THE CASE

A 64-year-old female was referred to our clinic by her optometrist for a choroidal nevus of the right eye. She complained of blurred vision in each eye for several years but had no history of retinal pathology.

Her medical history was limited to hypothyroidism and gall bladder cancer. Ocular family history was significant for cataracts in both parents and a brother. Ocular medical history was significant for choroidal and conjunctival nevi in the right eye and nuclear cataracts in each eye.

Uncorrected VA was 20/25 OD and 20/30 OS, and IOP was 14 mm Hg OD and 8 mm Hg OS. External examination of the right eye revealed diffuse hyperpigmentation superior to her upper brow and lateral to her orbit. The left external examination was normal. Slit lamp examination of the right eye was significant for multiple pigmented nevi inferiorly on the conjunctiva (Figure 1). Anterior segment examination of the left eye was normal. Dilated fundus examination of the right eye was significant for a mildly cupped optic nerve with a cup-to-disc ratio of 0.6 with temporal rim thinning. There was a moderately elevated pigmented choroidal nevus in the superior periphery of the right eye that had traces of overlying subretinal fluid (Figures 2-4). Dilated examination of the left eye revealed a healthy nerve with a cup-to-disc ratio of 0.2 and normal macula, vessels, and periphery.

<p>Figure 1. Anterior segment photography reveals conjunctival and scleral hyperpigmentation.</p>

Click to view larger

Figure 1. Anterior segment photography reveals conjunctival and scleral hyperpigmentation.

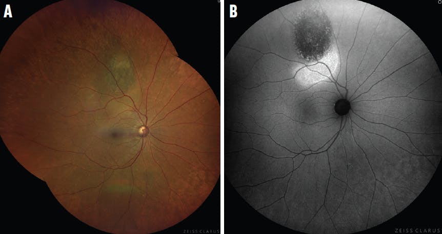
<p>Figure 2. Fundus photography of the right eye shows a thickened pigmented choroidal nevus superior to the macula (A). Autofluorescence shows hyperautofluorescence inferior to the lesion (B).</p>

Click to view larger

Figure 2. Fundus photography of the right eye shows a thickened pigmented choroidal nevus superior to the macula (A). Autofluorescence shows hyperautofluorescence inferior to the lesion (B).

<p>Figure 3. OCT of the right eye shows choroidal elevation with subretinal fluid.</p>

Click to view larger

Figure 3. OCT of the right eye shows choroidal elevation with subretinal fluid.

<p>Figure 4. B-scan reveals focal choroidal elevation with a low internal reflectivity.</p>

Click to view larger

Figure 4. B-scan reveals focal choroidal elevation with a low internal reflectivity.

Based on the clinical findings, diagnoses of nevus of Ota with a suspicious choroidal nevus and open-angle glaucoma in the right eye were made. The patient was scheduled for a glaucoma evaluation, including a visual field examination, and close periodic examinations of the choroidal nevus.

DISCUSSION

Nevus of Ota (oculodermal melanocytosis) is a melanocytic lesion that affects the first and second branches of the trigeminal nerve, as well as the sclera, ocular muscles, retrobulbar fat, periosteum, and buccal mucosa.1 These lesions are thought to be caused by arrested migration of dermal melanocytes from neural crest origin.2 In the two-thirds of patients presenting with ocular involvement, the lesions are present from birth. Other regions are not generally affected until the teenage years.1 Generally, nevus of Ota is asymptomatic, though there are rare cases of associated sensory loss.3

This rare condition is more commonly seen in Asian populations with a prevalence of 0.2% to 1.0% and a strong female predominance, representing 80% of cases.1,4 

Diagnosis of nevus of Ota is primarily clinical.3 For suspected cases, a complete ophthalmic examination should be performed, including gonioscopy to evaluate hyperpigmentation of the trabecular meshwork. A dilated peripheral retinal examination is important to rule out choroidal masses or melanomas. An oral examination should also be considered to assess for palate lesions.3

Vishnevskia-Dai et al recently proposed a new classification system for the ocular involvement of nevus of Ota. The updated system uses both anatomic involvement and the number of quadrants affected (Table).5 A designation of “+” is added to any level of anatomic involvement of class 2 or greater. For example, lesions affecting the choroid in supero- and inferotemporal quadrants as well as the sclera would be denoted as class 3B+.5

Treatment of nevus of Ota is generally focused on alleviating the symptoms. This condition is usually benign, though some patients may desire cosmetic removal of the spots, for which several approaches are available.6 Nevus of Ota is associated with the development of pigmentary glaucoma in the affected eye, requiring treatment in up to 10% of patients.7 Additionally, as is common with melanocytic conditions, malignant transformation has been noted in up to 1 in 400 patients, more commonly in White individuals.3 Yearly follow up is recommended for asymptomatic patients to rule out development of glaucoma and malignant melanoma.3

CONCLUSION

Nevus of Ota presents as a benign accumulation of melanocytes along the first and second branches of the trigeminal nerve and can be seen in up to 1% of the population, with predominance in women and Asian populations. It can be unilateral or bilateral. Treatment is symptom-based and usually only cosmetic. Pigmentary glaucoma is seen in up to 10% of cases and malignant transformation in up to 0.25%, more commonly in White individuals. The patient described here exhibited both glaucomatous nerve changes and possible early malignant transformation of a choroidal nevus.

1. James WD, Elston DMD, Treat JR, Rosenbach MA, Neuhaus I. Andrews’ Diseases of the Skin: Clinical Dermatology. Elsevier Health Sciences; 2019.

2. Benson MT, Rennie IG. Hemi-naevus of Ota: perturbation of neural crest differentiation as a likely mechanism. Graefes Arch Clin Exp Ophthalmol. 1992;230(3):226-229.

3. Agarwal P, Patel BC. Nevus Of Ota and Ito. In: StatPearls. StatPearls Publishing; 2021.

4. Cho B-J, Kwon J-W, Han YK, Kim JH, Wee WR, Lee JH. Cosmetic improvement of nevus of Ota by scleral allograft overlay. Can J Ophthalmol. 2011;46(5):428-430.

5. Vishnevskia-Dai V, Moroz I, Davidy T, et al. Naevus of Ota: clinical characteristics and proposal for a new ocular classification and grading system. Br J Ophthalmol. 2021;105(1):42-47.

6. Mularoni A, Rania L, Forlini M, Marcheggiani EB, Imburgia A. Utility of anterior segment optical coherence tomography in the surgical planning of superficial sclerectomy in oculodermal melanocytosis (nevus of Ota): A case report and review of literature. Am J Ophthalmol Case Rep. 2021;23:101179.

7. Khawly JA, Imami N, Shields MB. Glaucoma associated with the nevus of Ota. Arch Ophthalmol. 1995;113(9):1208-1209.