For novel therapeutic agents, the first few years of use in the real world can occasionally raise concerns that did not come to light during tightly controlled clinical trials.1 How has voretigene neparvovec-rzyl (Luxturna, Spark Therapeutics) fared in the 15 months since treatment centers began administering it to patients with Leber congenital amaurosis (LCA) caused by biallelic mutations in RPE65?

AT A GLANCE

  • At nine treatment centers across the United States, selected surgeons have been designated to provide treatment with voretigene neparvovec-rzyl.
  • In the first year after this gene therapy’s postapproval use, clinicians have refined their approaches to patient selection and surgical delivery.
  • The greatest benefit may be seen with treatment in early childhood for RPE65-associated LCA.

To be fair, its current use is not exactly “real world” in the sense that any physician with the appropriate training can provide the treatment. Rather, since voretigene received approval by the US FDA, nine treatment centers have been designated across the United States, and each site has only a few (most have one or two) surgeons cleared to provide the treatment. All treating physicians were required to undergo wet laboratory training and to review in detail the surgical manual put forth by the manufacturer of this ocular gene therapy, which is the first to be approved by the FDA.

Formal analysis on 1-year outcomes of voretigene in the postapproval period are eagerly awaited. In this article, I review in general terms our center’s experience with the treatment and highlight two areas in which our approach has evolved: patient selection and surgical delivery.

PATIENT SELECTION

At Children’s Hospital Los Angeles, we have treated nine children and five adults bilaterally (28 eyes), and I believe the greatest benefits will be observed with early treatment in childhood.

Although it is not surprising that patients treated earlier in the course of disease would fare better, young children benefit dramatically through enrichment of their social, motor, and cognitive development. Improvements in eye contact, confidence in locomotion, and ability to read, play, and eat in normal or dim lighting have enormous lifelong consequences and should not be underestimated. This highlights the importance of early genetic testing and treatment, perhaps in patients as young as 1 year old.

Demonstrating these improvements in a rigorous fashion in young children remains a challenge, however, because these patients may not cooperate with standard outcome measures such as light sensitivity testing or visual fields.

Another aspect that may be underappreciated is the complexity of molecular diagnostic testing. Although I have a scientific background, I do not have formal training in molecular pathology or bioinformatics. Our clinical training as ophthalmologists and retina specialists glosses over the intricacies of genetic testing as we come to associate names of genes with certain conditions. By now, it should be obvious that mutations in RPE65 cause LCA.

If only it were that easy.

Many mutations, or variants, are benign, and they are predicted not to cause significant alteration in protein function. Some variants are predicted to be pathogenic, even if they are novel mutations. And still others are labeled variants of uncertain significance, or VUS, which means we are not sure of their effect.

As a treating surgeon, I have the ultimate responsibility to ensure the validity of genetic testing before subjecting a patient to bilateral vitrectomies. I am fortunate to have excellent bioinformaticists and molecular pathologists at my institution to aid me in this regard. Furthermore, I require that the parents of every voretigene candidate also undergo RPE65 gene testing. This segregation analysis is especially crucial for compound heterozygous mutations to demonstrate that they are in trans (ie, on separate alleles).

Panel-based testing should be emphasized over single-gene testing to allow us to see the landscape of genetic alterations and prevent a “love at first sight” scenario, wherein we associate causation to the first and only gene we test, especially when the evidence for pathogenicity may be wanting.

Finally, when VUS arise, one should strongly consider in vitro mutagenesis with functional protein assays to definitively demonstrate mutational pathogenicity before proceeding with gene therapy surgery.

SURGICAL DELIVERY

Our surgical approach to the delivery of voretigene has evolved since the first patient we treated in March 2018. Although Spark Therapeutics provided wet laboratory training and a surgical manual, there are no hard-and-fast procedural rules on the medication label. This has allowed each treatment center to evolve over time and adopt slightly different approaches. As we aggregate our data across treatment centers, it may be possible to identify best practices or demonstrate the equivalence of various techniques, leaving these to investigator discretion.

Some of the fine points include the following:

Use of Triamcinolone

Because the clinical trials of voretigene did not permit the routine use of triamcinolone intraoperatively, we avoided it during our first case. Since then, we have used it in all cases to aid in removal of vitreous. Because the vitreous tends to be syneretic in patients with RPE65 mutations, triamcinolone is helpful for confirming the presence of a posterior vitreous detachment.

Bleb Creation

For the first few surgeries we adhered to the surgical manual’s recommendation to have a trained assistant inject the vector manually as the primary surgeon positioned the subretinal cannula. We moved on to using the MicroDose Injection Kit (MedOne Surgical) to allow autonomous control of the subretinal injection by the primary surgeon. This has been a fantastic improvement. We proceed directly with injection of the vector without first creating a saline “prebleb.”

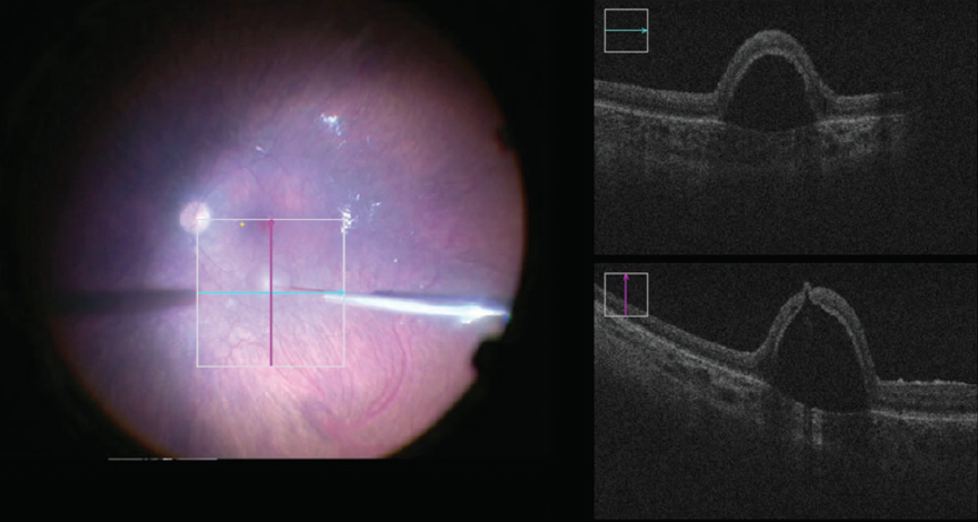
<p>Figure. Intraoperative OCT-guided subretinal injection of voretigene neparvovec-rzyl in a pediatric patient.</p>

Click to view larger

Figure. Intraoperative OCT-guided subretinal injection of voretigene neparvovec-rzyl in a pediatric patient.

OCT Guidance

Although it is not essential, the use of OCT intraoperatively has been a great visual aid for determining the location of the bleb and status of the fovea. I deliver the vector with the two-line crosshair overlay on the ReScan microscope (Carl Zeiss Meditec; Figure). This has allowed me to better understand the importance of cannula positioning and to characterize some atypical bleb appearances (eg, schisis at the edge of the bleb).

Air-Fluid Exchange

We routinely perform a complete air-fluid exchange, as recommended in the surgical manual. The idea is to tamponade the retinotomy and limit extravasation of potentially inflammatory vector into the vitreous cavity, but I am not sure if this step is necessary.

SUMMARY

It is an extraordinary privilege to be able to deliver this unique treatment to our patients. I am hopeful that the collective outcomes from our nine centers will buttress the findings of the phase 3 trial2 and support continued enthusiasm for voretigene in the treatment of this previously incurable form of blindness.

We all must recall the grit and dedication of individuals such as Michael Redmond, PhD; Jean Bennett, MD, PhD; Albert M. Maguire, MD; and many more, and the funding sources that made the investigation and approval of this novel gene therapy possible. Ideally, our early clinical real-world experience with voretigene will serve as a blueprint for future gene therapy approaches in the retina and beyond.

1. Downing NS, Shah ND, Aminawung JA, et al. Postmarket safety events among novel therapeutics approved by the US Food and Drug Administration between 2001 and 2010. JAMA. 2017;317(18):1854-1863.

2. Russell S, Bennett J, Wellman JA, et al. Efficacy and safety of voretigene neparvovec (AAV2-hRPE65v2) in patients with RPE65-mediated inherited retinal dystrophy: a randomised, controlled, open-label, phase 3 trial. Lancet. 2017;390(10097):849-860.