In memory of Silvana Penco, MD
Von Hippel-Lindau (VHL) disease is a relatively uncommon (1 in 36,000 live births), multisystem, dominantly inherited syndrome. The disease predisposes individuals to the development of benign and malignant tumors in the retina and central nervous system, kidney, pancreas, adrenal gland, epididymis, broad ligament, and endolymphatic sac.1 The most common signs are hemangioblastoma (HB) of the central nervous system (CNS) and the retina, renal cell carcinoma, pancreatic carcinoma, pheochromocytoma, and visceral cyst.2-8
AT A GLANCE
• VHL disease is a rare syndrome, the ophthalmic sign of which is retinal hemangioblastoma.
• Not all lesions are easily identifiable by biomicroscopic evaluation; however, infrared and FA imaging can be used to detect even small and peripheral lesions.
• The authors developed an algorithm for diagnosis and follow-up of patients with VHL disease.
The disease is caused by a germline alteration of the VHL gene, a tumor suppressor gene located on chromosome 3p25-p26.9,10 The gene encodes a 213–amino acid protein ubiquitously expressed in fetal and adult human tissues. The protein degrades hypoxia-inducible factors,11 which are produced in response to hypoxia. Loss of VHL function by mutation of the VHL gene results in unregulated high levels of hypoxia-inducible factors, which in turn produce high levels of downstream gene products such as VEGF and platelet-derived growth factor (PDGF).12 It is thought that constitutively elevated levels of proteins such as VEGF and PDGF stimulate angiogenesis, growth, and cell division, contributing to tumor formation.13
Individuals with a VHL gene defect develop clinical manifestations, and their children have a 50% risk of inheriting the gene and the disease.6 Half of all cases are familial, and half are caused by de novo mutations.5 The leading cause of death is renal cell carcinoma, followed by HB of the CNS,11 at a mean age ranging from 40 to 50 years.14 The eye lesion is the retinal capillary hemangioblastoma (RCH, also called retinal HB or hemangioma), which appears as a round, circumscribed, orange-red vascular lesion, found in either the peripheral or the juxtapapillary retina.15 RCH is the first manifestation in approximately half of patients, and it is usually bilateral and multifocal or becomes so over the years.6,16
In this article we report the ophthalmologic assessment of a group of Italian patients with a VHL gene mutation and some of their family members who also have the mutation.
Figure 1. Patient 5: RCH is not clearly identifiable in the extreme superior periphery with retinography. RCH was identified on reevaluation of retinography images after it was seen in IR examination.
STUDY SPECIFICS
Patients with a clinical diagnosis of VHL disease were referred to the Unit of Medical Genetics - Niguarda Ca’ Granda Hospital in Milan, Italy, for VHL genetic testing. All probands were positive at the genetic test; molecular evaluation of at-risk family members was also performed. Genomic DNA from each proband and all consenting relatives was extracted from peripheral blood leukocytes using the salting-out method. All coding exons and the corresponding intron/exon boundaries of the VHL gene were amplified by polymerase chain reaction with a specific subset of primers. Sequencing reactions were analyzed using a 3730 DNA Analyzer (Applied Biosystems by ThermoFisher Scientific). The nucleotide position of variants present in the coding regions refers to the complementary DNA (cDNA) sequence. We used two web-based bioinformatic tools to rank novel mutations: Mutalyzer 2.0 beta-26 (LUMC) to support checks of sequence variant nomenclature according to the guidelines of the Human Genome Variation Society, and Mutation Taster (Mutation Taster) to evaluate the disease-causing potential of the sequence alterations identified.
At the San Paolo Hospital ophthalmology unit, we examined 16 eyes of eight patients with a positive genetic test to evaluate for ocular signs of VHL disease. Two independent ophthalmologists, medical retina specialists, performed complete ocular examinations consisting of visual acuity, biomicroscopic fundus exam using three-mirror contact lenses (Volk Optical), and color retinography (3D OCT-2000; Topcon). Infrared (IR), fluorescein angiography (FA) and optical coherence tomography (OCT) examinations were conducted with the Heidelberg Retina Angiograph (Heidelberg Engineering).
Ocular lesions were observed during eye examinations previously performed at other centers in both eyes of Patient 3 and in the left eye of Patient 6. In view of their characteristics, a VHL genetic test was requested. Patient 6 had received argon laser treatment for RCH.

STUDY FINDINGS
Among the eight patients analyzed for the study, five had the familial form of VHL disease and three were apparently de novo cases (Patients 1-3). Mean age was 48.5 years (range 31-70 years); all were men. In all patients, BCVA was 20/20. There were no significant alterations of the cornea and anterior segment (Table 1).
Nine of the 16 eyes were normal. Seven eyes of five patients presented retinal signs attributable to VHL disease. RCH was detected in five of seven eyes with retinal changes, in one case bilaterally. Angiographic vascular leakage, a sign of early formation of retinal HB, was detected in the other two of seven eyes, one eye unilateral and the other with RCH in the contralateral eye. Only Patient 6 had received previous treatment (Table 1).
Biomicroscopic fundus examination and retinography revealed RCH in three eyes of two patients, which appeared as a round, circumscribed, orange-red vascular lesion in the peripheral retina (Figure 1, Table 2). IR examination showed RCH in five eyes, three unilateral and one bilateral case; the RCH appeared as a small, dark, circular lesion in the periphery. In two eyes (Patients 5 and 7), the RCH had not been recognized on biomicroscopy or retinography. In Patient 5, the retinal HB was the first lesion detected attributable to VHL disease (Figure 2, Table 2).
Figure 2. Patient 5: RCH appears as a small dark lesion in the extreme superior periphery on IR examination.
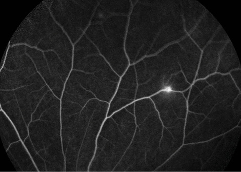
Figure 3. Patient 5: RCH appears on FA as a small area of leakage in the superior periphery.
FA confirmed the RCHs already identified by IR examination, observable as circular hyperfluorescent lesions (Figure 3). In two eyes (Patients 6 and 8), which did not show any retinal changes at biomicroscopy, retinography, or IR examinations, FA detected an area of vascular leakage: in the superior periphery in Patient 6 and below the macula in Patient 8. Patient 8 was unilateral, and Patient 6 had RCH in the contralateral eye. Only Patient 3 demonstrated slight leakage of the RCH (Table 2).
OCT showed no macular edema in any eye. Volume OCT scans, localized on the averaged periphery of the RCH, showed ectatic vessels. In Patient 3, slight perilesional edema and limited vitreous retinal traction were noted (Figure 4). Patient 6 showed the outcomes of argon laser treatment on the RCH (Table 2).

Figure 4. Patient 3: Vitreoretinal traction on RCH is shown on OCT.
DISCUSSION
There are no indications in the literature to guide ophthalmic follow-up of patients with VHL disease. Although atypical incipient HBs without draining vessels have been described,17 retinal HBs are distinctive enough to permit ophthalmoscopic diagnosis.18-20 However, our examinations in this study showed that small peripheral retinal lesions are not easily found with biomicroscopy or retinography during fundus examination (Figure 1). In Patients 5 and 7, we detected small, peripheral RCHs only on IR examination (Figure 2), subsequently confirmed on FA (Figure 3). Vascular leakage, in the absence of retinal HBs, as in Patients 6 and 8, was detected only by FA (Table 2).
Although small, peripheral RCHs and areas of leakage do not cause symptoms, it is important to locate them and to follow any changes over time. Therefore, if fundus examination (biomicroscopy with a three-mirror lens and retinography) and/or IR examination indicates a new finding of retinal HB, FA is advisable to confirm the diagnosis and to measure the lesions (Figure 5).
Figure 5. Ophthalmologic follow-up in VHL disease.
The mean age at initial manifestation of VHL disease is 25 years.6,16,20 The condition can be asymptomatic for years20 and may even regress spontaneously.21 Typically, the lesions grow and cause visual impairment due to leakage, leading to secondary changes in the vitreous and retina. The most frequent causes of vision loss are intraretinal exudation, exudative retinal detachment, hemorrhage, and epiretinal fibrosis.19,22-24 With early treatment, however, visual prognosis is good,20 and thus follow-up is important.
In the absence of ocular symptoms, we recommend that patients with VHL disease receive an eye examination once a year, during which it is advisable to perform visual acuity, fundus (biomicroscopy with 3-mirror lens and retinography), macular OCT, and IR evaluations. In patients with VHL disease with no ocular signs, we recommend an eye examination every year. In patients with retinal HB, intraretinal hemorrhage, macular edema, or vitreoretinal traction FA may be useful (Figure 5).
When RCH is localized at the posterior pole or the midperipheral retina, volume OCT scans can assess the size of HBs and identify perilesional edema and vitreoretinal traction. If the RCH is in the extreme periphery, vascular leakage and lesion size can be assessed with FA (Figures 4 and 5). Retinal HBs that are small and peripheral normally will not cause significant visual symptoms; therefore, eye examinations can be repeated every 6 to 12 months. In patients with larger HB (such as Patient 6 in our study), or with macular edema or vitreoretinal traction the need for medical or surgical treatment should be assessed.
AN ALGORITHM IS BORN
Although based on a small number of patients, our study sought to establish what might be the least invasive and most effective approach to the diagnosis of RCH and the ophthalmologic monitoring of patients with VHL disease. We underline the importance of a diagnostic eye algorithm in VHL disease because, although RCH may remain asymptomatic for years, the visual prognosis is good with early treatment.
We recommend repeating IR at each visit, in addition to annual fundus examination. IR can detect small RCHs that may not be identified at fundus examination, and it can be used to follow lesions over time. Furthermore, volume OCT scans of retinal HB can be used to assess perilesional edema and vitreoretinal traction. Additionally, FA is fundamental, both to confirm the diagnosis of retinal HB and to monitor RCH. For monitoring RCH, FA should be repeated at each visit.
1. Lonser RR, Glenn GM, Walther M, et al. von Hippel-Lindau disease. Lancet. 2003;361(9374):2059-2067.
2. Fearon ER. Human cancer syndromes: clues to the origin and nature of cancer. Science. 1997;278(5340):1043-1050.
3. Filling-Katz MR, Choyke PL, Oldfield E, et al. Central nervous system involvement in von Hippel–Lindau disease. Neurology. 1991;41(1):41-46.
4. Lindau A. Studien über kleinhirncysten bau, pathogenese und beziehungenzur angiomatosis retinae. Acta Pathol Microbiol Immunol Scand C. 1926;1(Suppl):1-128.
5. Maher E, Iselius L, Yates JR, et al. Von Hippel-Lindau disease: a genetic study. J Med Genet. 1991;28(7):443-447.
6. Neumann HP, Lips CJ, Hsia YE, Zbar B. Von Hippel-Lindau syndrome. Brain Pathol. 1995;5(2):181-193.
7. Resche F, Moisan JP, Mantoura J, et al. Haemangioblastoma, haemangioblastomatosis, and von Hippel–Lindau disease. In: Symon L, ed. Advances and Technical Standards in Neurosurgery. Vol 20. New York, NY: Springer-Verlag; 1993:197-303.
8. von Hippel E. Die anatomische Grundlage der von mirbeschriebenen “sehrselteneErkrankung der Netzhaut.” Albrecht von Graefes Arch Ophthalmol. 1911;79:350-377.
9. Latif F, Tory K, Gnarra J, et al. Identification of the von Hippel-Lindau disease tumor suppressor gene. Science. 1993; 260(5112):1317-1320.
10. Seizinger BR, Rouleau GA, Ozelius LJ, et al. Von Hippel-Lindau disease maps to the region of chromosome 3 associated with renal cell carcinoma. Nature. 1988;332(6161):268-269.
11. Maxwell PH, Wiesener MS, Chang GW, et al. The tumour suppressor protein VHL targets hypoxia-inducible factors for oxygen-dependent proteolysis. Nature. 1999;399(6733):271-275.
12. Semenza GL. Regulation of mammalian O2 homeostasis by hypoxia-inducible factor 1. Annu Rev Cell Dev Biol. 1999;15:551-578.
13. Kaelin WG Jr. Molecular basis of the VHL hereditary cancer syndrome. Nat Rev Cancer. 2002;2(9):673-682.
14. Neumann HP. Prognosis of von Hippel–Lindau syndrome. Vasa. 1987;16(4):309-311.
15. Singh AD, Shields CL, Shields JA. von Hippel-Lindau disease. Surv Ophthalmol. 2001;46(2):117-142.
16. Maher ER, Kaelin WG Jr. von Hippel-Lindau disease. Medicine. 1997;76(6):381-391.
17. Schmidt D, Neumann HP. Retinal vascular hamartoma in von Hippel-Lindau disease. Arch Ophthalmol. 1995;113(9):1163-1167.
18. Nicholson D. Capillary haemangioma of the retina and von Hippel–Lindau disease. In: Ogden T, Schachat A, eds. Retina. Vol 1. St. Louis, MO: Mosby; 1994:633-640.
19. Webster AR, Maher ER, Moore AT. Clinical characteristics of ocular angiomatosis in von Hippel-Lindau disease and correlation with germline mutation. Arch Ophthalmol. 1999;117(3):371-378.
20. Wittebol-Post D, Hes FJ, Lips CJ. The eye in von Hippel-Lindau disease. Long-term follow-up of screening and treatment: recommendations. J Int Med. 1998;243(6):555-561.
21. Whitson JT, Welch RB, Green WR. Von Hippel-Lindau disease: case report of a patient with spontaneous regression of a retinal angioma. Retina. 1986;6(4):253-259.
22. Goldberg MF, Duke JR. Von Hippel-Lindau disease. Histopathologic findings in a treated and an untreated eye. Am J Ophthalmol. 1968;66(4):693-705.
23. Welch RB. Von Hippel-Lindau disease: the recognition and treatment of early angiomatosis retinae and the use of cryosurgery as an adjunct to therapy. Trans Am Ophthalmol Soc. 1970;68:367-424.
24. Ridley M, Green J, Johnson G. Retinal angiomatosis: the ocular manifestations of von Hippel-Lindau disease. Can J Ophthalmol. 1986;21(7):276-283.
Davide Allegrini, MD
• ophthalmologist at the Eye Clinic of Humanitas Gavazzeni Hospital, Humanitas University, Bergamo, Italy
• +39 0281844301; davideallegrini@yahoo.it
Luisa Grassi, MD
• geneticist in the Medical Genetics Unit, Niguarda Hospital, Milan, Italy
• luisa.grassi@ospedaleniguarda.it
Giovanni Montesano, MD
• ophthalmology resident at the Eye Clinic of San Paolo Hospital, University of Milan, Italy
• giovmontesano@gmail.com
Alfredo Pece, MD
• ophthalmologist and chief of the ophthalmology department, Melegnano Hospital, Milan, Italy
• pece.retina@mclink.it
Silvana Penco, MD
• geneticist and chief of the Eye Clinic of San Paolo Hospital, University of Milan, Italy
Elena Piozzi, MD
• ophthalmologist and chief of the pediatric ophthalmology unit, Niguarda Hospital, Milan, Italy
• elena.piozzi@ospedaleniguarda.it
Paola Primignani, MD
• geneticist in the Medical Genetics Unit, Niguarda Hospital, Milan, Italy
• paola.primignani@ospedaleniguarda.it
Luca Rossetti, MD
• ophthalmologist and chief of the Eye Clinic of San Paolo Hospital, University of Milan, Italy
• lucamrossetti@libero.it
Claudia Tarlarini, MD
• geneticist in the Medical Genetics Unit, Niguarda Hospital, Milan, Italy
• claudia.tarlarini@ospedaleniguarda.it
No author has any financial interest in the instruments or products mentioned. Support for this article was provided by Retina 3000 in Milan, Italy.