Sponsored By


Evaluation and follow-up of choroidal tumors requires multimodal imaging. Swept source-OCT (SS-OCT) is one of the options that can be used effectively. An advantage of SS-OCT is its longer wavelength of 1050 nm, which enables better penetration of the retinal pigment epithelium (RPE) and choroid and better analysis of choroidal tumors.
SS-OCT and swept source-OCT Angiography are both helpful for the diagnosis and follow-up of choroidal tumors, but they have their limitations, as well. SS-OCT enables an accurate diameter measurement, however, measurement of the thickness of most pigmented tumors remains elusive. Angio OCT enables early diagnosis, as well as follow-up of radiation maculopathy and analysis of choroidal tumor vessels. However, capillary density quantification is not yet possible with either of these modalities. These observations stem from a small preliminary study that we recently performed.
Study Parameters
The purpose of the pilot study was to describe and compare imaging capabilities of various modalities for the diagnosis of a series of choroidal tumors. Images were acquired with spectral domain OCT (SD-OCT), enhanced depth imaging OCT (EDI-OCT), and SS-OCT. Retinal and choroidal vasculature of these tumors and macular radic retinopathy were also analyzed using swept source OCT angiography. Choroidal and retinal tissue involvement and the vascular components of these tumors were analyzed and comparisons were drawn between the swept source and EDI-OCT findings.
We evaluated 18 cases: nine nevi, four melanomas before treatment, two melanomas with radiation maculopathy, two hemangiomas, and one choroidal metastasis. Multimodal imaging was performed using Heidelberg’s HRA-OCT with EDI mode, and Topcon’s Triton SS-OCT. We also used color fundus photography, ultrasonography (US), fundus auto-fluorescence (FAF), fluorescein angio (FA), and ICG angio.
Overall, we found that measurement and analysis of the vascular components of posterior pigmented nevi, melanomas, and hemangiomas was more precise using SS-OCT and EDI-OCT. Characteristics of retinal involvement associated with the tumors that we studied were the same using both types of OCT analysis. Radic maculopathy was diagnosed earlier, and we were able to evaluate it better with A-OCT than with fluorescein angiography. Swept source OCT angiography and A-OCT showed superficial and deep retinal capillaries; choroidal vessels decreased density.
Our study findings suggest that OCT analysis of choroidal tumors compared with B-echography and fluorescein and indocyanin analysis is limited to posterior tumors and lacks tumor density and dye impregnation and vascular filling. Both SS-OCT and EDI-OCT, however, may offer improved imaging. They appear to be a significant contributing factor in the diagnosis of choroidal tumors compared with SD-OCT. Diagnosis and evaluation of radic maculopathy is also better diagnosed and followed up using both SS-OCT and A-OCT.
Because of the small number of cases, it was impossible to draw statistical conclusions about all of our findings. We could measure the diameter, however, in 78% of our cases, with a slightly larger diameter observed with swept source compared to EDI for hemangiomas and metastasis. Thickness measurement was only possible in 38% of all cases; the limitation was the presence of a melanotic tumor.
EDI-OCT also appears interesting for the accurate measurement and follow-up of posterior pole nevi and is 55% underestimated compared with ultrasound, similar to Shields’ findings.1 For pigmented nevi analysis, SS-OCT has been proven by Francis to be more efficient than EDI-OCT analysis.2 Angio OCT could also be worthwhile for the differential diagnosis of melanomas compared to nevi, since it has been observed that there is retinal capillary density decrease compared to the contralateral eye, only in melanomas. Angio OCT also enables us an early diagnosis of radiation maculopathy.
Selected Study Observations
Both OCT machines displayed similar features of the nevi cases: regular dome shape with choroidal shadowing tumor. The main sign was a thinned choriocapillary layer at the nevi location in more than 80% of the nevi tumors. RPE atrophy was observed in 44% of nevi, and RPE loss was observed in 11% of the nevi cases. Photoreceptor loss was observed in 44% of these cases, and irregularity of external nuclear and plexiform layer was seen in 11%, while serous detachment was observed in 22% of the nevi cases.
In our melanoma cases, both OCTs displayed similar features of posterior cone shadowing, anterior choriocapillary compression, and the presence of shaggy photoreceptors, which is a main characteristic of melanomas compared to nevi, according to Shields and West.3 Lipofuscin, which are associated with serous detachment deposits, were also seen in all melanoma cases.
In one of our medium-size melanoma cases, both angio and fluorescein angio show large choroidal vessels. SS-OCT showed shaggy photoreceptors, and angio OCT with swept source showed a large, abnormal choroidal vessel associated with retinal capillary density decreased in the deep and superficial plexus.
In one of our melanoma cases that was treated by proton beam, we can see with FA that there is radiation retinopathy, as well as radiation maculopathy. We followed this with HRA-OCT angio and saw a decrease in the superficial and deep capillary layers with time. This was also observed with SS-OCT, which showed progressive decrease in capillary density at the superficial and deep capillary layer.
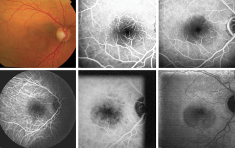
Figure 1. Macular choroidal metastasis taken with FA and ICG.
Figure 2. Swept source-OCT image of choroidal metastasis.
Choroidal Hemangioma was well-diagnosed with FA and ICG in our study. Also, swept source and EDI showed that it is an acutely dome-shaped and smooth tumor with characteristic signs of thick, sponge-like choroidal vessels without compression and partial posterior shadowing. Sub-retinal fluid is always associated with these cases, but thickness could not be measured because the tumor was too thick. SS-OCT angio showed dilated intratumoral choroidal vessels.
For one particular macular choroidal tumor, a diagnosis could not be made by angio, FA, or ICG, but was made by SS-OCT showing the characteristic irregular lumpy, bumpy anterior contour that has been shown by Shields to be a diagnostic sign found in 64% of cases4 (Figures 1 and 2).
In conclusion, SS-OCT and swept source AOCT are effective for the diagnosis and follow-up of choroidal tumors. With respect to B-echography and fluorescein and indocyanin angio analysis, both SS-OCT and EDI-OCT appear to be very contributive, compared with SD-OCT, for the diagnosis and follow up of choroidal tumors and should be systematically performed during evaluation. A-OCT analysis is also important for radic maculopathy diagnosis, as well as for evaluation of choroidal tumor vascular components; more studies should be performed for this evaluation.
1. Shields CL, Kaliki S, Rojanaporn D, et al. Enhanced depth imaging optical coherence tomography of small choroidal melanoma: comparison with choroidal nevus. Am J Ophthalmol. 2012. 130(7):856.
2. Francis JH, Pang CE, Abramson DH, et al. Swept-source optical coherence tomography features of choroidal nevi. Am J Ophthalmol. 2015;159(1):169-176.
3. Valverde-Megías A, Say EA, Ferency SR, Shields CL. Differential macular features on optical coherence tomography angiography in eyes with choroidal nevus and melanoma. Retina. 2017. 37(4):731-740.
4. Shields CL, Manaiac J, Das C, Saktanasate J, Shields JA. Review of spectral domain enhanced depth imaging optical coherence tomography of tumors of the choroid. Indian J Ophtalmol. 2015. 63(2):117-121.
Catherine Favard, MD
• Centre Ophtalmologique de l’Odéon,, Centre Iéna Vision, Hôpital Cochin
• Financial disclosures: Topcon; HRA; Bayer; and Allergan