Paracentral acute middle maculopathy (PAMM), first described by Sarraf et al in 2013, typically manifests as a distinct paracentral scotoma with or without diminution of vision.1 Fundus examination shows a dark gray paracentral lesion that points toward the center of the fovea.2 The condition can present in conjunction with a number of retinal vascular diseases.3,4

Although PAMM was originally described as a variant of acute macular neuropathy (AMN), the two are now regarded as distinct entities.5 The retinal ischemic cascade of PAMM in its mildest form (known as perivenular PAMM) involves the venular end of the deep capillary plexus (DCP). With increasing severity it may progress to diffusely involve the inner nuclear layer (INL) or even to infarct the inner retina.

AMN, by contrast, displays hyperreflectivity of the outer plexiform layer (OPL) and outer nuclear layer (ONL) and may be associated with disruption of the ellipsoid zone (EZ).6

OCT angiography (OCTA) shows reduced flow in the intermediate retinal capillary plexus (ICP) and DCP in PAMM, whereas AMN is associated with reduced flow in the DCP only.7,8

New imaging modalities such as OCTA have added substantial knowledge to the pathogenesis of PAMM, but the condition’s clinical course and treatment outcome are still under investigation. In a single-center retrospective observational study, we analyzed seven eyes of seven patients with PAMM of varied etiology. The study was conducted following institutional review board guidelines and adhering to the tenets of the Declaration of Helsinki.

Case No. 1

A 38-year-old man presented with complaints of blurred vision in the left eye for 7 days. His BCVA was 20/20+. Amsler grid testing identified a small paracentral scotoma inferior to the fixation point, confirmed with visual field testing. Fundus examination revealed a yellowish-white, well-demarcated lesion superior to the fovea (Figure 1A). Multicolor imaging showed a corresponding lesion in green (Figure 1B). Fluorescein angiography (FA) did not show any filling defect. OCT revealed a hyperreflective band involving the inner plexiform layer (IPL) and OPL, indicating PAMM, possibly secondary to cilioretinal artery insufficiency. The EZ was intact (Figure 1C). Systemic workup showed dyslipidemia. The lesion persisted at the 6-month follow-up.

<p>Figure 1. The color fundus photo shows a grayish-white, well-demarcated lesion superior to the fovea (A). Multicolor imaging depicts the lesion in green (B). SD-OCT shows a hyperreflective band in the IPL and OPL (C).</p>

Click to view larger

Figure 1. The color fundus photo shows a grayish-white, well-demarcated lesion superior to the fovea (A). Multicolor imaging depicts the lesion in green (B). SD-OCT shows a hyperreflective band in the IPL and OPL (C).

Case No. 2

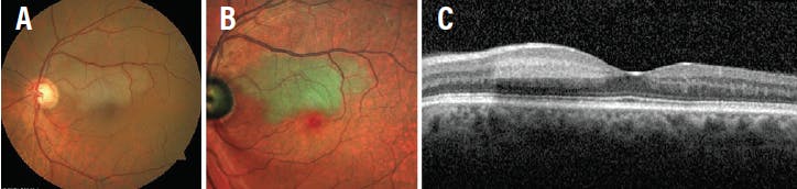
A 52-year-old man presented with blurred vision in the right eye for 15 days despite a BCVA of 20/20. He had a medical history of hypercholesterolemia. Fundus examination showed a well-defined, grayish, wedge-shaped lesion superior to the fovea (Figure 2A). Multicolor imaging depicted the lesion in green (Figure 2B). FA was inconclusive, but OCT at the level of the lesion revealed thinning of the INL, possibly secondary to branch retinal artery insufficiency (Figure 2C).

<p>Figure 2. The color fundus photo shows PAMM superior to the fovea (A). Multicolor imaging depicts PAMM in green (B). Thinning of INL is noted on SD-OCT (C).</p>

Click to view larger

Figure 2. The color fundus photo shows PAMM superior to the fovea (A). Multicolor imaging depicts PAMM in green (B). Thinning of INL is noted on SD-OCT (C).

Case No. 3

A 46-year-old hypertensive man presented with blurred vision in the right eye for 15 days. BCVA was 20/40 OD. Fundus examination revealed evidence of a nonischemic central retinal vein occlusion (CRVO) and a well-defined grayish-white lesion inferotemporal to the fovea (Figure 3A). FA showed inferior extension of the foveal avascular zone. OCT showed cystic changes with a hyperreflective band at the level of the IPL (Figure 3B). OCTA revealed capillary abnormalities in both the DCP and SCP inferior to the fovea (Figures 3C and 3D). The patient received three intravitreal injections of ranibizumab (Lucentis, Genentech) at monthly intervals. After 6 months, fundus examination revealed the persistence of PAMM with cystoid macular edema (CME).

<p>Figure 3. The color fundus photo suggests nonischemic CRVO with PAMM inferotemporal to the fovea (A). SD-OCT shows cystic changes in the center with a hyperreflective band at the level of IPL (B). OCTA shows capillary abnormalities in both the DCP and SCP (C and D).</p>

Click to view larger

Figure 3. The color fundus photo suggests nonischemic CRVO with PAMM inferotemporal to the fovea (A). SD-OCT shows cystic changes in the center with a hyperreflective band at the level of IPL (B). OCTA shows capillary abnormalities in both the DCP and SCP (C and D).

Case No. 4

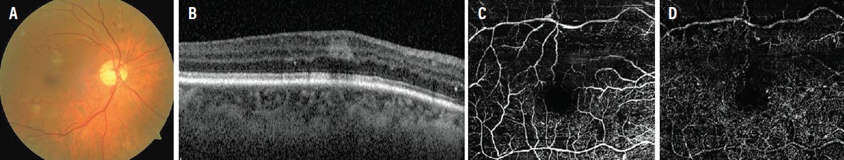
A 60-year-old woman with diabetes presented with mild blurred vision in the right eye for 3 months. Her BCVA was 20/20+ OD. Fundus examination revealed mild nonproliferative diabetic retinopathy (NPDR) without clinically significant macular edema and a grayish lesion superior to the center of the fovea (Figure 4A). OCT revealed a hyperreflective band at the level of the OPL (Figure 4B). OCTA showed an area of capillary abnormality in the DCP superior to the foveal center (Figure 4C and 4D). After 3 months, the retinal condition was stable with the persistence of PAMM.

<p>Figure 4. The fundus photo suggests diabetic retinopathy with PAMM superior to the center of the fovea (A). SD-OCT shows a hyperreflective band at the OPL (B). OCTA shows an area of capillary abnormality in the DCP superior to the foveal center (C and D).</p>

Click to view larger

Figure 4. The fundus photo suggests diabetic retinopathy with PAMM superior to the center of the fovea (A). SD-OCT shows a hyperreflective band at the OPL (B). OCTA shows an area of capillary abnormality in the DCP superior to the foveal center (C and D).

Case No. 5

A 62-year-old man presented with blurred vision in the left eye for 2 months. He had hypertension and diabetes and was being treated for both. BCVA was 20/80 OS. Diagnosis of branch retinal vein occlusion (BRVO) with CME was made based on the clinical picture and OCT findings (Figure 5A and 5B). FA was deferred. The patient received three intravitreal injections of ranibizumab at monthly intervals. After the first injection, PAMM was detected superior to the fovea and confirmed with OCT (Figure 5C). At 4-month follow-up, PAMM persisted with CME (Figure 5D).

<p>Figure 5. Fundus photo and OCT imaging are suggestive of BRVO with macular edema (A and B). PAMM was detected superior to the fovea 1 month after anti-VEGF injection (C and D).</p>

Click to view larger

Figure 5. Fundus photo and OCT imaging are suggestive of BRVO with macular edema (A and B). PAMM was detected superior to the fovea 1 month after anti-VEGF injection (C and D).

Case No. 6

A 57-year-old man with hypertension presented with blurred vision in the left eye for 2 weeks. BCVA was 20/40 OS. Fundus examination revealed a grayish-white lesion at the distribution of the superior branch retinal artery with evidence of nonischemic CRVO (Figure 6A). FA showed delayed filling of the branch retinal artery (Figure 6B and 6C). OCT revealed a hyperreflective band in the inner and middle retinal layers (Figure 6D). A diagnosis of nonischemic CRVO combined with branch retinal artery occlusion (BRAO)-associated PAMM was made. Color Doppler imaging of the carotid and ophthalmic arteries did not reveal any underlying pathology.

<p>Figure 6. Fundus photo shows PAMM (A). Delayed filling of the branch retinal artery is seen on FA (B and C). SD-OCT shows a hyperreflective band at the IPL and OPL (D).</p>

Click to view larger

Figure 6. Fundus photo shows PAMM (A). Delayed filling of the branch retinal artery is seen on FA (B and C). SD-OCT shows a hyperreflective band at the IPL and OPL (D).

Case No. 7

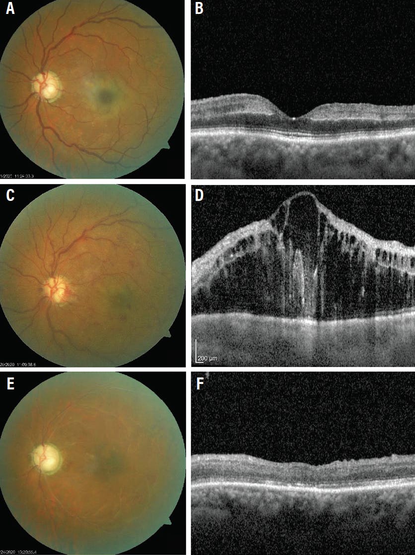
A 64-year-old man with hypertension presented with blurred vision in the left eye for 1 day and BCVA of 20/60 OS. Fundus examination showed advanced cupping in each eye and a well-defined parafoveal, intraretinal, grayish lesion with characteristic OCT features suggestive of PAMM (Figure 7A and 7B). Visual field analysis confirmed glaucomatous damage, and the patient was started on medication for primary open-angle glaucoma. The patient presented 3 days later with deterioration of vision to hand movement OS (Figure 7C and 7D). A diagnosis of CRVO with CME and possible central retinal artery hypoperfusion was made based on the findings.

The patient was started on monthly injections of ranibizumab. After 3 months, his VA improved to 20/200, with resolution of the macular edema (Figure 7E and 7F).

<p>Figure 7. The fundus photograph of this glaucomatous eye shows a perifoveal intraretinal greyish lesion (A), and the corresponding OCT shows hyperreflective band-like lesions in the middle retinal layers of the macula, suggestive of PAMM (B). Fundus photography of the same eye 3 days later shows dilated tortuous vessels with diffuse intraretinal hemorrhages (C), and the corresponding OCT shows macular edema (D). After three anti-VEGF injections, the fundus photograph (E) and OCT (F) show resolution of CRVO and macular edema.</p>

Click to view larger

Figure 7. The fundus photograph of this glaucomatous eye shows a perifoveal intraretinal greyish lesion (A), and the corresponding OCT shows hyperreflective band-like lesions in the middle retinal layers of the macula, suggestive of PAMM (B). Fundus photography of the same eye 3 days later shows dilated tortuous vessels with diffuse intraretinal hemorrhages (C), and the corresponding OCT shows macular edema (D). After three anti-VEGF injections, the fundus photograph (E) and OCT (F) show resolution of CRVO and macular edema.

Discussion

PAMM is considered a manifestation of focal ischemia of the deep retinal circulation that may herald the presence of a secondary underlying condition. Multicolor imaging can help to detect PAMM, as it creates three simultaneous reflectance images that demonstrate details at different layers of the retina.9,10 Blue, green, and red reflectance show the inner, middle, and outer retina, respectively. PAMM usually presents with the lesion in green.11

OCT is invaluable in confirming a diagnosis of PAMM. On OCT, the condition initially manifests as a hyperreflective band, followed by thinning of the middle retinal layers.11 En face OCT may demonstrate a remarkable perivenular pattern of PAMM in eyes with retinal vein occlusion even in the absence of significant funduscopic findings.12 Bakhoum et al described characteristic OCT findings of PAMM suggestive of an ischemic cascade, indicating more vulnerability of the middle retina at the level of the DCP.13

FA is a poor imaging modality to illustrate PAMM, whereas OCTA at the level of the DCP detects gross capillary loss.6,14 OCTA features are described as arteriolar, globular, fernlike, and combination pattern.15

Our case series highlights associations between PAMM and other clinical findings, for example dyslipidemia in Case No. 1 and 2.16 Microcholesterol embolus may lead to the occlusion of DCP in such cases.

CME with PAMM can also occur secondary to CRVO, and research shows that intravitreal injections do not help to resolve PAMM in such cases. 4 Not surprisingly, in Case No. 3, both CME and PAMM persisted after intravitreal injections of an anti-VEGF agent. PAMM secondary to diabetic retinopathy, as seen in Case No. 4, can present without CME.3

PAMM can develop secondary to BRVO during follow-up after initiation of anti-VEGF treatment, as in Case No. 5. Pichi et al described a large series of eyes with vascular occlusion, in which PAMM was detected at presentation.17 This research team also looked at the association of PAMM with cilioretinal artery occlusion.17 In isolated retinal artery occlusion, initial hyperreflectivity of the inner retinal layers is often seen on OCT. In Case No. 6 of our series, PAMM developed secondary to BRAO with CRVO, and hyperreflectivity was noted in both the inner and middle retinal layers.

Finally, PAMM also may be associated with glaucoma, as seen in our Case No. 7, and in such cases it may be a premonitory sign of CRVO.18

FINAL THOUGHTS

PAMM is a sign of deep retinal ischemia, the duration and severity of which may impact the development of PAMM. Because of its association with other ocular conditions, the presence of PAMM without obvious ocular pathology warrants a thorough systemic evaluation.

1. Sarraf D, Rahimy E, Fawzi AA, et al. Paracentral acute middle maculopathy: a new variant of acute macular neuroretinopathy associated with retinal capillary ischemia. JAMA Ophthalmol. 2013;131(10):1275-1287.

2. Baumüller S, Holz FG. Early spectral-domain optical coherence tomography findings in acute macular neuroretinopathy. Retina. 2012;32(2):409-410.

3. Yu S, Wang F, Pang CE, et al. Multimodal imaging findings in retinal deep capillary ischemia. Retina. 2014;34(4):636-646.

4. Rahimy E, Sarraf D, Dollin ML, et al. Paracentral acute middle maculopathy in nonischemic central retinal vein occlusion. Am J Ophthalmol. 2014;158(2):372-380.e1.

5. Rahimy E, Kuehlewein L, Sadda SR, Sarraf D. Paracentral acute middle maculopathy: what we knew then and what we know now. Retina. 2015;35:1921-1930.

6. Scharf J, Freund KB, Sadda S, Sarraf D. Paracentral acute middle maculopathy and the organization of the retinal capillary plexuses [published online ahead of print 9 August 2020]. Prog Retin Eye Res. 2020:100884.

7. Chu S, Nesper PL, Soetikno BT, et al. Projection-resolved OCT angiography of microvascular changes in paracentral acute middle maculopathy and acute macular neuroretinopathy. Invest Ophthalmol Vis Sci. 2018;59:2913-2922.

8. Chen YC, Chen SN. Microvascular change in acute macular neuroretinopathy by using optical coherence tomography angiography. Taiwan J Ophthalmol. 2019;9:118-121.

9. Gramatikov BI. Modern technologies for retinal scanning and imaging: an introduction for the biomedical engineer. Biomed Eng Online. 2014;13:52.

10. LaRocca F, Nankivil D, Farsiu S, Izatt JA. True color scanning laser ophthalmoscopy and optical coherence tomography handheld probe. Biomed Opt Expr. 2014;5(9):3204-3216.

11. Shah D, Saurabh K, Roy R. Multimodal imaging in paracentral acute middle maculopathy. Indian J Ophthalmol. 2018;66(8):1186-1188.

12. Ghasemi F K, Phasukkijwatana N, Freund KB, et al. En face optical coherence tomography analysis to assess the spectrum of perivenular ischemia and paracentral acute middle maculopathy in retinal vein occlusion. Am J Ophthalmol. 2017;177:131-138.

13. Bakhoum MF, Freund KB, Dolz-Marco R, et al. Paracentral acute middle maculopathy and the ischemic cascade associated with retinal vascular occlusion. Am J Ophthalmol. 2018;195:143-153.

14. Monson BK, Greenberg PB, Greenberg E, et al. High‐speed, ultra‐high‐resolution optical coherence tomography of acute macular neuroretinopathy. Br J Ophthalmol. 2007;91(1):119-120.

15. Shah A, Rishi P, Chendilnathan C, Kumari S. OCT angiography features of paracentral acute middle maculopathy. Indian J Ophthalmol. 2019;67(3):417-419.

16. Chen X, Rahimy E, Sergott RC, et al. Spectrum of retinal vascular diseases associated with paracentral acute middle maculopathy. Am J Ophthalmol. 2015;160(1):26-34.e1.

17. Pichi F, Fragiotta S, Freund KB, et al. Cilioretinal artery hypoperfusion and its association with paracentral acute middle maculopathy. Br J Ophthalmol. 2019;103(8):1137-1145.

18. Aribas YK, Aktas Z, Bayrakceken K, et al. Paracentral acute middle maculopathy in primary congenital glaucoma. Retin Cases Brief Rep. 2020;14(2):163-165.