
Retinal vein occlusion (RVO) is one of the most common causes of retinal vascular disease, second only to diabetic retinopathy in population-based studies.1-4 If left untreated, RVO can result in permanent vision impairment or blindness. Early recognition and prompt treatment are key to preserving vision and achieving good outcomes. In this article we review the epidemiology, risk factors, and clinical features of RVO.
AT A GLANCE
• RVO is a common cause of retinal vascular disease; if left untreated, it can result in permanent vision impairment or blindness.
• RVO can be classified according to extent (BRVO, HRVO, CRVO), anatomic location, and retinal ischemia.
• Recognizing the clinical features of RVO and promptly diagnosing treatable causes of visual morbidity, including macular edema and neovascularization, can result in improved clinical outcomes and often restoration of visual acuity.
EPIDEMIOLOGY: NOT SO DEFINITIVE
A recent pooled analysis of patients in the United States, Europe, Asia, and Australia estimated an overall prevalence of 16.4 million adults with RVO. Of these individuals, 2.5 million have central RVO (CRVO) and 13.9 million have branch RVO (BRVO).5 Incidence of RVO increases with age, with more than half of all cases occurring in patients older than 65 years.3 The Blue Mountain Eye Study showed a 0.7% incidence in patients younger than 60 years, increasing to 4.6% in patients 80 years and older.2
Multiple studies have suggested that men may be at increased risk of CRVO compared with women, although this has been inconsistently demonstrated.6-8 There are also inconsistent reports regarding differences in ethnic predisposition to CRVO, with one recent longitudinal analysis finding a 58% increased risk in black patients compared with white patients after adjusting for common risk factors. Other studies have found that prevalence of any type of RVO was similar across races.5,7,9
RISK FACTORS, PROTECTIVE FACTORS
Associations have been demonstrated between RVO and certain systemic vascular risk factors, including hypertension, hyperlipidemia, diabetes with end organ damage, active smoking, and peripheral vascular disease (Figure 1).1-3,10,11 Of these systemic risk factors, one meta-analysis found that 47.9% of RVO cases were attributed to hypertension, 20.1% to hyperlipidemia, and 4.9% to diabetes mellitus.12 The researchers concluded that hypertension and hyperlipidemia were common risk factors for all forms of RVO in adults, whereas diabetes mellitus was less significant due to its inconsistent association with BRVO.10 Some studies have found increased risk of cerebrovascular and cardiovascular disease in patients with RVO, including a greater risk of developing acute myocardial infarction after a diagnosis of RVO,6,13 although other studies have shown similar rates of stroke and myocardial infarction regardless of RVO status.14,15
Figure 1. Montage fundus photograph of the right eye of an 86-year-old woman with a history of hypertension, hyperlipidemia, and coronary artery disease presenting with distortion in her right eye (A). BCVA was 20/30. Examination revealed dilated, tortuous vessels and four-quadrant dot and blot hemorrhages consistent with a CRVO. Corresponding fluorescein angiography revealed delayed venous filling and scattered blocking of fluorescence from retinal hemorrhages (B).
Systemic factors protective against BRVO include increased high density lipoprotein level, moderate alcohol consumption, and increased physical activity. Only past physical activity has been shown to protect against CRVO.10
Controversy exists regarding hyper-coagulable states and risk of RVO. In one meta-analysis of 26 studies examining thrombophilic risk factors, hyperhomocysteinemia and anticardiolipin antibodies were significantly independently associated with RVO, with odds ratios of 8.9 (95% CI, 5.7-13.7) and 3.9 (95% CI, 2.3-6.70), respectively.16 Other reported associations include deficiency in proteins C and S, high alpha-2 globulin concentrations, higher activated factor VII concentrations, oral contraception use, and increased blood viscosity, although other studies have found no association with these thrombophillic conditions.11,17
Even in young patients, common vascular risk factors for RVO should initially be ruled out with routine studies, including blood pressure, intraocular pressure (IOP) measurement, complete blood count, glucose levels, and a lipid panel. If these studies are negative, or if a patient presents with bilateral RVO, recurrent RVO, or has a strong personal or family history of thrombosis, then testing for a range of thrombophilia can be considered in addition to ruling out any underlying systemic condition such as leukemia.18
Ocular examination findings associated with RVO include elevated ocular perfusion pressure and arteriovenous nicking with focal arteriolar narrowing.1 Open-angle glaucoma is a well-recognized ocular comorbidity in patients with RVO. Optic nerve appearance and IOP should be noted to rule out concomitant glaucoma in patients diagnosed with RVO given the strong ophthalmic association.10,19
CLINICAL FEATURES
Acute RVO commonly presents with painless visual disturbances. Ophthalmoscopic examination findings include varying degrees of dilated and tortuous retinal veins, intraretinal hemorrhages, retinal edema, exudates, and cotton wool spots. Chronic vein occlusion can be difficult to identify on clinical examination; it is suggested by venous collateral formation and vascular sheathing.20 In both acute and chronic RVO, fluorescein angiography (FA) can be used to assess for retinal ischemia, delayed retinal vein filling, and the presence of retinal neovascularization with fluorescein leakage.
CLASSIFICATION
RVO is classified based on anatomic location and degree of retinal ischemia. BRVO occurs in one retinal quadrant drained by a branch of the central retinal vein. CRVO occurs at or posterior to the lamina cribrosa and can result in four quadrants of retinal hemorrhages (Figure 2). Hemiretinal vein occlusions are the rarest variant; these occur when a major branch of the central retinal vein becomes occluded at or near the optic nerve or due to an anatomic variant in which the superior and inferior venous trunks merge posterior to the lamina cribrosa.21 If only one branch is occluded, one hemifield of the retina will be affected, and the other will remain relatively spared.
Figure 2. Ultra-widefield FA of an ischemic CRVO. Note the extensive nonperfusion and diffuse blocking from retinal hemorrhages.
According to the Central Vein Occlusion Study (CVOS), these subtypes can be further classified as ischemic if FA reveals greater than 10 disc diameters of retinal capillary nonperfusion, as perfused if fewer than 10 disc diameters of ischemia are present, or as indeterminate if an accurate determination of the degree of nonperfusion cannot be estimated due to significant retinal hemorrhage.22 The etiology of decreased vision in RVO is multifactorial and includes cystoid macular edema, retinal ischemia, retinal hemorrhage, vitreous hemorrhage, and neovascular glaucoma. Long-term complications include macular edema, retinal neovascularization, vitreous hemorrhage, and retinal detachment.23 Early and prompt treatment of macular edema may consist of intravitreal anti-VEGF or steroid therapy in an effort to improve visual acuity.
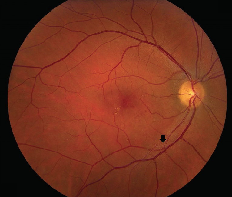
Figure 3. A 40-year-old man with a small inferior BRVO. The retinal vein is occluded at the arteriovenous crossing (arrow) with later development of small collateral vessels in the macula.
BRVO typically occurs at arteriovenous crossings where the artery and vein share an adventitial sheath (Figure 3). The artery has been observed to cross the vein anteriorly in 98% to 99% of BRVOs, compared with approximately 60% to 70% of unaffected arteriovenous crossings.3,24,25 This is hypothesized to occur due to thickening of the overlying artery, which causes narrowing of the vein with subsequent vascular turbulence and endothelial damage contributing to venous thrombosis. In the Beaver Dam Eye Study, the superotemporal quadrant was the most commonly involved (58.1% of eyes), followed by the inferotemporal quadrant (29%) and outside of the temporal quadrants (12.9%). The greater frequency of superotemporal BRVO may occur due to the greater frequency of arteriovenous crossings in that quadrant.1,25 Patients with superotemporal quadrant BRVO also experience greater degrees of visual acuity loss relative to BRVO in other quadrants.
CRVO generally causes greater degrees of vision loss and carries a more guarded prognosis, particularly if it is ischemic. CRVO can produce dilated and tortuous vessels with intraretinal hemorrhages in all four quadrants, optic disc edema, and cystoid macular edema. In contrast to BRVO, in which the development of neovascular glaucoma is rare, ischemic CRVO can lead to neovascularization of the iris or anterior drainage angle with subsequent elevation in IOP within 1 month of onset or later, hence the name 90-day glaucoma. Clinical features suggestive of ischemic CRVO include initial poor visual acuity, afferent pupillary defect, anterior segment neovascularization, and reduced B-wave amplitude on electroretinogram.26 The CVOS examined the natural history of CRVOs over a 36-month follow-up period and found that final visual acuity largely depended on the initial visual acuity and degree of retinal perfusion.22
HONE YOUR RVO IDENTIFICATION SKILLS
Recognizing the clinical features of RVO and promptly diagnosing treatable causes of visual morbidity, including macular edema and neovascularization, can result in improved clinical outcomes and, often, restoration of visual acuity. The vitreoretinal specialist can play an important role in identifying underlying systemic causes of RVO in young patients and in those with bilateral symptoms. Emerging technologies such as optical coherence tomography angiography may allow better classification of macular perfusion in acute RVO and identify factors predictive of the possibility of visual improvement and the duration of therapy for treatment of macular edema.
1. Klein R, Klein BE, Moss SE, Meuer SM. The epidemiology of retinal vein occlusion: the Beaver Dam Eye Study. Trans Am Ophthalmol Soc. 2000;98:133-141; discussion 141-143.
2. Mitchell P, Smith W, Chang A. Prevalence and associations of retinal vein occlusion in Australia. The Blue Mountains Eye Study. Arch Ophthalmol. 1996;114(10):1243-1247.
3. Ehlers JP, Fekrat S. Retinal vein occlusion: beyond the acute event. Surv Ophthalmol. 2011;56(4):281-299.
4. Cugati S, Wang JJ, Rochtchina E, Mitchell P. Ten-year incidence of retinal vein occlusion in an older population: the Blue Mountains Eye Study. Arch Ophthalmol. 2006;124(5):726-732.
5. Rogers S, McIntosh RL, Cheung N, et al; International Eye Disease Consortium. The prevalence of retinal vein occlusion: pooled data from population studies from the United States, Europe, Asia, and Australia. Ophthalmology. 2010;117(2):313-319.e1.
6. Stem MS, Talwar N, Comer GM, Stein JD. A longitudinal analysis of risk factors associated with central retinal vein occlusion. Ophthalmology. 2013;120(2):362-370.
7. Rath EZ, Frank RN, Shin DH, Kim C. Risk factors for retinal vein occlusions. A case-control study. Ophthalmology. 1992;99(4):509-514.
8. Di Capua M, Coppola A, Albisinni R, et al. Cardiovascular risk factors and outcome in patients with retinal vein occlusion. J Thromb Thrombolysis. 2010;30(1):16-22.
9. Cheung N, Klein R, Wang JJ, et al. Traditional and novel cardiovascular risk factors for retinal vein occlusion: the multiethnic study of atherosclerosis. Invest Ophthalmol Vis Sci. 2008;49(10):4297-4302.
10. Sperduto RD, Hiller R, Chew E, et al. Risk factors for hemiretinal vein occlusion: comparison with risk factors for central and branch retinal vein occlusion: the Eye Disease Case-Control study. Ophthalmology. 1998;105(5):765-771.
11. Bertelsen M, Linneberg A, Christoffersen N, Vorum H, Gade E, Larsen M. Mortality in patients with central retinal vein occlusion. Ophthalmology. 2014;121(3):637-642.
12. O’Mahoney PRA, Wong DT, Ray JG. Retinal vein occlusion and traditional risk factors for atherosclerosis. Arch Ophthalmol. 2008;126(5):692-699.
13. Chen YY, Sheu SJ, Hu HY, Chu D, Chou P. Association between retinal vein occlusion and an increased risk of acute myocardial infarction: a nationwide population-based follow-up study. PloS One. 2017;12(9):e0184016.
14. Hu CC, Ho JD, Lin HC. Retinal vein occlusion and the risk of acute myocardial infraction: a 3-year follow-up study. Br J Ophthalmol. 2009;93(6):717-720.
15. Ho J, Liou S-W, Lin HC. Retinal vein occlusion and the risk of stroke development: a five-year follow-up study. Am J Ophthalmol. 2009;147(2):283-290.e2.
16. Janssen MC, den Heijer M, Cruysberg JRM, Wollersheim H, Bredie SJH. Retinal vein occlusion: a form of venous thrombosis or a complication of atherosclerosis? A meta-analysis of thrombophilic factors. Thromb Haemost. 2005;93(6):1021-1026.
17. Vessey MP, Hannaford P, Mant J, Painter R, Frith P, Chappel D. Oral contraception and eye disease: findings in two large cohort studies. Br J Ophthalmol. 1998;82(5):538-542.
18. Lahey JM, Tunç M, Kearney J, et al. Laboratory evaluation of hypercoagulable states in patients with central retinal vein occlusion who are less than 56 years of age. Ophthalmology. 2002;109(1):126-131.
19. David R, Zangwill L, Badarna M, Yassur Y. Epidemiology of retinal vein occlusion and its association with glaucoma and increased intraocular pressure. Ophthalmologica. 1988;197(2):69-74.
20. Hayreh SS, Zimmerman MB. Fundus changes in branch retinal vein occlusion. Retina. 2015;35(5):1016-1027.
21. Chopdar A. Dual trunk central retinal vein incidence in clinical practice. Arch Ophthalmol. 1984;102(1):85-87.
22. Evaluation of grid pattern photocoagulation for macular edema in central vein occlusion. The Central Vein Occlusion Study Group M report. Ophthalmology. 1995;102(10):1425-1433.
23. Jaulim A, Ahmed B, Khanam T, Chatziralli IP. Branch retinal vein occlusion: epidemiology, pathogenesis, risk factors, clinical features, diagnosis, and complications. An update of the literature. Retina. 2013;33(5):901-910.
24. Weinberg D, Dodwell DG, Fern SA. Anatomy of arteriovenous crossings in branch retinal vein occlusion. Am J Ophthalmol. 1990;109(3):298-302.
25. Zhao J, Sastry SM, Sperduto RD, Chew EY, Remaley NA. Arteriovenous crossing patterns in branch retinal vein occlusion. The Eye Disease Case-Control Study Group. Ophthalmology. 1993;100(3):423-428.
26. Glacet-Bernard A, Coscas G, Chabanel A, Zourdani A, Lelong F, Samama MM. Prognostic factors for retinal vein occlusion: prospective study of 175 cases. Ophthalmology. 1996;103(4):551-560.
Thomas Jenkins, MD
• Vitreoretinal Surgery Fellow, Mid Atlantic Retina, Wills Eye Hospital, Philadelphia, Pennsylvania
• tom.lee.jenkins@gmail.com
• Financial disclosure: None
Michael A. Klufas, MD
• Vitreoretinal Surgeon, Mid Atlantic Retina, Wills Eye Hospital, and Assistant Professor of Ophthalmology, Thomas Jefferson University, both in Philadelphia, Pennsylvania
• Retina Chief, Eyetube.net
• mklufas@gmail.com
• Financial disclosure: Consultant (Allergan); Scientific Advisory Board (Genentech)
Daniel Su, MD
• Vitreoretinal Surgery Fellow, Mid Atlantic Retina, Wills Eye Hospital, Philadelphia, Pennsylvania
• dsu114@gmail.com
• Financial disclosure: None