
The inflammatory chorioretinopathies, commonly termed the white dot syndromes, are a heterogeneous group of diseases of unknown etiology.1 Many of these conditions are thought to have an autoimmune etiology, and they most commonly affect young, otherwise healthy adults. The white dot syndromes may affect the retina, retinal pigment epithelium (RPE), and/or choroid. The diseases are classified based on the size and shape of the chorioretinal lesions, with some overlapping of descriptive categories.1
AT A GLANCE
• Inflammatory chorioretinopathies, commonly known as the white dot syndromes, are a group of diseases, often thought to have an autoimmune etiology, that most commonly affect young, otherwise healthy adults.
• Not all cases, however, neatly fit age classifications or descriptive criteria.
• Multimodal imaging can aid in characterizing the disease and help to rule out possible infectious or neoplastic disease.
For example, a spectrum of disease referred to as ampiginous has been described in patients with acute posterior multifocal placoid pigment epitheliopathy (APMPPE or AMPPE) and serpiginous chorioretinopathy.2 The diseases can also be classified by the predominant age at presentation. APMPPE most commonly affects individuals in the second to fourth decades of life.3,4 Birdshot chorioretino-pathy, in contrast, most commonly affects individuals in the fourth to sixth decades of life. These age classifications do not apply to all patients, and previous reports have described cases that do not easily fit the descriptive criteria or typical age ranges.5 Multimodal imaging can help characterize the disease.
In the case report below, we describe an atypical presentation of an inflammatory chorioretinopathy in an older adult.
A CASE OF MISTAKEN BIRDSHOT CHORIORETINOPATHY
A 70-year-old woman reporting 1 week of decreased vision in her right eye (OD) with an associated central scotoma was referred for retinal consultation. The referring ophthalmologist noted white retinal spots and made a provisional diagnosis of birdshot chorioretinopathy. The patient had a history of hypertension and hypercholesterolemia.
Initial Findings
On examination, the patient’s best corrected visual acuity (BCVA) was counting fingers at 2 feet OD and 20/30 in the left eye (OS). Intraocular pressures were normal bilaterally. Slit-lamp examination revealed mild nuclear sclerotic cataract in both eyes and no anterior chamber inflammation in either eye. Dilated fundus examination OD demonstrated multiple large, creamy colored lesions that appeared deep in the retina, centered on the macula and involving the fovea. The lesions ranged in size from approximately 300 µm to 1,500 µm and were distinguishable from the midperipheral lesions observed in birdshot chorioretinopathy (Figure 1). Trace anterior vitreous cells were noted. The optic nerve, retinal vasculature, and fundus periphery were unremarkable. Dilated fundus examination OS demonstrated no evidence of chorioretinal lesions. A careful review of systems was negative for systemic inflammatory disease, headaches, rashes, arthritis, and gastrointestinal disease. The patient reported an episode of presumed viral bronchitis 2 weeks before presentation.
Figure 1. Fundus photograph demonstrates multiple deep, creamy colored lesions OD ranging in size from approximately 300 μm to 1,500 μm (A). The fundus OS was unremarkable (B).
A Closer Look With Multimodal Imaging
Spectral-domain optical coherence tomography demonstrated increased reflectivity of the outer retina in an area corresponding with the macular lesions OD (Figure 2). In addition, the outer retinal bands, including the ellipsoid layer, were disordered. These changes corresponded to increased signal transmission into the choroid. Fluorescein angiography revealed hypofluorescent lesions deep to the retina in the early phases of the angiogram (Figure 3). There was minimal staining and no leakage of the lesions in the later phases.
The differential diagnosis included broad categories of infectious, inflammatory, and neoplastic diseases. A workup for systemic disease was initiated with a panel of laboratory tests. All tests were negative, including complete blood count, rapid plasma reagin, fluorescent treponemal antibody absorption, angiotensin converting enzyme, sedimentation rate, C-reactive protein, toxoplasmosis titers, and serum protein electrophoresis. Human leukocyte antigen (HLA) typing was negative for HLA-A29 and HLA-B27. The lesions appeared atypical for primary vitreoretinal lymphoma, but, given the patient’s age, MRI of the brain was obtained and demonstrated no evidence of pathologic enhancement or masses.
Figure 2. Optical coherence tomography (OCT) comparing the macula OD with the macula OS. OCT OD demonstrates hyperreflectivity corresponding with the lesions, with disordered outer retinal bands and loss of the ellipsoid zone in discrete areas. The OCT OS is normal.
Resolution and Outcome
Two days after initial presentation, the lesions appeared to be coalescing, and the patient was started on oral prednisone 60 mg daily. However, she did not begin taking the prednisone until 2 weeks later. Despite this, the lesions coalesced and began resolving, with an improvement in BCVA to 20/150 OD at 2 weeks after presentation. The chorioretinal lesions most closely resembled APMPPE, given their variable size, depth in the outer retina, creamy-to-gray color, and evolution.
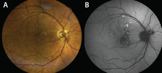
Six months after initial presentation, the patient’s BCVA had improved to 20/80 OD, and BCVA remained 20/30 OS, with no evidence of active inflammation. Funduscopic examination at 6 months demonstrated mottled pigmentary changes in the macula with outer retinal atrophy (Figure 4A). Fundus autofluorescence demonstrated clumps of hypoautofluorescence and hyperautofluorescence corresponding with the fundus lesions (Figure 4B). The patient remained otherwise healthy without evidence of systemic inflammatory or neoplastic disease through 1 year follow-up.
DISCUSSION
As noted earlier, the white dot syndromes do not always fit neatly into an existing descriptive category. In our case of an atypical inflammatory chorioretinopathy resembling APMPPE in an older adult, the patient presented with significant loss of visual acuity to counting fingers in the affected eye. Her visual acuity improved to 20/80 over the course of 6 months, despite delayed use of oral prednisone. Cases of a similar syndrome in older adults have been previously reported.
Figure 3. Fluorescein angiography OD. Early phase demonstrates hypofluorescence of the lesions deep to the retina at 20 seconds (A) and minimal staining at 2 minutes (B). Fluorescein angiography OS shows absence of any hypofluorescent macular lesions (C).
For example, Taich and Johnson published a study of six older adults with a syndrome resembling APMPPE.5 In their report, all five binocular patients (one patient was monocular from a prior enucleation) eventually developed bilateral disease. All five patients who received corticosteroids (intravenous or oral) experienced a short-term improvement in visual acuity that did not appear to influence long-term prognosis.
Other studies have demonstrated a poor visual prognosis for APMPPE in older adults,6,7 likely due to the weakened ability of the aged RPE to recover from inflammatory insult, which leads to atrophy of the RPE and overlying photoreceptors. Secondary development of choroidal neovascularization is also more common in affected eyes. Additional risk factors for poor visual outcomes include unilaterality, interval of 6 months or more to involvement of the second eye, recurrence of disease, and venous leakage.6
No association with systemic disease was identified in our patient or in previous reports. The disease was distinct from macular serpiginous choroiditis, given the shape of the lesions (round or oval vs. pseudopodial), progression (isolated episodes that resolved vs. frequent, contiguous recurrences), and number of lesions (multifocal vs. confluent lesions).5
Our patient had a viral prodrome, with an episode of bronchitis approximately 2 weeks prior to presentation. Previous reports have suggested that an antigenic stimulus may be a cause of the chorioretinal inflammation observed in APMPPE.8 The antigen may cause chorioretinal hypersensitivity with cross-reactivity, stimulating an immune response in the retina, RPE, or choroid.
Figure 4. Fundus photograph OD 6 months after initial presentation (A). The creamy lesions have coalesced and resolved. Pigmentary changes and areas of retinal atrophy have developed. The patient’s BCVA improved from counting fingers at presentation to 20/80. Fundus autofluorescence OD demonstrated hypoautofluorescence corresponding with atrophy of the RPE and areas of hyperautofluorescence at the edges of the lesions (B).
Interestingly, our patient mistakenly did not take the prescribed prednisone but still experienced improvement in visual acuity and resolution of the lesions 2 weeks after presentation. Further research is needed to determine whether immunosuppressive therapy is indicated for the management of APMPPE or whether alternative therapies may be more effective.
SOME UNSOLICITED ADVICE
Inflammatory chorioretinopathies commonly referred to as the white dot syndromes are a heterogeneous group of diseases that do not always fit neatly into descriptive categories or age ranges. Clinicians would benefit from the use of multimodal imaging in order to accurately characterize disease. Additionally, appropriate testing and imaging can help rule out possible infectious and neoplastic diseases. The visual prognosis for older patients with APMPPE is worse than it is for younger patients with the disease. It is advised that retina specialists counsel patients accordingly. n
1. Matsumoto Y, Haen SP, Spaide RF. The white dot syndromes. Compr Ophthalmol Update. 2007;8(4):179-200; discussion 203-204.
2. Jyotirmay B, Jafferji SS, Sudharshan S, Kalpana B. Clinical profile, treatment, and visual outcome of ampiginous choroiditis. Ocul Immunol Inflamm. 2010;18(1):46-51.
3. Gass JD. Acute posterior multifocal placoid pigment epitheliopathy. Arch Ophthalmol. 1968; 80(2):177-185.
4. Wolf MD, Alward WL, Folk JC. Long-term visual function in acute posterior multifocal placoid pigment epitheliopathy. Arch Ophthalmol. 1991;109(6):800-803.
5. Taich A, Johnson MW. A syndrome resembling acute posterior multifocal placoid pigment epitheliopathy in older adults. Trans Am Ophthalmol Soc. 2008;106:56-62; discussion 62-63.
6. Pagliarini S, Piguet B, Ffytche TJ, Bird AC. Foveal involvement and lack of visual recovery in APMPPE associated with uncommon features. Eye (Lond). 1995;9 (Pt 1):42-47.
7. Roberts TV, Mitchell P. Acute posterior multifocal placoid pigment epitheliopathy: a long-term study. Aust N Z J Ophthalmol. 1997;25(4):277-281.
8. Park D, Schatz H, McDonald HR, Johnson RN. Acute multifocal posterior placoid pigment epitheliopathy: a theory of pathogenesis. Retina. 1995;15(4):351-352.
Jordana G. Fein, MD
• retina specialist at Retina Group of Washington in Fairfax, Va.;
cofounder of The International Society for the Advancement of
Medical Retina
• financial interest: none acknowledged
• jgorenmd@gmail.com
Heeral R. Shah, MD
• retina specialist at Ramesh R. Shah, MD, PC, in Joplin, Mo.;
cofounder of The International Society for the Advancement of
Medical Retina
• financial interest: none acknowledged
• heeralshahmd@gmail.com
Michael D. Tibbetts, MD
• retina specialist at Tyson Eye in Cape Coral, Fla.
• financial interest: none acknowledged
• michael.tibbetts@gmail.com