Optic disc pit (ODP) is a rare congenital abnormality of the optic nerve head, first described by Wiethe in 1882.1 ODP usually appears as a grayish-whitish, round or oval depression of the optic disc (Figure 1A), and it may have different levels of severity. It is a spectrum of congenital cavitary anomalies of the optic disc, ranging from the more common optic pit to the so-called morning glory syndrome (Figure 1B) to coloboma not only of the optic nerve but also of the choroid (Figure 1C). It is also found in the papillorenal syndrome determined by a mutation of the PAX2 gene.

<p>Figure 1. ODP usually appears as a grayish-whitish, round or oval depression of the optic disc (A). ODP ranges from optic pit to so-called morning glory syndrome (B) to coloboma of the optic nerve and choroid (C).</p>

Click to view larger

Figure 1. ODP usually appears as a grayish-whitish, round or oval depression of the optic disc (A). ODP ranges from optic pit to so-called morning glory syndrome (B) to coloboma of the optic nerve and choroid (C).

ODP is bilateral in 15% of cases (Figure 2) and occurs equally in men and women with an estimated incidence of 1 to 2 per 10,000 people.2-5 The most frequent location is in the temporal segment of the disc, but ODP has also been described on the nasal side.3,6

<p>Figure 2. ODP is bilateral in 15% of cases. Retinography of the right (A) and left (B) eye of an 8-year-old boy with bilateral coloboma of the optic nerve and involving a large area of the central inferior and nasal choroid.</p>

Click to view larger

Figure 2. ODP is bilateral in 15% of cases. Retinography of the right (A) and left (B) eye of an 8-year-old boy with bilateral coloboma of the optic nerve and involving a large area of the central inferior and nasal choroid.

Histopathologically, ODP appears as a herniation of dysplastic retinal tissue into a collagen-rich excavation that can extend into the subarachnoid space through a defect in the lamina cribrosa (Figure 3).7 Studies of ODP using OCT have revealed connections between the subretinal and intraretinal space, the perineural space, and the vitreous cavity (Figure 4).8

<p>Figure 3. ODP appears as a herniation of dysplastic retinal tissue into a collagen-rich excavation that can extend into the subarachnoid space through a defect in the lamina cribrosa.</p>

Click to view larger

Figure 3. ODP appears as a herniation of dysplastic retinal tissue into a collagen-rich excavation that can extend into the subarachnoid space through a defect in the lamina cribrosa.

<p>Figure 4. OCT imaging in ODP can reveal connections between the subretinal and intraretinal space, the perineural space, and the vitreous cavity.</p>

Click to view larger

Figure 4. OCT imaging in ODP can reveal connections between the subretinal and intraretinal space, the perineural space, and the vitreous cavity.

AT A GLANCE

  • Optic disc pit (ODP) is a spectrum of congenital cavitary anomalies of the optic disc, ranging from optic pit to morning glory syndrome to coloboma not only of the optic nerve but also of the choroid. Up to 75% of patients with ODP may develop ODP maculopathy.
  • ODP maculopathy can cause visual impairment, especially in long-standing cases.
  • In a case report, the author describes a challenging repair of an ODP in a young patient.

ODP MACULOPATHY

ODP is usually asymptomatic, but a percentage of affected patients (25%-75% depending on the report) may develop a macular serous detachment or a retinoschisis-like maculopathy due to the presence, respectively, of subretinal or intraretinal fluid.3,6,9 This condition, known as ODP maculopathy (ODPM), causes visual impairment, especially in long-standing cases, in which lamellar or full-thickness macular holes and retinal pigment epithelium atrophy may appear.10-12

The exact mechanism of the pathophysiology of ODPM and the origin of the fluid remain unclear. It has been proposed that vitreous or cerebrospinal fluid (CSF) may be the origin of the fluid responsible for ODPM.13-15 In the first case, it is posited that the vitreous exerts traction on the macula and optic disc, leading to negative pressure and the subsequent entrance of fluid through the ODP into the submacular space.14,15 In the second case, the supposition is that the CSF flows through direct communication between the macular subretinal space and subarachnoid space through the ODP defect.10,16,17 This hypothesis was supported by Ohno-Matsui et al,18 who imaged the subarachnoid space just posterior to the bottom of the ODP using swept-source OCT.

Moreover, in eyes with ODPM, communication between the vitreous cavity, the subarachnoid space, and the subretinal space was confirmed by the observation of gas and silicone oil migration into the subretinal and intracranial space, respectively, after pars plana vitrectomy (PPV).19,20

In most cases, the fluid follows the pattern described by Lincoff et al,21 in which fluid from the ODP first creates a schisis-like separation of the inner retina and then reaches the subretinal space, creating a macular neuroepithelial detachment. Spontaneous reabsorption of fluid is possible in up to 25% of cases according to Gass,22 but relapses are frequent, leading to a progressive deterioration of the macular structures and visual loss. This recurrent trend of ODPM may be explained by the pulsating dynamics of intracranial pressure.23

TREATMENT OF ODPM

Several treatment alternatives have been proposed for ODPM, including conservative management, laser photocoagulation, macular buckling surgery, gas tamponade, partial thickness retinotomy,24 and removal of glial tissue at the temporal wall of the ODP.25

Another therapeutic approach to ODPM is pneumatic displacement with intravitreal gas tamponade alone or combined with laser.21,26,27 Gas tamponade may induce a posterior vitreous detachment, thereby reducing vitreomacular traction, whereas laser photocoagulation contributes to sealing of the pit.28 This simple and minimally invasive technique has been reported to have a good success rate, although more than one injection is often necessary.26,28

We have tried this technique in 15 eyes with good initial outcomes. In some of these eyes we have observed a relapse. However, in patients younger than 20 years we still consider it preferable to apply this technique first. It can then be repeated years later in the event of relapse, leaving the option of vitrectomy if this treatment fails.

Today, PPV is often the treatment of choice,26,29,30 either alone or combined with gas tamponade and/or laser photocoagulation and with or without internal limiting membrane (ILM) peeling. Multiple studies have reported high anatomic success rate (50%-95%) and good functional outcomes with PPV, with VA improvement in more than 50% of cases.27-42

Inducing a posterior vitreous detachment with PPV can relieve the traction exerted by the vitreous on the macula, facilitating the absorption of the subretinal fluid. The application of laser at the edge of the pit helps to seal it, obstructing the communication between the ODP and the retina. However, the need for laser has not been definitively demonstrated.

If the vitreous cavity is the source of fluid in ODPM, then the role played by PPV as an effective treatment is comprehensible. On the other hand, if the subretinal fluid originates from the subarachnoid space, further explanation regarding the efficacy of PPV is needed.41 In these cases, the key step for a successful surgery maybe the sealing of the pit.

Several authors have also described stuffing the ODP with materials, including an ILM flap,42-44 an ILM flap and fibrin glue,45 the fibrin sealant Evicel (Johnson & Johnson),46 or autologous fibrin.47-49 Additionally, using an inverted ILM flap technique to cover the optic disc, including the ODP but excluding the foveal area, has shown promising results.50,51

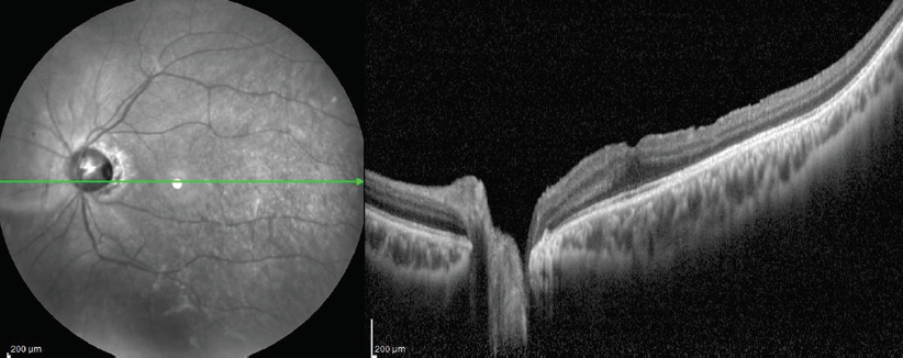
We have applied this technique to five patients in the past 5 years when pneumatic displacement did not resolve the pathology. Reabsorption of subretinal fluid might take a few months, even in cases in which the ILM flap is visible in the pit on postoperative OCT (Figure 5).

<p>Figure 5. OCT of the left eye of the patient depicted in Figure 2. The horizontal scan of the OCT (A) shows the depth of the coloboma. Identification of the fovea can be challenging in cases of ODP and is not possible in this particular case because it is located inside the coloboma. A mild amount of subretinal fluid is visible. The color photo (B) shows the extensive coloboma and the level of the OCT scan in the extramacular temporal areas shown below.</p>

Click to view larger

Figure 5. OCT of the left eye of the patient depicted in Figure 2. The horizontal scan of the OCT (A) shows the depth of the coloboma. Identification of the fovea can be challenging in cases of ODP and is not possible in this particular case because it is located inside the coloboma. A mild amount of subretinal fluid is visible. The color photo (B) shows the extensive coloboma and the level of the OCT scan in the extramacular temporal areas shown below.

Macular buckling is another alternative for treatment of ODPM. Theodossiadis et al first described this technique and reported a success rate of about 85%.30,41,52-54 The macular buckle pushes the macular surface toward the vitreous chamber, obstructing the entrance of fluid and alleviating vitreous traction.

Macular buckling is considered by many a difficult technique and for this reason is not widely applied. However, surgeons should have many weapons in their arsenals so that they can choose the best one based on the needs of the individual patient.

CASE REPORT

Here, we share the case report of an 8-year-old boy with bilateral coloboma of the optic nerve and the central inferior choroid, as well as the inferior iris as an associated finding (Figures 2 and 5). The patient first developed a macular detachment in the left eye, which quickly developed into a complete retinal detachment caused by fluid coming from the ODP and a suspected macular hole.

Watch it Now

This case presented several challenges, including that the macular hole was in the area of the coloboma, that the coloboma was very deep, and that there was no retinal pigment epithelium over a large area.

We chose to perform lens-sparing complete PPV (Video). In the literature, similar cases have been managed with silicone oil as a final tamponade. As mentioned above, however, silicone oil can have a track to the CSF (and potentially the brain) in patients with ODP. Therefore, to offer a greater chance of retinal reattachment without the use of silicone oil, we decided to combine PPV with a macular buckle to support the atrophic macular area from the scleral side. This would serve to seal the pit with the buckling effect and to relieve traction and air tamponade.

We still wonder whether performing only the macular buckle and injecting a gas bubble could have solved the detachment. However, the difficulty in determining the cause of the total detachment convinced us to enter the eye. Only during surgery could we confirm that the cause of the patient’s pathology was a macular hole into the coloboma.

The surgery was performed in 2012. The retina remains attached, and the boy still retains a BCVA of 20/200 with extrafoveal fixation, the same vision he had before surgery.

RETINA TODAY ON THE ROAD

This article is adapted from a lecture the author presented at the Duke Advanced Vitreous Surgery Course in April. The 2020 meeting will be held April 17-18, 2020, in Durham, North Carolina. Visit MedConfs.com for details.

1. Wiethe T. Ein Fall von angeborener Deformitat der Sehnervenpapille. Arch Augenheilkd1882;11:14-19.

2. Golnik KC. Cavitary anomalies of the optic disc: neurologic significance. Curr Neurol Neurosci Rep. 2008;8(5):409-413.

3. Kranenburg EW. Crater-like holes in the optic disc and central serous retinopathy. Arch Ophthalmol. 1960;64:912-924.

4. Georgalas I, Ladas I, Georgopoulos G, Petrou P. Optic disc pit: a review. Graefes Arch Clin Exp Ophthalmol. 2011;249(8):1113-1122.

5. Brodsky MC. Congenital optic disk anomalies. Surv Ophthalmol. 1994;39(20):89-112.

6. Brown GC, Shields JA, Goldberg RE. Congenital pits of the optic nerve head: II. clinical studies in humans. Ophthalmology. 1980;87(1):59-65.

7. Ferry AP. Macular detachment associated with congenital pit of the optic nerve head: pathologic findings in two cases simulating malignant melanoma of the choroid. Arch Ophthalmol. 1963;70:346-357.

8. Michalewska Z, Nawrocki J, Michalewski J. Spectral domain optical coherence tomography morphology in optic disc pit associated maculopathy. Indian J Ophthalmol. 2014;62(7):777.

9. Shah SD, Yee KK, Fortun JA, Albini T. Optic disc pit maculopathy: a review and update on imaging and treatment. Int Ophthalmol Clin. 2014;54(2):61-78.

10. Gass JDM. Serous detachment of the macula: secondary to congenital pit of the optic nervehead. Am J Ophthalmol. 1969;67(6):821-841.

11. Theodossiadis G. Evolution of congenital pit of the optic disk with macular detachment in photocoagulated and nonphotocoagulated eyes. Am J Ophthalmol. 1977;84(5):620-631.

12. Theodossiadis P, Theodossiadis GP, Ladas ID, et al. Cyst formation in optic disc pit maculopathy. Doc Ophthalmol. 1999;97(3-4):329-335.

13. Irvine AR, Crawford JB, Sullivan JH. The pathogenesis of retinal detachment with morning glory disc and optic pit. Retina. 1986;6(3):146-150.

14. Sugar HS. An explanation for the acquired macular pathology associated with congenital pits of the optic disc. Am J Ophthalmol. 1964;57:833-835.

15. Jain N, Johnson MW. Pathogenesis and treatment of maculopathy associated with cavitary optic disc anomalies. Am J Ophthalmol. 2014;158(3):423-435.

16. Johnson TM, Johnson MW. Pathogenic implications of subretinal gas migration through pits and atypical colobomas of the optic nerve. Arch Ophthalmol. 2004;122(12):1793-1800.

17. Türkçüoglu P, Taskapan C. The origin of subretinal fluid in optic disc pit maculopathy. Ophthalmic Surg Lasers Imaging Retin. 2016;47(3):294-298.

18. Ohno-Matsui K, Hirakata A, Inoue M, Akiba M, Ishibashi T. Evaluation of congenital optic disc pits and optic disc colobomas by swept-source optical coherence tomography. Invest Ophthalmol Vis Sci. 2013;54(12):7769-7778.

19. Dithmar S, Schuett F, Voelcker HE, Holz FG. Delayed sequential occurrence of perfluorodecalin and silicone oll in the subretinal space following retinal detachment surgery in the presence of an optic disc pit. Arch Ophthalmol. 2004;122(3):409-411.

20. Kuhn F, Kover F, Szabo I, Mester V. Intracranial migration of silicone oil from an eye with optic pit. Graefes Arch Clin Exp Ophthalmol. 2006;244(10):1360-1362.

21. Lincoff H, Kreissig I. Optical coherence tomography of pneumatic displacement of optic disc pit maculopathy. Br J Ophthalmol. 1998;82(4):367-372.

22. Gass J. Optic nerve diseases that may masquerade as macular diseases. Stereoscopic Atlas of Macular Diseases: Diagnosis and Treatment. St Louis, MO: Mosby; 1997.

23. Padayachy L, Brekken R, Fieggen G, Selbekk T. Pulsatile dynamics of the optic nerve sheath and intracranial pressure. Neurosurgery. 2016;79(1):100-107.

24. Ooto S, Mittra RA, Ridley ME, Spaide RF. Vitrectomy with inner retinal fenestration for optic disc pit maculopathy. Ophthalmology. 2014;121(9):1727-1733.

25. Inoue M, Shinoda K, Ishida S. Vitrectomy combined with glial tissue removal at the optic pit in a patient with optic disc pit maculopathy: a case report. J Med Case Rep. 2008;2:103.

26. Lei L, Li T, Ding X, et al. Gas tamponade combined with laser photocoagulation therapy for congenital optic disc pit maculopathy. Eye (Lond). 2015;29(1):106-114.

27. Lincoff H, Yannuzzi L, Singerman L, Kreissig I, Fisher Y. Improvement in visual function after displacement of the retinal elevations emanating from optic pits. Arch Ophthalmol. 1993;111(8):1071-1079.

28. Akiyama H, Shimoda Y, Fukuchi M, et al. Intravitreal gas injection without vitrectomy for macular detachment associated with an optic disk pit. Retina. 2014;34(2):222-227.

29. Annesley W, Brown G, Bolling J, Goldberg R, Fischer D. Treatment of retinal detachment with congenital optic pit by krypton laser photocoagulation. Graefes Arch Clin Exp Ophthalmol. 1987;225(5):311-314.

30. Theodossiadis GP. Treatment of maculopathy associated with optic disk pit by sponge explant. Am J Ophthalmol. 1996;121(6):630-637.

31. Cox MS, Witherspoon CD, Morris RE, Flynn HW. Evolving techniques in the treatment of macular detachment caused by optic nerve pits. Ophthalmology. 1988;95(7):889-896.

32. Schatz H, McDonald HR. Treatment of sensory retinal detachment associated with optic nerve pit or coloboma. Ophthalmology. 1988;95(2):178-186.

33. Todokoro D, Kishi S. Reattachment of retina and retinoschisis in pit-macular syndrome by surgically-induced vitreous detachment and gas tamponade. Ophthalmic Surg Lasers. 2000;31(3):233-235.

34. Bartz-Schmidt KU, Heimann K, Esser P. Vitrectomy for macular detachment associated with optic nerve pits. Int Ophthalmol. 19(6):323-329.

35. Georgalas I, Petrou P, Koutsandrea C, et al. Optic disc pit maculopathy treated with vitrectomy, internal limiting membrane peeling, and gas tamponade: a report of two cases. Eur J Ophthalmol. 2009;19(2):324-326.

36. Hirakata A, Inoue M, Hiraoka T, McCuen BW. Vitrectomy without laser treatment or gas tamponade for macular detachment associated with an optic disc pit. Ophthalmology. 2012;119(4):810-818.

37. Talli PM, Fantaguzzi PM, Bendo E, Pazzaglia A. Vitrectomy without laser treatment for macular serous detachment associated with optic disc pit: long-term outcomes. Eur J Ophthalmol. 2016;26(2):182-187.

38. Kumar A, Gogia V, Nagpal R, et al. Minimal gauge vitrectomy for optic disc pit maculopathy: our results. Indian J Ophthalmol. 2015;63(12):924-926.

39. Rizzo S, Belting C, Genovesi-Ebert F, et al. Optic disc pit maculopathy: the value of small-gauge vitrectomy, peeling, laser treatment, and gas tamponade. Eur J Ophthalmol. 2012;22(4):620-625.

40. Chatziralli I, Theodossiadis G, Panagiotidis D, et al. Long-term changes of macular thickness after pars plana vitrectomy in optic disc pit maculopathy: a spectral-domain optical coherence tomography study. Semin Ophthalmol. 2017;32(3):302-308.

41. Theodossiadis GP, Chatziralli IP, Theodossiadis PG. Macular buckling in optic disc pit maculopathy in association with the origin of macular elevation: 13-year mean postoperative results. Eur J Ophthalmol. 2015;25(3):241-248.

42. Pastor-Idoate S, Gomez-Resa M, Karam S, et al. Efficacy of internal limiting membrane flap techniques with vitrectomy for macular detachment associated with an optic disc pit [published online ahead of print March 22, 2019]. Ophthalmologica.

43. Caporossi T, Finocchio L, Barca F, et al. 27-gauge via pars plana vitrectomy with autologous ILM transplantation for optic pit disc maculopathy. Ophthalmic Surg Lasers Imaging Retina. 2018;49(9):712-714.

44. Roy R, Saurabh K, Thomas NR, Das K. Surgical management of optic disc pit maculopathy with a fovea sparing internal limiting membrane flap. Indian J Ophthalmol. 2017;65(5):420-422.

45. Almeida DRP, Chin EK, Arjmand P, et al. Fibrin glue and internal limiting membrane abrasion for optic disc pit maculopathy. Ophthalmic Surg Lasers Imaging Retina. 2018;49(12):e271-e277.

46. de Oliveira PRC, Berger AR, Chow DR. Use of Evicel fibrin sealant in optic disc pit-associated macular detachment. Ophthalmic Surg Lasers Imaging Retina. 2017;48(4):358-363.

47. Rosenthal G, Bartz-Schmidt KU, Walter P, Heimann K. Autologous platelet treatment for optic disc pit associated with persistent macular detachment. Graefes Arch Clin Exp Ophthalmol. 1998;236(2):151-153.

48. Ozdek S, Ozdemir HB. A new technique with autologous fibrin for the treatment of persistent optic pit maculopathy. Retin Cases Brief Rep. 2017;11(1):75-78.

49. Todorich B, Sharma S, Vajzovic L. Successful repair of recurrent optic disk pit maculopathy with autologous platelet rich plasma: report of a surgical technique. Retin Cases Brief Rep. 2017;11(1):15-17.

50. Hara R, Tsukahara Y, Simoyama T, Mori S. Refined internal limiting membrane inverted flap technique for intractable macular detachment with optic disc pit. Case Rep Ophthalmol. 2017;8(1):208-213.

51. Sborgia G, Recchimurzo N, Sborgia L, et al. Inverted internal limiting membrane-flap technique for optic disk pit maculopathy: morphologic and functional analysis [published online ahead of print February 22, 2018]. Retin Cases Brief Rep.

52. Theodossiadis GP, Theodossiadis PG. The macular buckling procedure in the treatment of retinal detachment in highly myopic eyes with macular hole and posterior staphyloma: mean follow-up of 15 years. Retina. 25(3):285-289.

53. Theodossiadis GP, Theodossiadis PG. Optical coherence tomography in optic disk pit maculopathy treated by the macular buckling procedure. Am J Ophthalmol. 2001;132(2):184-190.

54. Georgopoulos GT, Theodossiadis PG, Kollia AC, et al. Visual field improvement after treatment of optic disk pit maculopathy with the macular buckling procedure. Retina. 1999;19(5):370-377.