A 20-year-old White man was diagnosed with Alport syndrome during childhood in the context of a positive family history, sensorineural deafness, and progressive kidney dysfunction. The patient had been undergoing dialysis treatment for end-stage renal failure for 2 years when he presented to our clinic for his first routine ocular evaluation.

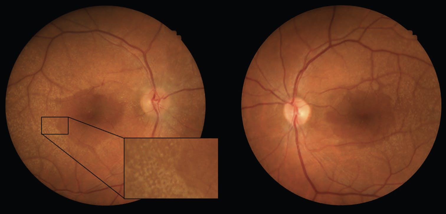
On examination, BCVA was 20/25 OU. Anterior segment examination was normal in each eye. The fundus examination of each eye revealed fovea-sparing retinal flecks, associated with the typical retinal ‘lozenge’ or ‘dull macular reflex’ (Figure 1). OCT showed symmetrical temporal macular thinning, which is also consistent with Alport syndrome (Figure 2).

DISCUSSION

Alport syndrome is a rare genetic disorder caused by abnormalities in the synthesis of type IV collagen. The typical presentation includes early-onset renal failure, hearing loss, and ocular abnormalities in up to 70% of patients. These abnormalities can involve the lens and cornea, but retinal changes are the most common ocular finding, particularly perimacular dot-and-fleck retinopathy. The dots and flecks can produce an abnormal tapetal-like reflex, and their demarcation from the perifoveal area results in a dull macular reflex or ‘lozenge.’1-4

The macular flecks do not cause visual dysfunction, but they provide important information for the nephrologist because they indicate a more severe effect of the disease on the kidneys. Temporal retinal thinning is also very common with Alport syndrome.

Overall, the visual prognosis of these patients is favorable; however, ophthalmic examination may play an important role in the diagnosis and in determining the severity of Alport syndrome,5 especially in male patients with early-onset renal failure.

If you have an image or images you would like to share, email Dr. Nagpal.
Note: Photos should be 400 dpi or higher and at least 10 inches wide.

1. Savige J, Colville D. Ocular features aid the diagnosis of Alport syndrome. Nat Rev Nephrol. 2009;5(6):356-360.

2. Xu JM, Zhang SS, Zhang Q. Ocular manifestations of Alport syndrome. Int J Ophthalmol. 2010;3(2):149-151.

3. Cho IH, Kim HD, Jung SJ, Park TK. En face optical coherence tomography findings in a case of Alport syndrome. Indian J Ophthalmol. 2017;65(9):877-879.

4. Savige J, Sheth S, Leys A, Nicholson A, Mack HG, Colville D. Ocular features in Alport syndrome: pathogenesis and clinical significance. Clinical J Am Soc Nephrol. 2015;10(4):703-709.

5. Colville D, Wang YY, Tan R, Savige J. The retinal “lozenge” or “dull macular reflex” in Alport syndrome may be associated with a severe retinopathy and early-onset renal failure. Br J Ophthalmol. 2009;93(3):383-386.