The landscape of retinoblastoma management has changed significantly since the initial earthquake caused by the introduction of intravenous chemotherapy (IVC) in the early 1990s, followed by the tidal wave of intraarterial chemotherapy (IAC) in 2006, and finally the tsunami of intravitreal chemotherapy in 2012.1-3 In this review, we focus on IAC, which dramatically improved unilateral and bilateral retinoblastoma management.4

IAC allows direct delivery of chemotherapy to the affected eye through the ophthalmic artery. In recent years, this technique has gained tremendous popularity as both a primary treatment for newly diagnosed retinoblastoma and as a secondary treatment for recurrent retinoblastoma, owing to its proven efficacy for tumor control.4,5

RELIABLE CLASSIFICATION

The International Classification of Retinoblastoma (ICRB) was created in 2003 to predict treatment outcomes with IVC methods, replacing the older Reese-Ellsworth classification that focused on control after external beam radiotherapy (EBRT). The ICRB accounts for tumor size and location, as well as other factors such as subretinal and vitreous seeding (Table 1). In 2006, Shields et al demonstrated that ICRB was reliable in predicting globe salvage after IVC.6 The team found that IVC led to globe salvage and avoidance of EBRT in 100% of eyes in Group A, 93% of eyes in Group B, 90% of eyes in Group C, and 47% of eyes in Group D. Group E eyes were treated with enucleation.6

A more recent long-term study revealed that IVC treatment (with additional IAC or plaque radiotherapy) for patients with retinoblastoma provided tumor control at 20 years in 96% of Group A, 90% of Group B, 90% of Group C, 68% of Group D, and 32% of Group E eyes.7

TREATMENT ADVANCES

IAC is a remarkably successful therapy whereby a catheter is inserted into the ipsilateral femoral artery and guided into the aorta, the carotid artery, and the internal carotid artery, finally peeking into the orifice of the ophthalmic artery.4 In an early study of 70 eyes, IAC as primary therapy without radiotherapy led to tumor control and globe salvage in 72% of eyes; as secondary therapy, it was successful in 62%.8

Other studies have demonstrated improved rates of globe salvage with IAC (Table 2).4 Assessing IAC per ICRB classification, success with tumor control and globe salvage without radiotherapy was 100% in Groups B and C, 94% in Group D, and 36% in Group E eyes.8 For unilateral retinoblastoma, Shields et al found that IAC had special benefit in Group D eyes, with improved globe salvage of 91% compared with 48% with IVC (P = .004).9 Munier et al showed comparable results for Group D eyes treated with IAC, with globe salvage in 100% compared with 57% in those treated with IVC (P < .001).10

IAC is both safe and effective when performed at an experienced center. An international analysis of 1,139 patients treated with 4,396 IAC infusions at six experienced centers in the United States, Europe, and Latin America reported a less than 1% risk for metastatic death.2 All deaths from metastasis occurred in Latin America from poor patient follow-up or family refusal of enucleation.2 Our team specifically evaluated IAC-induced vascular complications at a single center in the early IAC era (2009–2011) compared with the recent era (2012–2017) and found decreased complications over time and no vascular events in eyes treated in 2016 or 2017.11

THE LATEST DATA

In a recent report, Shields et al evaluated outcomes of primary and secondary IAC based on patient age, race, and sex in a cohort of 341 consecutive eyes with retinoblastoma that underwent 1,292 infusions from 2008 to 2020 at a single center.12 Kaplan-Meier analysis revealed impressive 5-year globe salvage rates of 74% in the entire cohort, 76% in patients treated with IAC as primary therapy, and 71% in those treated with IAC as secondary therapy (Table 3). Without IAC, many of these eyes would likely have undergone enucleation.

The 5-year globe salvage rates with IAC as secondary therapy differed by the type of recurrence, with 80% globe salvage in those with recurrent solid tumor after IVC, 60% in those with recurrent subretinal seeds, and 88% in those with recurrent vitreous seeds.

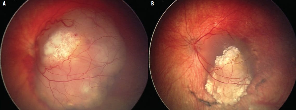
The most striking benefit of IAC was observed when analysis was done by ICRB classification. There was excellent tumor control for Groups B and C retinoblastoma, with 100% globe salvage at 5 years compared with 86% in Group D and 55% in Group E (Figure).12 This supports current practice, as IAC is generally reserved for Groups B, C, and D unilateral retinoblastoma, and occasionally Group E eyes.

<p>Figure. Fundus photography of an 11-month-old White infant shows a large, exophytic retinoblastoma (Group D) in the macular region of the left eye with feeder vessels, calcification, and subretinal hemorrhage (A). After receiving three infusions of IAC, the tumor completely regressed to a calcified scar with resolution of the subretinal hemorrhage (B).</p>

Click to view larger

Figure. Fundus photography of an 11-month-old White infant shows a large, exophytic retinoblastoma (Group D) in the macular region of the left eye with feeder vessels, calcification, and subretinal hemorrhage (A). After receiving three infusions of IAC, the tumor completely regressed to a calcified scar with resolution of the subretinal hemorrhage (B).

Furthermore, analysis by age demonstrated better outcomes in younger patients (≤ 12 months vs > 12 months), including greater globe salvage rates (77% vs 72%, P < .001) and better vitreous seed control (90% vs 87%, P = .036). Analysis by race and sex showed no statistically significant difference in treatment outcomes.

At our center, complications such as systemic side effects, ocular ischemia, neovascularization, and glaucoma were seen in approximately 1% or less of cases.

One limitation in our report was that, although all patients received IAC as their main treatment, some required additional therapies such as plaque radiotherapy, IVC, cryotherapy, and/or transpupillary thermotherapy for complete tumor control.

CONCLUSION

Chemotherapy, whether by intravenous, intraarterial, or intravitreous route, is a powerful treatment for retinoblastoma, as it provides reliable tumor control and globe salvage with few complications. At our center, we achieved globe salvage in 74% of all cases treated with IAC, with complications in approximately 1% or less. We hope that one day all patients with retinoblastoma will be evaluated at experienced centers that provide IAC as a treatment option so that more lives and eyes are saved, allowing children to surf through life cancer-free.

Support provided in part by the Eye Tumor Research Foundation, Philadelphia, PA (CLS). The funders had no role in the design and conduct of the study, in the collection, analysis, and interpretation of the data, and in the preparation, review, or approval of the manuscript. Carol L. Shields, MD, has had full access to all the data in the study and takes responsibility for the integrity of the data.

1. Ancona-Lezama D, Dalvin LA, Shields CL. Modern treatment of retinoblastoma: A 2020 review. Indian J Ophthalmol. 2020;68(11):2356-2365.

2. Abramson DH, Shields CL, Jabbour PJ, et al. Metastatic deaths in retinoblastoma patients treated with intraarterial chemotherapy (ophthalmic artery chemosurgery) worldwide. Int J Retina Vitreous. 2017;3:40.

3. Munier FL, Gaillard MC, Balmer A, et al. Intravitreal chemotherapy for vitreous disease in retinoblastoma revisited: from prohibition to conditional indications. Br J Ophthalmol. 2012;96(8):1078-1083.

4. Manjandavida FP, Stathopoulos C, Zhang J, Honavar SG, Shields CL. Intra-arterial chemotherapy in retinoblastoma - A paradigm change [published correction appears in Indian J Ophthalmol. 2019;67(8):1385]. Indian J Ophthalmol. 2019;67(6):740-754.

5. Shields CL, Lally SE, Leahey AM, et al. Targeted retinoblastoma management. When to use intravenous, intra-arterial, periocular, and intravitreal chemotherapy. Curr Opin Ophthalmol. 2014;25(5):374-385.

6. Shields CL, Mashayekhi A, Au AK, et al. The International Classification of Retinoblastoma predicts chemoreduction success. Ophthalmology. 2006;113(12):2276-2280.

7. Shields CL, Bas Z, Tadepalli S, et al. Long-term (20-year) real-world outcomes of intravenous chemotherapy (chemoreduction) for retinoblastoma in 964 eyes of 554 patients at a single centre. Br J Ophthalmol. 2020;104(11):1548-1555.

8. Shields CL, Manjandavida FP, Lally SE, et al. Intra-arterial chemotherapy for retinoblastoma in 70 eyes: outcomes based on the international classification of retinoblastoma. Ophthalmology. 2014;121(7):1453-1460.

9. Shields CL, Jorge R, Say EA, et al. Unilateral retinoblastoma managed with intravenous chemotherapy versus intra-arterial chemotherapy. Outcomes based on the International Classification of Retinoblastoma. Asia Pac J Ophthalmol (Phila). 2016;5(2):97-103.

10. Munier FL, Mosimann P, Puccinelli F, et al. First-line intra-arterial versus intravenous chemotherapy in unilateral sporadic group D retinoblastoma: evidence of better visual outcomes, ocular survival and shorter time to success with intra-arterial delivery from retrospective review of 20 years of treatment. Br J Ophthalmol. 2017;101(8):1086-1093.

11. Dalvin LA, Ancona-Lezama D, Lucio-Alvarez JA, et al. Ophthalmic vascular events after primary unilateral intra-arterial chemotherapy for retinoblastoma in early and recent eras. Ophthalmology. 2018;125(11):1803-1811.

12. Shields CL, Dockery PW, Yaghy A, et al. Intra-arterial chemotherapy for retinoblastoma in 341 consecutive eyes (1292 infusions): Comparative analysis of outcomes based on patient age, race, and sex. J AAPOS. 2021 [In press].