Circumscribed choroidal hemangioma (CCH) is a benign vascular tumor composed of endothelium-lined vascular channels. CCH typically occurs in the macular, perimacular, or peripapillary regions.1,2 This tumor classically appears as an orange-colored mass and can have associated subretinal fluid (SRF) or overlying cystoid macular edema (CME), either of which can lead to decreased vision.

AT A GLANCE

  • Circumscribed choroidal hemangioma (CCH) is a benign vascular tumor composed of endothelium-lined vascular channels; it typically occurs in the macular, perimacular, or peripapillary regions.
  • Management of CCH depends on tumor size; location, presence, and amount of fluid or edema; and visual symptoms. The primary goal of treatment is to reduce leakage of CCH.
  • Treatment options have evolved over time. PDT is the most recent and most promising treatment option for CCH.

In 2001, researchers who conducted an analysis of 200 consecutive cases of CCH treated with a variety of methods found that final VA was 20/200 or worse in 52% of patients.2 By Kaplan-Meier analysis, of those who entered with good to moderate VA (20/20 to 20/100), final VA was poor (20/200 or worse) in 12% of patients at 5 years and 43% at 10 years. Of those with poor VA at entry, final VA was poor in 54% at 5 years and 80% at 10 years.

Management of CCH depends, to some degree, on tumor size; location, presence, and amount of SRF or CME; and visual symptoms.2 The primary goal of most therapies is to reduce leakage of CCH; the secondary goal is to induce fibrosis and regression of the mass.

Over the years, treatment options have included laser photocoagulation, external beam radiotherapy, plaque radiotherapy, proton beam radiotherapy, transpupillary thermotherapy, and, most recently, photodynamic therapy (PDT).3-5 PDT has been a major breakthrough in the management of CCH, as it resolves both subretinal and intraretinal fluid and causes minimal side effects.6 In this article, we present a case report and review the literature that illustrates the profound efficacy of PDT in the treatment of CCH.

CASE REPORT

A 48-year-old white woman presented with a 2-week history of blurred vision in the left eye (OS) and was found to have an intraocular mass, prompting referral to the Ocular Oncology Service at Wills Eye Hospital for further evaluation and management. She reported no prior ocular problems, and her medical history was essentially negative.

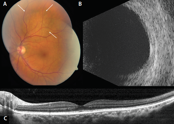
<p>Figure 1. Circumscribed choroidal hemangioma (A, arrows) located superior to the macula with an echodense dome shape on B-scan ultrasonography measuring 4.3 mm in thickness (B) and subfoveal fluid on OCT (C). VA is 20/40.</p>

Click to view larger

Figure 1. Circumscribed choroidal hemangioma (A, arrows) located superior to the macula with an echodense dome shape on B-scan ultrasonography measuring 4.3 mm in thickness (B) and subfoveal fluid on OCT (C). VA is 20/40.

On examination, her BCVA was 20/20 in the right eye (OD) and 20/40 OS. Anterior segment examination of each eye was unremarkable. Fundoscopy appeared normal OD; however, a circumscribed orange-colored choroidal mass with SRF extending into the foveal region was observed OS (Figure 1A). The tumor was located superotemporally and measured 7 mm in diameter and 4.3 mm in thickness. Ultrasonography revealed an echodense choroidal mass with no extrascleral component (Figure 1B), and OCT confirmed subfoveal fluid (Figure 1C), consistent with CCH.

Management with standard-fluence PDT was provided. A single intravenous dose of verteporfin (Visudyne, Bausch + Lomb) 6 mg/m2 was infused for a duration of 10 minutes followed by application of 689 nm diode laser directed at the tumor (spot size 7 mm) at an irradiance of 600 mW/cm2 over 83 seconds (50 J/cm2).

<p>Figure 2. One year after treatment with single session PDT, the hemangioma (A, arrows) showed thickness reduction to 1.5 mm (B) and complete resolution of subfoveal fluid (C). VA is 20/20.</p>

Click to view larger

Figure 2. One year after treatment with single session PDT, the hemangioma (A, arrows) showed thickness reduction to 1.5 mm (B) and complete resolution of subfoveal fluid (C). VA is 20/20.

<p>Figure 3. Five years after treatment with a single session of PDT, the hemangioma (A, arrows) remained regressed, with a flat scar on ultrasonography (B) and no subretinal fluid on OCT (C). VA is 20/20.</p>

Click to view larger

Figure 3. Five years after treatment with a single session of PDT, the hemangioma (A, arrows) remained regressed, with a flat scar on ultrasonography (B) and no subretinal fluid on OCT (C). VA is 20/20.

At 1-year follow-up, the treated mass showed a 65% reduction in thickness (from 4.3 mm to 1.5 mm), and OCT documented complete resolution of subfoveal fluid with a resultant VA of 20/20 (Figure 2). At 5-year follow-up, the choroidal hemangioma remained regressed with fovea intact, and the patient's VA was 20/20 (Figure 3).

DISCUSSION

New Genetic Information

CCH occurs sporadically and is not associated with systemic disease.2 Genetic testing of patients with diffuse choroidal hemangioma and CCH in a study by Francis et al revealed new genetic information.7 The investigators found somatic GNAQ mutation (Q209 codon) in 100% of the patients with CCH, whereas one patient with diffuse choroidal hemangioma was found to have GNAQ mutation (R183 codon). Remarkably, this study also found that, when it is present in an endothelial cell, the GNAQ (Q209 codon) mutation could lead to CCH, but a similar mutation present in a melanocyte could lead to choroidal nevus/melanoma.7

Unilateral or Bilateral?

Most clinicians have been taught that CCH is a unifocal, unilateral disease. However, Sobol et al recently found that CCH can in fact be a bilateral process.8 Using enhanced depth imaging spectral-domain OCT to measure subfoveal choroidal thickness (SFCT), Sobol et al found that the mean SFCT in fellow eyes of patients with CCH was 361.2 μm compared with a mean SFCT of 252 μm in a control group matched for age and gender (P < .0001). The study also found that choroidal architecture was disorganized in the fellow eyes of 42% of patients with CCH compared with 3% of patients in the control group (P < .0001).8 Based on these findings, increased SFCT may be a predisposing factor to development of CCH.

Evolving Treatment Options

Management of CCH has evolved over time.3-5 Successful treatment of CCH with photocoagulation has been reported; however, in 64 eyes treated using photocoagulation, subsequent reaccumulation of SRF was observed in 40%.9 Naseripour et al investigated the efficacy of ruthenium-106 plaque radiotherapy for the treatment of CCH in 21 eyes.4 This treatment method controlled the tumor in 100% of eyes.4 However, radiation retinopathy (24%), radiation-related papillopathy (5%), and subretinal fibrosis (10%) led to a final mean VA of 20/40.

Another treatment option is transpupillary thermotherapy. In a study evaluating treatment outcomes in 38 eyes with CCH treated using this method, complete tumor regression was achieved in 16 (42%), and partial tumor regression was achieved in 20 (53%). However, complications of retinal and retinal pigment epithelial alterations, as well as retinal vascular obstruction, were observed.5

Evidence of PDT's Efficacy

At this time, PDT is the most effective primary choice for the treatment of CCH. Early reports on PDT for CCH showed that VA improved in most patients treated using this method. Jurklies et al studied 19 patients with CCH who were treated with PDT.3 They found that the median VA following treatment was 20/40, VA improved by at least 1 Snellen line in 74% of eyes, and complete resolution of subretinal exudation occurred in 95% of eyes.3 Papastefanou et al compared lens-sparing external beam radiotherapy and plaque radiotherapy with PDT in 42 patients. No difference in tumor thickness decrease or in VA gain was found between external beam radiotherapy and PDT. However, a decrease in VA was noted in all eyes treated with plaque radiotherapy.1

Recently, Shields et al analyzed 458 eyes with CCH managed in the pre-PDT era (1967-2001) versus the PDT era (2002-2018).10 The authors demonstrated that visual outcomes for patients treated in the PDT era were significantly better than visual outcomes for those treated in the pre-PDT era. Patients treated in the PDT era had mean VA of 20/63 after treatment, compared with mean VA of 20/400 after treatment in patients treated in the pre-PDT era (P < .0001). Furthermore, more favorable visual outcomes (VA ≥ 20/40) were seen in eyes treated in the PDT era than in eyes treated in the pre-PDT era, particularly if the entering VA was at or above 20/40 (74.7% vs 59.6%, P = .001). In patients with a poor entering VA (20/50 to 20/200), 47.3% of eyes treated in the PDT era achieved a VA outcome of at least 20/40, compared with 25.4% of eyes treated in the pre-PDT era (P < .001).10 Tumors also regressed to a smaller mean tumor thickness in eyes treated in the PDT era compared with eyes treated in the pre-PDT era. In patients treated in the PDT era, the mean tumor thickness was 2.49 mm compared with 2.95 mm in patients treated in the pre-PDT era (P < .001).10

Yes, It Works

In summary, PDT is an effective therapy for symptomatic CCH. The case described above illustrates the potential for some patients with CCH, if the disease is caught early enough, to regain VA to 20/20. Patients with CCH who were treated in the pre-PDT era, as evident in the data reported in studies published before the use of PDT, had generally poor VA outcomes (< 20/200), whereas patients treated with PDT have demonstrated a mean VA outcome of 20/63.2,10 So, to answer the question posed in the title of this article, yes, PDT is an effective treatment for CCH.

Support provided in part by the Eye Tumor Research Foundation, Philadelphia, PA (CLS). The funders had no role in the design and conduct of the study, in the collection, analysis, and interpretation of the data, or in the preparation, review or approval of the manuscript. Carol L. Shields, MD, has had full access to all the data in the study and takes responsibility for the integrity of the data and the accuracy of the data analysis.

1. Papastefanou VP, Plowman PN, Reich E, et al. Analysis of long-term outcomes of radiotherapy and verteporfin photodynamic therapy for circumscribed choroidal hemangioma. Ophthalmology Retina. 2018;2(8):842-857.

2. Shields CL, Honavar SG, Shields JA, Cater J, Demirci H. Circumscribed choroidal hemangioma: clinical manifestations and factors predictive of visual outcome in 200 consecutive cases. Ophthalmology. 2001;108(12):2237-2248.

3. Jurklies B, Anastassiou G, Ortmans S, et al. Photodynamic therapy using verteporfin in circumscribed choroidal haemangioma. Br J Ophthalmol. 2003;87(1):84-89.

4. Naseripour M, Maleki A, Astaraki A, et al. Ruthenium-106 brachytherapy in the treatment of circumscribed choroidal hemangioma. Retina. 2018;38(5):1024-1030.

5. Gündüz K. Transpupillary thermotherapy in the management of circumscribed choroidal hemangioma. Surv Ophthalmol. 2004;49(3):316-327.

6. Lee J, Lee CS, Kim M, Lee SC. Retinal fluid changes and therapeutic effects in symptomatic circumscribed choroidal hemangioma patients: a long-term follow up study. BMC Ophthalmol. 2018;18(1):321-328.

7. Francis JH, Milman T, Grossniklaus H, et al. GNAQ mutations in diffuse and solitary choroidal hemangiomas. Ophthalmology. 2019;126(5):759-763.

8. Sobol EK, Francis JH, Abramson DH, Freund KB, Spaide RF, Barbazetto I. Subfoveal choroidal thickness and vascular architecture in fellow eyes of patients with circumscribed choroidal hemangioma [published online ahead of print January 9, 2019]. Retina.

9. Anand R, Augsburger JJ, Shields JA. Circumscribed choroidal hemangiomas. Arch Ophthalmol. 1989;107(9):1338-1342.

10. Shields CL, Dalvin LA, Lim LS, et al. Circumscribed choroidal hemangioma: visual outcome in the pre-photodynamic therapy (PDT) vs PDT eras in 458 cases. Retina. In press. 2019.