AT A GLANCE

  • Ophthalmic photographers have developed techniques to maximize OCT image quality, and translating some of their learnings to the OR can help surgeons successfully capture their own intraoperative OCT images.
  • Prior to starting surgery, verify that all optics are clean and in good working order and that the foot pedal is functional.
  • Typically, positioning the image in the top third of the intraoperative OCT window will maximize signal strength and image quality.
  • Static imaging is often better suited for macular work and may result in higher overall image quality with current generation systems.

Since the first report of intraoperative OCT (iOCT) in ophthalmic surgery nearly 2 decades ago, technical improvements and innovations have transformed iOCT from a research prototype into a practical and powerful tool for real-time surgical decision making.1-18 Nonetheless, capturing high-quality iOCT images in the OR can be complicated because of unique intraoperative challenges such as corneal edema, lack of fixation, hemorrhage, corneal distortion, and dual focus systems (eg, surgeon vs OCT).

Ophthalmic photographers have developed techniques to maximize image quality, and translating some of their learnings to the OR can help you successfully capture your own iOCT images. In this article, we share our experiences and best practices for efficient and effective iOCT image acquisition.

THE SETUP

Preparing to use your iOCT begins before the first patient even enters the OR. Your surgical team should first establish who will control the iOCT (eg, surgeon, surgical assistant, or circulator). This person must understand the goals of imaging and the functionality of the system. While the surgeon can control both the iOCT and surgical microscope during a case, we prefer to have a trained assistant handle the iOCT image acquisition. This allows the surgeon to focus on the surgical maneuvers and ensures that any troubleshooting can occur in real-time to avoid unnecessary pauses. With newer iOCT interfaces, even relatively new users can rapidly make adjustments with clear communication from the surgeon.

Before starting surgery, the iOCT operator should verify that all optics are clean and in good working order and that the foot control pedal is functional. The operator should also white balance the camera, if necessary. Next, use a test object to verify the iOCT signal strength and functionality. We use a glove box, as it is readily available in the OR, and the OCT demonstrates a subtle depression where text is printed on the box. You can also use the top of a hand or fingernail. Repeat this presurgical routine at the outset of each OR day to avoid unexpected delays.

OPTIMIZING CLARITY

A unique challenge to intraoperative imaging is the potential disassociation of surgical field and OCT focus. Achieving parfocality by improving focus of the surgical field is important to rapidly maximize focus of the OCT. The steps required for this vary based on the microscope system. If using a 3D heads-up display system, initiate the case by zooming in on the retinal vessels and fine tune the focus of the surgical field to improve how quickly the focus can be achieved with the iOCT image. Generally, 3D systems reduce the tendency to accommodate compared with traditional surgical microscopes, which results in more rapid focusing and image acquisition due to the forced parfocality.

Establishing parfocality with traditional systems can be challenging when a surgeon who can fully accommodate is in control of the microscope; when the surgeon is accommodating, the iOCT is out of focus. Breaking the accommodation by looking at a distant object for a short period of time or using the video display on the external monitor to fine tune surgical field focus can be helpful in these situations. To understand the importance of parfocality for iOCT image quality, think of the iOCT focus range as being confined to a small box, within which the operator can enhance positioning or focus. The focal point of the surgical microscope defines the center of this box. If the focus is off such that the true focal point is outside of or at the edge of the box, a high-quality image will not be possible.

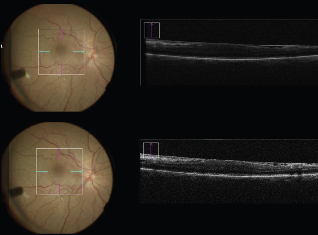
Maximizing corneal clarity and addressing media opacities at the onset of and throughout a case is crucial for iOCT image capture (Figure 1). Corneal clarity can be optimized through use of an enduring corneal lubricant (eg, artificial tear gel or viscoelastic).

<p>Figure 1. The top iOCT image has limited quality due to less-than-ideal corneal clarity and a lack of focus on the surgical field. The bottom iOCT demonstrates the impact of improving corneal clarity and surgeon focus—significantly increased visualization of the retinal anatomy, including outer retinal details.</p>

Click to view larger

Figure 1. The top iOCT image has limited quality due to less-than-ideal corneal clarity and a lack of focus on the surgical field. The bottom iOCT demonstrates the impact of improving corneal clarity and surgeon focus—significantly increased visualization of the retinal anatomy, including outer retinal details.

In cases where corneal edema is present and clarity is more compromised, several approaches can help, including the use of a dispersive viscoelastic on the corneal surface, reduction of infusion pressure to minimize corneal edema, and use of a contact lens for visualization. Contact lens-based visualization uniformly provides the best OCT signal but is often not necessary for achieving an excellent scan.

Other factors, such as posterior capsular opacification and anterior chamber air bubbles, may cause aberrations to the OCT signal and affect image quality. Vitreous opacities, particularly hemorrhage, can also significantly affect the iOCT signal, and removing them during the procedure can make a big difference. Surgeon accommodation can be particularly problematic in these cases. If the surgeon unwittingly accommodates while moving to different depths within the eye rather than adjusting the microscope’s focus, the focal point may be off and high-quality iOCT is not possible. Similar focal point adjustments may be necessary in retinal detachment cases, as the depth of the tissue of interest changes significantly throughout the case.

CAPTURING A HIGH-QUALITY IMAGE

For surgical teams new to iOCT, we recommend starting with static imaging (ie, imaging without performing concurrent surgical maneuvers). Instrumentation shadowing, manipulation of the corneal curvature, and alterations in the Z axis all create challenges for initial image quality during real-time surgical maneuvers. As the surgical team gains more experience, using iOCT with real-time maneuvers becomes more efficient. When ready to capture a real-time image, the surgeon should pull back slightly on intraocular instruments to avoid shadowing. Center the surgical field on the area of interest and maximize focus.

Within the box set by the surgical microscope, the iOCT can move in the X, Y, and Z axes; the Z axis describes the location within the eye on which the image is focused. After turning on the device, adjust the Z axis to optimize the location of the tissue of interest within the OCT scanning window. Typically, positioning the image in the top third of the window will maximize signal strength and image quality. The position of tissue along the Z axis is dynamic during many surgical maneuvers, which can create challenges for maintaining focus.

In many systems, it is possible to engage automated Z-tracking once the Z axis is confirmed; this can be particularly helpful for novice users and during real-time surgical maneuvers. With a skilled assistant who can anticipate shifts along the Z axis, it may be advantageous to make manual Z axis adjustments. Since most surgical maneuvers depress the tissue in the Z axis, it can be helpful for the technician to ‘cheat’ deep with the iOCT focus and ‘cheat’ anteriorly with the Z axis positioning. For instance, if the iOCT is focused just a little deeper than the surgical microscope’s view of the sclera prior to passage of a scleral suture, the iOCT focus will be in excellent position to capture an image as the needle drives through, and slightly depresses, the tissue.

Thoughtful timing of intraoperative staining is important when using iOCT. Indocyanine green (ICG) creates a shadowing effect on OCT, so we recommend obtaining iOCT prior to instillation of the dye; a second iOCT after membrane peeling can ensure that a peel is sufficient. Though triamcinolone can also cast a shadow on OCT, proper use of triamcinolone and its hyperreflectivity can enhance iOCT visualization of surgical planes. The surgeon must clear excessive triamcinolone in the vitreous cavity before capturing an iOCT image.

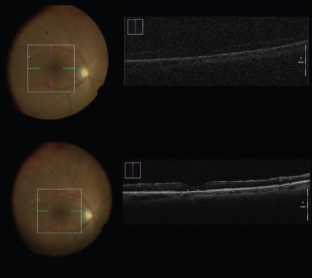
Adjusting image polarization, such as through auto-polarization (auto-P), can significantly improve image quality (Figure 2). Auto-P makes fine adjustments to the system settings when the OCT has been engaged. This usually only needs to be performed once per patient, and often only once per day. Depending on the system, this option may not be available on the main menu screen, necessitating a pause in the case to select this option. Nonetheless, it can be a useful tool to ensure sufficient image quality.

<p>Figure 2. The top image is the initial acquisition with moderately good focus on the retina with visualization of an epiretinal membrane but limited visualization of the retinal layers. The bottom image demonstrates the significant improvement in the visualization following subtle improvement in tissue focus with the surgical microscope and adjusted polarization using the auto-P function.</p>

Click to view larger

Figure 2. The top image is the initial acquisition with moderately good focus on the retina with visualization of an epiretinal membrane but limited visualization of the retinal layers. The bottom image demonstrates the significant improvement in the visualization following subtle improvement in tissue focus with the surgical microscope and adjusted polarization using the auto-P function.

Both static and real-time iOCT have important roles in iOCT-guided surgical decision making; we find that the former is better suited for macular work compared with real-time iOCT, while the latter is more practical for peripheral work. For a surgeon who is new to iOCT, we recommend testing both modes and the various display options—ocular-based, external screen, and 3D heads-up display.

KEY TAKEAWAYS

A team-based approach can be particularly helpful to promote an efficient workflow and provide broad iOCT acceptance across multiple surgeons. When in doubt, remember that a high-quality view begets a high-quality iOCT image, and disciplined optimization of the view will translate to faster and more reliable iOCT imaging.

The authors would like to acknowledge the important contributions of Carmen Calabrese, iOCT Research Coordinator at Cole Eye Institute, for his input and feedback for this article.

1. Geerling G, Müller M, Winter C, et al. Intraoperative 2-dimensional optical coherence tomography as a new tool for anterior segment surgery. Arch Ophthalmol. 2005;123(2):253-257.

2. Dayani PN, Maldonado R, Farsiu S, Toth CA. Intraoperative use of handheld spectral domain optical coherence tomography imaging in macular surgery. Retina. 2009;29(10):1457-1468.

3. Ray R, Baranano DE, Fortun JA, et al. Intraoperative microscope-mounted spectral domain optical coherence tomography for evaluation of retinal anatomy during macular surgery. Ophthalmology. 2011;118(11):2212-2217.

4. Binder S, Falkner-Radler CI, Hauger C, et al. Feasibility of intrasurgical spectral-domain optical coherence tomography. Retina. 2011;31(7):1332-1336.

5. Lee LB, Srivastava SK. Intraoperative spectral-domain optical coherence tomography during complex retinal detachment repair. Ophthalmic Surg Lasers Imaging. 2011;42:e71-74.

6. Ehlers JP, Kernstine K, Farsiu S, et al. Analysis of pars plana vitrectomy for optic pit-related maculopathy with intraoperative optical coherence tomography: a possible connection with the vitreous cavity. Arch Ophthalmol. 2011;129(11):1483-1486.

7. Ehlers JP, Tao YK, Farsiu S, et al. Integration of a spectral domain optical coherence tomography system into a surgical microscope for intraoperative imaging. Invest Ophthalmol Vis Sci. 2011;52(6):3153-3159.

8. Ehlers JP, Ohr MP, Kaiser PK, Srivastava SK. Novel microarchitectural dynamics in rhegmatogenous retinal detachments identified with intraoperative optical coherence tomography. Retina. 2013;33(7):1428.

9. Ehlers JP, Tao YK, Farsiu S, et al. Visualization of real-time intraoperative maneuvers with a microscope-mounted spectral domain optical coherence tomography system. Retina. 2013;33(1):232-236.

10. Ehlers JP, Tam T, Kaiser PK, Martin DF, Smith GM, Srivastava SK. Utility of intraoperative optical coherence tomography during vitrectomy surgery for vitreomacular traction syndrome. Retina. 2014;34(7):1341-1346.

11. Ehlers JP, Han J, Petkovsek D, Kaiser PK, Singh RP, Srivastava SK. Membrane peeling-induced retinal alterations on intraoperative oct in vitreomacular interface disorders from the PIONEER study. Invest Ophthalmol Vis Sci. 2015;56(12):7324-7330.

12. Rachitskaya AV, Yuan A, Marino MJ, Reese J, Ehlers JP. Intraoperative OCT imaging of the Argus II retinal prosthesis system. Ophthalmic Surg Lasers Imaging Retina. 2016;47(11):999-1003.

13. Uchida A, Srivastava SK, Ehlers JP. Analysis of retinal architectural changes using intraoperative OCT following surgical manipulations with membrane flex loop in the DISCOVER study. Invest Ophthalmol Vis Sci. 2017;58(9):3440-3444.

14. Uchida A, Srivastava SK, Ehlers JP. Update on the intraoperative OCT: where do we stand? Curr Ophthalmol Rep. 2018;6(1):24-35.

15. Khan M, Srivastava SK, Reese JL, Shwani Z, Ehlers JP. Intraoperative OCT-assisted surgery for proliferative diabetic retinopathy in the DISCOVER study. Ophthalmol Retina. 2018;2(5):411-417.

16. Ehlers JP, Modi YS, Pecen PE, et al. The DISCOVER study 3-year results: feasibility and usefulness of microscope-integrated intraoperative OCT during ophthalmic surgery. Ophthalmology. 2018;125(7):1014-1027.

17. Abraham JR, Srivastava SK, Reese JL, Ehlers JP. Intraoperative OCT features and postoperative ellipsoid mapping in primary macula-involving retinal detachments from the PIONEER study. Ophthalmol Retina. 2019;3(3):252-257.

18. Abraham JR, Srivastava SK, K Le T, et al. Intraoperative OCT-assisted retinal detachment repair in the DISCOVER study: impact and outcomes. Ophthalmol Retina. 2020;4(4):378-383.