A 17-year-old male patient presented with a chief complaint of a progressive, painless decrease in vision for the past 20 days. He reported no history of systemic illness. He had already undergone routine blood profiles and a chest x-ray, all of which were within normal limits.

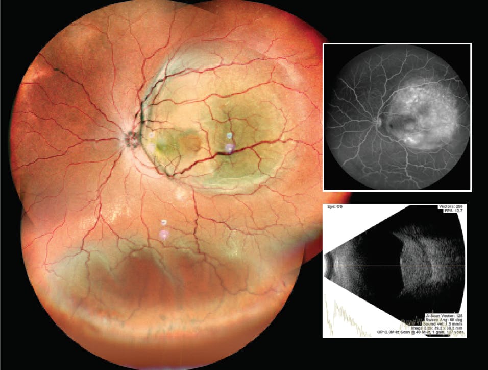
The VA of the left eye was counting fingers at 3 m. The fundus examination showed a choroidal mass in the left eye involving the macula with inferior exudative detachment (Figure 1). Fluorescein angiography of the affected eye showed mottled hyperfluorescence over the mass lesion (Figure 1, Top Inset). Ultrasonography captured the choroidal mass with moderate A-scan spikes (Figure 1, Bottom Inset).

A differential diagnosis of an inflammatory mass, metastasis, and melanoma was made, and we advised that the patient undergo an MRI of the brain and orbits to rule out pathology, as well as an abdominal ultrasound and a high-resolution CT of the chest to rule out the presence of any primary or secondary malignancy. We ordered intravenous 1 g methylprednisolone injections daily for 3 days followed by oral steroids.

The abdominal ultrasound and the CT were within normal limits, but the MRI showed a mild, bulky lacrimal gland, suggesting the possibility of an inflammatory etiology. The patient was subsequently diagnosed with posterior scleritis.

The patient returned the next week and reported that he was feeling better while on the steroid. Snellen distance VA had improved to 6/24 OS. Imaging of the left eye revealed a remarkably reduced elevation over the posterior pole with a reduction in the inferior exudative detachment (Figure 2).

We prescribed a slow steroid taper over 2 months and scheduled him for frequent monitoring. At the 1-month follow-up the patient continued to show improvement.

If you have an image or images you would like to share, email Dr. Nagpal.

Note: Photos should be 400 dpi or higher and at least 10 inches wide.