Mounting evidence links chronic exposure to pentosan polysulfate sodium (PPS; Elmiron, Janssen Pharmaceuticals) with the development of a novel pigmentary maculopathy. PPS is a semisynthetic heparin-like macromolecule used to treat interstitial cystitis (IC), a chronic, incurable bladder pain syndrome manifesting as relentless bladder or pelvic pain, incontinence, and dyspareunia. It is estimated that IC affects more than 1 million individuals in the United States, predominantly women.1,2 PPS is the only oral option of the two US FDA–approved therapies for IC. Since compassionate use in 1986 and regulatory approval in 1996, PPS has been prescribed by urologists and gynecologists to hundreds of thousands of patients with IC.3,4

AT A GLANCE

  • Patients exposed to pentosan polysulfate sodium (PPS) have increased risk of developing maculopathy.
  • PPS is used to treat interstitial cystitis and has been used by patients since 1986.
  • Annual exams with imaging are recommended for patients who have had chronic PPS exposure.

The association of PPS with maculopathy was first reported in 2018 by Pearce et al in a single-center case series of six patients (six white women, median age 60 years, age range 37-62 years) reporting difficulty reading, paracentral scotomas, and prolonged dark adaptation despite relatively preserved visual acuity.5 Examination revealed paracentral retinal pigment epithelium (RPE) hyperpigmentation surrounded by subtle vitelliform-like deposits with highly irregular appearances on fundus autofluorescence (FAF) and near-infrared reflectance (NIR) imaging. These patients underwent genetic screening and evaluation for hereditary retinal dystrophies and mitochondrial cytopathies, all of which were negative. Diagnosis of IC and exposure to PPS was the common denominator in all patients.

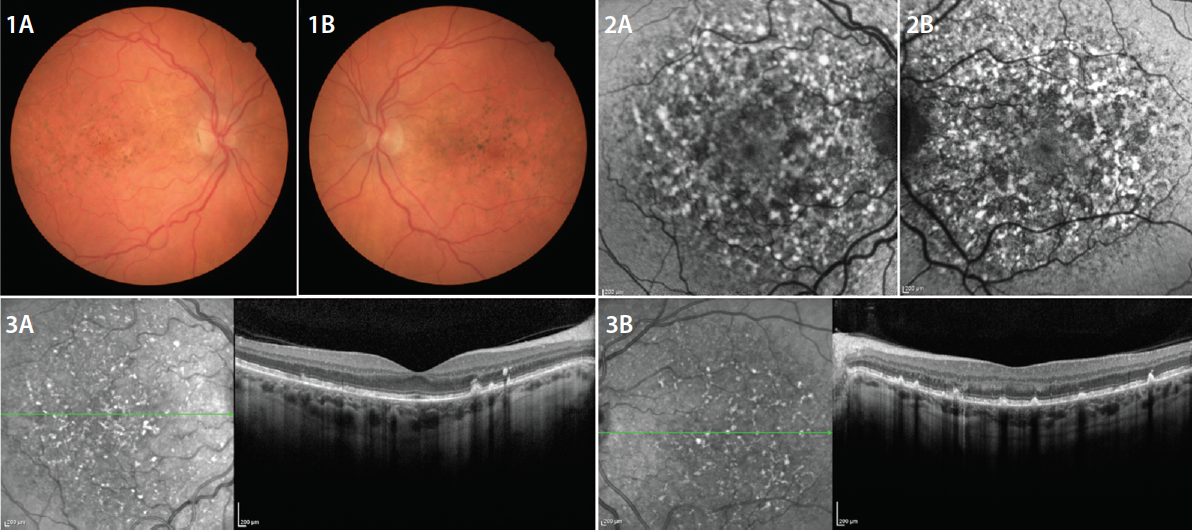
Subsequent case series and cohort studies demonstrated a pattern of PPS exposure characteristics and clinical features.6-8 In these studies, affected patients tended to be white women of median age 60 years (range 37-79 years). Symptoms most commonly reported were blurred vision, prolonged dark adaptation, and metamorphopsia. The most common presenting diagnoses for these cases were macular or pattern dystrophy and age-related macular degeneration (Figure).

<p>Figure. Clinical characteristics of PPS maculopathy are demonstrated here, with bilateral symmetric pathology centered on the fovea. Hyperpigmented spots, pale yellow-orange deposits, and/or patchy RPE atrophy are observed on color fundus photography (1 A, B). FAF imaging reveals a dense array of hyper- and hypoautofluorescent spots in the posterior pole that tend to be much more striking than relatively subtle fundus examination findings (2 A, B). OCT imaging demonstrates focal thickening or elevation of the RPE layer with associated hyperreflectance on NIR imaging (3 A, B).</p>

Click to view larger

Figure. Clinical characteristics of PPS maculopathy are demonstrated here, with bilateral symmetric pathology centered on the fovea. Hyperpigmented spots, pale yellow-orange deposits, and/or patchy RPE atrophy are observed on color fundus photography (1 A, B). FAF imaging reveals a dense array of hyper- and hypoautofluorescent spots in the posterior pole that tend to be much more striking than relatively subtle fundus examination findings (2 A, B). OCT imaging demonstrates focal thickening or elevation of the RPE layer with associated hyperreflectance on NIR imaging (3 A, B).

Longitudinal follow-up suggests a progressive maculopathy that spreads centrifugally. Macular pigment clumps appear to be a sign of early disease and may ultimately progress to RPE atrophy in later stages. Visual acuity tends to be preserved, except in cases of center-involving RPE atrophy and cystoid macular edema.6,8 To date, there is also a single case report of choroidal neovascularization associated with PPS maculopathy that resulted in vision loss.9 Full-field electroretinography demonstrates variable mild attenuation of response amplitudes that is consistent with macular disease, and multifocal electroretinography reveals mild to severe attenuation.

RELATIONSHIP TO PPS EXPOSURE

In a cohort of 219 patients with IC and PPS exposure, the odds ratio for developing an unspecified pigmentary maculopathy was 11.25, and all 14 patients with definite clinical characteristics of PPS maculopathy had exposure to PPS.7 No other IC therapy demonstrated a significant association with maculopathy. Patients with maculopathy reported duration of PPS intake ranging 3 to 22 years (median 16-17 years).5-9 A retrospective cohort study by Jain et al involving a large US claims database found that, by 7 years, PPS users had significantly increased odds (odds ratio = 1.41) of developing maculopathy compared with matched controls.10

In a large cohort of patients, Vora et al reported definite signs of PPS maculopathy in 11% of patients taking 500 to 999 g PPS daily, and in 42% of those taking more than 1,500 g PPS daily.8 Patients with maculopathy had ingested an average of 14,067 capsules compared with 10,561 capsules in those without maculopathy.8

IMPLICATIONS

It is unusual for a potential drug toxicity to manifest decades after initial FDA approval. PPS safety was not a major issue in clinical trials, and no ocular adverse events were identified.11-13 Pathogenesis remains unclear. Based on the prolonged exposure time and cumulative dose, the mechanism is potentially related to toxic PPS metabolites accumulating in the RPE, thereby disrupting processing of photoreceptor outer segments or the interphotoreceptor matrix.6

These findings represent a major patient safety issue. Many patients with PPS exposure may have been misdiagnosed with age-related macular degeneration or retinal dystrophies, which may have led to preventable, irreversible vision loss or unwarranted genetic counseling. It remains unclear whether discontinuing PPS will halt or alter the course of maculopathy. For now, evidence suggests that the smallest effective dose should be used for the least amount of time.

It may be advisable to perform annual exams with imaging (ie, fundus photography, FAF, NIR, and OCT) of patients with chronic PPS exposure. Discussion with urology and gynecology colleagues is ongoing to raise awareness of PPS toxicity; at the time of publication, the FDA has not issued any warnings.14-17 Further investigation is warranted to explore pathogenesis and to inform screening guidelines for this sight-threatening condition.

1. Parsons CL. Evidence-based strategies for recognizing and managing IC. Contemp Urol. 2003;15(2):22-35.

2. Curhan GC, Speizer FE, Hunter DJ, et al. Epidemiology of interstitial cystitis: a population based study. J Urol. 1999;161(2):549-552.

3. Kivlin D, Lim C, Ross C, et al. The diagnostic and treatment patterns of urologists in the United States for interstitial cystitis/painful bladder syndrome. Urol Pract. 2016;3(4):309-314.

4. Davis NF, Brady CM, Creagh T. Interstitial cystitis/painful bladder syndrome: epidemiology, pathophysiology and evidence-based treatment options. Eur J Obstet Gynecol Reprod Med. 2014;175(4):30-37.

5. Pearce WA, Chen R, Jain N. Pigmentary maculopathy associated with chronic exposure to pentosan polysulfate sodium. Ophthalmology. 2018;125(11):1793-1802.

6. Davis NF, Brady CM, Creagh T. Interstitial cystitis/painful bladder syndrome: epidemiology, pathophysiology and evidence-based treatment options. Eur J Obstet Gynecol Reprod Med. 2014;175(4):30-37.

7. Hanif AM, Shah R, Jiong Yan, et al. Strength of association between pentosan polysulfate and a novel maculopathy. Ophthalmology. 2019;126(10):1464-1466.

8. Vora R, Patel A, Melles RS. Maculopathy associated with pentosan polysulfate therapy: the KPNC experience. Paper presented at: AAO Retina Subspecialty Day; October 12-13, 2019; San Francisco, CA.

9. Mishra K, Patel TP, Singh MS. Choroidal neovascularization associated with pentosan polysulfate toxicity. Ophthalmol Retina. 2019;4(1):111-113.

10. Jain N, Li AL, Yu Y, et al. Association of macular disease with long-term use of pentosan polysulfate sodium: findings from a US cohort [published online ahead of print November 6, 2019]. Br J Ophthalmol.

11. Nickel JC, Herschorn S, Whitmore KE, et al. Pentosan polysulfate sodium for treatment of interstitial cystitis/bladder pain syndrome: Insights from a randomized, double-blind, placebo controlled study. J Urol. 2015;193(3):857-862.

12. Anderson VR, Perry CM. Pentosan polysulfate: a review of its use in the relief of bladder pain or discomfort in interstitial cystitis. Drugs. 2006; 66(6) 821-835.

13. Hanno PM. Analysis of long-term Elmiron therapy for interstitial cystitis. Urology. 1997;49:93-99.

14. Pearce WA, Hanif AM, Jain N. Re: FDA BRUDAC 2018 criteria for interstitial cystitis/bladder pain syndrome clinical trials: future direction for research: J. C. Nickel and R. Moldwin. J Urol. 2018;200:39-42. J Urol. 2018; 200(5):1122-1123.

15. Nickel JC, Moldwin R. Reply by authors. J Urol. 2018;200(5):1122-1123.

16. Ferguson TJ, Gaerets RL, Barker MA. Chronic use of pentosan polysulfate sodium associated with risk of vision-threatening disease. Int Urogynecol J. 2019;30(3):337-338.

17. Wein AJ. Re: pigmentary maculopathy associated with chronic exposure to pentosan polysulfate sodium. J Urol. 2020;203(2):259-260.