A 58-year-old white man presented with a 1-week history of blurred vision in both eyes. He reported no photophobia or eye pain and no history of ocular trauma. The patient’s ocular history was relevant for primary open-angle glaucoma in both eyes. He had undergone trabeculectomy in his right eye in 2015 and was taking brinzolamide, bimatoprost, and a fixed combination of brimonidine and timolol in the left eye at the time of presentation to our center. He had no significant past medical history and was not taking any oral medications. In the review of systems, he reported no headaches, hearing loss, or joint pains. At the time of initial evaluation, the patient denied the use of any topical, inhaled, or oral corticosteroid-based medications.

AT A GLANCE

  • The acute stages of Vogt-Koyanagi-Harada (VKH) disease and central serous chorioretinopathy (CSCR) share characteristics and can sometimes be confused with one another.
  • In this case report, the patient was initially thought to have VKH and was treated for that condition.
  • When additional information emerged, the diagnostic picture changed.

On examination, his Snellen BCVA was counting fingers at 1 foot in his right eye and 20/200 in his left eye. IOP was 2 mm Hg in his right eye and 22 mm Hg in his left eye. Anterior segment evaluation revealed corneal endothelial pigment deposition in both eyes. Posterior segment examination revealed serous retinal detachments in both eyes and choroidal effusions in the right eye (Figure 1).

Imaging with spectral-domain OCT (SD-OCT) showed subretinal fluid with sub–external limiting membrane fluid in the right eye and subretinal fluid in the left eye (Figure 2). Fluorescein angiography revealed multifocal pinpoint leakage in the posterior pole in both eyes (Figure 3) without evidence of disc leakage.

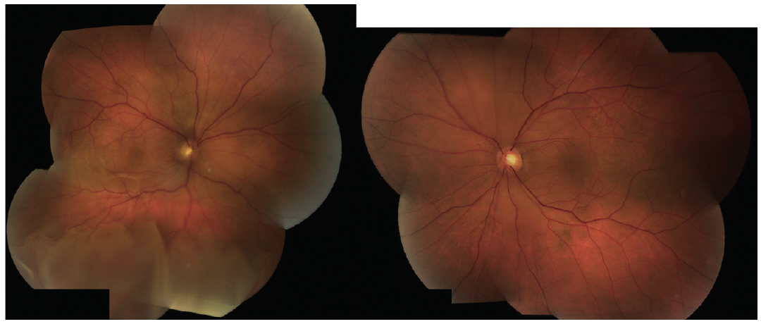
<p>Figure 1. Fundus photographs of the right and left eyes show serous retinal detachment in each eye.</p>

Click to view larger

Figure 1. Fundus photographs of the right and left eyes show serous retinal detachment in each eye.

<p>Figure 2. OCT of the right eye (top) demonstrates extensive intraretinal cystic fluid. OCT of the left eye (bottom) demonstrates subretinal/subexternal limiting membrane fluid.</p>

Click to view larger

Figure 2. OCT of the right eye (top) demonstrates extensive intraretinal cystic fluid. OCT of the left eye (bottom) demonstrates subretinal/subexternal limiting membrane fluid.

<p>Figure 3. Fluorescein angiography of the right (top) and left (bottom) eyes shows multifocal areas of pinpoint leakage in each eye.</p>

Click to view larger

Figure 3. Fluorescein angiography of the right (top) and left (bottom) eyes shows multifocal areas of pinpoint leakage in each eye.

Our initial differential diagnosis included causes of an inflammatory exudative choroidopathy, such as Vogt-Koyanagi-Harada (VKH) disease or sympathetic ophthalmia. Other causes of panuveitis, such as tuberculosis, sarcoidosis, and syphilis, had to be excluded. The patient was started on oral prednisone 80 mg daily and was referred to a uveitis specialist for further workup. Further evaluation included testing for Toxoplasma gondii (negative), QuantiFERON-TB Gold (Qiagen; negative), angiotensin-converting enzyme and lysozyme levels (normal), rapid plasma reagin and fluorescent treponemal antibody absorption testing (nonreactive; negative), and chest x-ray (normal).

Over the next month, the patient’s serous retinal detachments improved slightly while the dose of prednisone was tapered. When the taper reached 40 mg/day, the exudation once again worsened. At this time, the decision was made to inject a dexamethasone intravitreal implant 0.7 mg (Ozurdex, Allergan) into the patient’s left eye.

At the next visit, no significant improvement of the subretinal fluid in the left eye was seen. At this visit, upon further questioning, the patient revealed that he had been taking oral oxymetholone, a strong androgenic and anabolic steroid, for physique-enhancement purposes—something which he had not reported at previous visits.

Given these findings and the patient’s variable response to steroids, it is most likely that the patient had a variant of central serous chorioretinopathy (CSCR). The oral steroids were stopped, and the patient was instructed to cease using the oxymetholone pills. At the most recent follow up visit, 2 months after stopping the oral prednisone, BCVA was 20/70 in the patient’s right eye with resolving subretinal fluid and 20/30 in the left eye with no subretinal fluid (Figure 4). Observation of the patient continues, awaiting further improvement.

<p>Figure 4. OCT was taken 2 months after the discontinuation of the patient’s steroids. OCT of the right eye (left photo) shows interval improvement in the subretinal fluid. OCT of the left eye (right photo) shows resolution of the subretinal fluid.</p>

Click to view larger

Figure 4. OCT was taken 2 months after the discontinuation of the patient’s steroids. OCT of the right eye (left photo) shows interval improvement in the subretinal fluid. OCT of the left eye (right photo) shows resolution of the subretinal fluid.

DISCUSSION

CSCR is a common condition characterized by accumulation of subretinal fluid in the macula along with pigment epithelial detachments (PEDs). The pathogenesis of CSCR is not fully elucidated, but studies have shown that it may be related to abnormally hyperpermeable choroidal capillaries.1 CSCR has a strong association with exogenous and endogenous corticosteroids.2 An association has been suggested between CSCR and certain personality factors, including type A personality and psychological stress.3

Our patient was taking oxymetholone, a powerful synthetic androgenic and anabolic steroid, for body-building purposes. Nudleman et al reported on a series of nine patients using exogenous testosterone therapy who developed CSCR.4 Those authors hypothesized that exogenous testosterone may lead to increased choroidal blood flow and hence increased choroidal permeability.

VKH is an autoimmune disorder affecting pigmented tissues. Acute VKH is characterized by bilateral exudative retinal detachments and increased choroidal thickness on SD-OCT. VKH commonly affects darkly pigmented individuals and usually has a prodromal stage with influenza-like symptoms. Patients can also have various neurologic and auditory symptoms, such as headaches, dizziness, orbital pain, and sensorineural hearing loss.5 Initial treatment of VKH consists of high-dose oral corticosteroids, and some patients later require immunomodulatory therapy.

Our patient was initially thought to have VKH, given his bilateral exudative retinal detachments with subretinal septa in his right eye on OCT, as well as fluorescein angiography showing multifocal macular leakage in both eyes. The patient also had a dome-shaped mass of intraretinal fluid, termed a bacillary detachment, which is commonly seen in patients with VKH. Of note, our patient did not have optic nerve leakage on fluorescein angiography, which is often seen in VKH.

The patient demonstrated a variable response to high-dose corticosteroids. Given his (initially concealed) consumption of oxymetholone and his clinical improvement after stopping the oral prednisone, the clinical picture is more consistent with atypical CSCR.

The acute stages of VKH and CSCR can sometimes be confused with one another. In one report, 90 of 410 patients with VKH disease had initially been misdiagnosed as CSCR.6 In a study including 35 patients with VKH and 25 with CSCR, Shin et al found that PED in CSCR and optic disc hyperemia in VKH had the highest positive predictive values (100%), respectively.7 Of note in that study, during late-phase fluorescein angiography, multifocal leakage was observed in 90% of eyes in the CSCR group. Lin et al found that subretinal septa and folds of retinal pigment epithelium were seen only in eyes with acute VKH, whereas patients with CSCR had significant PEDs and bulging of retinal pigment epithelium.8

CONCLUSION

The case presented here demonstrates the importance of making the correct differential diagnosis of VKH versus CSCR. Initial therapy for VKH usually consists of high-dose corticosteroids, which can worsen CSCR. Making a correct diagnosis helps prevent negative visual outcomes.

Noting the presence or absence of optic disc hyperemia, subretinal septae, PEDs, systemic symptoms, and use of any medications can be of benefit in distinguishing these two entities. Our patient had initially withheld information regarding his use of a high-dose anabolic and androgenic steroid. Despite initially starting treatment with oral prednisone, the patient has improved with observation after cessation of the androgenic steroid.

1. Prünte C, Flammer J. Choroidal capillary and venous congestion in central serous chorioretinopathy. Am J Ophthalmol. 1996;121(1):26-34.

2. Carvalho-Recchia CA, Yannuzzi LA, Negrão S, et al. Corticosteroids and central serous chorioretinopathy. Ophthalmology. 2002;109(10):1834-1837.

3. Spahn C, Wiek J, Burger T, Hansen L. Psychosomatic aspects in patients with central serous chorioretinopathy. Br J Opththalmol. 2003;87(6):704-708.

4. Nudleman E, Witmer MT, Kiss S, et al. Central serous chorioretinopathy in patients receiving exogenous testosterone therapy. Retina. 2014;34:2128-2132.

5. Read RW, Holland GN, Rao NA, et al. Revised diagnostic criteria for Vogt-Koyanagi-Harada disease: report of an international committee on nomenclature. Am J Ophthalmol. 2001;131:647-652.

6. Yang P, Ren Y, Li B, et al. Clinical characteristics of Vogt-Koyanagi-Harada syndrome in Chinese patients. Ophthalmology. 2007;114:606-614.

7. Shin WB, Kim MK, Lee CS, Lee SC, Kim H. Comparison of the clinical manifestations between acute Vogt-Koyanagi-Harada Disease and acute bilateral central serous chorioretinopathy. Korean J Ophthalmol. 2015;29(6):389-395.

8. Lin D, Chen W, Zhang G, et al. Comparison of the optical coherence tomographic characters between acute Vogt-Koyanagi-Harada disease and acute central serous chorioretinopathy. BMC Ophthalmol. 2014;14:87.