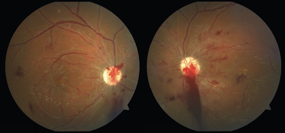
A 21-year-old male patient was referred because of progressive vision loss in both eyes for the past 3 months. He had a history of type 1 diabetes and systemic erythematosus lupus, confirmed by a lab test. He had not received any ocular therapies before the consultation. VA was hand motion OD and 20/800 OS. On slit lamp examination, no rubeosis iridis or cataract were noted in either eye. The dilated fundus examination of each eye revealed preretinal vitreous hemorrhage below the optic nerve, neo vessels, venous beading, and intraretinal microvascular abnormality (Figure 1). Fluorescein angiography showed nonperfusion areas in each eye and hyperfluorescence due to neo vessels (Figure 2, top).

The patient received 3 monthly intraocular injections of bevacizumab (Avastin, Genentech), followed by diode laser pan photocoagulation in each eye (Figure 2, middle). Macular OCT showed the thin macular tissue as a sequela to nonperfusion severity. The patient had additional posterior pole and periphery diode laser, guided by angiography (Figure 2, bottom). VA improved to 50 cm counting fingers OD and 20/200 OS. After 6 months of follow up, the patient maintained visual acuity with no new retinal findings. His diabetes and systemic erythematosus lupus are currently well controlled.