Diabetic tractional retinal detachments (TRDs) are some of the most daunting surgical procedures vitreoretinal surgeons face. Patients, especially young ones, can have surprisingly good long-term visual potential, even though they present with extensive chronic fibrovascular traction, often involving the entire macula. Complicating matters, it’s often quite difficult to predict how challenging a surgical case will be at the outset. In some patients, extensive fibrovascular traction is easily relieved, whereas in others, relatively small areas of fibrovascular traction prove to be nearly impossible to remove.

AT A GLANCE

  • Surgery for diabetic TRD can be daunting, and it can be difficult to predict at the outset how challenging a case will be.
  • Use of anti-VEGF injections can reduce intraoperative bleeding, shorten surgical times, improve outcomes, and often avoid surgery.
  • The goal in surgery for TRDs should be complete removal of the vitreous cortex.

Worse still, surgical cases that seem to go well are all too often complicated by devastating proliferative vitreoretinopathy (PVR) in the postoperative period.

Given these challenges, in this article I relate some of the lessons I’ve learned that have helped significantly improve my surgical success rate with diabetic TRDs.

VALUE OF ANTI-VEGF THERAPY

It’s hard to understate the benefits of anti-VEGF therapy in the surgical management of proliferative diabetic retinopathy (PDR). Preoperative intravitreal injection of an anti-VEGF agent reduces intraoperative bleeding, shortens surgical times, and has been shown to consistently improve outcomes.1 Despite these benefits, anti-VEGF agents are underutilized in treating PDR because of a perceived risk of the injection exacerbating vitreoretinal traction—a condition colloquially known as the crunch effect. Although there have been anecdotal reports of disease progression after intravitreal anti-VEGF therapy, it occurs in less than 5% of patients and has typically been observed only in patients with highly aggressive PDR who are refractory to panretinal photocoagulation (PRP).2

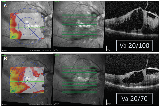
My experience in treating an immigrant population is that the anti-VEGF crunch effect is grossly overstated. For patients with TRDs not involving the fovea, aggressive use of anti-VEGF injections nearly always induces vascular regression and allows safe application of PRP. Even macular edema associated with vitreomacular traction can be surprisingly responsive to anti-VEGF therapy (Figure 1).

<p>Figure 1. OCT images of fibrovascular proliferation causing vitreomacular traction. Severe cystoid macular edema and traction are noted (A). After injection of intravitreal bevacizumab (Avastin, Genentech), significant reduction of cystoid macular edema was observed (B). VA improved from 20/100 to 20/70.</p>

Click to view larger

Figure 1. OCT images of fibrovascular proliferation causing vitreomacular traction. Severe cystoid macular edema and traction are noted (A). After injection of intravitreal bevacizumab (Avastin, Genentech), significant reduction of cystoid macular edema was observed (B). VA improved from 20/100 to 20/70.

The key to remember is that, because surgery in patients with diabetic eye disease has the potential to be unpredictable (both intraoperatively and postoperatively), it is best to try to avoid surgery when the patient’s vision is good (that is, when the fovea is attached). My approach is to treat nearly all patients with TRDs not involving the fovea with bevacizumab (Avastin, Genentech) injections every 4 to 6 weeks for a period preoperatively. I continue these injections until any and all vitreous hemorrhage has cleared, and then I deliver 360° PRP to inactivate the disease. The exception to this regimen is in patients with a combined tractional-rhegmatogenous detachment.

A SURGICAL GOAL

For patients with foveal involvement or those in whom fibrovascular traction has progressed, surgery should be undertaken. Perhaps the single most important aspect of any surgical procedure is having a clearly defined surgical goal. For diabetic surgery, the release of traction or delivery of PRP are both commendable achievements, but alone they are insufficient to protect against PVR and recurrent tractional detachment.

Instead, surgery should be focused on one singular goal: complete removal of the vitreous cortex. It’s hard to overstate how crucial this goal is to overall surgical success. If the vitreous cortex is removed from the retina, eyes will nearly always do well. If vitreous cortex is left behind, eyes often do poorly, with PVR and recurrent detachments being the rule, not the exception.

To understand how best to remove the vitreous cortex, it is important to understand its anatomy. The vitreous cortex is a multilayered collection of collagen fibers that run parallel to the retinal surface.3 Because of its multilayered organization, it is frequently possible to remove superficial layers and inadvertently leave residual layers behind. Such vitreoschisis frequently occurs in diabetic surgery, is difficult to detect, and is the single biggest cause of recurrent detachments in the postoperative period.

To prevent vitreoschisis, it is crucial to correctly identify the plane between the vitreous cortex and the retina. To do this requires complete cortical removal at some locus; this is best achieved at the optic nerve, where the vitreous cortex is disorganized and dense, largely preventing vitreoschisis.3

I strongly recommend using a macular lens and forceps for this maneuver. Forceps provide sufficient force to break neovascular adhesions and sufficient control to prevent excessive elevation, which puts undue traction on the retina in the nearby macula. Be forewarned that bleeding will always occur and is a sign that you have identified the correct vitreoretinal plane.

ELEVATING ANTERIOR CORTEX

Traditionally, after the correct vitreoretinal plane is identified, surgery is focused on segmentation and delamination of traction in the posterior pole.4 One frequent challenge of this approach is that the anterior vitreous cortex anchors vitreoretinal adhesions, often making delamination and segmentation difficult. There is a tendency to assume that this anterior vitreous cortex is elevated, and/or that its elevation is of minor importance. Neither of these assumptions is true. In fact, the anterior vitreous cortex is frequently attached in most if not all areas, and it provides a nidus for postoperative PVR.

Therefore, before embarking on extensive posterior pole segmentation and delamination, I first focus on elevating the anterior vitreous cortex. In diabetic retinopathy, there is often a relative absence of fibrotic adhesions along the equator. Thus, circumferential elevation of the vitreous cortex at the equator is often quite safe.

The most reliable method of elevating the equatorial vitreous cortex is to first identify a region between the optic nerve and the vitreous cortex that is largely devoid of vitreoretinal adhesions; usually, this is in the nasal retina. Using the vitreoretinal plane identified at the optic nerve (Figure 2A), the vitreous cortex is elevated in this region to the equator (Figure 2B). After I have elevated it to the equator, I use small frequent elevations to circumferentially remove the vitreous cortex from the retina, taking care not to place excessive traction on either the posterior pole or vitreous base (Figures 2C,D).

<p>Figure 2. Widefield imaging of vitreous cortex removal. Vitreous cortex is elevated from the optic nerve (A) and then from the peripapillary region (B). Vitreous elevation then proceeds past the equator in a region with relative absence of vitreoretinal adhesions (C). Vitreous cortex is elevated circumferentially along the equator (D). After the equatorial vitreous cortex is elevated, segmentation and delamination is performed to remove posterior areas of traction (E). Postoperatively, the retina is attached in this patient, and residual fibrosis along the superotemporal arcade has remained stable for more than 2 years (F).</p>

Click to view larger

Figure 2. Widefield imaging of vitreous cortex removal. Vitreous cortex is elevated from the optic nerve (A) and then from the peripapillary region (B). Vitreous elevation then proceeds past the equator in a region with relative absence of vitreoretinal adhesions (C). Vitreous cortex is elevated circumferentially along the equator (D). After the equatorial vitreous cortex is elevated, segmentation and delamination is performed to remove posterior areas of traction (E). Postoperatively, the retina is attached in this patient, and residual fibrosis along the superotemporal arcade has remained stable for more than 2 years (F).

With the anterior vitreous cortex removed, posterior pole segmentation and delamination can be resumed (Figure 2E). At various points during this process, I use triamcinolone to confirm and reconfirm that the vitreous cortex is elevated in its entirety. Without this, definitive vitreous cortex removal is nearly impossible. Complete removal of the vitreous cortex often results, in my experience, in good long-term results (Figure 2F).

Frequently, surgeons avoid elevation of the vitreous along the equator out of fear of causing peripheral breaks. In general, this fear is overstated. Although peripheral breaks might occur, they are of limited consequence because of the ample protection provided by PRP. It is far more devastating to leave broad areas of anterior vitreous cortex that can serve as a scaffold for PVR.

CONCLUSION

There is an incredible diversity of presentations of PDR, and it’s impossible to capture all of the subtleties of surgery. Still, there are a few key points that can help improve outcomes.

First, increase your use of preoperative intravitreal anti-VEGF agents. Surgical outcomes will be improved, and often the disease can be stabilized and surgical intervention avoided.

Second, if you have to do vitreoretinal surgery, the goal is complete vitreous cortex removal. Remember, even when you think the vitreous cortex has been elevated, you’re probably wrong, so use triamcinolone in every case.

Finally, your first shot is your best shot, so make it count. Don’t be skimpy. Have a low threshold to use forceps, a lighted pick, or a bimanual technique. That is, do whatever it takes to get all the vitreous elevated.

NEED MORE CRUNCH CONVERSATION?

Elsewhere in this issue, RT’s Chiefs Allen Ho, MD, and Robert Avery, MD, lead a roundtable that extensively addresses crunch effect.

1. Zhao XY, Xia S, Chen YX. Antivascular endothelial growth factor agents pretreatment before vitrectomy for complicated proliferative diabetic retinopathy: a meta-analysis of randomised controlled trials. Br J Ophthalmol. 2018;102(8):1077-1085.

2. Arevalo JF, Maia M, Flynn HW Jr, et al. Tractional retinal detachment following intravitreal bevacizumab (Avastin) in patients with severe proliferative diabetic retinopathy. Br J Ophthalmol. 2008;92(2):213-216.

3. Sebag J, ed. Vitreous: in Health and Disease. New York: Springer; 2014.

4. Iyer SSR, Regan KA, Burnham JM, Chen CJ. Surgical management of diabetic tractional retinal detachments [published online ahead of print May 9, 2019]. Surv Ophthalmol.