
Retinal vein occlusion (RVO) is the second leading cause of retinal vascular disease, with reported cumulative annual incidence of 1.8% for branch RVO (BRVO) and 0.5% for central RVO (CRVO),1,2 and bilateral or subsequent incidences of 6.4% and 0.9%, respectively.1,3,4
AT A GLANCE
• OCT is the gold standard imaging modality in the management of patients with RVO.
• Fundus photography and fluorescein angiography are acceptable and helpful alternatives.
• Newer imaging methods are promising but should be employed with caution until more data are available.
The postulated mechanism of action involves impingement of venules at the shared adventitial sheath by crossing arterioles leading to turbulence, stasis, thrombosis, and occlusion.5,6 Response to anti-VEGF and antiinflammatory agents has empirically demonstrated that inflammatory factors play a more important role in RVO than previously presumed, beyond the obvious ischemia. These processes, seemingly mediated by released VEGF, induce retinal edema, retinal hemorrhages, and ischemia, thereby compromising visual function (Figure 1).7-9
Figure 1. The BRVO seen in this fundus photograph features intraretinal blot hemorrhages and soft exudates in the distribution of the occluded superotemporal vein.
Because diabetes, hypertension, hypercoagulable states, and vasculitis are associated with a higher incidence of RVO, cooperation with an internist is advised. History of CRVO in the same or fellow eye, open-angle glaucoma, or retrobulbar external compression, as in thyroid orbitopathy or other orbital masses, also predispose an individual to RVO.10-12
Objectively assessing RVO severity and determining prognosis of the condition depend on imaging studies. All clinical trials in RVO have relied heavily on various imaging modalities to standardize eligibility and treatment monitoring. This article reviews the use of some established imaging modalities in these important clinical trials and looks ahead at some promising new imaging technologies.
ESTABLISHED TREATMENT OPTIONS
Management of RVO with laser photocoagulation, anti-VEGF agents, and corticosteroids has been well established (Tables 1 and 2).13-29

Laser Photocoagulation
The Branch Vein Occlusion Study (BVOS) recommended focal laser photocoagulation for BRVO causing visual acuity of 20/40 or worse and macular edema.13,14 Evidence of center-involving macular edema on fluorescein angiography (FA) was the critical entry criterion. Separately, scatter photocoagulation to the involved segment was found to prevent occurrence of vitreous hemorrhage if neovascularization developed.
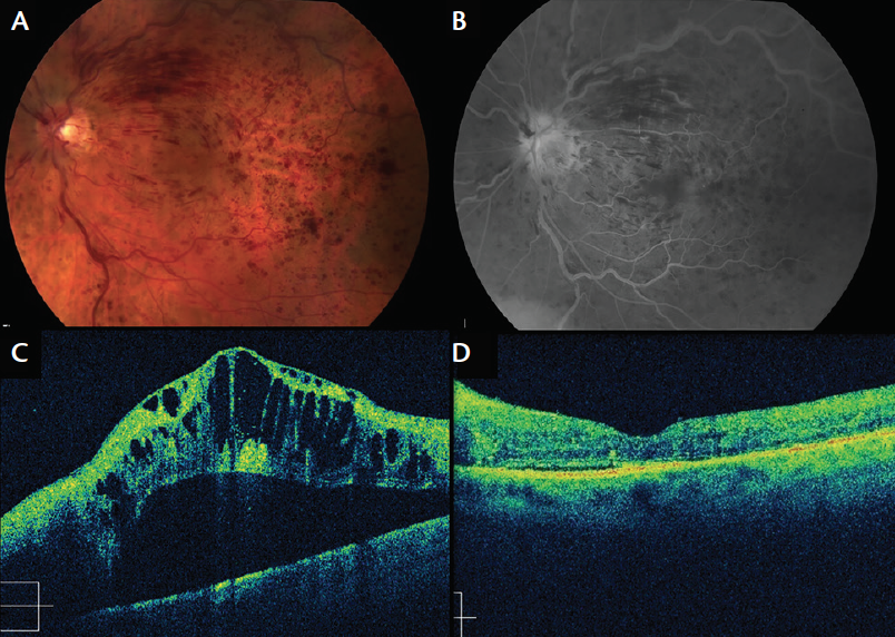
The Central Vein Occlusion Study (CVOS) reported that panretinal photocoagulation reduced visual loss when 2 or more clock hours of iris neovascularization or more than 10 disc areas of capillary nonperfusion was present, but macular grid photocoagulation did not reduce visual acuity loss caused by macular edema.3,15-18 FA provided the gold standard for eligibility and monitoring of edema and extent of capillary nonperfusion (Figure 2).
Figure 2. An 80-year-old woman with diabetes and hypertension presented with decreased visual acuity (20/200) and CRVO in her left eye. Fundus photograph shows the presence of disc edema, venous tortuosity, and diffuse retinal hemorrhages (A). FA of the left eye highlights corresponding areas of disc leakage, vessel wall staining, flame-shaped blocked fluorescein, and diffuse capillary nonperfusion (B). OCT of the macula shows cystoid maculopathy with neurosensory detachment (C). OCT at 1-year follow-up after patient received five intravitreal ranibizumab (Lucentis; Genentech) injections with marked resolution of cystoid changes and neurosensory detachment (D). The patient’s visual acuity at last follow-up visit improved to 20/60.
Anti-VEGF Therapy
Anti-VEGF agents antagonize the effect of VEGF and generally arrest or even reverse disease progression in a multitude of retinal and choroidal vascular conditions including RVO. The BRAVO,19,20 VIBRANT,21 and PACORES22 trials reported a beneficial role of anti-VEGF therapy for macular edema and retinal neovascularization in BRVO based on visual acuity and features defined by optical coherence tomography (OCT), FA, and fundus photography. The CRUISE,23 COPERNICUS,24 and GALILEO25 clinical trials also used fundus photography and OCT to standardize assessment of macular edema due to CRVO at baseline and during anti-VEGF treatment.
Corticosteroids
Corticosteroids reduce breakdown of the blood-retina barrier and may help in the management of macular edema due to RVO. The SCORE BRVO,26 SCORE CRVO,27 and GENEVA28 clinical trials established the safety and efficacy of intravitreal triamcinolone acetate injection and the dexamethasone intravitreal implant 0.7 mg (Ozurdex; Allergan) in the management of macular edema associated with RVO. Fundus photography and OCT were the defining imaging modalities for all participating patients.
The SCORE2 trial reported that the effect of intravitreal bevacizumab (Avastin; Genentech) was noninferior to that of aflibercept (Eylea; Regeneron) for visual acuity in patients with CRVO or hemi-RVO.29 OCT-acquired retinal thickness provided the gold standard for eligibility and monitoring of edema in that trial.
IMAGING MODALITIES
As the information above suggests, imaging technologies have played major roles in pivotal clinical trials in RVO.13-29 Imaging modalities continue to expand in scope and capabilities, and some of these expanded capabilities may prove valuable, but validation, as in the clinical trial setting, is needed before they are fully adopted (Table 3).

Existing Imaging Options
Fundus photography allows documentation and grading of the clinical picture and may be important for correlation with results of other modalities. Widefield fundus photography expands the standard 30˚ to 50˚ field of view to 200˚, which covers approximately 80% of the retina in a single view. It produces a static morphologic rendering, however.
FA provides functional information—including extent of macular ischemia, vascular leakage, and neovascularization—that was integral to studies delineated above. Other FA features include delayed arm-to-retina time, prolonged arteriovenous transit time, late staining of vessel walls, and distinguishing between collateral vessels and new vessels. Extensive retinal hemorrhages may obscure and limit determination of capillary nonperfusion on FA. Widefield FA, like its fundus photography counterpart, may provide potentially important information on vascular function. An important drawback of FA is the need for intravenous dye instillation, which leads to some morbidity (but minimal risk) and may consume important resources of personnel and clinic time.
OCT has emerged as the gold standard for qualitative and quantitative assessment of macular thickness and has played an important role in establishing eligibility and response to laser photocoagulation, intravitreal anti-VEGF therapy, and corticosteroid use in clinical trials. Initially OCT depended on a time-domain based methodology; spectral-domain capabilities (aka Fourier domain) have since been applied to produce far superior imaging (approximately threefold better axial resolution and 100-fold faster scan speed). Spectral-domain OCT (SD-OCT) represents the state of-the-art standard for clinical and research protocols. Another modification, swept-source OCT, uses a short-cavity swept laser instead of the superluminescent diode laser typical of SD-OCT, providing the highest imaging speeds to date, with 100,000 A-scans obtained per second, visualization of deeper tissues, a high axial resolution (5 µm), and an improved signal-to-noise ratio.
OCT angiography (OCTA) allows imaging of the perfused retinal vasculature by acquiring high speed, sequential OCT A-scans at the same retinal locus and then processing complex digital subtraction algorithms to analyze differences created by the moving columns of blood (Figure 3). A limitation of OCTA is that it does not provide imaging of vascular leakage or nonperfused vessels, and its imaging of new vessels might be imprecise. Distortion of the host retina, as with macular edema or atrophy, may also compromise image quality.
Photo courtesy of Gabor Mark Somfai, MD, PhD
Figure 3. View of CRVO using OCTA.
Emerging Imaging Modalities
Flow and perfusion data may be vital prognostic and therapeutic monitoring parameters. There are several noninvasive imaging systems that are still unvalidated but that may allow calculation of blood flow, functional assessment such as oximetry, or better vessel resolution.
Blood Flow Assessment
Laser Doppler flowmetry measures capillary blood volumetric flow by using Doppler shifts in laser light scattered from vascularized retinal tissue.30,31 Decreased blood volume, flow, and velocity have been reported in BRVO areas compared with age-matched normal areas.32
Retinal function imaging is a high-resolution functional imaging technology that, like OCTA, tracks flow elements to yield blood flow velocity33,34 (and possibly flow if coupled with vascular volumetrics35) and oximetry measurements. It has demonstrated decreased blood flow velocities in both arterioles and venules of the macular region in patients with CRVO and BRVO.36 As with FA, retinal hemorrhages may limit imaging of retinal vessels.
Laser speckle contrast imaging/flowgraphy visualizes and measures relative blood flow distribution based on speckle pattern measurements in real time (Figure 4).37-41 It has shown significant correlation with the flow modalities described above in rabbit and human retinas,42,43 and in CRVO treatment response.44
Images courtesy of Vasoptic Medical
Figure 4. Laser speckle contrast imaging (LSCI) XyCAM RI (Vasoptic Medical) retinal imaging device mounted on a slit-lamp base for fine motion adjustment (A). Fundus photograph taken with green light illumination (B). Fundus images of a healthy individual acquired using LSCI (C).
Functional Assessment
Two-wavelength oximetry estimates oxygen saturation levels from distinctive spectral signatures of oxyhemoglobin and deoxyhemoglobin in the retinal blood vessels. Studies have shown reduced oxygen saturation values in occluded arteries and veins.45-49 Large intravessel variability and the lack of a normative data set limit the diagnostic power of these techniques.
Hyperspectral imaging is an improvement over the existing two-wavelength oximetry technique; it enables complete fundus oximetry by measuring relative changes in oxygen saturation of the retinal macro- and microcirculation.50-52
Better Vessel Resolution
Adaptive optics fundus imaging is based on the same optical principles used in astronomical adaptive optic telescopes to reduce the effect of aberrations.53 It can yield a transverse resolution of 2.5 µm, allowing visualization of capillaries and the outer segment cones,54 3-D cellular imaging,55 and the detection of fluorescent signals.56 Various microscopic subclinical vascular changes, such as capillary occlusion, recanalization and reperfusion,57 have been demonstrated in diabetic retina before they become visible clinically.58-67
Multispectral imaging visualizes the retinal layers at multiple wavelengths ranging from 550 nm to 950 nm.68 Xu et al reported identifying vascular abnormalities in RVO using this modality.69
IMAGE WISELY
OCT is the gold standard imaging modality in the management of RVO. It provides value by supplementing clinical evaluation in the diagnosis and management of RVO. Fundus photography and FA help clinicians to document the disease process, and both have been widely used in clinical trials.
Although the newer diagnostic modalities described above offer noninvasive insights into vascular function, they require extensive validation in larger studies. Thus, management guidelines for RVO should be based on pivotal clinical trials, but they may need revision in the future. Newer imaging modalities should be used with caution.
1. Klein R, Moss SE, Meuer SM, Klein BE. The 15-year cumulative incidence of retinal vein occlusion: the Beaver Dam Eye Study. Arch Ophthalmol. 2008;126(4):513-518.
2. Barnett EM, Fantin A, Wilson BS, Kass MA, Gordon MO; Ocular Hypertension Treatment Study Group. The incidence of retinal vein occlusion in the ocular hypertension treatment study. Ophthalmology. 2010;117(3):484-488.
3. [no authors listed]. Natural history and clinical management of central retinal vein occlusion. The Central Vein Occlusion Study Group. Arch Ophthalmol. 1997;115(4):486-491.
4. Cugati S, Wang JJ, Rochtchina E, Mitchell P. Ten-year incidence of retinal vein occlusion in an older population: the Blue Mountains Eye Study. Arch Ophthalmol. 2006;124(5):726-732.
5. Zhao J, Sastry SM, Sperduto RD, Chew EY, Remaley NA. Arteriovenous crossing patterns in branch retinal vein occlusion. The Eye Disease Case-Control Study Group. Ophthalmology. 1993;100(3):423-428.
6. Weinberg D, Dodwell DG, Fern SA. Anatomy of arteriovenous crossings in branch retinal vein occlusion. Am J Ophthalmol. 1990;109(3):298-302.
7. Pe’er J, Shweiki D, Itin A, Hemo I, Gnessin H, Keshet E. Hypoxia-induced expression of vascular endothelial growth factor by retinal cells is a common factor in neovascularizing ocular diseases. Lab Invest. 1995;72(6):638-645.
8. Pe’er J, Folberg R, Itin A, Gnessin H, Hemo I, Keshet E. Vascular endothelial growth factor upregulation in human central retinal vein occlusion. Ophthalmology. 1998;105(3):412-416.
9. Michels RG, Gass JD. The natural course of retinal branch vein obstruction. Trans Am Acad Ophthalmol Otolaryngol. 1974;78(2):OP166-177.
10. [no authors listed]. Risk factors for branch retinal vein occlusion. The Eye Disease Case-control Study Group. Am J Ophthalmol. 1993;116(3):286-296.
11. [no authors listed]. Risk factors for central retinal vein occlusion. The Eye Disease Case-Control Study Group. Arch Ophthalmol. 1996;114(5):545-554.
12. Sperduto RD, Hiller R, Chew E, et al. Risk factors for hemiretinal vein occlusion: comparison with risk factors for central and branch retinal vein occlusion: the eye disease case-control study. Ophthalmology. 1998;105(5):765-771.
13. [no authors listed]. Argon laser photocoagulation for macular edema in branch vein occlusion. The Branch Vein Occlusion Study Group. Am J Ophthalmol. 1984;98(3):271-282.
14. [no authors listed]. Argon laser scatter photocoagulation for prevention of neovascularization and vitreous hemorrhage in branch vein occlusion. A randomized clinical trial. Branch Vein Occlusion Study Group. Arch Ophthalmol. 1986;104(1):34-41.
15. [no authors listed]. Baseline and early natural history report. The Central Vein Occlusion Study. Arch Ophthalmol. 1993;111(8):1087-1095.
16. [no authors listed]. Central vein occlusion study of photocoagulation therapy. Baseline findings. Central Vein Occlusion Study Group. Online J Curr Clin Trials. 1993;Doc No 95.
17. [no authors listed]. A randomized clinical trial of early panretinal photocoagulation for ischemic central vein occlusion. The Central Vein Occlusion Study Group N report. Ophthalmology. 1995;102(10):1434-1444.
18. [no authors listed]. Evaluation of grid pattern photocoagulation for macular edema in central vein occlusion. The Central Vein Occlusion Study Group M report. Ophthalmology. 1995;102(10):1425-1433.
19. Campochiaro PA, Heier JS, Feiner L, et al; BRAVO Investigators. Ranibizumab for macular edema following branch retinal vein occlusion: six-month primary end point results of a phase III study. Ophthalmology. 2010;117(6):1102-1112.e1.
20. Brown DM, Campochiaro PA, Bhisitkul RB, et al. Sustained benefits from ranibizumab for macular edema following branch retinal vein occlusion: 12-month outcomes of a phase III study. Ophthalmology. 2011;118(8):1594-1602.
21. Campochiaro PA, Clark WL, Boyer DS, et al. Intravitreal aflibercept for macular edema following branch retinal vein occlusion: the 24-week results of the VIBRANT study. Ophthalmology. 2015;122(3):538-544.
22. Wu L, Arevalo JF, Roca JA, et al; pan-American Collaborative Retina Study Group (PACORES). Comparison of two doses of intravitreal bevacizumab (Avastin) for treatment of macular edema secondary to branch retinal vein occlusion: results from the Pan-American Collaborative Retina Study Group at 6 months of follow-up. Retina. 2008;28(2):212-219.
23. Brown DM, Campochiaro PA, Singh RP, et al; CRUISE Investigators. Ranibizumab for macular edema following central retinal vein occlusion: six-month primary end point results of a phase III study. Ophthalmology. 2010;117(6):1124-1133.e1.
24. Boyer D, Heier J, Brown DM, et al. Vascular endothelial growth factor trap-eye for macular edema secondary to central retinal vein occlusion: six-month results of the phase 3 COPERNICUS study. Ophthalmology. 2012;119(5):1024-1032.
25. Holz FG, Roider J, Ogura Y, et al. VEGF trap-eye for macular oedema secondary to central retinal vein occlusion: 6-month results of the phase III GALILEO study. Br J Ophthalmol. 2013;97(3):278-284.
26. Scott IU, Ip MS, VanVeldhuisen PC, et al; SCORE Study Research Group. A randomized trial comparing the efficacy and safety of intravitreal triamcinolone with standard care to treat vision loss associated with macular edema secondary to branch retinal vein occlusion: the Standard Care vs Corticosteroid for Retinal Vein Occlusion (SCORE) study report 6. Arch Ophthalmol. 2009;127(9):1115-1128.
27. Ip MS, Scott IU, VanVeldhuisen PC, et al; SCORE Study Research Group. A randomized trial comparing the efficacy and safety of intravitreal triamcinolone with observation to treat vision loss associated with macular edema secondary to central retinal vein occlusion: the Standard Care vs Corticosteroid for Retinal Vein Occlusion (SCORE) study report 5. Arch Ophthalmol. 2009;127(9):1101-1114.
28. Haller JA, Bandello F, Belfort R Jr, et al; OZURDEX GENEVA Study Group. Randomized, sham-controlled trial of dexamethasone intravitreal implant in patients with macular edema due to retinal vein occlusion. Ophthalmology. 2010;117(6):1134-1146.e3.
29. Scott IU, VanVeldhuisen PC, Ip MS, et al; SCORE2 Investigator Group. Effect of bevacizumab vs aflibercept on visual acuity among patients with macular edema due to central retinal vein occlusion: the SCORE2 randomized clinical trial. JAMA. 2017;317(20):2072-2087.
30. Petrig BL, Riva CE, Hayreh SS. Laser Doppler flowmetry and optic nerve head blood flow. Am J Ophthalmol. 1999;127(4):413-425.
31. Riva CE. Basic principles of laser Doppler flowmetry and application to the ocular circulation. Int Ophthalmol. 2001;23(4-6):183-189.
32. Avila CP Jr, Bartsch DU, Bitner DG, et al. Retinal blood flow measurements in branch retinal vein occlusion using scanning laser Doppler flowmetry. Am J Ophthalmol. 1998;126(5):683-690.
33. Vanzetta I, Grinvald A. Increased cortical oxidative metabolism due to sensory stimulation: implications for functional brain imaging. Science. 1999;286(5444):1555-1558.
34. Grinvald A, Bonhoeffer T, Vanzetta I, et al. High-resolution functional optical imaging: from the neocortex to the eye. Ophthalmol Clin North Am. 2004;17(1):53-67.
35. Bohni SC, Howell JP, Bittner M, et al. Blood flow velocity measured using the Retinal Function Imager predicts successful ranibizumab treatment in neovascular age-related macular degeneration: early prospective cohort study. Eye (Lond). 2015;29(5):630-636.
36. Campagnoli TR, Somfai GM, Tian J, DeBuc DC, Smiddy WE. Noninvasive, high-resolution functional macular imaging in subjects with retinal vein occlusion. Ophthalmic Surg Lasers Imaging Retina. 2017;48(10):799-809.
37. Shiga Y, Asano T, Kunikata H, et al. Relative flow volume, a novel blood flow index in the human retina derived from laser speckle flowgraphy. Invest Ophthalmol Vis Sci. 2014;55(6):3899-3904.
38. Boas DA, Dunn AK. Laser speckle contrast imaging in biomedical optics. J Biomed Opt. 2010;15(1):011109.
39. Rege A, Murari K, Li N, Thakor NV. Imaging microvascular flow characteristics using laser speckle contrast imaging. Conference proceedings: Annual International Conference of the IEEE Engineering in Medicine and Biology Society IEEE Engineering in Medicine and Biology Society Annual Conference. 2010;2010:1978-1981.
40. Sugiyama T, Araie M, Riva CE, Schmetterer L, Orgul S. Use of laser speckle flowgraphy in ocular blood flow research. Acta Ophthalmol. 2010;88(7):723-729.
41. Fujii H, Nohira K, Yamamoto Y, Ikawa H, Ohura T. Evaluation of blood flow by laser speckle image sensing. Part 1. Appl Opt. 1987;26(24):5321-5325.
42. Nagahara M, Tamaki Y, Tomidokoro A, Araie M. In vivo measurement of blood velocity in human major retinal vessels using the laser speckle method. Invest Ophthalmol Vis Sci. 2011;52(1):87-92.
43. Tamaki Y, Araie M, Kawamoto E, Eguchi S, Fujii H. Noncontact, two-dimensional measurement of retinal microcirculation using laser speckle phenomenon. Invest Ophthalmol Vis Sci. 1994;35(11):3825-3834.
44. Matsumoto M, Suzuma K, Fukazawa Y, et al. Retinal blood flow levels measured by laser speckle flowgraphy in patients who received intravitreal bevacizumab injection for macular edema secondary to central retinal vein occlusion. Retin Cases Brief Rep. 2014;8(1):60-66.
45. Hammer M, Vilser W, Riemer T, et al. Diabetic patients with retinopathy show increased retinal venous oxygen saturation. Graefes Arch Clin Exp Ophthalmol. 2009;247(8):1025-1030.
46. Hardarson SH, Elfarsson A, Agnarsson BA, Stefansson E. Retinal oximetry in central retinal artery occlusion. Acta Ophthalmol. 2013;91(2):189-190.
47. Hardarson SH, Stefansson E. Oxygen saturation in branch retinal vein occlusion. Acta Ophthalmol. 2012;90(5):466-470.
48. Hardarson SH, Stefansson E. Oxygen saturation in central retinal vein occlusion. Am J Ophthalmol. 2010;150(6):871-875.
49. Hardarson SH, Stefansson E. Retinal oxygen saturation is altered in diabetic retinopathy. Br J Ophthalmol. 2012;96(4):560-563.
50. Khoobehi B, Beach JM, Kawano H. Hyperspectral imaging for measurement of oxygen saturation in the optic nerve head. Invest Ophthalmol Vis Sci. 2004;45(5):1464-1472.
51. Dwight JG, Weng CY, Coffee RE, Pawlowski ME, Tkaczyk TS. Hyperspectral image mapping spectrometry for retinal oximetry measurements in four diseased eyes. Int Ophthalmol Clin. 2016;56(4):25-38.
52. Kashani AH, Lopez Jaime GR, Saati S, et al. Noninvasive assessment of retinal vascular oxygen content among normal and diabetic human subjects: a study using hyperspectral computed tomographic imaging spectroscopy. Retina. 2014;34(9):1854-1860.
53. Dreher AW, Bille JF, Weinreb RN. Active optical depth resolution improvement of the laser tomographic scanner. Appl Opt. 1989;28(4):804-808.
54. Ra E, Ito Y, Kawano K, et al. Regeneration of photoreceptor outer segments after scleral buckling surgery for rhegmatogenous retinal detachment. Am J Ophthalmol. 2017;177:17-26.
55. Liba O, SoRelle ED, Sen D, de la Zerda A. Contrast-enhanced optical coherence tomography with picomolar sensitivity for functional in vivo imaging. Sci Rep. 2016;6:23337.
56. Tam J, Liu J, Dubra A, Fariss R. In vivo imaging of the human retinal pigment epithelial mosaic using adaptive optics enhanced indocyanine green ophthalmoscopy. Invest Ophthalmol Vis Sci. 2016;57(10):4376-4384.
57. Chui TY, Pinhas A, Gan A, et al. Longitudinal imaging of microvascular remodelling in proliferative diabetic retinopathy using adaptive optics scanning light ophthalmoscopy. Ophthalmic Physiol Opt. 2016;36(3):290-302.
58. Delori FC. Noninvasive technique for oximetry of blood in retinal vessels. Appl Opt. 1988;27(6):1113-1125.
59. Hickam JB, Sieker HO, Frayser R. Studies of retinal circulation and A-V oxygen difference in man. Trans Am Clin Climatol Assoc. 1959;71:34-44.
60. Laing RA, Cohen AJ, Friedman E. Photographic measurements of retinal blood oxygen saturation: falling saturation rabbit experiments. Invest Ophthalmol. 1975;14(8):606-610.
61. Tam J, Dhamdhere KP, Tiruveedhula P, et al. Subclinical capillary changes in non-proliferative diabetic retinopathy. Optom Vis Sci. 2012;89(5):E692-703.
62. Tam J, Dhamdhere KP, Tiruveedhula P, et al. Disruption of the retinal parafoveal capillary network in type 2 diabetes before the onset of diabetic retinopathy. Invest Ophthalmol Vis Sci. 2011;52(12):9257-9266.
63. Zaleska-Zmijewska A, Piatkiewicz P, Smigielska B, et al. Retinal photoreceptors and microvascular changes in prediabetes measured with adaptive optics (rtx1): a case-control study. J Diabetes Res. 2017;2017:4174292.
64. Gallo A, Mattina A, Rosenbaum D, Koch E, Paques M, Girerd X. Retinal arteriolar remodeling evaluated with adaptive optics camera: Relationship with blood pressure levels. Ann Cardiol Angeiol (Paris). 2016;65(3):203-207.
65. Lombardo M, Parravano M, Lombardo G, et al. Adaptive optics imaging of parafoveal cones in type 1 diabetes. Retina. 2014;34(3):546-557.
66. Bek T. Fine structure in diabetic retinopathy lesions as observed by adaptive optics imaging. A qualitative study. Acta Ophthalmol. 2014;92(8):753-758.
67. Carroll J, Kay DB, Scoles D, Dubra A, Lombardo M. Adaptive optics retinal imaging--clinical opportunities and challenges. Curr Eye Res. 2013;38(7):709-721.
68. Shechtman DL, Karpecki PM. A look at MSI. Review of Optometry. 2012; January 15:88-89.
69. Xu Y, Liu X, Cheng L, Su L, Xu X. A light-emitting diode (LED)-based multispectral imaging system in evaluating retinal vein occlusion. Lasers Surg Med. 2015;47(7):549-558.
Delia Cabrera DeBuc, PhD
• Research Associate Professor, Department of Ophthalmology, Bascom Palmer Eye Institute, University of Miami, Miller School of Medicine, Miami, Florida
• DCabrera2@med.miami.edu
• Financial disclosure: None
Nidhi Relhan, MD
• Retina Fellow, Department of Ophthalmology, Bascom Palmer Eye Institute, University of Miami, Miller School of Medicine, Miami, Florida
• nxb190@med.miami.edu
• Financial disclosure: None
William E. Smiddy, MD
• M. Brenn Green Chair in Ophthalmology and Professor of Ophthalmology, Bascom Palmer Eye Institute, University of Miami, Miller School of Medicine, Miami, Florida
• wsmiddy@med.miami.edu
• Financial disclosure: None
Funding: Supported in part from the National Institute of Health Center Core Grant P30EY014801 (Bethesda, Maryland) and Research to Prevent Blindness Unrestricted Grant (New York, New York).