
The etiology of epiretinal membrane (ERM) is often related to proliferative disease, inflammation, uveitis, or trauma, but ERM can also be idiopathic. The pathology is not completely understood. It is believed that migration of glial cells through defects in the internal limiting membrane (ILM) and into the vitreous cavity causes ERM to develop on the surface of the ILM. This proliferative process is mainly triggered by growth factors and cytokines.1
AT A GLANCE
• Due to the fairly slow progression and minimal initial symptoms of ERM, surgery is often delayed until symptoms become advanced.
• Recent developments in surgery and imaging have raised the possibility of earlier intervention in patients with ERM.
• If early surgery is undertaken, complete removal is the goal, but peeling must be as smooth as possible to minimize damage.
Due to the fairly slow progression and minimal initial symptoms of ERM, it is common for patients to be observed for long periods after an initial consultation. Surgery is usually advised after the condition has been monitored for quite some time, most frequently when patients develop more pronounced progressive visual blurring with or without distortion. Immediate surgery for ERM is not the general rule.
Prediction of visual outcome is essential for patient counseling and for weighing the risks and benefits of surgery. But surgical indications have not been standardized, and therefore clinical outcomes may vary considerably.2-5
The common classical criterion to indicate surgery is usually the decrease of visual acuity (VA) to 20/70 Snellen or worse. Patients with better vision are counseled based on their particular needs. The presence of concomitant metamorphopsia tends to speed up the surgical decision-making process.
Recently, developments in surgery and imaging have raised the possibility of earlier intervention in such patients.
OPERATING TOO LATE?
We have been performing surgery in eyes with ERM for decades, and final visual acuity does not recover to 20/20 in a fair number of patients. In fact, a final best corrected VA of 20/20 is quite rare in such eyes, particularly when the diagnosis was made late in the history of the disease or when surgery was postponed.
Vitreoretinal surgery has evolved dramatically in recent decades. We now have microincision vitrectomy surgery (MIVS) techniques, valved trocars, and a wide array of viewing systems available. A new generation of vitrectomy machines with superfast cutters, brighter illumination, and better fluidics has emerged. We have a selection of dyes to enhance visualization of tissues and facilitate membrane peeling. All of this has led to fewer complications such as iatrogenic breaks and retinal detachments. Patients also experience minimal inflammation postoperatively.
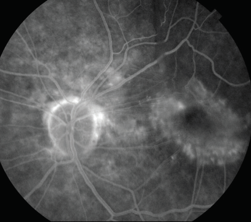
Some authors have reported that severe foveal dystopia in ERM may lead to capillary leakage and subsequent damage to retinal pigment epithelial cells and photoreceptors (Figures 1 and 2).6 Lo and colleagues observed that the extent of tractional dystopia correlates with decreased VA. Patients with extreme degrees of this dystopia may benefit from early intervention to prevent irreversible structural and functional changes.6
Figure 1. Fundus color photograph of an eye with ERM showing macular traction, foveal dystopia, and pronounced leakage.
Figure 2. Fluorescein angiography in an eye with ERM showing macular traction, foveal dystopia, and pronounced leakage.
So, are we operating too late in ERM? Are we waiting for such damage to occur?
ADD ILM PEELING?
The recurrence rate of ERM has reached 21% in some reports.7 After ERM peeling, we may leave cells behind in as many as one-fifth of cases. These cells, including glial cells, hyalocytes, and myofibroblasts, may support the regrowth of new tissue over the surface of the retina. Both recurrence and incomplete recovery of final VA are also thought to be related to incomplete removal of ERM.7
Concomitant peeling of the ILM has been proposed to minimize recurrence. Adding this step would eliminate the scaffold for cellular reproliferation. On the other hand, the removal of the ILM itself, or any additional damage that occurs to the retina during this maneuver, might account for less favorable outcomes.7,8
Some reports have demonstrated that eyes that had simultaneous ILM and ERM peeling experienced slower restoration of the retinal anatomy compared with eyes that had ERM peeling only. In addition, the recovery of VA was observed much later in eyes with both ILM and ERM peeling.9
IMAGING AID
The recent introduction of an array of ancillary tests, including spectral-domain optical coherence tomography (SD-OCT), microperimetry, and many others, has given us the ability to use multimodal imaging to examine our patients and their diseases. This assortment of sophisticated tools has empowered researchers to analyze possible predictors of final outcomes in diseased eyes. Multiple parameters, including preoperative VA, metamorphopsia, central foveal thickness, the thickness of separate layers, integrity of the external limiting membrane, integrity of the ellipsoid zone, the appearance of cone outer segment tips, fundus autofluorescence, and multifocal electroretinography, have all been subjects of research by a range of authors.10-12
Scheerlink and colleagues recently performed a thorough meta-analysis of papers describing possible predictors of final VA in patients who underwent surgery for ERM. They concluded that the only factors with an impact on final outcome were preoperative absolute VA, integrity of the ellipsoid zone of the retina, and severity of metamorphopsia.13 Interestingly, these factors can also all be related to duration of symptoms.
After ERM surgery, the macula rarely returns to its original shape, even after months or years. Surgeons frequently see a thicker retina with or without cystic changes. Using SD-OCT, Hartmann and coworkers showed that restoration of foveal contour was observed in only about half of operated patients.6
A recent publication of a series of patients with VA greater than 20/50 preoperatively reported that almost half of the patients improved final VA by 1 Snellen line, and 25% kept their initial VA. Ten percent of patients lost VA with no specific defects observed on SD-OCT.14
THE BEST APPROACH?
Given all of this, what is the best current approach for patients with a diagnosis of ERM?
It is well known that VA in patients with ERM may decrease slowly. Surgery usually improves final VA, and the risk for complications is low.
Observation makes sense initially in eyes of almost asymptomatic patients whose best corrected VA is greater than 20/30. However, recent reports have shown some evidence that waiting too long might increase the risk of a worse overall outcome. Long periods of preoperative leakage may lead to damage to retina cells. Therefore, this should be avoided or minimized.
Complete ERM removal is the goal, but the peeling must be as smooth as possible to minimize severe stretching of the underlying retina and subsequent structural damage. The surgeon should consider leaving the ILM intact in very mild cases and should bear in mind that dyes and light pipes can cause retinal toxicity.
In summary, although this is still a topic wide open for debate, surgical intervention may be considered earlier in order to provide a better final VA in eyes with ERM. Future studies will help us to better understand the importance of early vitrectomy in this group of patients.
1. Harada C, Mitamura Y, Harada T. The role of cytokines and trophic factors in epiretinal membranes: involvement of signal transduction in glial cells. Prog Retin Eye Res. 2006;25(2):149-164.
2. Margherio RR, Cox MS Jr, Trese MT, Murphy PL, Johnson J, Minor LA. Removal of epimacular membranes. Ophthalmology. 1985;92(8):1075-1083.
3. Rice TA, De Bustros S, Michels RG, Thompson JT, Debanne SM, Rowland DY. Prognostic factors in vitrectomy for epiretinal membranes of the macula. Ophthalmology. 1986;93(5):602-610.
4. Sandali O, Sanharawi MEL, Basli E, et al. Incidence, characteristics, evolution, and preventive and risk factors. Retina. 2013;33(10):2032-2038.
5. Dawson SR, Shunmugam M, Williamson TH. Visual acuity outcomes following surgery for idiopathic epiretinal membrane: an analysis of data from 2001 to 2011. Eye (Lond). 2014;28(2):219-224.
6. Lo D, Heussen F, Ho HK, et al. Structural and functional implications of severe foveal dystopia in epiretinal membranes. Retina. 2012;32(2):340-348.
7. Park DW, Dugel PU, Garda J, et al. Macular pucker removal with and without ILM peeling: pilot study. Ophthalmology. 2003;110(1):62-64.
8. Lois N, Burr J, Norrie J, et al. Internal limiting membrane peeling versus no peeling for idiopathic full-thickness macular hole: a pragmatic randomized controlled trial. Invest Ophthalmol Vis Sci. 2011;52(3):1586-1592.
9. Hartmann KI, Schuster AK, Bartsch D-Y, Kim JS, Chhablani J, Freeman WR. Restoration of retinal layers after epiretinal membrane peeling. Retina. 2014;34(4):647-654.
10. Hashimoto Y, Saito W, Saito M, et al. Retinal outer layer thickness increases after vitrectomy for epiretinal membrane, and visual improvement positively correlates with photoreceptor outer segment length. Graefes Arch Clini Exp Ophthalmol. 2014;252(2):219-226.
11. Inoue M, Morita S, Watanabe Y, et al. Inner segment/outer segment junction assessed by spectral-domain optical coherence tomography in patients with idiopathic epiretinal membrane. Am J Ophthalmol. 2010;150(6):834-839.
12. Kunikata H, Abe T, Kinukawa J, Nishida K. Preoperative factors predictive of postoperative decimal visual acuity ≥ 1.0 following surgical treatment for idiopathic epiretinal membrane. Clin Ophthalmol. 2011;5:147-154.
13. Scheerlinck LME, van der Valk R, van Leeuwen R. Predictive factors for postoperative visual acuity in idiopathic epiretinal membrane: a systematic review. Acta Ophthalmol. 2015;93(3):203-212.
14. Chinskey ND, Shah GK. Epiretinal membrane peeling in patients with good preoperative vision. Journal of Vitreoretinal Diseases. 2017;1(1):52-56.
André V. Gomes, MD, PhD
• Chief, Retina Service, OSC Institute, São Paulo, Brazil
• andremv@uol.com.br
• Financial disclosure: Consultant (Alcon/Novartis, Dutch Ophthalmic Research Center)