• OCT has become increasingly useful as an adjunctive tool in the detection of optic disc drusen (ODD) and the workup for possible papilledema.
  • ODD must have two key characteristics: They should be above the lamina cribrosa, and they should have a hyporeflective core.
  • Enhanced depth imaging spectral-domain OCT can refine the diagnostic approach by providing direct visualization of buried ODD.

Optic disc drusen (ODD)—progressively calcifying deposits within the optic nerve head with a prevalence of 2.4%1—are an important consideration in the differential for optic disc elevation. Although superficial ODD are usually easily identified with careful attention to the optic disc on fundus examination, buried ODD can be more difficult to spot. Noting their presence in a timely manner is crucial, however, as this can potentially prevent unnecessary testing and inappropriate treatment for papilledema.

Fundus autofluorescence (FAF) can reveal superficial ODD as discrete hyperautofluorescent lesions, but this imaging modality is not sensitive for buried ODD. B-scan ultrasonography can assess for buried ODD as well as measure optic nerve sheath diameter, but it can be highly operator-dependent and is not sensitive for noncalcified ODD.2

Thus, over the past 10 years, OCT has become increasingly useful as an adjunctive tool in the detection of ODD and the workup for possible papilledema.

The benefits of OCT are numerous. It is noninvasive, easily accessible in most clinical practices, and not as operator-dependent as ultrasonography. The evolution from time-domain (TD) to spectral-domain (SD) and now swept-source OCT has been accompanied by significant improvements in image resolution and reduced artifactual findings.

For example, as imaging improved, subretinal hyporeflectivity—previously described in association with ODD on TD-OCT—was ultimately determined to be secondary to poor signal penetration.3

The most recently described protocols for imaging ODD, which produce a higher ODD detection rate than B-scan ultrasonography,4 involve the use of SD-OCT in enhanced depth imaging (EDI) mode to produce a volume scan with either radial or both horizontal and vertical sections.5 To measure retinal nerve fiber layer (RNFL) thickness, a peripapillary circle scan can be used.

ODD CHARACTERISTICS

The Optic Disc Drusen Studies (ODDS) Consortium has developed a consensus definition of ODD on EDI SD-OCT.5 ODD must have two key characteristics: They should be above the lamina cribrosa, and they should have a hyporeflective core. In addition, there may be a full or partial hyperreflective margin, often more prominent superiorly, surrounding the hyporeflective signal. Occasionally, multiple smaller ODD can coalesce to form a larger ODD that maintains a hyporeflective core but may also demonstrate patchy internal reflectivity. Clusters of hyperreflective horizontal lines may also be seen in eyes with ODD or in the fellow eyes of patients with unilateral ODD; it is unclear whether these represent early ODD changes.4,5

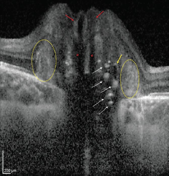
The ODDS Consortium also identified other findings on OCT that can be mistaken for ODD. Blood vessels caught in cross-section can appear as small circular objects with trilayer reflectivity—typically with a hyperreflective wall, an inner hyporeflective ring, and a hypo- or isoreflective core (Figure). However, there will be significant shadowing of the underlying layers, which is not seen with ODD. As arterioles and venules travel together out of the optic nerve head, the two lumina are often seen adjacent to each other in a figure-eight configuration—although this may not be evident if vessels are imaged in an oblique or longitudinal fashion. When in doubt, scrolling through the OCT raster scan can help distinguish between the tubular course of blood vessels and a more discrete ODD.

<p>Figure. This EDI SD-OCT of an optic disc reveals several features. ODD (yellow arrow) usually have a hyporeflective core and hyperreflective margin. They are found above the lamina cribrosa. Conglomerates of hyperreflectivity may also represent early disc drusen (white arrows). Blood vessels (red arrows) can be caught in cross-section and often present with trilaminar reflectivity. Arterioles and venules frequently travel together in a figure-eight formation. Vessels are distinguished from ODD by posterior shadowing (red asterisks). PHOMS (yellow circles) are not ODD and instead may represent bulging axons.</p>

Click to view larger

Figure. This EDI SD-OCT of an optic disc reveals several features. ODD (yellow arrow) usually have a hyporeflective core and hyperreflective margin. They are found above the lamina cribrosa. Conglomerates of hyperreflectivity may also represent early disc drusen (white arrows). Blood vessels (red arrows) can be caught in cross-section and often present with trilaminar reflectivity. Arterioles and venules frequently travel together in a figure-eight formation. Vessels are distinguished from ODD by posterior shadowing (red asterisks). PHOMS (yellow circles) are not ODD and instead may represent bulging axons.

Patients with ODD also commonly exhibit peripapillary hyperreflective ovoid mass-like structures (PHOMS) on OCT. In the past, researchers debated whether these represented variants of ODD.5-7 However, PHOMS are hyperreflective, not hyporeflective, and lack sharp margins. They are also found external to or surrounding the disc. Unlike ODD, they are not visible on ultrasonography or FAF. In addition, OCT detects PHOMS in patients with papilledema without ODD,8 suggesting that they are not specific to pseudopapilledema. The ODDS Consortium suggested that PHOMS correspond with lateral bulging of optic nerve axons into the peripapillary retina and recommended that they be excluded as a criterion for the diagnosis of ODD unless future histopathologic evidence suggests otherwise.5

With respect to RNFL abnormalities, studies show correlation with ODD diameter and location.6,9 In eyes in which ODD are more superficial, larger, and confluent, visual field defects can result from severe RNFL thinning.10 Thinning may also be a consequence of ODD-associated ischemic optic neuropathy or chronic axonal injury.11 However, patterns of RNFL thickness are nonspecific for either pseudo- or true papilledema.12

EMBRACING OCT

Distinguishing between papilledema and pseudopapilledema can have a significant impact on the rest of a patient’s care experience: Do they receive reassurance and counseling, or a trip to the emergency department for neuroimaging and lumbar puncture?

In severe papilledema, the diagnosis is usually readily apparent from history and fundus examination alone; however, it can be difficult to clinically differentiate mild papilledema from pseudopapilledema due to buried ODD. To further complicate matters, pseudopapilledema and papilledema are not mutually exclusive.

EDI SD-OCT can refine the diagnostic approach by providing direct visualization of buried ODD. If there is optic disc elevation and no evidence of ODD, it may be reasonable to evaluate further for the presence of increased intracranial pressure; if there are established ODD, clinicians can determine whether further workup is necessary to rule out coexisting papilledema.

Fluorescein angiography, though invasive, can sometimes help in equivocal cases to reveal leakage in optic disc edema that is absent in pseudopapilledema,13 although mild cases can be challenging to distinguish.

Ultimately, a multipronged approach that includes optic nerve imaging, patient history, visual fields, and examination findings can help clarify the overall clinical picture and determine the necessity for urgent evaluation. As OCT technology continues to advance, so too will our understanding of its role in the diagnosis and management of optic nerve pathology.

1. Friedman AH, Gartner S, Modi SS. Drusen of the optic disc. A retrospective study in cadaver eyes. Br J Ophthalmol. 1975;59:413-421.

2. Carter SB, Pistilli M, Livingston KM, et al. The role of orbital ultrasonography in distinguishing papilledema from pseuodpapilledema. Eye. 2014;28(12):1425-1430.

3. Costello F, Malmqvist L, Hammann S. The role of optical coherence tomography in differentiating optic disc drusen from optic disc edema. Asia Pac J Ophthalmol. 2018;7(4):271-279.

4. Merchant KY, Su D, Park SC, et al. Enhanced depth imaging optical coherence tomography of optic nerve head drusen. Ophthalmology. 2013;120(7):1409-1414.

5. Malmqvist L, Bursztyn L, Costello F, et al. The Optic Disc Drusen Studies Consortium recommendations for diagnosis of optic disc drusen using optical coherence tomography. J Neuroophthalmol. 2018;38(3):299-307.

6. Traber GL, Weber KP, Sabah M, Keane PA, Plant GT. Enhanced depth imaging optical coherence tomography of optic nerve head drusen: a comparison of cases with and without visual field loss. Ophthalmology. 2017;124(1):66-73.

7. Birnbaum FA, Johnson GM, Johnson LN, et al. Increased prevalence of optic disc drusen after papilloedema from idiopathic intracranial hypertension: on the possible formation of optic disc drusen. Neuroophthalmology. 2016;40:171-180.

8. Lee KM, Woo SJ, Hwang JM. Differentiation of optic nerve head drusen and optic disc edema with spectral-domain optical coherence tomography. Ophthalmology. 2011;118:971-977.

9. Sato T, Mrejen S, Spaide RF. Multimodal imaging of optic disc drusen. Am J Ophthalmol. 2013;156:275-282.

10. Malmqvist L, Wegener M, Sander BA, Hamann S. Peripapillary retinal nerve fiber layer thickness corresponds to drusen location and extent of visual field defects in superficial and buried optic disc drusen. J Neuroophthalmol. 2016;36:41-45.

11. Albrecht P, Blasberg C, Ringelstein M, et al. Optical coherence tomography for the diagnosis and monitoring of idiopathic intracranial hypertension. J Neurol. 2017;264:1370-1380.

12. Kulkarni KM, Pasol J, Rosa PR, et al. Differentiating mild papilledema and buried optic nerve head drusen using spectral domain optical coherence tomography. Ophthalmology. 2014;121:959-963.

13. Pineles SL, Arnold AC. Fluorescein angiographic identification of optic disc drusen with and without optic disc edema. J Neuroophthalmol. 2012;32(1):17-22.