
Optimal visualization is vital to achieving good outcomes in retinal surgery. With its ability to improve visualization, endoscopy has become recognized in recent years as a valuable tool for treating retinal conditions. Although there may be other solutions in some problematic cases, the endoscope can provide the technology we need to complete an operation quickly and effectively.
AT A GLANCE
• Good visualization is key to good outcomes. Endoscopy can bypass anterior segment opacities and enhance visualization of anterior structures that may not be visible using a standard microscope.
• Proper orientation of the endoscopic image is essential. Match the view on the endoscopic monitor with the microscope view—essentially creating a duplicate image—and have the technician assist by rotating the endoscope port as needed, allowing ease of movement between microscope and endoscope.
• Smaller gauges can provide similar benefits to larger gauges but with the added advantage of smaller incisions.
The endoscope can bypass anterior segment opacities and enhance visualization of anterior structures that may not be visible through a standard operating microscope. This is particularly beneficial when corneal opacification, hyphema, or other pathologies cloud the view. It can also aid in the treatment of glaucoma (with endoscopic cyclophotocoagulation), retinal detachments, open globe injuries, intraocular foreign bodies, and severe endophthalmitis.
USING SMALLER GAUGES
A 20-gauge endoscope affords a wide-angle high-resolution view. Once a certain level of comfort is reached with the 20-gauge instrument, smaller-gauge instruments can provide similar benefits with the added advantage of going through microincisions. The E2 Ophthalmic Laser Endoscopy System (Beaver Visitec Int’l) includes a triple-function probe that incorporates a variable 300 or 175 W xenon illumination source, an 810 nm diode laser, and a video camera for imaging typically delivered through a 20-gauge microendoscope. The smaller-gauge endoscopes fit through 23-gauge cannula systems, which eliminates the need for cannula removal and enlargement of sclerotomies.
The universal trend over the past 10 years has been a shift to smaller-gauge microincisional instruments. It seems that most ophthalmic surgery is now performed exclusively using small-gauge vitrectomy instruments. Smaller gauges are beneficial in a number of procedures. The 23-gauge probe is useful in endoscopic surgery for retinal detachment, specifically when there is a cataract obscuring the posterior segment view. It is also great for standard vitrectomy in the setting of vitreous hemorrhage, corneal opacification, or condensation on an intraocular lens (IOL), which can occur during air-fluid exchange in an eye with an open posterior capsule. Additionally, it is very helpful for performing air-fluid exchange, and for inspection of the peripheral retina in patients in whom scleral depression with the BIOM (Oculus) is difficult or not possible.
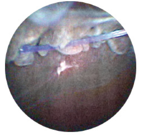
The 23-gauge endoscope is also useful for treating uveitis-glaucoma-hyphema (UGH) syndrome, which is most commonly caused by malposition of an IOL, with resultant contact with delicate uveal tissue. The causative pathology is often located just posterior to the iris. Direct visualization of this region can be helpful in diagnosis and treatment of the condition (Figures 1 and 2).
Figure 1. Endoscopic image showing tip of haptic and hemorrhage site.
Figure 2. Haptic has extruded through the capsular bag, piercing the ciliary body.
Patient management in UGH can prove difficult, as the syndrome is characterized by chronic episodes of hyphema, ocular inflammation, and elevated intraocular pressure. Traditionally, anterior segment ultrasound biomicroscopy has been performed for visualization of the IOL, iris, and sulcus. If this technology is not available or is inconclusive, surgical intervention for hyphema or vitreous hemorrhage using endoscopy can greatly improve outcomes. In some cases, direct visualization of the haptic can allow repositioning of the IOL without explantation. Similarly, the 23-gauge endoscope may improve outcomes in vitrectomy for retained lens fragments, allowing a more thorough anterior vitrectomy and removal of lodged lens fragments in this region.
Watch it Now
Endoscopy: When and Where It Works in Retina
Daniel Chao, MD, PhD, discusses the benefits of endoscopy in vitreoretinal surgery. Dr. Chao explains that endoscopy can serve as a complementary visualization technique during surgery, particularly in cases involving anterior segment opacities that diminish the utility of traditional visualization techniques.
A smaller-gauge endoscope can also be used in conjunction with larger-gauge instruments in hybrid procedures, where instruments of more than one gauge are utilized. For instance, during pars plana lensectomy for retained lens fragments or primary lens extraction, the surgeon can use a 20-gauge fragmatome with a smaller 23-gauge endoscope.
TROUBLESHOOTING TIPS
Occasionally, tissue or blood lodged in the tip of the endoscope can coagulate and become solidified. This can be problematic, as it can cause damage to the endoscope or significantly reduce the effect of the laser. This issue can present as a blurred endoscopic image, along with a diffuse or less crisp laser aiming beam as seen through the microscope. This will subsequently cause the laser to be ineffective in producing a burn, even with higher-than-normal power settings. In order to correct this problem, the endoscope should be removed from the eye and the tip thoroughly cleaned to remove the solidified tissue or particles. This step may require use of a gauze pad or other abrasive material.
If the endoscope becomes wet with blood as soon as you enter the eye, a poor quality endoscopic image may result. This can be rectified by switching the endoscope to the side with less blood or material, or to the side that has already been partially vitrectomized. You can then perform a superficial or minimal anterior vitrectomy to clear away vitreous and blood in that region and ensure clear entry. It is best in this instance to start the vitrectomy from the anterior vitreous, to avoid getting any blood or particles on the endoscope. Alternatively, in pseudophakic eyes, one can use direct visualization from the microscope to clear the tip of the endoscope using the vitrector.
Perhaps the most important tip is regarding the orientation of the endoscopic image. The goal should be to match the view on the endoscope monitor with the microscope view, essentially creating a duplicate image. The technician can assist in matching the image by rotating the endoscope port as needed. This orientation facilitates ease of movement. If the images are not aligned, movement may seem paradoxical: The monitor will show your movements going in the opposite direction from what you see in the microscope. This can make the procedure much more difficult. With proper orientation, surgical maneuvers become easier, and the surgeon can quickly switch back and forth from the microscope to the endoscope image.
SMALL BUT MIGHTY
Although there are cases in which a 20-gauge endoscope may be more appropriate, smaller-gauge endoscopes should not be overlooked. They offer all the benefits of the larger gauge plus the invaluable advantage of smaller, sutureless incisions.
Rupan Trikha, MD
• associate physician at Monmouth Retina Consultants, Little Silver and Toms River, N.J.
• financial disclosure: none related to Beaver Visitec Endo Optiks
• rtmedicine@gmail.com