
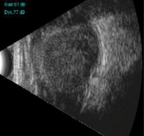
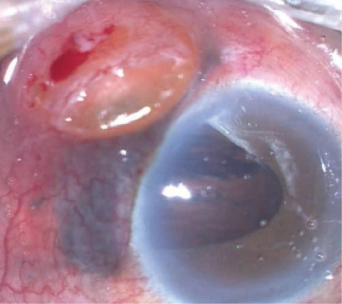
A 56-year-old woman was referred to our center with a history of a needle injury to her right eye (OD). Primary treatment had been given at a peripheral center. On examination, she had lid edema, chemosis, and subconjunctival hemorrhage OD. Additionally, the lens had been expelled into the superotemporal subconjunctival space (Figure 1). There was a mild hyphema, and the pupil was distorted and updrawn with vitreous in the anterior chamber. Fundus details were hazy due to vitreous hemorrhage. A dense suprachoroidal hemorrhage was noted on ultrasound (Figure 2). The patient’s visual acuity was light perception with faulty projection at this stage.
AT A GLANCE
• A needle injury in a patient’s eye resulted in an expelled lens, lid edema, chemosis, and subconjunctival hemorrhage.
• The lens was removed and PFCL was injected.
• The presence of subretinal blood led the author to leave the PFCL in the patient’s eye until her retina was well settled.
TAKING ACTION
We advised the patient to undergo vitrectomy and evaluation, to which she consented. Once the inflammation had improved 15 days later, a 25-gauge infusion cannula was placed in her eye and the lens was dissected from the subconjunctival space (Video 1). After this was successfully completed, the other cannulas were placed and vitrectomy initiated. The vitreous hemorrhage and exudative fluid were cleared. A retinal detachment and hemorrhagic choroidals were detected. Heavy perfluorocarbon liquid (PFCL) was injected to stabilize and assess the posterior pole. Then, external sclerotomy incisions were made to drain the suprachoroidal blood.
Once the drainage was accomplished, the fundus was reevaluated. At this time, the choroidals had regressed and further vitrectomy was carried out, with additional PFCL injected. The inferior retina showed a considerable amount of subretinal blood near the site of the needle injury. PFCL removal was attempted, but subretinal blood began to trickle toward the macula. It was decided to leave the PFCL in the eye for the time being. Before removing the cannulas, 360˚ laser photocoagulation was performed in multiple rows. The patient was given routine postoperative medications and oral steroids.
Figure 1. The lens of a 56-year-old woman has been expelled into the superotemporal subconjunctival space.
Figure 2. Ultrasound image shows a dense suprachoroidal hemorrhage OD.
FOLLOW-UP VISITS
Twenty days later, the patient underwent a second surgery to remove the PFCL (Video 2). Her eye appeared much quieter, and the retina was well attached with laser scars noted. The subretinal hemorrhage had also improved, as had some of the inferior scarring previously seen. The PFCL was removed under air and replaced with silicone oil. Immediate postoperative recovery was uneventful.
Watch it Now
Video 1. A 25-gauge infusion cannula is placed in the eye of a patient with a needle injury. After cannula insertion, the lens is dissected from the subconjunctival space.
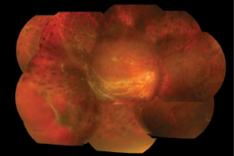
At 1 month follow-up, the patient was subjectively better, but she felt as though her visual acuity OD had slightly decreased since the initial recovery from the second surgery. On examination, the patient’s retina was well settled, with laser marks and inferior scarring evident. An epiretinal membrane (ERM) was seen on the macula extending from the inferior scar. It was felt that this membrane was the cause of her visual acuity loss to counting fingers at 3 m (Figure 3).
Figure 3. Photo montage shows an ERM on the patient’s macula OD extending from the inferior scar.
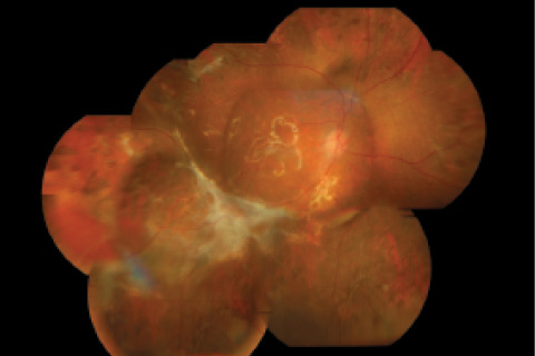
Figure 4. Another photo montage taken after the patient’s final surgery during which the ERM was removed.
We advised another surgery, which was performed the next day (Video 3). During this procedure, the ERM was removed using forceps. The postoperative recovery was uneventful, and the patient recovered about 6/60 visual acuity at 1 month follow-up and 6/24 at 3 months follow-up (Figure 4). She retained this visual acuity after silicone oil removal 4 months postoperatively.
DISCUSSION
This case depicts a scenario in which we had to leave perioperative PFCL in place in order to prevent subretinal blood from trickling into the patient’s macula. We also had to drain the suprachoroidal hemorrhage, in addition to treating the detachment. After multiple surgeries, the patient was able to regain some visual acuity. Leaving PFCL in the eye for a few weeks can be considered as an option in similar cases. n
Manish Nagpal, MS, DO, FRCS(Edin)
• vitreoretinal consultant at the Retina Foundation in Ahmedabad, Gujarat, India
• financial interest: none acknowledged
• member of the Retina Today editorial advisory board
• drmanishnagpal@yahoo.com