Intraocular gas tamponade creates a gas-fluid interface in the eye, which complicates adequate visualization of the fundus with spectral-domain OCT. With lack of visual confirmation of macular hole (MH) closure, clinicians have perpetuated excessive facedown positioning (FDP) regimens that can be arduous and may even be contraindicated in some patients with comorbidities.

AT A GLANCE

  • Positioning regimens after surgery for MH closure can be distressing, highly uncomfortable, and even harmful for patients with comorbidities.
  • OCT angiography can be used to assess gas-filled eyes and closure status of MHs on postoperative day 1.
  • Capturing a clear image of MH closure can facilitate decrease or discontinuation of positioning time for patients while maintaining surgical and visual outcomes.

The standard duration of FDP has gradually decreased from as much as 1 month to as little as 3 days.1-3 A pilot study demonstrated an 85% closure rate (28 of 33 eyes) with no FDP,4 challenging its necessity altogether. Since then, multiple studies have confirmed comparable efficacy of strict FDP and no-FDP regimens in MH closure.5,6 Although the evidence remains inconclusive on the impact of postoperative FDP on the outcome of MH surgery,7 two randomized, controlled trials have suggested a benefit of FDP with higher closure rate in holes larger than 400 µm.8,9

OCT angiography (OCTA) can effectively capture images in gas-filled eyes, with clear visualization of the fovea and closure status of MHs at postoperative day 1. We sought to evaluate the effectiveness of OCTA in ascertaining MH closure at postoperative day 1 in an attempt to minimize cumbersome FDP regimens for patients.

STUDY

Seven patients (three phakic, four pseudophakic) with idiopathic, unilateral MHs stages 2 to 4 were treated by two physicians following the same surgical protocol. Surgery included pars plana vitrectomy, internal limiting membrane (ILM) staining and peeling, and gas tamponade.

The AngioVue OCTA imaging system (Optovue) was used to perform the following OCTA and OCT scan protocols preoperatively and postoperatively, contingent on sufficient view: OCTA (6.0 mm), 3D widefield volume OCT (12.0 x 9 mm), and retina cross-line (10.0 mm) scan. All scans were performed by two experienced retinal photographers with the patient in an upright position.

Patients were instructed to maintain FDP after surgery until their postoperative day 1 visit. If the MH was observed to be closed on OCTA, the patient was allowed to discontinue FDP but was instructed to avoid faceup positioning until clearance of the gas bubble.

OCTA adequately visualized hole closure status in six of the seven patients. Four patients had apparent total closure of the MH, and for them FDP was discontinued. Details for two of those patients are illustrated in Figures 1 and 2. The other two patients had adequate visualization of the fovea by OCTA, but only near-total closure was noted. They were instructed to continue FDP, typically for a total of 3 days. OCTA could not adequately document MH closure status in one patient.

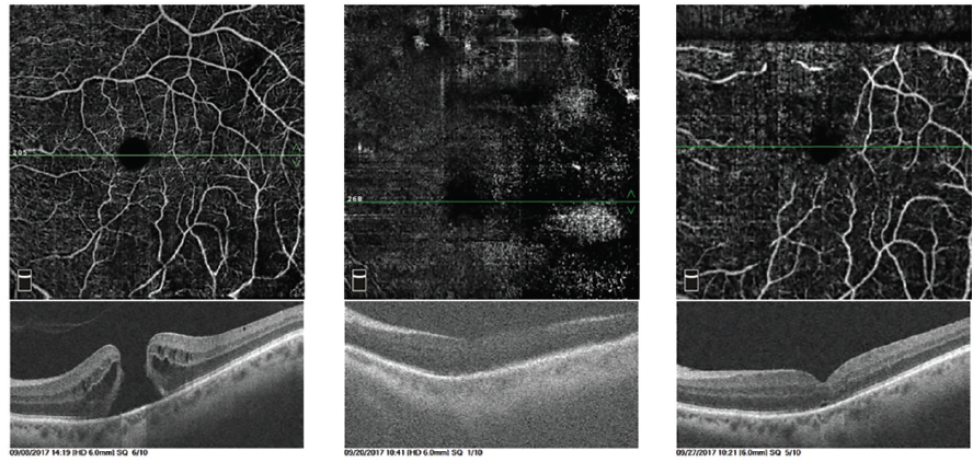
<p>Figure 1. Superficial en face OCTA images of a 74-year-old pseudophakic woman before surgery (left column), at postoperative day 1 (middle column), and at postoperative week 1 (right column). The OCTA scan followed the course of the retinal vessels, localized the fovea, and obtained the best quality images with gas in place. Although resolution was limited in the postoperative day 1 image, MH closure was evident, and FDP was discontinued. BCVA improved from 20/200 before surgery to 20/40 at 6 months.</p>

Click to view larger

Figure 1. Superficial en face OCTA images of a 74-year-old pseudophakic woman before surgery (left column), at postoperative day 1 (middle column), and at postoperative week 1 (right column). The OCTA scan followed the course of the retinal vessels, localized the fovea, and obtained the best quality images with gas in place. Although resolution was limited in the postoperative day 1 image, MH closure was evident, and FDP was discontinued. BCVA improved from 20/200 before surgery to 20/40 at 6 months.

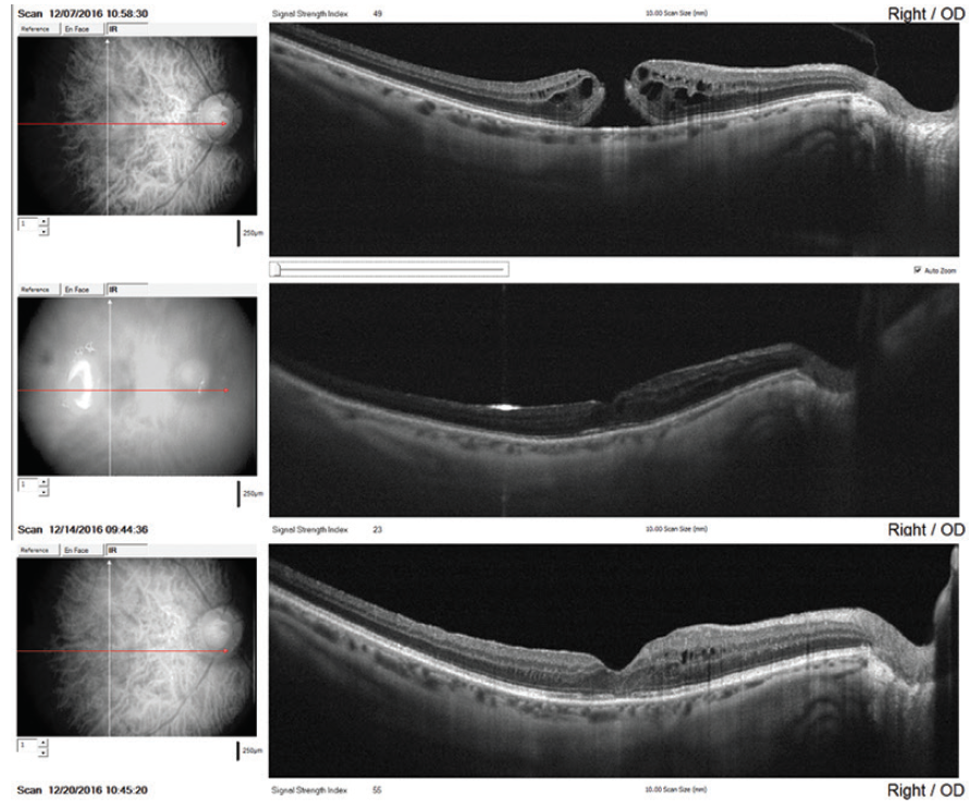
<p>Figure 2. Infrared imaging combined with dense raster scans (including the optic nerve) was used to localize the fovea and confirm MH closure in a 70-year-old pseudophakic woman. The preoperative image (top row) illustrates a full-thickness MH with associated intraretinal cystoid changes. Using the optic disc as a reference, infrared imaging was used along with the OCT component of the OCTA platform to localize the fovea and demonstrate closure of the MH at postoperative day 1 (middle row) and postoperative week 1 (bottom row). BCVA improved from 20/100 before surgery to 20/25 at a postoperative visit 21.5 months later.</p>

Click to view larger

Figure 2. Infrared imaging combined with dense raster scans (including the optic nerve) was used to localize the fovea and confirm MH closure in a 70-year-old pseudophakic woman. The preoperative image (top row) illustrates a full-thickness MH with associated intraretinal cystoid changes. Using the optic disc as a reference, infrared imaging was used along with the OCT component of the OCTA platform to localize the fovea and demonstrate closure of the MH at postoperative day 1 (middle row) and postoperative week 1 (bottom row). BCVA improved from 20/100 before surgery to 20/25 at a postoperative visit 21.5 months later.

Mean visual gain from preoperative to postoperative was 27 (±7) letters. Two patients underwent cataract surgery with IOL implantation after the MH surgery. Two patients had visually significant cataracts at their most recent follow-up.

DISCUSSION

Until 1996, strict postoperative FDP was thought to be critical for successful MH closure. Long periods of FDP are uncomfortable, may be painful in those with cervical and lumbar pathology, and can deter patients from opting for surgery altogether. Furthermore, FDP has been linked to ulnar neuropathy,10 decubitus ulcers,11 and, rarely, venous thrombotic/thromboembolic disease.12,13

Given the numerous potential variables—including MH size, chronicity of MH, and surgeon-to-surgeon variability—the practice patterns for MH surgery significantly vary.14 Despite reports of positive outcomes without strict FDP, 87% of US respondents to a 2018 American Society of Retina Specialists survey reported that they recommend postoperative FDP for patients.15

Fourier-domain OCT has been used to discern MH closure as early as 24 hours after surgery, providing guidance to the surgeon regarding FDP duration.16-19 Microvascular features and the potential for postoperative recovery due to neuronal and vascular plasticity have been elucidated using OCTA.20-23 However, to the best of our knowledge, this is the first report of using features specific to OCTA to discern MH status in gas-filled eyes in the immediate postoperative period.

In our study, OCTA successfully visualized the fovea in six of the seven patients in our cohort (86%) on postoperative day 1. There was a 100% MH closure rate at postoperative week 1, despite discontinuation of FDP in four (57%) patients who had complete hole closure noted on postoperative day 1.

OCTA offers superior axial resolution (5 µm) and scanning speed (70,000 A-scans per second) compared to previous spectral-domain OCT technologies. Visualization of the fovea is more accurate because the vessels can be easily identified using the angiography portion of the OCTA scans.

For our study, at the day 1 postoperative visit the automatic follow-up option of the OptoVue device was disabled because the infrared view was significantly different compared with the preoperative scans and the software would not allow automatic registration. The infrared view was used to visualize the macula, and then the retinal vessels and optic nerve were used to assist in locating the fovea. To successfully acquire the best available OCTA image quality and position, the automatic adjustment function (a combination of auto Z, auto F, and auto P) was performed twice, followed by manual adjustment of the focus and scan position by the photographer. The 3D widefield volume OCT and cross-line scans were also obtained following these specified adjustments.

Image quality was found to be better in pseudophakic patients than in phakic patients overall. The presence of cataract may have prevented adequate visualization of the fundus in one patient.

CONCLUSION

With its superior axial resolution and high scanning speed, OCTA may assist in confirming MH closure status in gas-filled eyes in the immediate postoperative period. Visual confirmation of MH closure on OCTA may be used as evidence to discontinue or reduce patients’ FDP regimens after MH surgery. Ultimately, this improves the patient experience and reduces morbidity while maintaining good surgical and visual outcomes.

1. Benson WE, Cruickshanks KC, Fong DS, et al. Surgical management of macular holes: a report by the American Academy of Ophthalmology. Ophthalmology. 2001;108(7):1328-1335.

2. Almeida DR, Wong J, Belliveau M, Rayat J, Gale J. Anatomical and visual outcomes of macular hole surgery with short-duration 3-day face-down positioning. Retina. 2012;32(3):506-510.

3. Rayat J, Almeida DR, Belliveau M, Wong J, Gale J. Visual function and vision-related quality of life after macular hole surgery with short-duration, 3-day face-down positioning. Can J Ophthalmol. 2011;46(5):399-402.

4. Tornambe PE, Poliner LS, Grote K. Macular hole surgery without face-down positioning. A pilot study. Retina. 1997;17(3):179-185.

5. Forsaa VA, Raeder S, Hashemi LT, Krohn J. Short-term postoperative non-supine positioning versus strict face-down positioning in macular hole surgery. Acta Ophthalmol. 2013;91(6):547-551.

6. Alberti M, la Cour M. Face-down positioning versus non-supine positioning in macular hole surgery. Br J Ophthalmol. 2015;99(2):236-239.

7. Solebo AL, Lange CA, Bunce C, Bainbridge JW. Face-down positioning or posturing after macular hole surgery. Cochrane Database Syst Rev. 2011;(12):CD008228.

8. Guillaubey A, Malvitte L, Lafontaine PO, et al. Comparison of face-down and seated position after idiopathic macular hole surgery: a randomized clinical trial. Am J Ophthalmol. 2008;146(1):128-134.

9. Lange CA, Membrey L, Ahmad N, et al. Pilot randomised controlled trial of face-down positioning following macular hole surgery. Eye (Lond). 2012;26(2):272-277.

10. Holekamp NM, Meredith TA, Landers MB, et al. Ulnar neuropathy as a complication of macular hole surgery. Arch Ophthalmol. 1999;117(12):1607-1610.

11. Vincent JM, Peyman GA, Ratnakaram R. Bilateral ulnar decubitus as a complication of macular hole surgery. Ophthalmic Surg Lasers Imaging 2003;34(6):485-486.

12. Au Eong KG, Beatty S, Thomas W, Sen V, Turner GS. Pulmonary embolism following head positioning for retinal reattachment surgery in a young patient with factor V leiden mutation. Arch Ophthalmol. 2000;118(9):1300-1301.

13. Starr MR, Iezzi R. Mesenteric venous thrombosis after face-down positioning for retina detachment surgery. Ophthalmol Retina. 2018;2(11):1174-1175.

14. Patel S, Sternberg, P. Face-down positioning following macular hole surgery: pros and cons. J Vitreoretin Dis. 2017;1(5):331-333.

15. Singh RP, Stone TW, eds. 2018 Global Trends in Retina Survey. American Society of Retina Specialists 2018. https://www.asrs.org/content/documents/2018-global-trends-in-retina-survey-highlights-website.pdf Accessed September 20, 2019.

16. Muqit MM, Akram I, Turner GS, Stanga PE. Fourier-domain OCT imaging of gas tamponade following macular hole surgery. Ophthalmic Surg Lasers Imaging. 2010;41(online):e1-6.

17. Eckardt C, Eckert T, Eckardt U, Porkert U, Gesser C. Macular hole surgery with air tamponade and OCT-based duration of face-down positioning. Retina. 2008;28(8):1087-1096.

18. Masuyama K, Yamakiri K, Arimura N, Sonoda Y, Doi N, Sakamoto T. Posturing time after macular hole surgery modified by OCT images: a pilot study. Am J Ophthalmol. 2009;147(3):481-488.e2.

19. Zhang Y, Chen X, Hong L, et al. Facedown positioning after vitrectomy will not facilitate macular hole closure based on swept-source OCT imaging in gas-filled eyes: a prospective, randomized comparative interventional study. Retina. 2019;39(12):2353-2359.

20. Shahlaee A, Rahimy E, Hsu J, Gupta OP, Ho AC. Preoperative and postoperative features of macular holes on en face imaging and optical coherence topography angiography. Am J Ophthalmol Case Rep. 2016;5:20-25.

21. Yun C, Ahn J, Kim M, et al. Characteristics of retinal vessels in surgically closed macular hole: an OCT angiography study. Graefes Arch Clin Exp Ophthalmol. 2017;255(10):1923-1924.

22. Cho JH, Yi HC, Bae SH, Kim H. Foveal microvascular features of surgically closed macular hole using OCT angiography. BMC Ophthalmol. 2017;17:217.

23. Demirel S, Değirmenci MFK, Bilici S, et al. The recovery of microvascular status evaluated by OCT angiography in patients after successful macular hole surgery. Ophthalmic Res. 2018;59(1):53-57.