Sponsored By


In recent years, a new classification of high myopia (HM), regarding the study of the eye fundus, has emerged. Myopic maculopathy can be classified into: myopic atrophic maculopathy (including diffuse atrophy, patch atrophy, and geographic atrophy); myopic neovascular maculopathy with myopic choroidal neovascularization (CNV), and tractional myopic maculopathy.
Figure 1. Elongation of the eye resulting from staphyloma.
In order to identify this new pathology, it is necessary to be able to distinguish between high myopia, especially in cases beyond -6 diopters (D) and pathological myopia (PM), which is due to elongation of the eye, producing a staphyloma, the most characteristic finding of HM (Figure 1). Improvements in imaging technology make this new classification possible.
Complications resulting from PM are a frequent cause of blindness worldwide. PM patients can suffer visual loss due to macular, peripheral or optic nerve disorders. Posterior pole deformations and the appearance of staphylomas promote the development of these complications. Posterior staphylomas are a typical finding of both HM and PM. This deformity is, in fact, one of the main reasons why it is difficult to obtain good quality images of these patients.
Imaging Evolution
It has been traditionally difficult to obtain good quality images in HM cases using OCT. Currently, we can use autofluorescence to, for instance, delineate an atrophy patch in the eye fundus, and we can also use optical coherence tomography angiography (OCTA).
Imaging improvements arrived with the evolution from time domain OCT (TD-OCT) to spectral domain (SD-OCT) and offered ophthalmologists an important improvement in the quality of OCT HM images. While TD offered sufficient quality, it typically did not provide enough information due to limitations in the technology. SD-OCT offered more detailed information, but there were still shortcomings. The options we had were to tweak the software to try to improve quality, or to average a high number of scans to try and obtain better imaging.
Currently, the optimal way to get clear HM images is to use Swept Source-OCT (SS-OCT). SS-OCT’s light high penetrance can visualize deep layers in the eye, such as the choroid and even the sclera. Another benefit of SS-OCT is that it can visualize both the vitreous and choroid in a single scan that are uniformly clear and noise-free. The DRI OCT Triton automatically detects seven boundaries, including the chorio-scleral interface, and enhances visualization of outer retinal structures, and deep pathologies.
Using SS-OCT, the imaging quality of HM eye has improved. This has enabled us to define new disease states, such as myopic traction maculopathy (MTM) and choroidal cavitations (CC) among others; and has permitted a simpler and clearer study of posterior staphylomas. Myopic staphylomas are defined as evaginations of the posterior wall of the eye with a curvature radius that is smaller than the curvature of the ocular structure surrounding it. This increase in axial length together with tissue thinning is responsible for the appearance of myopic maculopathy (MM) and its different manifestations. Various clinical signs of HM that we include under the name MM include atrophy, CNV, MTM, and dome shape maculopathy.
Using SS-OCT, and especially its 12 mm, single-line scanning mode, we are able to analyze in detail and study curvature modifications that staphylomas induce to the posterior pole of the eye, helping us classify them. This is especially useful in complex staphylomas. Horizontal scans show a progressive and regular augmentation of concavities as the staphyloma increases, from minimal to deep concavities that may even include the optic nerve. In some cases, the optic nerve will stay outside of the concavity, in others it will lay at the bottom of the concavity; in some others a convexity or sinusoidal profile (ascending or descending) can be seen. The majority of vertical scans are concave and regular. Of the more than 700 HM patients that we have studied, vertical scans show concave staphylomas in more than 90% of cases; very few exhibit dome shape morphology.
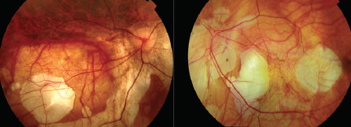
Figure 2. Myopic choroidal neovascularization.
If we study myopic CNV, we can establish three different stages using OCT: active CNV with fluid; fibrotic scar caused by the evolution of the CNV; and atrophy around the fibrotic scar (Figure 2).
MTM is a new entity that we are able to study with OCT. We can detect it with SS-OCT and obtain high-quality images. We can separate the internal from external schisis, which can manifest concurrently in the same patient. SS-OCT can also be used to image foveal detachments and to detect and monitor myopic macular holes. It was not possible to do this with so much detail before the advent of SS-OCT.
Dome-shaped maculopathy occurs when there is a dome shape in the macula, along with the presence of fluid between retinal pigmentary epithelium and the neuroretina. It is possible to study this defect thoroughly and with accurate detail using SS-OCT. Swept source imaging also provides vivid details of the sclera making it possible to measure its thickness in our HM patients.
Using SS-OCT, especially large, single-scan protocols (9-12 mm) with horizontal and vertical orientation, we can see and analyze the curvature modifications produced by staphylomas in the posterior pole and the involved structures. This is especially useful in complex staphylomas.
SS-OCT enables us to detect macular pits and monitor lacquer cracks; we can also detect and define CC and study myopic retinoschisis in the macula and around the optic nerve. The pathogenesis of all of these problems is the elongation of myopic eyes.
In conclusion, SS-OCT grants significant improvements in the quality of OCT images that we are able to obtain from HM eyes, and this has resulted in the identification of new myopic-related pathologies now known as MTM and CC, among others, as well as advancements in the visualization and study of posterior staphylomas.
Prof. José M. Ruiz-Moreno, MD, PhD
• department of ophthalmology, Castilla La Mancha University, Albacete; Hospital Universitario Puerta de Hierro Majadahonda, Madrid, Spain
• Financial disclosure: Topcon (research support)