
Papillophlebitis is a condition in which the clinical features of central retinal vein occlusion (CRVO) are present but there is no history of vascular disease.1 Papillophlebitis is characterized by painless unilateral disc edema and hyperemia, retinal venous engorgement, and a variable extent of intraretinal hemorrhage and macular edema in otherwise healthy adults younger than 50 years.2-4 It has been postulated that inflammation of the optic disc, leading to compression of the central retinal vein and venous insufficiency, is the underlying mechanism in these cases. Below we describe the cases of two patients with papillophlebitis to illustrate this uncommon syndrome.
CASE REPORTS
Case No. 1
AT A GLANCE
• Papillophlebitis is a rare condition that occurs most often in women between the ages of 20 and 35 years.
• Papillophlebitis is often misdiagnosed as optic neuritis or papilledema.
• If not diagnosed and treated immediately, papillophlebitis may lead to CRVO with resulting macular edema and poor acuity.
• Corticosteroids are the mainstay of treatment and are often combined with anticoagulants to reduce inflammation and to treat any underlying coagulopathies.
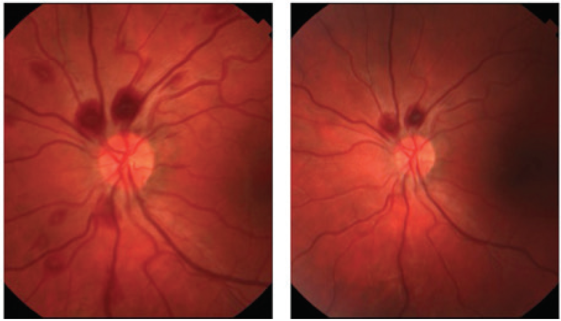
In October 2005, a 32-year-old white woman was evaluated with a chief complaint of progressive, painless loss of vision in her left eye (OS). Medical history and ocular history were otherwise unremarkable, and the patient reported no recent history of trauma. Best corrected visual acuity (BCVA) was 20/20 in her right eye (OD) and 20/32 OS (Figure 1). Anterior segment examination was unremarkable, and intraocular pressure (IOP) was measured to be 16 mm Hg in each eye (OU).
On examination, moderate optic disc swelling was noted OD, and more significant optic disc edema accompanied by diffuse superficial hemorrhages was observed in all four quadrants OS (Figure 2). Fluorescein angiography was significant for marked venous staining and leakage, in addition to leakage and late staining from the optic disc. Optical coherence tomography (OCT) was not clinically available at the time of initial diagnosis. Systemic and hematologic examinations were ordered and returned positive for Glanzmann thrombasthenia (GT) and hepatitis C virus infection. GT is a rare, autosomal recessive coagulopathy characterized by either qualitative or quantitative abnormalities of the membrane glycoprotein αIIbβ3 complex, which result in bleeding tendencies that range from purpura to life-threatening hemorrhage.
Figure 1. Case No. 1: Moderate optic nerve disc swelling present OD (A). Red-free image showing typical presentation of papillophlebitis OS, including edema of the optic disc, retinal venous engorgement, and perivenous retinal hemorrhages (B).
Figure 2. Case No. 1: Fluorescein angiography is significant for marked venous staining and leakage, in addition to leakage and late staining from the optic disc.
After diagnosis, the patient was treated with systemic oral steroids 1 mg/kg/day, followed by a slow taper over several weeks. Aspirin was contraindicated due to the underlying GT. Visual acuity (VA) remained stable for 6 months in the affected eye, but it eventually improved to 20/20.
In June 2009, the patient was diagnosed with peritoneal mesothelioma. We arranged for her to be monitored biannually, and her VA remained 20/20 with no recurrence of papillophlebitis. Ten years after initial diagnosis, OCT scans revealed normal foveal morphology with preservation of ellipsoid and external limiting membrane layers (Figure 3). However, perimacular interruption of the ellipsoid layer and morphologic changes at the level of the external nuclear layer were noted, indicating previous intraretinal exudation and edema. Bilateral visual field tests were also unremarkable. Notably, the peripapillary nerve fiber layer thickness has remained normal. Visual field abnormalities significantly improved during follow-up (Figure 4).
Figure 3. Case No. 1: Ten years after initial diagnosis, OCT scans revealed normal foveal morphology with preservation of ellipsoid and external limiting membrane layers. However, perimacular interruption of the ellipsoid layer and morphologic changes at the level of the outer nuclear layer were noted, indicating previous intraretinal exudation and edema. Notably, the peripapillary nerve fiber layer thickness has remained normal.
Figure 4. Case No. 1: Humphrey visual field (30-2 Swedish interactive threshold algorithm standard) 10 years after clinical diagnosis.
Case No. 2
In 2006, a 24-year-old white woman was referred with painless vision loss OD. Her medical history was significant for smoking, and she has a family history of glucose-6-phosphate dehydrogenase deficiency and myocardial infarction at a young age. BCVA was 20/25 OD and 20/20 OS.
Anterior segment examination was unremarkable, and IOP was 14 mm Hg OU. Fundus examination OD revealed a clinical pattern similar to CRVO. The patient underwent multimodal retinal evaluation (Figures 5 and 6). Further testing revealed no hematologic disorders, but neuroimaging showed a subclinical pituitary microadenoma.
Figure 5. Case No. 2: Red-free image (A) and fluorescein angiography (B) revealing unilateral disc edema and hyperemia, retinal venous engorgement, and intraretinal hemorrhages of variable extent.
Figure 6. Case No. 2: Fluorescein angiography showing late staining of the optic disc, marked venous staining, and leakage.
A diagnosis of papillophlebitis was made, and the patient was started on 50 mg oral prednisone per day, followed by a slow taper, and 100 mg aspirin. Her VA quickly returned to 20/20. Visual field abnormalities significantly improved during follow-up, and the patient maintains 20/20 vision with normal visual field and OCT in the affected eye 8 years later (Figure 7).
Figure 7. Case No. 2: Color fundus photo showing vein engorgement at the level of the optic disc (A). Humphrey visual field (30-2 Swedish interactive threshold algorithm standard) at first presentation (B, top) and 7 years after initial clinical diagnosis (B, bottom).
CLINICAL ASPECTS
When a diagnosis of papillophlebitis is considered, remember that a significant mismatch between VA at presentation and retinal findings is an important and typical finding. Despite dramatic optic disc edema and venous engorgement, patients with papillophlebitis typically present with normal or near normal acuity, unlike patients with traditional CRVO. However, if not diagnosed and treated immediately, papillophlebitis may lead to CRVO with resulting macular edema and poor VA.
Historically, the prevalence of papillophlebitis is higher in women, with those between the ages of 20 and 35 years affected most commonly. Papillophlebitis is often associated with systemic vascular disease (eg, arterial hypertension, diabetes) or hematologic disorders. Dehydration, high altitude retinopathy, inflammatory bowel syndrome, oral contraceptive use, psoriasis, and pregnancy have also been postulated as potential underlying risk factors.
Clinically, papillophlebitis is characterized by mild but protracted monocular visual impairment, edema of the optic disc, retinal venous engorgement, and perivenous retinal hemorrhages that often resemble the atherosclerotic occlusion of the central retinal vein typically seen in elderly patients. Due to its occurrence in younger patients, papillophlebitis is often misdiagnosed as optic neuritis or papilledema. These diagnoses are typically excluded if tests of visual function do not indicate an optic nerve conduction defect and if the clinical presentation and examination of the opposite ocular fundus does not disclose evidence of increased intracranial pressure. Neuroimaging is typically negative. Relative afferent pupillary defect is typically absent. The visual field in the acute phase shows enlargement of the blind spot, but this completely resolves once healed.5,6 The diagnostic importance of OCT testing is crucial, as the macula is typically normal, and scans over the disc reveal significant edema without traction.
DIFFERENTIAL DIAGNOSIS
The differential diagnosis of papillophlebitis includes a diverse set of vasculopathies, including those listed here:
CRVO. This condition typically occurs later in life, has associated cardiovascular risk factors, and exhibits variable amounts of macular edema and retinal ischemia.
Figure 8. Retinal vein prethrombosis seen in a 20-year-old woman taking oral contraceptives.
Retinal vein prethrombosis. This condition (Figure 8) is self-limiting and is seen most often in young women taking oral contraceptives. Improvement is typically seen upon cessation of the medicine.
Nonarteritic ischemic optic neuropathy. This commonly encountered condition typically occurs during the fourth to sixth decades of life and is associated with traditional cardiovascular risk factors. Clinically, fluorescein angiography shows a “hot” disc without venous congestion or macular edema (Figure 9). The clinical course is variable.
Hypertensive retinopathy. This broad term applies to a spectrum of microvascular abnormalities ranging from tortuosity of retinal arterioles to significant vascular congestion and ischemia (Figure 10).
Figure 9. Fluorescein angiography showing a “hot” optic disc, generalized arteriolar narrowing consistent with nonarteritic ischemic optic neuropathy.
Figure 10. Color fundus photo showing severe hypertensive retinopathy.16
Bacillary angiomatosis. This condition is associated with infectious etiologies such as Bartonella henselae (cat scratch disease, Figure 11).
Figure 11. Fluorescein angiography features are consistent with neuroretinitis. A diagnosis of cat scratch disease was made.
PATHOPHYSIOLOGY AND RATIONALE FOR THERAPY
Papillophlebitis is a rare subtype of CRVO, but it differs from traditional CRVO in that the underlying cause of venous insufficiency is presumed to be central retinal vein inflammation at the optic nerve. Therefore, corticosteroids, both systemic and periocular, are the mainstay of treatment and are often coupled with anticoagulants such as heparin and/or aspirin to reduce inflammation and treat any underlying coagulopathies. Despite the fact that anticoagulant medications are not universally accepted in the treatment of papillophlebitis, our clinical experience has shown that the addition of anticoagulants either lessens or improves retinal ischemia compared with steroid treatment alone.
Reports in the literature have described the use of intravitreal steroids in cases of papillophlebitis with associated macular edema, and positive results have been reported following anti-VEGF injections in cases of combined papillophlebitis and central retinal artery occlusion.3,7,8
LINGERING QUESTIONS
Q: What is appropriate follow-up for patients with papillophlebitis?
A: Obtaining visual fields and color fundus photography every 6 months is the gold standard, but what about OCT? OCT can be used to show that there is no macular edema and to quantify peripapillary retinal nerve fiber layer thickness. Further, it is mandatory to scan the optic disc to identify vitreoretinal traction in retinal vein occlusions in young patients.
Q: When and for whom is thrombophilia testing appropriate?
A: Because papillophlebitis can be the first sign of an underlying connective tissue disorder (eg, lupus, rheumatoid arthritis), young women may benefit from a hematologicrheumatologic referral.12-16
Screening for hypercoagulable status may include the following:
• Antiphospholipid antibodies and hyperhomocysteinemia;
• Factor V Leiden and prothrombin G20210A mutations; and
• Additional thrombotic risk factors such as pregnancy.
These tests can help to predict the risk of recurrences or involvement of the fellow eye and to establish appropriate preventive measures in high-risk situations. Identification of carriers of multiple prothrombotic abnormalities may accordingly direct the management of disease and lead to prevention of further thromboembolic episodes. Preventive strategies may include aspirin (papillophlebitis may be interpreted as a form of venous thrombosis or a complication of atherosclerosis) and counseling on use of oral contraceptives.
Q: What is the appropriateness and sustainability of cerebral MRI neuroimaging for national health systems?
A: An MRI should be considered for patients who are unresponsive to systemic steroids after discussion with a neurologist.
PROGNOSIS AND MURRAY’S PRINCIPLE OF MINIMUM WORK
The benign natural course of papillophlebitis relies on the fact that the human circulatory system is a branching system that conforms to Murray’s principle of minimum work.9 There is now the ability to assess a range of retinal parameters (fractal dimension, tortuosity, and bifurcation) that are global reflections of “optimality” and “efficiency” of blood distribution in the retinal network.10,11 Patients with papillophlebitis have a healthy circulatory system in comparison with patients with retinal vein occlusions, whose microcirculation is already damaged by hypertension. Patients with preexisting structural factors are more likely to develop turbulence (Reynolds principle) and endothelial inflammation.
The clinical picture of unilateral disc edema may suggest the presence of ocular, orbital, or intracranial disease. The cases presented above focus on an underappreciated and often overlooked cause of unilateral disc edema: presumed phlebitis of the optic disc. Awareness of this syndrome can eliminate extensive and expensive neurodiagnostic procedures for patients with typical clinical pictures.
1. American Academy of Ophthalmology. Basic and Clinical Science Course excerpt. Central and branch retinal artery and vein occlusions. www.aao.org/bcscsnippetdetail.aspx?id=80edd3ee-356d-4ff9-bcec-d01c9bbbdf93. Accessed June 26, 2017.
2. Lonn LI, Hoyt WF. Papillophlebitis, a cause of protracted benign optic disc edema. Eye Ear Nose Throat Mon. 1966;45(10):62-68.
3. Fong AC, Schatz H, McDonald HR, et al. Central retinal vein occlusion in young adults (papillophlebitis) Retina. 1992;12(1):3-11.
4. Ellenberger C Jr, Messner K. Papillophlebitis: benign retinopathy resembling papilledema or papillitis. Ann Neurol. 1978;3(5):438-440.
5. Charakidas A, Brouzas D, Andrioti E, et al. Papillophlebitis associated with coexisting factor V Leiden and prothrombin G20210A mutations. Retina. 2002;22(2):239-240.
6. Purvin VA. Optic neuropathies for the neurologist. Semin Neurol. 2000;20(1):97-110.
7. Chang YC, Wu WC. Intravitreal triamcinolone acetonide for the management of papillophlebitis and associated macular edema. Int Ophthalmol. 2008;28(4):291-296.
8. Lima VC, Prata TS, Landa G, et al. Intravitreal triamcinolone and bevacizumab therapy for combined papillophlebitis and central retinal artery occlusion. Retin Cases Brief Rep. 2010;4(2):125-128.
9. Murray CD. The physiological principle of mimimum work: I. The vascular system and the cost of blood volume. Proc Natl Acad Sci U S A. 1926;12(3):207-214.
10. Sherman TF. On connecting large vessels to small. The meaning of Murray’s law. J Gen Physiol. 1981;78(4):431-453.
11. Kawasaki R, Che Azemin MZ, Kumar DK, et al. Fractal dimension of retinal vasculature and risk of stroke: a nested case control study. Neurology. 2011;76(20):1766-1777.
12. Arsène S, Delahousse B, Regina S, Le Lez ML, Pisella PJ, Gruel Y. Increased prevalence of factor V Leiden in patients with retinal vein occlusion and under 60 years of age. Thromb Haemost. 2005;94(1):101-106
13. Durukan AH, Akar Y, Bayraktar MZ, et al. Combined retinal artery and vein occlusion in a patient with systemic lupus erythematosus and antiphospholipid syndrome. Can J Ophthalmol. 2005;40(1):87-89.
14. Janssen MC, den Heijer M, Cruysberg JR, et al. Retinal vein occlusion: a form of venous thrombosis or a complication of atherosclerosis? A meta-analysis of thrombophilic factors. Thromb Haemost. 2005;93(6):1021-1026.
15. Bombeli T, Basic A, Fehr J. Prevalence of hereditary thrombophilia in patients with thrombosis in different venous systems. Am J Hematol. 2002;70(2):126-132.
16. Grosso A, Cheung N, Veglio F, Wong TY. Similarities and differences in early retinal phenotypes in hypertension and diabetes J Hypertens. 2011;29:1667–1675
Jorge I. Calzada, MD
• president, Charles Retina Institute; professor, University of Tennessee Hamilton Eye Institute, both in Memphis, Tenn.
• financial disclosure: Alcon, Novartis, Genentech, Regeneron, AbbVie
• jcalzada@charlesretina.com
Andrea Grosso, MD
• consultant, retina specialist at Santo Spirito Hospital in Casale Monferrato, Italy, and at Centre for Macular Research in San Mauro, Italy
• financial disclosure: none acknowledged
• 78andreagrosso@gmail.com
John Randolph, MD
• retina specialist at Center for Retina and Macular Disease, Winter Haven, Fla.
• financial disclosure: none acknowledged
• jc.randolph@gmail.com
Eric Sigler, MD
• retina specialist at Ophthalmic Consultants of Long Island, Division of Retina and Vitreous, Rockville Centre, N.Y.
• financial disclosure: none acknowledged
• ejsigler@gmail.com