
Tattoos are more popular than ever, but individuals who get them put themselves at risk. Unsterilized needles can cause infections, and consumers can develop allergic skin reactions. Furthermore, tattoo ink is not regulated by the US Food and Drug Administration, and many ingredients are used in numerous formulations.1
There is general agreement on the pathogenesis of other systemic and local sequlae of tattooing and strong evidence that only certain types of ink are associated with subsequent inflammation.2,3 However, this is a difficult hypothesis to test because tattoo-associated uveitis is a rare entity, the time from tattooing to onset of inflammation is variable, and complete records from tattoo parlors are difficult to obtain.4
AT A GLANCE
• Tattoo-associated uveitis is a rare, late sequela of tattooing that is not completely understood.
• Onset of uveitis typically occurs 6 months or more after tattooing.
• Tattoo ink may serve as an antigenic trigger for the development of granulomas in patients susceptible to sarcoidosis.
• Tattoo-associated uveitis may be associated with systemic sarcoidosis or may represent a delayed hypersensitivity reaction.
• Management options include local steroids, systemic prednisone, steroid-sparing agents, and excision of tattooed skin.
Tattoo-associated uveitis was first described by Lubeck and Epstein in 1952, but to this day this rare ophthalmic complication remains incompletely understood.5 This article attempts to provide insight into the pathogenesis and management of this condition.
A CLOSER LOOK
In published reports, onset of uveitis develops 6 or more months after tattooing.6 Although contemporaneous inflammation of the eye and tattooed skin is a hallmark of the disease, most patients present with complaints of blurred vision with increasing eye pain, redness, and photophobia bilaterally. The inflammation can be limited to the anterior uvea, with signs of conjunctival chemosis, inflammatory cells in the anterior chamber, posterior synechiae, hypopyon, corneal stromal opacities, and keratic precipitates on slit-lamp examination. Involvement of the posterior uvea can present with vitreous inflammation, retinal hemorrhage, macular edema, punched out chorioretinal lesions, optic disc involvement, retinal vasculitis, and neuroretinitis on fundus examination.
Histology of the involved skin may reveal noncaseating granulomas, suggesting an association with sarcoidosis or foreign body reaction (delayed hypersensitivity) due to metallic or other elements in the injected dye.7 In some cases, tattoo ink may serve as an antigenic trigger for the development of granulomas in patients susceptible to sarcoidosis.5,8-12 In these patients, mild or moderate ocular inflammation should be initially managed with topical steroids and topical cycloplegics to prevent synechiae formation. In patients who do not respond to topical steroids or those who develop intermediate uveitis, periocular sub-Tenon injection of a steroid can be considered. Oral steroids and antimetabolites are generally reserved for patients who do not respond to topical steroids and patients with severe uveitis, neovascularization, or optic nerve compromise. Newer treatment options include TNF-α inhibitors. Because repeated exposure to ink may worsen ocular inflammation, we advise patients to avoid obtaining additional tattoos.
Some studies suggest that ocular inflammation from tattooing is distinct from sarcoidosis. Rorsman et al presented a series of three patients with uveitis associated with tattoo granulomas in the absence of previous systemic sarcoidosis.13 All three patients had light blue ink tattoos, and two of these patients showed an allergic reaction to cobalt, a common component of tattoo ink. Excision of the tattooed skin resulted in the resolution of uveitis in two of the three patients, suggesting an allergic hypersensitivity reaction as the primary pathogenic mechanism.7,13 The authors of this study hypothesized that pigment from the inflamed tattoo accumulated in the uvea and led to persistent uveitis.13 Similar cases of tattoo-associated uveitis in the absence of systemic sarcoidosis have been reported.4,6,7,14-19
Ostheimer et al reported a series of seven patients with bilateral uveitis associated with inflammation of the tattooed skin and no history of systemic sarcoidosis.6 All patients had developed cutaneous and ocular inflammation 6 or more months after receiving their most recent tattoo. No patients reported inflammation of tattoos at the time they were obtained. Five patients were reported to have nongranulomatous anterior uveitis, and two had granulomatous panuveitis. Biopsy of the involved skin performed in two patients (one with bilateral granulomatous panuveitis and one with bilateral nongranulomatous anterior uveitis) revealed noncaseating granulomas. All patients underwent systemic evaluation for sarcoidosis. One patient had elevated serum levels of angiotensin-converting enzyme, one patient had elevated lysozyme levels, and two patients had lymphadenopathy, which was associated with the underlying tattoo in one patient. Skin changes resolved in all patients, with faster recovery in patients who received oral prednisone to treat their eye inflammation. Five patients had recurrence of intraocular inflammation along with induration of the tattooed skin. An additional five patients experienced potentially sight-threatening complications, such as severe cystoid macular edema, retinal detachment, and iris bombé during the course of observation. Interestingly, only tattoos or portions of tattoos containing black ink were affected in all patients, supporting the hypothesis that hypersensitivity is key to the pathogenesis of this condition.
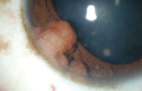
Figure. Iris granuloma in a patient with tattoo-associated uveitis.
Until recently, no intraocular samples from eyes with tattoo-associated uveitis had been reported. In 2015, Reddy et al published a case of a young black man diagnosed with bilateral granulomatous panuveitis (Figure) associated with inflammation of tattooed skin.17 Skin biopsy revealed noncaseating granulomas, and systemic evaluation for sarcoidosis was negative. Active uveitis despite aggressive immunosuppression led to vitreous biopsy 7.5 years after disease onset. The vitreous contained T-lymphocyte infiltrates and revealed cellular atypia without granulomas. No definitive evidence of intraocular sarcoidosis was found.
WORDS TO THE WISE
Tattoo-associated uveitis may be associated with systemic sarcoidosis or may represent a delayed hypersensitivity reaction. Because tattoos are increasingly common, all patients with uveitis should be asked whether they have any tattoos. All tattoos should be examined, and patients should undergo testing for sarcoidosis, including serum angiotensin converting enzyme, serum lysozyme, and chest imaging. Management options include local steroids, systemic prednisone, steroid-sparing agents, and excision of tattooed skin. Published clinical studies suggest a chronic course with multiple ocular comorbidities, including glaucoma, macular edema, and retinal involvement.6 Patients should be advised to avoid getting additional tattoos, as this may worsen their uveitis. n
1. US Food and Drug Administration. Think before you ink: are tattoos safe? www.fda.gov/forconsumers/consumerupdates/ucm048919.htm. August 31, 2015. Accessed April 25, 2016.
2. Meszaros L. Ophthalmology Times. Black ink may be culprit in tattoo-related uveitis. http://ophthalmologytimes.modernmedicine.com/ophthalmologytimes/content/tags/clinical-diagnosis-ophthalmology/black-ink-may-be-culprit-tattoo-rel?page=full. March 15, 2014. Accessed May 10, 2016.
3. Wolina U. Severe adverse events related to tattooing: an retrospective analysis of 11 years. Indian J Dermatol. 2012;57(6):439-443.
4. Pandya VB, Hooper CY, Essex RW, Cook M. Tattoo-associated uveitis. Am J Ophthalmol. 2014;158(6):1355-1356.
5. Lubeck G, Esptein E. Complications of tattooing. Calif Med. 1952;76(2):83-85.
6. Ostheimer TA, Burkholder BM, Leung TG, et al. Tattoo-associated uveitis. Am J Ophthalmol. 2014;158(3):637-643.e631.
7. Morales-Callaghan AM Jr, Aguilar-Bernier M Jr, Martinez-Garcia G, Miranda-Romero A. Sarcoid granuloma on black tattoo. J Am Acad Dermatol. 2006;55(5 Suppl):S71-73.
8. Marcoval J, Mana J, Moreno A, et al. Foreign bodies in granulomatous cutaneous lesions of patients with systemic sarcoidosis. Arch Dermatol. 2001;137(4):427-430.
9. Anolik R, Mandal R, Franks AG Jr. Sarcoidal tattoo granuloma. Dermatol Online J. 2010;16(11):19.
10. Psaltis NM, Gardner RG, Denton WJ. Systemic sarcoidosis and red dye granulomatous tattoo inflammation after influenza vaccination: a case report and review of literature. Ocul Immunol Inflamm. 2014;22(4):314-321.
11. Bhuva AN, Lota HK. A 34 year old man with bilateral anterior uveitis and a rash. BMJ. 2011;343:d6831.
12. Johnson M. Clinical features of uveitis associated with tattoo inflammation-case series. Paper presented at: European Society of Retina Specialists Annual Meeting; September 11-14, 2014; London, United Kingdom.
13. Rorsman H, Brehmer-Andersson E, Dahlquist I, et al. Tattoo granuloma and uveitis. Lancet. 1969;2(7610):27-28.
14. Barabasi Z, Kiss E, Balaton G, Vajo Z. Cutaneous granuloma and uveitis caused by a tattoo. Wien Klin Wochenschr. 2008;120(1-2):18.
15. Jacob J, Van Calster J. Skin tattoos and the development of uveitis. Acta Ophthalmol. 2013;91(8):e650-652.
16. McElvanney AM, Sherriff SM. Uveitis and skin tattoos. Eye (Lond). 1994;8 (Pt 5):602-603.
17. Saliba N, Owen ME, Beare N. Tattoo-associated uveitis. Eye (Lond). 2010;24(8):1406.
18. Reddy AK, Shildkrot Y, Newman SA, Thorne JE. T-lymphocyte predominance and cellular atypia in tattoo-associated uveitis. JAMA Ophthalmol. 2015;133(11):1356-1357.
19. Mansour AM, Chan CC. Recurrent uveitis preceded by swelling of skin tattoos. Am J Ophthalmol. 1991;111(4):515-516.
Marguerite O. Linz
• research trainee in the retina service at the Wilmer Eye Institute, Johns Hopkins University School of Medicine, in Baltimore, Md.
• financial interest: none acknowledged
Tahreem A. Mir, MD
• postdoctoral research fellow in the retina service at the Wilmer Eye Institute, Johns Hopkins University School of Medicine, in Baltimore, Md.
• financial interest: none acknowledged
• tmir1@jhmi.edu
Ashvini K. Reddy, MD
• assistant professor of ophthalmology in the Division of Ocular Immunology at the Wilmer Eye Institute, Johns Hopkins University School of Medicine, in Baltimore, Md.
• financial interest: none acknowledged
• areddy16@jhmi.edu