
AT A GLANCE
• Ocular syphilis is a subtype of neurosyphilis that can be associated with uveitis, optic neuropathy, and other vision-threatening conditions.
• Panuveitis and posterior uveitis are the most common manifestations of ocular syphilis, but other presentations have been reported.
• All patients with a new ocular syphilis diagnosis should be tested for HIV and screened for other common sexually transmitted diseases, specifically gonorrhea and chlamydia.
The incidence of syphilis has increased in the United States over the past decade, especially in those infected with HIV.1 Syphilis is a spirochetal bacterial sexually transmitted disease caused by Treponema pallidum, which can affect the skin, heart, blood vessels, central nervous system, bones, and eyes. Ocular syphilis is a subtype of neurosyphilis that can be associated with uveitis, optic neuropathy, and other vision-threatening conditions. In this article, we detail the diagnosis and successful treatment of an HIV-positive patient with ocular syphilis.
PRESENTATION AND DIFFERENTIAL DIAGNOSIS
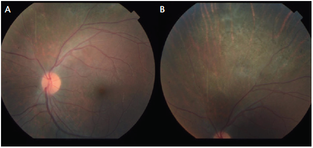
Figure 1. Fundus photography OD shows no acute findings (A). Fundus photography OS demonstrates vitritis, disc hyperemia, and superior retinitis (B).
A 26-year-old Filipino man with no significant medical history was referred to the retina clinic at the MedStar Washington Hospital Center in Washington, DC, for decreased vision in his left eye (OS) after 10 days of associated pain and redness. He reported no changes in his right eye (OD).
On initial presentation, his best corrected visual acuity was 20/25 OD and 20/70 OS. His pupils were equal, round, and reactive to light. Confrontation fields were full OD and revealed an inferotemporal defect OS. Intraocular pressure was 14 mm Hg in each eye. Anterior segment examination OD was normal with a clear lens; OS was notable for 2+ conjunctival injection and anterior chamber with 2+ cell and flare. Dilated funduscopic examination revealed clear media without inflammation OD and 3+ vitritis, optic disc hyperemia, and superior retinitis with peripheral vasculitis OS (Figure 1). Fluorescein angiography (FA) showed early disc hyperfluorescence with blockage along the superior arcade without late leakage (Figure 2).
Figure 2. Early FA with disc hyperfluorescence and blockage along superior arcade OS (A). Late FA with blockage along superior arcade OS (B).
Figure 3. Fundus photograph taken 10 days after treatment demonstrates improvement in vitritis and retinitis OS.
Figure 4. Fundus photography OS shows superior peripheral atrophic retina (A) with ischemic vessels (B).
The differential diagnosis in this young, otherwise healthy patient included acute retinal necrosis, syphilis, Lyme disease, and toxoplasmosis. There was concern regarding possible acute retinal necrosis, so the patient underwent a diagnostic tap with intravitreal injection of 400 µm ganciclovir (Zirgan; Bausch + Lomb). A diagnostic workup was ordered for syphilis, HIV, Lyme disease, and toxoplasmosis screening.
The HIV screen returned positive, and HIV 1 Ab/Ag was reactive, with a total CD4 count of 61 cells/μL. The syphilis screen was also positive, with a rapid plasma reagin titer greater than 1:256. The patient was admitted to the hospital for further workup and treatment. The infectious disease service was consulted, and neuroimaging was unremarkable. Lumbar puncture (LP) demonstrated elevated protein and a positive venereal disease research laboratory (VDRL) titer of 1:4. The patient was started on intravenous (IV) penicillin G for neurosyphilis and discharged with a percutaneous indwelling central catheter to facilitate 2 more weeks of IV treatment.
At 10-day follow-up from starting IV treatment, the patient’s anterior cell, vitritis, and retinitis were improving (Figure 3). At his last follow-up 4 weeks after presentation and 2 weeks after treatment, his vision had improved to 20/20-2 OS with resolved anterior and posterior segment inflammation. On dilated examination, he had retinal atrophy in the previous area of retinitis (Figure 4).
INCIDENCE AND SCREENING OPTIONS
Among patients with neurosyphilis, ocular involvement in 27% of cases has been reported.2 The majority of patients with ocular syphilis have posterior uveitis as the primary manifestation, commonly with bilateral involvement. Ocular syphilis can occur at any stage of syphilis. Patients present with varied symptoms, which may include eye pain, vision loss, floaters, flashing lights, eye pressure, or photophobia. Panuveitis and posterior uveitis are the most common manifestations of ocular syphilis, but other presentations, including optic neuropathy, interstitial keratitis, anterior uveitis, and retinal vasculitis, have been reported.3
The Centers for Disease Control and Prevention defines ocular syphilis as clinical symptoms or signs consistent with ocular disease (eg, uveitis, panuveitis, diminished visual acuity, blindness, optic neuropathy, interstitial keratitis, anterior uveitis, or retinal vasculitis) in patients with syphilis of any stage. A serologic diagnostic workup for syphilis should be completed either with traditional serologic testing or with reverse screening algorithms.4 Traditional serology includes a positive nontreponemal test (eg, rapid plasma reagin or VDRL) confirmed by a treponemal-specific test (eg, Treponema pallidum enzyme immunoassay or fluorescent treponemal antibody absorption). Reverse screening algorithms, in which a treponemal test is performed followed by a confirmatory nontreponemal test, are gaining popularity.
Patients at risk for ocular syphilis should also receive a careful neurologic examination and cerebrospinal fluid evaluation with LP to monitor for findings consistent with pleocytosis, elevated protein, and abnormal VDRL titers. All patients with a new diagnosis of ocular syphilis should be tested for HIV and screened for other common sexually transmitted diseases, specifically gonorrhea and chlamydia.
Ocular syphilis should be treated as neurosyphilis with 18 million units to 24 million units IV aqueous crystalline penicillin G per day or with 2.4 million units intramuscular procaine penicillin per day and 500 mg oral probenecid four times per day for a total of 10 to 14 days.5 If cerebrospinal fluid pleocytosis or elevated protein is initially present, the Centers for Disease Control and Prevention recommends repeated LP every 6 months until the cell count or protein level normalizes. If the cell count has not decreased after 6 months or the protein level has not normalized, retreatment should be considered. Sexual partners of patients with ocular syphilis should be notified, and the case should be reported to the local health department. n
1. Oliver SE, Aubin M, Atwell L, et al. Ocular syphilis - eight jurisdictions, United States, 2014-2015. MMWR Morb Mortal Wkly Rep. 2016;65(43):1185-1188.
2. González-Duarte A, López ZM. Neurological findings in early syphilis: a comparison between HIV positive and negative patients. Neurol Int. 2013;5(4):e19.
3. Woolston SL, Dhanireddy S, Marrazzo J. Ocular syphilis: a clinical review. Curr Infect Dis Rep. 2016;18(11):36.
4. US Department of Health and Human Services. Syphilis pocket guide for providers. https://www.cdc.gov/std/syphilis/Syphilis-Pocket-Guide-FINAL-508.pdf. Accessed November 30, 2017.
5. Clinical advisory: ocular syphilis in the United States. Centers for Disease Control and Prevention. https://www.cdc.gov/std/syphilis/clinicaladvisoryos2015.htm. Updated March 24, 2016. Accessed March 22, 2018.
Section Editor Jordana G. Fein, MD, MS
• Retina Specialist, The Retina Group of Washington in Fairfax, Virginia, and Co-Founder, International Society for the Advancement of Medical Retina
• jfein@rgw.com
• Financial disclosure: None
Section Editor Heeral R. Shah, MD
• Retina Specialist, Ramesh R. Shah, MD, PC, in Joplin, Missouri, and Co-Founder, International Society for the Advancement of Medical Retina
• heeralshahmd@gmail.com
• Financial disclosure: None
Musa Abdelaziz, MD
• First-year vitreoretinal fellow, The Retina Group of Washington/MedStar Washington Hospital Center/Georgetown in Chevy Chase, Maryland
• mabdelaziz@rgw.com
• Financial disclosure: None