Juvenile neuronal ceroid lipofuscinosis (JNCL), or Batten disease, is the most common neuronal ceroid lipofuscinosis and is characterized by lysosomal accumulation of autofluorescent storage material in most tissues.1 JNCL is an autosomal recessive alteration of the CLN3 gene.1

JNCL typically presents with visual loss between 4 and 8 years of age, followed by learning impairments and motor disorders with parkinsonism by age 15 years; other clinical symptoms include seizures, ataxia, dementia, and mental retardation.2,3 Death occurs between ages 20 and 25 years.1

To the best of our knowledge, this is the first case report of JNCL with a c.1001 G-A (Arg334His) variant in South America, and the first JNCL case reported in Ecuador.

CASE REPORT

A 12-year-old boy was referred to our clinic in Ecuador with functional visual loss of unknown etiology. At 7 years of age, he had experienced visual acuity decline to 20/200 OD and 20/400 OS, which rapidly evolved over 19 months to light perception OD and no light perception OS.

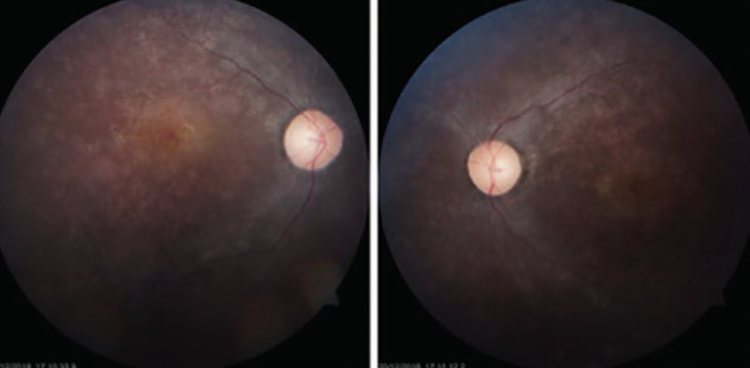
At 8 years, a fundoscopic examination revealed pallor of the patient’s optic disc, vascular attenuation, and a diffuse grainy appearance of the retinal pigment in the periphery in both eyes (Figure 1). Electroretinography (ERG) revealed bilateral low amplitude for waves A, B, and C under scotopic conditions, suggestive of severe pigmentary retinopathy.

<p>Figure 1. Fundoscopy at presentation showed pallor of the optic disc, vascular attenuation, and a diffuse grainy appearance of pigment in the retinal periphery.</p>

Click to view larger

Figure 1. Fundoscopy at presentation showed pallor of the optic disc, vascular attenuation, and a diffuse grainy appearance of pigment in the retinal periphery.

At presentation to our clinic at age 12, the patient’s visual acuity remained the same. Neurologic examination was abnormal, with the patient displaying roving eye movements, ataxia, poor speech, and impaired cognitive ability. He had met developmental milestones prior to the presentation of symptoms, but had since experienced cognitive regression.

MRI showed the presence of a mega cisterna magna (Figure 2). Family history revealed that the patient's younger sister had experienced visual decline 1 year prior, and another boy with a similar last name in the same village had also presented with similar symptoms.

<p>Figure 2. Head MRI showed the presence of mega cisterna magna.</p>

Click to view larger

Figure 2. Head MRI showed the presence of mega cisterna magna.

Follow-up fundus examination revealed circular bands of shades of pink and orange in the retina resembling bull’s eye maculopathy, mild bone spicule pigmentation in the retinal periphery, and nerve fiber layer atrophy (Figure 3). Genetic testing revealed a mutation on the CLN3 gene with the variant Arg334His, consistent with JNCL.

<p>Figure 3. Follow-up fundoscopy after 4 years revealed circular bands of shades of pink and orange in the retina (resembling bull’s eye maculopathy), mild bone spicule pigmentation in the retinal periphery, and nerve fiber layer atrophy.</p>

Click to view larger

Figure 3. Follow-up fundoscopy after 4 years revealed circular bands of shades of pink and orange in the retina (resembling bull’s eye maculopathy), mild bone spicule pigmentation in the retinal periphery, and nerve fiber layer atrophy.

DISCUSSION

JNCL is one of the most common pediatric neurodegenerative disorders. It is caused by mutations in the CLN3 gene, which encodes a novel 438 amino acid protein located in lysosomes, Golgi bodies, mitochondria, and lipid rafts; the protein’s function remains unknown.1

The classical presentation of JNCL begins with insidious but rapidly progressive vision loss between ages 4 and 7 years due to the loss of neurons from all retinal layers.2,3 JNCL progresses to cognitive decline, leading to dementia, behavioral impairment, sleep disturbance, hallucinations or delusions, speech impairment, and parkinsonism; generalized tonic-clonic seizures appear around 10 years of age.1 JNCL leads to death in the third decade of life.

Our patient’s fundus findings included all of the classical JNCL retinal signs: early macular alteration (ie, a bull’s eye pattern with a brownish color of the macula), narrowing of the vessels, peripheral bone spicules, and a pale optic disc.2-5

In patients with retinal degenerations, ERG provides a better understanding of the visual impact compared with visual acuity.2 In our patient, ERG showed low A and B wave amplitudes in scotopic and photopic conditions, demonstrating a rod–cone dystrophy, a classical finding in JNCL,2,3 especially in patients with early onset disease.4,5

Neurologic examinations are usually abnormal, as 75% of JNCL patients develop disorders such as cognitive impairment, change in mood or behavior, and gait disturbances.3,5 The main neuroimaging findings are cerebral atrophy, cerebellar atrophy, and periventricular and thalamic signal changes.6 In this patient, MRI showed the presence of a cerebellar cyst.

In Latin America, there have been only a few reports of JNCL.7 In Brazil, Valadares et al4 reported JNCL phenotypes in 10 affected children of one family. Visual loss was the first symptom in nine of 10 affected children, and almost all of them reported classic signs of JNCL (dementia, behavior alteration, and parkinsonism); seizures started between 8 and 12 years of age in eight of nine patients.7

There are a total 59 associated CLN3 mutations: 12 missense, 13 nonsense, 16 splice-site affecting, 11 deletions, six insertions, and one mutation affecting the first methionine.8 In our patient, genetic testing revealed a homozygous missense mutation on CLN3 with the variant Arg334His on exon 13. Munroe et al described this variant in a patient with a classical clinical presentation. Other missense mutations that also affect residue 330 or 334 present with classical JNCL as well, suggesting a critical role for normal function of the CLN3 protein.9

The homozygous Arg334His mutation has been reported in Canada, Finland, the United Kingdom, Germany, Spain, and the United States;10 but, to the best of our knowledge, this is the first case report of this variant in Latin America.

The authors kindly acknowledge the patient’s family, the personnel of Clay Eye Center, the Instituto Oftalmológico Matamoros at Guayaquil, and, especially, Ivan Matamoros, MD, and Nelson Matamoros, MD.

1. Ostergaard JR. Juvenile neuronal ceroid lipofuscinosis (Batten disease): current insights. Degener Neurol Neuromuscul Dis. 2016;6:73-83.

2. Eksandh LB, Ponjavic VB, Munroe PB, et al. Full-field ERG in patients with Batten/Spielmeyer-Vogt disease caused by mutations in the CLN3 gene. Ophthalmic Genet. 2000;21(2):69-77.

3. Bohra LI, Weizer JS, Lee AG, Lewis RA. Vision loss as the presenting sign in juvenile neuronal ceroid lipofuscinosis. J Neuroophthalmol. 2000;20(2):111-115.

4. Valadares ER, Pizarro MX, Oliveira LR, et al. Juvenile neuronal ceroid-lipofuscinosis: clinical and molecular investigation in a large family in Brazil. Arq Neuropsiquiatr. 2011;69(1):13-18.

5. Ku CA, Hull S, Arno G, et al. Detailed clinical phenotype and molecular genetic findings in CLN3-associated isolated retinal degeneration. JAMA Ophthalmol. 2017;135(7):749-760.

6. Wright GA, Georgiou M, Robson AG, et al. Juvenile Batten disease (CLN3): detailed ocular phenotype, novel observations, delayed diagnosis, masquerades, and prospects for therapy. Ophthalmol Retina. 2020;4(4):433-445.

7. Autti T, Raininko R, Vanhanen S, Santavuori P. MRI of neuronal ceroid lipofuscinosis. I. Cranial MRI of 30 patients with juvenile neuronal ceroid lipofuscinosis. Neuroradiology. 1996;38(5):476-482.

8. Kousi M, Lehesjoki A-E, Mole SE. Update of the mutation spectrum and clinical correlations of over 360 mutations in eight genes that underlie the neuronal ceroid lipofuscinoses. Hum Mutat. 2012;33(1):42-63.

9. Munroe PB, Mitchison HM, O’Rawe AM, et al. Spectrum of mutations in the Batten disease gene, CLN3. Am J Hum Genet. 1997;61(2):310-316.

10. Gardner E, Mole S. NCL Resource - A gateway for Batten disease. Accessed March 31, 2021. www.ucl.ac.uk/ncl-disease