The term fovea plana refers to the anatomic absence of a foveal pit.1 An estimated 3% of children with clinically normal eyes have an underdeveloped foveal pit on OCT.2

A foveal pit is not necessarily required for foveal cone specialization.1 On its own, a diagnosis of fovea plana does not automatically portend functional disability. It is certainly possible to maintain adequate visual acuity in an eye with fovea plana.1,3

By contrast, foveal hypoplasia refers to an underdeveloped fovea with associated vision loss.4 Foveal hypoplasia has been seen with conditions such as aniridia, albinism, achromatopsia, nanophthalmos, incontinentia pigmenti, and retinopathy of prematurity.1,2,5

Fovea plana is generally discovered in younger or older adults during routine OCT evaluation, but it has also been reported in children as young as 4 years.2 Fovea plana is typically a bilateral process with symmetric structural findings on spectral-domain OCT, suggesting a developmental process that results in arrested foveal maturation.6 Rare cases of unilateral fovea plana have been reported, however, suggesting that independent factors such as genetic mosaicism or local tissue environment might play a role in the development of fovea plana.6,7

We recently cared for a 6-month-old boy with unilateral advanced retinoblastoma necessitating enucleation. At the time of evaluation, he was noted to have fovea plana in his uninvolved eye on OCT. To the best of our knowledge, this is the earliest reported case of fovea plana, with clear microstructural loss of the foveal pit in this 6-month-old infant.

CASE REPORT

A 6-month-old white boy with left esotropia for 4 months was referred to the Ocular Oncology Service at Wills Eye Hospital for possible retinoblastoma. On examination, visual acuity was fix-and-follow in the right eye and no fix-and-follow in the left eye. Finger tension pressures were normal in both eyes.

The anterior segment and fundus in the right eye were normal with no evidence of tumor and with minimally pigmented choroid, subtle foveal ring-shaped light reflex, and minimal foveolar central light reflex. The left eye demonstrated 30–prism diopter left esotropia and leukocoria. Funduscopically, there was a multinodular, exophytic retinoblastoma (group D) measuring 22.0 mm in diameter and 8.3 mm in thickness, extending through the macula, overhanging the optic nerve, and with viable subretinal seeds. Magnetic resonance imaging demonstrated the enhancing mass with possible distal optic nerve invasion.

Enucleation of the left eye was performed, and retinoblastoma was confirmed with no evidence of uveal or optic nerve invasion histopathologically. The foveal anatomy was altered due to the massive tumor. Genetic testing revealed germline mutation in the RB1 gene.

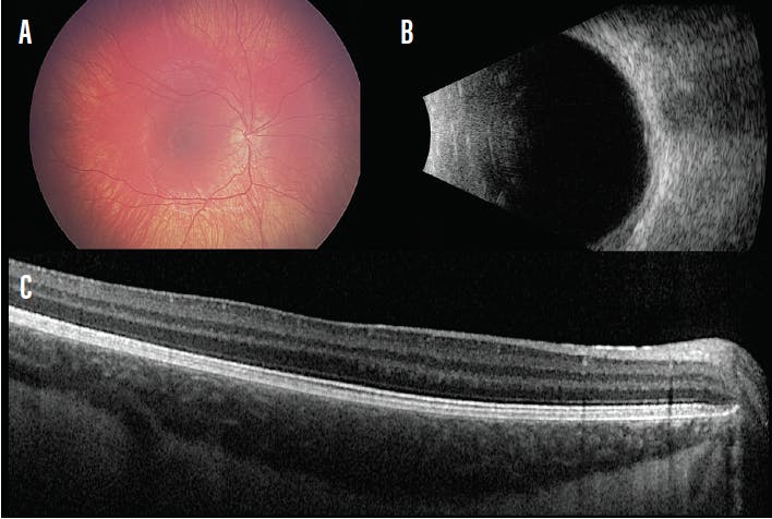
On follow-up, the right eye remained stable, with stable fovea plana (Figure). There was no evidence of aniridia, albinism, nanophthalmos, or other diseases. At 3-year follow-up, VA was 20/60 in the right eye and the fovea plana was unchanged.

<p>Figure. Funduscopy of the right eye showing blonde fundus and prominent choroidal vessels (A), with flat retina on ultrasonography and axial length of 22.3 mm (B). On OCT, there was minimal foveal pit, consistent with fovea plana, and the retinal layers appeared intact (C).</p>

Click to view larger

Figure. Funduscopy of the right eye showing blonde fundus and prominent choroidal vessels (A), with flat retina on ultrasonography and axial length of 22.3 mm (B). On OCT, there was minimal foveal pit, consistent with fovea plana, and the retinal layers appeared intact (C).

DISCUSSION

Foveal development begins to occur in week 25 of gestation and continues into the postnatal period.3 Due to specialized “midget” circuitry in the foveal region, where each cone connects to a single bipolar cell and a single ganglion cell, fewer lateral connections form between neurons in the foveal avascular zone than elsewhere in the retina.3 This makes the foveal avascular zone susceptible to displacement of cone photoreceptors and inner retinal layer cells, forming a complete foveal pit.3 Importantly, even when this pit is absent, cones in the central retina can still morphologically elongate and narrow, enabling them to align compactly with greater numbers for high-resolution visual acuity.3

In 2008, Marmor et al introduced the term fovea plana in a description of four patients, ages 10 to 26 years, with OCT-evident fovea plana. These patients had VA of 20/20 to 20/50 and no evidence of nystagmus or abnormalities on multifocal electroretinogram. The authors concluded that foveal cone specialization can be preserved independently from foveal contour.1 They proposed that the term fovea plana is anatomically descriptive, based on OCT, and that it can appear in patients with related conditions such as aniridia, albinism, and achromatopsia, or might appear in patients with no underlying disease.

Thus, the clinician should not infer that the lack of a foveal pit on OCT signifies poor visual potential. However, any child or adult with poor pit morphology should be evaluated clinically for underlying related conditions.

Since that initial description, several studies of this entity have been published. In 2014, Noval et al reviewed the OCTs of 286 normal children and found an absent foveal pit in nine patients (3%).2 All nine children with fovea plana had bilateral findings and VA of 20/20 in both eyes, with normal stereoacuity.2 The measured mean foveal thickness was greater in eyes with fovea plana (294.5 μm) compared with age-matched controls (219.8 μm, P = .029).2 In 2016, Dolz-Marco et al noted both the loss of the foveal avascular zone and preserved fusion of the superficial and deep capillary plexuses around the foveal center in three patients with fovea plana.8

In 2018, Villegas et al noted that fovea plana presented as a bilateral disease in five of six patients, all of whom maintained 20/40 or better BCVA.6 In the one patient with asymmetric manifestation, an 8-year-old girl, her right eye with 20/25 VA showed obvious fovea plana, whereas her left eye with 20/25 VA showed a normal foveal contour. Both eyes showed exactly the same refraction, +1.00 +1.50 X 90°. The authors noted that astigmatism of +1.50 D or greater was present in 45% of eyes, suggesting that astigmatism may be more prevalent in patients with fovea plana than initially suspected.6

On evaluation, fovea plana can be associated with aniridia, albinism, nanophthalmos, incontinentia pigmenti, retinopathy of prematurity, and achromatopsia, or can be seen in an otherwise healthy eye. In the case presented here, there was initial suspicion for albinism due to a blunted foveal contour, noticeable reduction in uveal pigmentation, and prominent choroidal vessels. However, there was no nystagmus or iris transillumination defect. Thus, this case is likely fovea plana in an otherwise healthy eye, and a good visual outcome is anticipated.

CONCLUSION

Fovea plana is typically a bilateral fundus finding on OCT imaging. It can occur in patients with excellent visual acuity. This rare presentation of fovea plana diagnosed in an eye of a 6-month-old child could represent the youngest patient to be recognized with this abnormality.

Support provided in part by the Eye Tumor Research Foundation, Philadelphia, PA (CLS). The funders had no role in the design and conduct of the study, in the collection, analysis and interpretation of the data, and in the preparation, review or approval of the manuscript. Carol L. Shields, MD, has had full access to all the data in the study and takes responsibility for the integrity of the data.

1. Marmor MF, Choi SS, Zawadzki RJ, Werner JS. Visual insignificance of the foveal pit: reassessment of foveal hypoplasia as fovea plana. Arch Ophthalmol. 2008;126(7):907-913.

2. Noval S, Freedman SF, Asrani S, El-Dairi MA. Incidence of fovea plana in normal children. J AAPOS. 2014;18(5):471-475.

3. Provis JM, Dubis AM, Maddess T, Carroll J. Adaptation of the central retina for high acuity vision: cones, the fovea and the avascular zone. Prog Retin Eye Res. 2013;35:63-81.

4. Pakzad-Vaezi K, Keane PA, Cardoso JN, Egan C, Tufail A. Optical coherence tomography angiography of foveal hypoplasia. Br J Ophthalmol. 2017;101(7):985-988.

5. Dubis AM, Hansen BR, Cooper RF, Beringer J, Dubra A, Carroll J. Relationship between the foveal avascular zone and foveal pit morphology. Invest Ophthalmol Vis Sci. 2012;53(3):1628-1636.

6. Villegas VM, Schwartz SG, Hamet TD, McKeown CA, Capó H, Flynn HW. Variable clinical profile of fovea plana in normal children. Ophthalmic Surg Lasers Imaging Retina. 2018;49(4):251-257.

7. Bechet L, Hage R, Vest A, Jean-Charles A, Merle H. Fovea plana in a 9-year-old boy presenting with decreased vision in the left eye. Am J Case Rep. 2019;20:537-541.

8. Dolz-Marco R, Phasukkijwatana N, Sarraf D, Freund K. Optical coherence tomography angiography in fovea plana. Ophthalmic Surg Lasers Imaging Retina. 2016;47(7):670-673.