AT A GLANCE
  • Evaluating children for inherited retinal diseases (IRDs) involves clinical examination and fundoscopy, genetic testing, and electrophysiologic testing.
  • Syndromic conditions associated with early-onset IRDs can present with various systemic manifestations; the key is to home in on patterns of disease to help narrow the differential diagnosis.
  • A causative mutation can be identified in 60% to 80% of patients with IRDs.

A young child referred to a retina specialist raises many concerns. Have they seen a pediatric ophthalmologist, or is this just a failed vision screening with type A parents? How do I examine an uncooperative child in the clinic? How much time will it take to explain the diagnosis and plan to the parents?

In this article, clinically useful tips and expert opinion provide a framework to make the clinical approach to young patients with inherited retinal diseases (IRDs) easier.

DIAGNOSTIC CHALLENGES

Historically, IRDs have been classified according to natural history: stationary or progressive, mode of inheritance (autosomal dominant or recessive, X-linked, or mitochondrial), and principal site of dysfunction (retinal pigment epithelium, rod or cone photoreceptors, or inner retina). This approach relies on careful and extensive history, clinical examination, multimodal imaging, and, often, electrophysiologic testing.

Even with this information, the molecular pathophysiology in this clinically and genetically heterogeneous group of dystrophies may not be apparent. In addition, young patients may be more difficult to examine, may have more subtle visual complaints, and may have associated disorders.

Advances in molecular genetics have allowed more precise classification based on genetic mutations and the associated pathophysiologic defects that lead to retinal dysfunction (Figure).

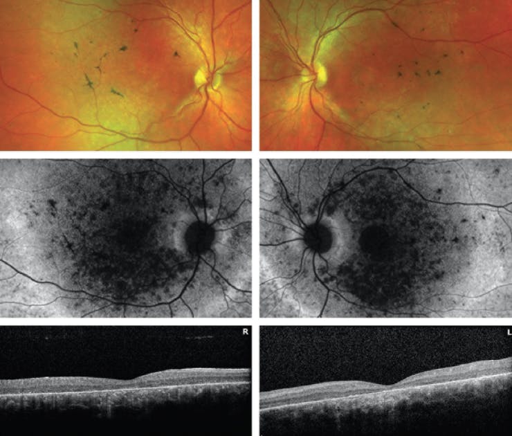
<p>Figure. This 19-year-old woman presented with long-standing vision loss with a VA of counting fingers OD and 20/400 OS. Fundus examination (top) showed macular atrophy and pigment hyperplasia, fluorescein angiography (middle) demonstrated hypoautofluorescence with peripapillary sparing, and OCT (bottom) showed bilateral widespread ellipsoid zone and retinal pigment epithelium attenuation consistent with Stargardt disease. Genetic testing of the <em>ABCA4</em> gene revealed a heterozygous nonsense mutation <em>Q1029X</em> and <em>F418S</em> variant of unknown significance.</p>

Click to view larger

Figure. This 19-year-old woman presented with long-standing vision loss with a VA of counting fingers OD and 20/400 OS. Fundus examination (top) showed macular atrophy and pigment hyperplasia, fluorescein angiography (middle) demonstrated hypoautofluorescence with peripapillary sparing, and OCT (bottom) showed bilateral widespread ellipsoid zone and retinal pigment epithelium attenuation consistent with Stargardt disease. Genetic testing of the ABCA4 gene revealed a heterozygous nonsense mutation Q1029X and F418S variant of unknown significance.

Genetic testing has also undergone a revolution, and multiplex gene sequencing has enabled screening for a wide panel of genes associated with retinal dystrophies.

The potential benefits of genetic testing are obvious: It can establish a molecular diagnosis, potentially avoid electrophysiologic testing, and establish candidacy for gene therapy. However, panel testing can also uncover “variants of uncertain significance,” the majority of which represent normal genetic variations rather than a causative mutation. Such a finding can create uncertainty and frustration for the physician and family.

THE PEDIATRIC EVALUATION

There are three key elements to consider in the evaluation of IRDs in children.

1. Clinical examination and fundoscopy; a challenge here is that some IRDs, such as congenital stationary night blindness (CSNB), retinitis pigmentosa (RP) sine pigmento, and others, present with minimal to no retinal changes on examination;

2. Genetic testing; and

3. Electrophysiologic testing (full-field and/or multifocal electroretinogram [ERG] and electrooculogram).

The first objective is to establish a diagnosis and confirm that an IRD is responsible for the vision loss. The most common visual complaints, as reported by parents, include nystagmus, vision loss, and photophobia.1 If disease onset is earlier than 6 months, nystagmus is often the earliest complaint.

A thorough medical and ocular history is important for all patients, including best available visual acuity, refraction, and careful anterior segment examination. Teller acuity or other pediatric vision tests can be performed in preverbal children.

Clinicians should also evaluate for systemic abnormalities such as hearing loss, renal dysfunction, extra digits, and neurologic dysfunction. In uncooperative children, examination under anesthesia may be necessary for a complete fundus examination. Fundus photography, fluorescein angiography, fundus autofluorescence, and full-field ERG can help narrow the differential diagnosis. The benefits of a sedated examination should be weighed against the risks (such as depression of ERG waveforms).

Visual field testing can help monitor progression of a rod-cone dystrophy or make a determination of legal blindness or disability. Examination of other family members and documentation of a complete pedigree may provide information on the mode of transmission and illuminate implications for siblings and other family members.

SYSTEMIC ASSOCIATIONS

Syndromic conditions associated with early-onset retinal degeneration can present with a variety of manifestations. The key is to home in on patterns of disease to help narrow the diagnosis and refer patients for appropriate screenings. Following is a selected list of conditions to look out for.2

Retinal ciliopathies—Usher, Bardet-Biedl, Senior Loken, Joubert, and other syndromes—arise from genetic defects affecting photoreceptors and other cellular cilia, leading to an RP-like phenotype. Usher syndrome, caused by mutations in at least 11 known genes, leads to progressive retinal degeneration and hearing loss. Bardet-Biedl syndrome produces a constellation of findings including cone-rod dystrophy, polydactyly, obesity, and hypogonadism. Senior Loken is a rare autosomal recessive disorder characterized by an RP or Leber congenital amaurosis (LCA) phenotype associated with juvenile nephronophthisis, causing cystic degeneration of the kidneys. Joubert syndrome can be associated with hypotonia, ataxia, and a characteristic “molar tooth sign” on MRI of the brain. Although the manifestations of ciliopathies are quite pleomorphic, it is important to identify patterns of disease and initiate the appropriate workup.2

Neuronal ceroid lipofuscinoses, such as juvenile CLN3, are progressive neurodegenerative disorders caused by abnormal accumulation of lipofuscin and lipid deposits. Retinal degeneration can predate the other manifestations. Unfortunately, patients develop neurologic decline and loss of motor coordination and die in their teens or 20s.2

Refsum disease is a peroxisomal storage disorder that presents with ichthyosis, ataxia, and RP. Dietary restriction of phytanic acid and plasmapheresis are standard treatments.2

Ocular mitochondrial disorders can affect the optic nerve or retinal ganglion cells or can lead to a pigmentary retinopathy. Those with retinal manifestations include chronic progressive external ophthalmoplegia, Kearns-Sayre syndrome, mitochondrial encephalomyopathy, lactic acidosis, stroke-like episodes, and others. These can be associated with ptosis, ophthalmoplegia, cardiac myopathy, and seizure.2

GENETIC TESTING BASICS

Testing can play an important role in achieving the correct diagnosis and determining eligibility for investigational gene therapies. A causative mutation can be identified in 60% to 80% of patients with IRDs, and most often a saliva sample (2 mL) is sufficient for initial panel testing.3 Several commercial retinal dystrophy panels are available in the United States, and CLIA-approved gene sequencing laboratories can also perform testing.

However, hereditary dystrophies are quite heterogeneous; more than 260 genetic loci have been implicated in retinal dystrophies, and different mutations of a single gene can be responsible for different phenotypes. For example, RP can be caused by mutations in one of 84 different genes, and cone-rod dystrophy can be caused by mutations in one of 33 genes.

Next-generation sequencing methods have enabled the creation of IRD panels that can screen a large number of candidate genes, and approximately two-thirds of patients overall and up to 85% of children with IRDs can receive a genetic diagnosis.4 Single gene analysis with traditional Sanger sequencing is more appropriate for monogenic diseases or when only a specific gene or set of genes is believed to be causative. The AAO’s Task Force on Genetic Testing recommends that clinicians order the most specific test or tests available based on each patient’s clinical findings.5

The potential outcome of genetic testing should be considered prior to ordering the panel. For example, the results could either confirm the suspected diagnosis, be inconclusive, or be negative for all tested genes. Referral to a geneticist or genetic counselor can be helpful in the child’s workup and treatment, and also for family planning purposes.

Segregation analysis with a familial pedigree can help to clarify the inheritance pattern and establish when more than one copy of a gene is in cis or trans configuration. This can have important consequences for families considering additional children and for their children’s reproductive future.

TREATMENT ADVANCES

Management of IRDs has traditionally been limited to genetic counseling, low-vision referral, management of systemic associations, and educational or occupational therapy. But the era of gene-based ocular therapy for IRDs began with the FDA approval of voretigene neparvovec (Luxturna, Spark) to treat RPE65-associated LCA. Numerous clinical trials are evaluating therapeutic candidates for X-linked RP, Stargardt disease, achromatopsia, choroideremia, X-linked retinoschisis, and others. With increased genetic testing and targeted therapies, the therapeutic armamentarium will hopefully evolve.

RAPID-FIRE CASES

A 2-year-old girl with infantile nystagmus was referred for possible achromatopsia due to intense photophobia since birth. Low hyperopia was present on cycloplegic refraction. Given her age, an ERG would have to be obtained under anesthesia. Instead, genetic testing was ordered, revealing a negative result for achromatopsia but a positive LCA panel for CEP290, obviating the need for ERG.

A 3-year-old boy was referred for decreased vision and was found to have -6.00 D myopia. The fundus examination was unremarkable, making it difficult to distinguish his condition from other retinal degenerations. However, myopia is more often associated with X-linked and autosomal recessive variants of CSNB rather than LCA. Visual fields should remain stable in CSNB, unlike in RP. A paradoxical pupillary response (initial constriction of pupil when ambient light is dimmed) may be seen with CSNB.

TAKEAWAYS

IRDs are a heterogeneous group of degenerative disorders that negatively impact patients’ autotomy and vision. Achieving a diagnosis can be challenging, especially in young patients, but it is key to successful management. Careful clinical examination and history-taking, genetic testing, and ERG evaluation all play important roles. Diagnosis now opens the door to gene therapy for those with RPE65-associated LCA and for clinical trial elibility for many others. Continued advances in genetic testing and better understanding of pathogenic variants will continue to provide hope for patients with these orphan diseases.

1. Suppiej A, Marino S, Reffo ME, et al. Early onset retinal dystrophies: clinical clues to diagnosis for pediatricians. Ital J Pediatr. 2019;45(1):168.

2. Fasiuddin A. Inherited retinal degenerations. International Ophthalmology Clinics. 2010;50(4):45-56.

3. Tsang SH, Sharma T. Genetic testing for inherited retinal dystrophy: basic understanding. Adv Exp Med Biol. 2018;1085:261-268.

4. Duncan JL, Pierce EA, Laster AM, et al. Inherited retinal degenerations: current landscape and knowledge gaps. Transl Vis Sci Technol. 2018;7(4):6.

5. American Academy of Ophthalmology. Recommendations for genetic testing of inherited eye diseases - 2014. Accessed June 3, 2021. www.aao.org/clinical-statement/recommendations-genetic-testing-of-inherited-eye-d