- Valsalva retinopathy (VR) is a rare, typically unilateral preretinal hemorrhagic retinopathy secondary to a sudden increase in intrathoracic or intraabdominal pressure.
- VR occurs as a sudden and dramatic loss of vision due to the premacular location of the hemorrhage.
- The authors report a case of VR occurring in association with CrossFit training, an exercise regimen that makes use of the Valsalva maneuver.
Valsalva hemorrhagic retinopathy (VR) is characterized typically by a sudden macular hemorrhage due to the rupture of superficial retinal capillaries after an acute increase in thoracic or abdominal pressure.1,2 CrossFit training is a strength and conditioning workout comprising functional movements performed at a high intensity level and including forms of weightlifting. The movements mimic actions normally performed in daily life activities, and the Valsalva maneuver is included in most of the exercises. This article describes a case of VR related to CrossFit training.
CASE REPORT
A 42-year-old man was referred for emergency ophthalmic evaluation due to a sudden drop in visual acuity in the left eye after a CrossFit workout. On evaluation, the patient reported no history of personal or familial ophthalmic problems. No familial systemic medical history was reported, but the patient noted a history of systemic hypertension diagnosed at 32 years of age and well controlled since then with one beta-blocking agent (bisoprolol, 5 mg once daily).
On ophthalmic examination, BCVA was 20/20 OD and hand motion OS. No defects were found in the oculomotor examination or biomicroscopy. There was no relative afferent pupillary defect. Systemic blood pressure was 127/74 mm Hg.
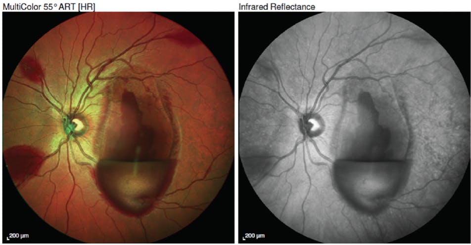
On mydriatic fundoscopy, no alteration was found in the right eye. A macular retinal hemorrhage was seen in the left eye at the superotemporal arcade, with a suspected preretinal component within a gravitational tract including and hiding the inferior temporal arcade. Also noted were four other smaller intraretinal hemorrhages symmetrically positioned in each of the four vascular arcades. The retina was fully attached 360°, and no other alterations were found, including on the optic disc, apart from mild vascular tortuosity and mild fundus tessellation. Vitreous hemorrhage was absent (Figure 1).
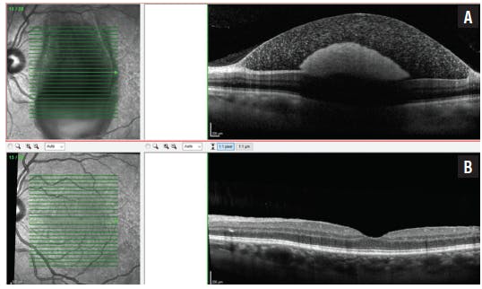
The spectral-domain OCT (SD-OCT) revealed no alterations in the right eye and what appeared to be a detached inner limiting membrane (ILM) in the left eye at the foveal region, with a hyperreflective area compatible with blood within the sub-ILM space and with posterior shadowing.
Because the clinical picture was unchanged 1 week later, the patient was scheduled for pars plana vitrectomy (PPV). In the OR, the sub-ILM localization was confirmed as the major component of the hemorrhage. Posterior hyaloid detachment and careful ILM peeling were performed after the injection of brilliant blue G dye.
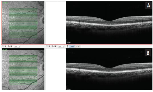
One month after the procedure, the patient’s VA had improved to 20/20 OS. Fundoscopy revealed the absorption of the smaller hemorrhages and the absence of blood within the macular area, with no new findings. Macular SD-OCT revealed no alterations in the right eye (Figure 2). In the left, a patent foveal depression was seen, with rare intraretinal hyperreflective dots and without signs of internal or external retinal or vitreoretinal interface alterations (Figure 3).
DISCUSSION
The first report of VR was made by Duane in 1972. The entity was described as typically a unilateral (rarely bilateral) preretinal hemorrhagic retinopathy secondary to a sudden increase in intrathoracic or intraabdominal pressure.1 This stimulus leads to an increase in intraocular venous pressure, causing superficial retinal capillaries to rupture.2 VR occurs as a sudden and dramatic loss of vision due to the premacular location of the hemorrhage. The patient whose case is reported here had the typical unilateral acute sudden loss in vision.
VR has been reported after Valsalva maneuvers associated with several activities, including vomiting, sexual activity or weightlifting during late pregnancy, constipation, playing musical wind instruments, colonoscopy, and dental procedures.3 Valsalva maneuvers increase trunk rigidity and spine stability,4 which is required in several CrossFit exercises. However, to the best of our knowledge there are no reports in the literature about a specific association of VR and CrossFit training, as in the case presented here.
Poorly controlled hypertension can lead to target-organ damage in several systems, including the cerebrovascular, cardiovascular, renal, and retinal systems.5 Elevated blood pressure leads to vessel damage, giving rise to hypertensive retinopathy. One of the earliest findings is a diffuse narrowing of retinal arterioles,6 which can persist despite proper antihypertensive treatment. Although chronic hypertensive retinopathy rarely causes significant visual loss, it can be a risk factor for VR.7
In the case presented here, the patient was diagnosed with hypertension early in life. Although in our evaluation his arterial pressure was within the normal range with medication, and only mild tortuosity was seen on fundoscopic examination, this cannot be neglected as a possible contributing factor to the patient’s VR.
Observation is the standard treatment for VR, as in most cases it resolves spontaneously without compromising visual acuity.8 However, even a small hemorrhage may take months to clear and can significantly reduce a patient’s quality of life. Thus, early intervention is required both in the event of vitreous hemorrhage precluding proper retinal evaluation and in patients demonstrating a low rate of absorption or massive bleeding at the macula, particularly with subretinal or sub-ILM components.7
For large sub-ILM or subhyaloid hemorrhages obscuring the macula, membranotomy with Nd:YAG laser (pulsed/Q switched/1064 nm/frequency-doubled) treatment can be attempted within the first 3 weeks.3 The treatment should be applied at the inferior margin of the hemorrhage, avoiding the fovea and large retinal vessels. Although good long-term results have been reported,3 there are some risks, including formation of epiretinal membrane, retinal detachment, or iatrogenic retinal lesions.9 Additionally, the risk of retinal toxicity from contact with hemoglobin and other blood agents, namely by the sub-ILM component,10 should not be neglected. Treatment with vitrectomy has been shown to result in significant and immediate visual improvement, preventing blood-related complications in these cases.10
OUTCOME AND CONCLUSION
In the case presented here, despite the absence of vitreous hemorrhage and the patient’s young age, the treatment chosen was early intervention with PPV, due to the amount of blood with low probability of complete spontaneous reabsorption and the aforementioned risk of retinal toxicity. The patient achieved complete resolution of the macular hemorrhage and excellent functional outcome by 1 month after surgery.
VR is a rare entity that can lead to sudden and severe vision loss in young, active people. Systemic hypertension screening in the general population is mandatory, and control of hypertension is important to prevent damage to retinal vessels.
Despite its health benefits, CrossFit training presents some risks to ocular structures that cannot be neglected. To the best of our knowledge, this is the first report of a VR occurring specifically in association with CrossFit training. In selected cases of VR, after proper consideration of the components of the presentation, early PPV should be the option of choice.
1. Duane TD. Valsalva hemorrhagic retinopathy. Trans Am Ophthalmol Soc. 1972;70:298-313.
2. Mukherjee C, Kumar A, Mitra A. Valsalva maculopathy: To treat or not to treat. Oman J Ophthalmol. 2018;11(1):78-81.
3. Durukan AH, Kerimoglu H, Erdurman C, Demirel A, Karagul S. Long-term results of Nd:YAG laser treatment for premacular subhyaloid haemorrhage owing to Valsalva retinopathy. Eye (Lond). 2008;22(2):214-218.
4. Hackett DA, Chow CM. The Valsalva maneuver: its effect on intra-abdominal pressure and safety issues during resistance exercise. J Strength Cond Res. 2013;27(8):2338-2345.
5. Kabedi NN, Mwanza JC, Lepira FB, Kayembe TK, Kayembe DL. Hypertensive retinopathy and its association with cardiovascular, renal and cerebrovascular morbidity in Congolese patients. Cardiovasc J Afr. 2014;25(5):228-232.
6. Fraser-Bell S, Symes R, Vaze A. Hypertensive eye disease: a review. Clin Exp Ophthalmol. 2017;45(1):45-53.
7. Simakurthy S, Tripathy K. Valsalva Retinopathy. In: StatPearls. StatPearls Publishing; February 14, 2021.
8. García Fernández M, Navarro JC, Castaño CG. Long-term evolution of Valsalva retinopathy: a case series. J Med Case Rep. 2012;6:346.
9. Bypareddy R, Chawla R, Azad SV, Takkar B. Iatrogenic parafoveal macular hole following Nd-YAG posterior hyaloidotomy for premacular haemorrhage. BMJ Case Rep. 2016;2016:bcr2016217234.
10. De Maeyer K, Van Ginderdeuren R, Postelmans L, Stalmans P, Van Calster J. Sub-inner limiting membrane haemorrhage: causes and treatment with vitrectomy. Br J Ophthalmol. 2007;91(7):869-872.