
The word future refers to a time yet to come, but in a continually innovative field such as retina, in which retinal implants, telemedicine, gene therapy, 3-D surgery, intraoperative optical coherence tomography (OCT), and robot-assisted retinal procedures are a reality, the future is already here.
AT A GLANCE
• Part of the difficulty in managing certain pediatric retinal diseases has to do with the limitations of current diagnostic equipment and surgical instrumentation.
• Shorter and stiffer small-gauge instrumentation allows better movement in smaller eyes.
• New intraoperative imaging options will improve the efficacy of pediatric vitreoretinal surgery.
Pediatric vitreoretinal diseases such as retinopathy of prematurity (ROP), persistent fetal vasculature, familial exudative vitreoretinopathy, and rhegmatogenous retinal detachment can have a wide array of causes and presentations. Part of the difficulty in managing certain pediatric retinal diseases has to do with the limitations of current options in diagnostic equipment and surgical instrumentation.
Several factors make surgical management challenging: the small size of the pediatric eye, pars plicata, and crystalline lens; the complex anatomy of the retina and vitreous; and the complex pathology of congenital diseases and proliferative vitreoretinopathy.1-6
Technologies, both diagnostic and surgical, continue to improve and allow us to perform vision-saving procedures in increasingly smaller patients. This article takes a closer look at some of the latest developments in pediatric retina surgery.
FUTURE TRENDS IN DIAGNOSTIC INSTRUMENTATION
Ultra-widefield Imaging
Ultrawide-field imaging enables us to record retinal images for diagnosis and follow-up in both cooperative and uncooperative infants. In our clinic we capture anterior segment and fundus images with the RetCam3 Ophthalmic Imaging System (Natus Medical) and the Daytona digital, nonmydriatic, ultra-widefield scanning laser ophthalmoscope (Optos). We have recently incorporated some newer equipment, such as the PanoCam (Visunex Medical Systems) and ICON (Phoenix Clinical) retinal cameras, into our practice. Some of these devices can capture fluorescein and indocyanine green angiography images (Figures 1 and 2). They can also document the clinical picture and provide specific data about disease progression before and after surgery.7,8
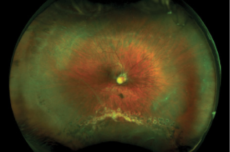
Figure 1. Daytona image of the eye of a 13-year-old boy referred to Bascom Palmer Eye Institute with a history of spontaneously regressed ROP. He was born at 26 weeks and had been treated with barricade laser around a localized inferior retinal detachment. He was closely observed with the aid of ultra-widefield imaging. The image shows 360° peripheral lattice degeneration. After 2 years of follow-up, the patient’s best corrected visual acuity was 20/20, and the inferior detachment remained stable.
Figure 2. RetCam3 image of the eye of a 4-year-old boy born at 41 weeks with a subluxated cataractous crystalline lens, persistent fetal vasculature, and coloboma. Remarkably elongated ciliary process is seen here prior to surgery.
OCTA
Much has been said about OCT angiography (OCTA) technology in adults, but what it can show us in children is yet to be well defined. OCTA relies on patient cooperation, which is limited in pediatric patients. With improved technology, upcoming prospective studies will yield relevant information for addressing different pathologies, especially in vascular conditions common in children, such as Coats disease.9,10
FUTURE TRENDS IN THE OR
Visualization Systems
Small–gauge visualization systems facilitate vitreoretinal surgery in small eyes. Several such systems are available or in the works.
Figure 3. Heads-up 3-D vitrectomy like that shown here with the Ngenuity 3D Visualization System (Alcon) is a promising tool in pediatric vitreoretinal surgery. The technology allows clear posterior hyaloid identification in posterior vitreous detachment, a critical step during pediatric surgery.
Binocular Indirect Ophthalmoscopy
The small-diameter nondisposable Oculus BIOM 5 Binocular Indirect Ophthalmomicroscope (Oculus Surgical) is the best visualization system for noncontact viewing of small eyes in vitreoretinal surgery at this time. Other noncontact lenses do not allow us to fit instrumentation into the eye and navigate as necessary.
Heads-up 3-D Viewing
The Ngenuity 3D Visualization System (Alcon) provides a clear view of the vitreous for performing posterior vitreous detachment and other procedures. At our center, this system has been useful in multiple types of complex pediatric surgeries such as for traumatic rhegmatogenous retinal detachment (RRD) with proliferative vitreoretinopathy, X-linked retinoschisis, subretinal cyst biopsy, and RRD repair in children with previous ROP (Figure 3).11,12 Ngenuity allows both experienced surgeons and trainees to be comfortable while performing vitreoretinal surgery. It is also a great tool for teaching vitreoretinal surgical techniques.
Endoscopy
Although there is a learning curve associated with endoscopy, it is a useful tool for pediatric retina surgeons. Endoscopy provides a different surgical perspective, allowing visual access to anterior pathologies that are not visible with a conventional microscope. Smaller gauges and improved image resolution and illumination would extend the procedure’s utility further.13
Intraoperative OCT
Intraoperative OCT is a revolutionary modality useful in many types of pediatric surgery. In the anterior segment, intraoperative OCT allows us to identify calcium deposits in Bowman layer in children with band keratopathy. It enables us to observe corneal changes during stromal hydration of corneal surgical wounds, to locate the anterior and posterior capsules during phacoemulsification, and to observe the pars plicata processes in surgery for subluxated lenses. It also aids in determining the depth of scleral windows and loops for scleral buckle placement.
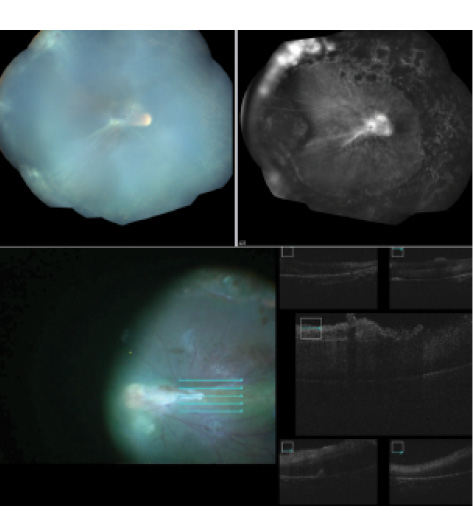
Figure 4. Images from a 6-year-old boy with lipoprotein receptor-related protein 5–positive familial exudative vitreoretinopathy with complex tractional retinal detachment. Based on intraoperative OCT findings during cataract surgery and silicone oil exchange, the decision was made to remove the epiretinal organized vitreous that was exerting traction on the peripheral retina.
At the posterior pole, the viewing technology has dramatically improved our understanding of vitreoretinal interface anomalies. For example, in the past we may not have removed membranes for fear of causing damage, but with intraoperative OCT we are now confident in removing membranes involved in tractional retinal detachments and macular dragging. Visualization of remaining subretinal fluid with intraoperative OCT enables us to perform complete fluid-air exchange for laser placement. The technology also helps us to ensure complete peeling of epiretinal membranes and to identify retinal atrophy to avoid doing maneuvers that will not lead to better visual prognosis (Figure 4).14,15
The more this technology is used, the more we understand the ways it can enhance our surgical techniques and outcomes in pediatric patients.
At Duke University, researchers have developed a heads-up stereoscopic display for use with 4-D microscope-integrated OCT (MIOCT). They have recently added an OCTA function that allows detailed evaluation of the retinal vessels without dye injection.16,17 Further study of this technology is needed.
Instrumentation
Shorter and stiffer small-gauge instrumentation allows better movement in smaller eyes.
The 25+ Short series of 25-gauge instruments (Alcon) is well designed for use in children, but it has some limitations. The infusion cannula that comes with this set must be sutured in place, the trocar has not been shortened, and the trocars are not valved. We usually open a set of valved trocars or, in some cases, go through the limbus or the sclera without the use of trocars when we use these instruments in pediatric vitreoretinal surgery.
Dutch Ophthalmic USA offers a 27-gauge short vitrectomy probe and endoilluminator. The 4-mm trocar is placed with a one-step sclerotomy into the vitreous cavity, reducing the probability of contact with the lens, which is known to be wider in the anteroposterior axis. Because of its shorter length, the trocar provides more secure movements inside the globe to avoid iatrogenic retinal touch.
THE FUTURE IS A CULMINATION OF INNOVATION
Pediatric vitreoretinal surgery will benefit from future technological inventions and innovations. However, the real objective should be to integrate all of these beneficial technologies into one. Imagine the headline “3-D Heads-up Vitreoretinal Surgery With Intraoperative 4-D OCT Delivering Microscopic Gene Therapy Under Controlled Circumstances With the Aid of a Robot.” It could happen!
1. Soheilian M, Ramezani A, Malihi M, et al. Clinical features and surgical outcomes of pediatric rhegmatogenous retinal detachment. Retina. 2009;29(4):545-551.
2. Soliman MM, Macky TA. Pediatric rhegmatogenous retinal detachment. Int Ophthalmol Clin. 2011;51(1):147-171.
3. Lee YS, Wang NK, Chen YP, et al. Plasmin enzyme-assisted vitrectomy in pediatric patients with vitreoretinal diseases. Ophthalmic Res. 2016;56(4):193-201.
4. Gurler B, Coskun E, Ösner V, et al. Clinical characteristics and surgical outcomes of pediatric rhegmatogenous retinal detachment. Int Ophthalmol. 2016;36(4):521-525.
5. Oono Y, Uehara K, Haruta M, Yamakawa R. Characteristics and surgical outcomes of pediatric rhegmatogenous retinal detachment. Clin Ophthalmol. 2012;6:939-943.
6. Fivgas GD, Capone A Jr. Pediatric rhegmatogenous retinal detachment. Retina. 2001;21(2):101-106.
7. Kang KB, Wessel MM, Tong J, et al. Ultra-widefield imaging for the management of pediatric retinal diseases. J Pediatr Ophthalmol Strabismus. 2013;50(5):282-288.
8. Tsui I, Franco-Cardenas V, Hubschman JP, Schwartz SD. Pediatric retinal conditions imaged by ultra-widefield fluorescein angiography. Ophthalmic Surg Lasers Imaging Retina. 2013;44(1):59-67.
9. Stanga PE, Papayannis A, Tsamis E, et al. Swept-source optical coherence tomography angiography of pediatric macular diseases. Dev Ophthalmol. 2016;56:166-173.
10. Yonekawa Y, Todorich B, Trese MT. Optical coherence tomography angiography findings in Coats’ disease. Ophthalmology. 2016;123(9):1964.
11. Eckardt C, Paulo EB. Heads-up surgery for vitreoretinal procedures: an experimental and clinical study. Retina. 2016;34(1):137-147.
12. Kunikata H, Nakazawa T. Heads-up macular surgery with a 27-gauge microincision vitrectomy system and minimal illumination. Case Rep Ophthalmol. 2016;7(3):265-269.
13. Wong SC, Lee TC, Heier JS. 23-gauge endoscopic vitrectomy. Dev Ophthalmol. 2014;54:108-119.
14. Ehlers JP, Goshe J, Dupps WJ, et al. Determination of feasibility and utility of microscope-integrated OCT during ophthalmic surgery: the DISCOVER study RESCAN results. JAMA Ophthalmol. 2015;133(10):1124-1132.
15. Siebelmann S, Hermann M, Dietlein T, Bachmann B, Steven P, Cursiefen C. Intraoperative optical coherence tomography in children with anterior segment anomalies. Ophthalmology. 2015;122(12):2582-2584.
16. Shen L, Carrasco-Zevallos O, Keller B, et al. Novel-microscope integrated stereoscopic heads-up display for intrasurgical optical coherence tomography. Biomed Opt Express. 2016;7(5):1711-1726.
17. Chen X, Viehland C, Carrasco-Zevallos OM, et al. Microscope-integrated optical coherence tomography angiography in the operating room in young children with retinal vascular disease. JAMA Ophthalmol. 2017;135(5):483-486.
Audina M. Berrocal, MD
• a professor of clinical ophthalmology, medical director of pediatric retina and retinopathy of prematurity, and vitreoretinal fellowship co-director at the Bascom Palmer Eye Institute, Miami, Fla.
• member of the Retina Today editorial advisory board
• financial disclosure: consultant for Alcon, Dutch Ophthalmic Research Center International BV, and Visunex Medical Systems
• aberrocal@med.miami.edu
Linda A. Cernichiaro-Espinosa, MD
• a vitreoretinal surgeon and a pediatric retina research fellow at the Bascom Palmer Eye Institute, Miami, Fla.
• financial interest: none acknowledged
• linda.cernichiaro@gmail.com