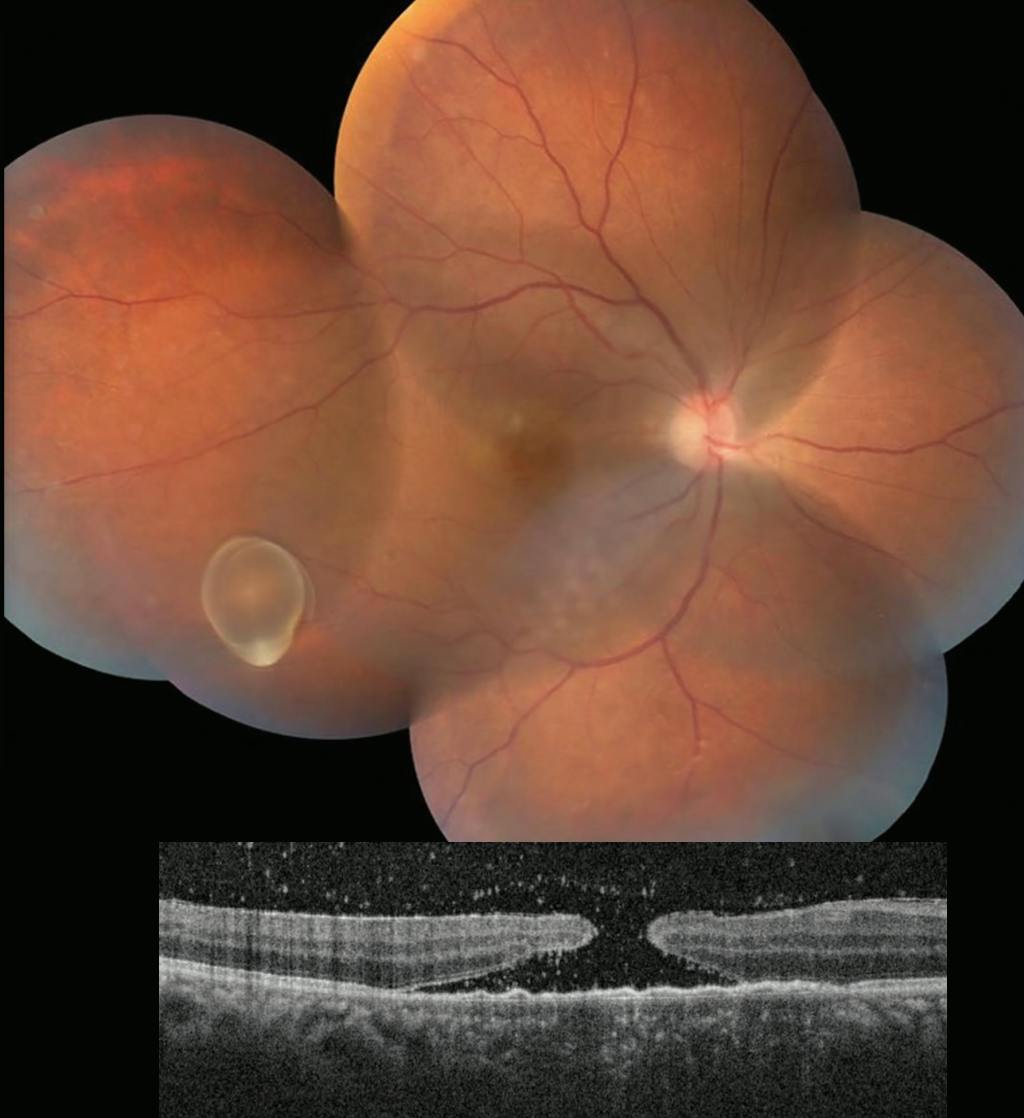
A 41-year-old man presented with diminution of vision in his right eye for 3 months. VA was 20/400 OD. On fundus examination, a solitary live intravitreal cysticercus cyst was noted (Figure 1, Top). Spectral-domain OCT showed a large full-thickness macular hole of 1,500 μm diameter with retinal pigment epithelium alterations at the macula (Figure 1, Bottom). The anterior segment examination was unremarkable. Neuroimaging showed no involvement of the central nervous system.

The patient underwent 23-gauge pars plana vitrectomy. Intraoperatively, the cyst was aspirated with the cutter (Figure 2, Top). To address the macular hole, inverted internal limiting membrane (ILM) peeling was performed under a bubble of perfluorocarbon liquid (PFCL; Figure 2, Middle).

Postoperatively, OCT revealed a type 1 closure of the macular hole (Figure 2, Bottom) and the absence of any inflammation. BCVA at final follow-up was 20/80 OD.

DISCUSSION

Live intravitreal cysticercus with a macular hole is a rare occurrence.1,2 The management technique that has been described includes aspiration of the cyst in the vitreous cavity and inverted ILM peeling for the macular hole, performed under a bubble of PFCL. ILM peeling under PFCL is atraumatic and ensures excellent stability of the flap.

Intraocular cysticercosis has a good prognosis if managed early with pars plana vitrectomy. Delayed presentation or late intervention can lead to irreversible sight-threatening complications including retinal detachment, proliferative vitreoretinopathy, complicated cataract, and hypotony. Concurrent referral to neurology to rule out neurocysticercosis should be an integral part of the workup, as should advising the patient regarding proper food hygiene.

If you have an image or images you would like to share, email Dr. Nagpal.
Note: Photos should be 400 dpi or higher and at least 10 inches wide.

1. R K, Ravani RD, Kakkar P, Kumar A. Intravitreal cysticercosis with full thickness macular hole: management outcome and intraoperative optical coherence tomography features. BMJ Case Rep. 2017;2017:bcr-2016-218645.

2. Dhiman R, Devi S, Duraipandi K, et al. Cysticercosis of the eye. Int J Ophthalmol. 2017;10(8):1319-1324.