A 16-year-old boy presented with sudden loss of vision in his right eye after sustaining a blunt injury from a cricket ball. External examination of the eye revealed lid edema and subconjunctival hemorrhage. The patient's VA at presentation was no light perception. Fundus examination revealed an excavation in the optic nerve head region with absent optic disc (image below).

The rim of the excavation showed cicatricial tissue, blood, and multiple peripapillary hemorrhages. The entirety of the retina was edematous, associated with cattle-tracking of vessels and arteriolar attenuation suggestive of central retinal artery occlusion (CRAO) (image below, left).

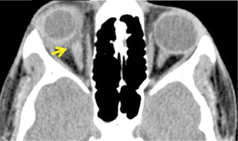
CT scan revealed disruption of the optic nerve at its attachment to the globe, with fluid density in between (image below, right: arrow). A diagnosis of traumatic optic nerve head avulsion with CRAO was established.

In this case, clear media allowed the observation of optic nerve hypoplasia during fundus examination. A possible mechanism of CRAO in this case may have been severe reflex vasospasm secondary to the concussion injury.

This case highlights a potentially sight-threatening complication of a sports injury with a cricket ball. It is important to consider this uncommon and visually catastrophic condition during the differential diagnosis of acute post-traumatic vision loss.


Section Editor Manish Nagpal, MS, DO, FRCS (Edin)
• Senior Consultant, Retina and Vitreous Services, the Retina Foundation, Ahmedabad, India
drmanishnagpal@yahoo.com
• Financial disclosure: None

Vishal Agrawal MD, FRCS
• Associate Professor, SMS Medical College, Jaipur, India
drvishal@retinalive.com
• Financial disclosure: None

Maya Hada, MD
• Assistant Professor, SMS Medical College, Jaipur, India
mayahada@gmail.com
• Financial disclosure: None

Kamlesh Khilnani, MS
• Professor, SMS Medical College, Jaipur, India
khilnanikamlesh@gmail.com
• Financial disclosure: None

Isha Lohmror, MS
• Senior Resident, SMS Medical College, Jaipur, India
ishalohmror@gmail.com
• Financial disclosure: None


If you have an image or images you would like to share, email Dr. Nagpal.
Note: Photos should be 400 dpi or higher and at least 10 inches wide.