. These tools are used to differentiate solid vascular tumors from simulating inflammation or hemorrhage. IVFA is instrumental in evaluating radiation retinopathy for location and degree of ischemia. ICGA plays a small role in ocular oncology in that it is used to differentiate neoplastic conditions from nonneoplastic lesions, such as central serous chorioretinopathy and polypoidal choroidal vasculopathy. ICGA is especially useful in confirming the features of choroidal hemangioma, both circumscribed and diffuse types, as this tumor shows rapid hypercyanescence within 1 minute of infusion followed by rapid washout with late staining of tissue surrounding the vascular tumor.6 By comparison, most other choroidal tumors are hypocyanescent compared with normal choroid.
OCTA is a wild card for imaging intraocular conditions. The novelty of this technology is that it allows angiography with supermagnified depiction of the macular microvascular environment without the invasiveness of injected contrast. There are drawbacks to this technique, however, as it requires patient cooperation, and the imaging is mostly in the macular region, whereas intraocular tumors can manifest anywhere in the fundus. Nevertheless, OCTA has been shown to be useful for eyes with choroidal melanoma in the detection of pre- and posttreatment macular ischemia (Figure 4).7-9 There is much more to be evaluated with OCTA, particularly its evolving role in assessment of tiny intraocular retinal and choroidal tumors. Currently OCTA is most useful for noninvasive evaluation of radiation retinopathy.
OTHER IMAGING MODALITIES
FAF
FAF has been explored extensively for various retinal conditions and for intraocular tumors. Almeida et al provided a comprehensive review of the characteristic FAF features of various intraocular tumors, detailing traits that have been well catalogued in recent textbooks.1,10-14 This tool is the ace of diamonds for detecting lipofuscin accumulation, a sign of tumor activity. Most active tumors show overlying hyper-FAF, whereas inactive tumors usually are hypo-FAF. Small choroidal melanoma and choroidal metastasis usually demonstrate bright overlying hyper-FAF (Figures 1-7, Table). Congenital hypertrophy of the RPE shows absolute black hypo-FAF.1,10-14

Transillumination
Transillumination is an older art form for imaging a tumor, using light placed against the wall of the eye to cast a shadow from the intraocular tumor. Despite its antiquity, the technique remains a critical tool for assessing ciliary body tumors and is used every day in our practice of ocular oncology.
Fundus Photography
Fundus photography has really come a long way in recent decades with major steps in wideangle imaging. Available wideangle cameras include the Optomap (Optos), which has a 200˚ panoramic field; the Retcam3 (Clarity Medical Systems), which has a 130˚ view; the Spectralis (Heidelberg Engineering), which has a 102˚ view; and variable extent fields using automontage of standard 45˚ or 60˚ images. Multispectral fundus imaging with narrow-spectrum LED illumination has shown advances far beyond the abilities and limitations of traditional color subtraction filters, but more clinical use will be required to define its capabilities and benefits.
Handheld cameras such as the Pictor Plus (Volk) provide the capabilities of a table-mounted fundus camera and the ease of complete portability, like a camera in a suitcase, using smart-card technology and without the additional baggage of a tethered computer. Of course, smartphone cameras are being explored and re-explored for their future role in fundus imaging. Despite the rocky path to achieving acceptable images of the retina, we have full confidence that smartphone technology will gradually improve and assume a quick-fix role for fundus imaging when nothing else is available.
THE RIGHT TOOL CAN LEAD TO A WINNING HAND
The best tool with which to assess intraocular tumors is indirect ophthalmoscopy by an experienced ocular oncologist, but other imaging modalities have functional value when used in the appropriate scenarios. With so many choices available for the task of intraocular imaging, making the best selection may reap the reward of early detection or better visualization and thus improved patient outcomes. n
1. Shields JA, Shields CL. Intraocular Tumors: An Atlas and Textbook. 3rd ed. Philadelphia, PA: Wolters Kluwer; 2016.
2. Bianciotto C, Shields CL, Guzman JM, et al. Assessment of anterior segment tumors with ultrasound biomicroscopy versus anterior segment optical coherence tomography in 200 cases. Ophthalmology. 2011;118(7):1297-1302.
3. Shields CL, Pellegrini M, Ferenczy SR, Shields JA. Enhanced depth imaging optical coherence tomography (EDI-OCT) of intraocular tumors. From placid to seasick to rock and rolling topography. The 2013 Francesco Orzalesi Lecture. Retina. 2014;34(8):1495-1512.
4. Shields CL, Manalac J, Das C, et al. Review of spectral domain enhanced depth imaging optical coherence tomography (EDI-OCT) of tumors of the choroid. Ind J Ophthalmol. 2015;63(2):117-121.
5. Shields CL, Manalac J, Das C, et al. Review of spectral domain enhanced depth imaging optical coherence tomography (EDI-OCT) of tumors of the retina and retinal pigment epithelium in children and adults. Ind J Ophthalmol. 2015;63(2):128-132.
6. Arevalo JF, Shields CL, Shields JA, et al. Circumscribed choroidal hemangioma: characteristic features with indocyanine green videoangiography. Ophthalmology. 2000;107(2):344-350.
7. Veverka KK, AbouChehade JE, Iezzi R Jr, Pulido JS. Noninvasive grading of radiation retinopathy: the use of optical coherence tomography angiography. Retina. 2015;35:2400-2410.
8. Shields CL, Say EA, Samara WA, et al. Optical coherence tomography angiography of the macula after plaque radiotherapy of choroidal melanoma: comparison of irradiated versus nonirradiated eyes in 65 patients [published online ahead of print March 8, 2016]. Retina.
9. Valverde A, Say EAT, Ferenczy SR, Shields CL. Optical coherence tomography angiography of macular features in eyes with choroidal nevus and melanoma. In preparation.
10. Almeida A, Kaliki S, Shields CL. Autofluorescence of intraocular tumors. Curr Opin Ophthalmol. 2013;24(3):222-232.
11. Lally EB, Shields CL. Fundus autofluorescence in intraocular tumors: congenital hypertrophy of the retinal pigment epithelium. In: Lois N, Forrester JV, eds. Fundus Autofluorescence. 2nd ed. Philadelphia, PA: Lippincott Williams & Wilkins; 2015:405-408.
12. Gündüz K, Shields CL. Fundus autofluorescence in intraocular tumors: intraocular metastasis. In: Lois N, Forrester JV, eds. Fundus Autofluorescence. 2nd ed. Philadelphia, PA: Lippincott Williams & Wilkins; 2015:409-413.
13. Ramasubramanian A, Shields CL. Fundus autofluorescence in intraocular tumors: retinoblastoma. In: Lois N, Forrester JV, eds. Fundus Autofluorescence. 2nd ed. Philadelphia, PA: Lippincott Williams & Wilkins; 2015:388-392.
14. Ramasubramanian A, Shields CL. Fundus autofluorescence in intraocular tumors: choroidal hemangioma. In: Lois N, Forrester JV, eds. Fundus Autofluorescence. 2nd ed. Philadelphia, PA: Lippincott Williams & Wilkins; 2015:393-398.
Sandor R. Ferenczy, CRA
• chief photographer of the Ocular Oncology Service, Wills Eye Hospital, Thomas Jefferson University in Philadelphia, Pa.
Timothy Fuller, MD
• clinical fellow of the Ocular Oncology Service, Wills Eye Hospital, Thomas Jefferson University in Philadelphia, Pa.
Timothy Higgins, BS
• premedical student of the Ocular Oncology Service, Wills Eye Hospital, Thomas Jefferson University in Philadelphia, Pa.
Carol L. Shields, MD
• co-director of the Ocular Oncology Service, Wills Eye Hospital, Thomas Jefferson University in Philadelphia, Pa.
• member of the Retina Today editorial advisory board
• carolshields@gmail.com
Jerry A. Shields, MD
• director of the Ocular Oncology Service, Wills Eye Hospital, Thomas Jefferson University in Philadelphia, Pa.
Kareem Sioufi, MD
• research intern of the Ocular Oncology Service, Wills Eye Hospital, Thomas Jefferson University in Philadelphia, Pa.
• kareem.sioufi@gmail.com
No conflicting relationship exists for any author.
Support provided by the Eye Tumor Research Foundation, Philadelphia, PA (CLS). The funders had no role in the design and conduct of the study, in the collection, analysis, and interpretation of the data, and in the preparation, review or approval of the manuscript. Carol L. Shields, MD, has had full access to all the data in the study and takes responsibility for the integrity of the data and the accuracy of the data analysis.